ACTB Monoclonal Antibody
-
中文名稱:ACTB鼠單克隆抗體
-
貨號:CSB-MA000091M1m
-
規格:¥400
-
圖片:
-
Western Blot
Positive WB detected in: 293T whole cell lysate, Hela whole cell lysate, HepG2 whole cell lysate, NIH/3T3 whole cell lysate, K562 whole cell lysate, Rat spleen tissue, Rabbit kidney tissue
All lanes: ACTB antibody at 1:5000
Secondary
Goat polyclonal to mouse IgG at 1/50000 dilution
Predicted band size: 42 KDa
Observed band size: 42 KDa
Exposure time:5min -
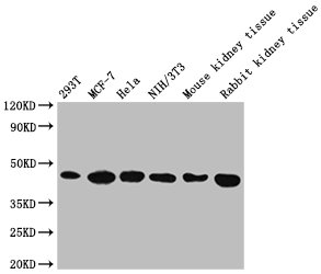
Western Blot
Positive WB detected in: 293T whole cell lysate, MCF-7 whole cell lysate, Hela whole cell lysate, NIH/3T3 whole cell lysate, Mouse kidney tissue, Rabbit kidney tissue
All lanes: ACTB antibody at 1:5000
Secondary
Goat polyclonal to mouse IgG at 1/50000 dilution
Predicted band size: 42 KDa
Observed band size: 42 KDa
Exposure time:5min -
Western Blot
Positive WB detected in: Mouse liver tissue, Mouse brain tissue, Mouse lung tissue, Mouse kidney tissue, Mouse spleen tissue, Mouse stomach tissue
All lanes: ACTB antibody at 1:5000
Secondary
Goat polyclonal to mouse IgG at 1/50000 dilution
Predicted band size: 42 KDa
Observed band size: 42 KDa
Exposure time:5min -
Western Blot
Positive WB detected in: Rabbit liver tissue, Rabbit brain tissue, Rabbit lung tissue, Rabbit kidney tissue, Rabbit stomach tissue, A549 whole cell lysate
All lanes: ACTB antibody at 1:5000
Secondary
Goat polyclonal to mouse IgG at 1/50000 dilution
Predicted band size: 42 KDa
Observed band size: 42 KDa
Exposure time:5min -
Western Blot
Positive WB detected in: Rat liver tissue, Rat brain tissue, Rat lung tissue, Rat stomach tissue, U87 whole cell lysate
All lanes: ACTB antibody at 1:5000
Secondary
Goat polyclonal to mouse IgG at 1/50000 dilution
Predicted band size: 42 KDa
Observed band size: 42 KDa
Exposure time:5min -
Western Blot
Positive WB detected in: 293T whole cell lysate at 40μg, 20μg, 10μg
All lanes:ACTB antibody at 1:5000
Secondary
Goat polyclonal to mouse IgG at 1/50000 dilution
Predicted band size: 42 KDa
Observed band size: 42 KDa
Exposure time:5min -
Western Blot
Positive WB detected in: 20μg 293T whole cell lysate
ACTB antibody at 1:5000, 1:10000, 1:20000, 1:40000, 1:80000
Secondary
Goat polyclonal to mouse IgG at 1/50000 dilution
Predicted band size: 42 KDa
Observed band size: 42 KDa
Exposure time:5min -
IHC image of CSB-MA000091M1m diluted at 1:500 and staining in paraffin-embedded colon cancer performed on a Leica BondTM system. After dewaxing and hydration, antigen retrieval was mediated by high pressure in a citrate buffer (pH 6.0). Section was blocked with 10% normal goat serum 30min at 37℃ Then primary antibody (1% BSA) was incubated at 4°C overnight. The primary is detected by a Goat anti-Mouse IgG labeled by HRP and visualized using 0.05% DAB.
-
IHC image of CSB-MA000091M1m diluted at 1:500 and staining in paraffin-embedded breast cancer performed on a Leica BondTM system. After dewaxing and hydration, antigen retrieval was mediated by high pressure in a citrate buffer (pH 6.0). Section was blocked with 10% normal goat serum 30min at 37℃ Then primary antibody (1% BSA) was incubated at 4°C overnight. The primary is detected by a Goat anti-Mouse IgG labeled by HRP and visualized using 0.05% DAB.
-
Immunofluorescence staining of Hela cells with CSB-MA000091M1m at 1:100, counter-stained with DAPI. The cells were fixed in 4% formaldehyde, permeated by 0.2% TritonX-100, and blocked in 10% normal Goat Serum. The cells were then incubated with the antibody overnight at 4°C. Nuclear DNA was labeled in blue with DAPI. The secondary antibody was FITC-conjugated AffiniPure Goat Anti-Mouse IgG (H+L).
-
Immunofluorescence staining of HepG2 cells with CSB-MA000091M1m at 1:100, counter-stained with DAPI. The cells were fixed in 4% formaldehyde, permeated by 0.2% TritonX-100, and blocked in 10% normal Goat Serum. The cells were then incubated with the antibody overnight at 4°C. Nuclear DNA was labeled in blue with DAPI. The secondary antibody was FITC-conjugated AffiniPure Goat Anti-Mouse IgG (H+L).
-
Overlay Peak curve showing Hela cells stained with CSB-MA000091M1m (red line) at 1:200. The cells were fixed in 4% formaldehyde and permeated by 0.2% TritonX-100. Then 10% normal goat serum was Incubated to block non-specific protein-protein interactions followed by the antibody (1μg/1*106cells) for 1 h at 4°C. The secondary antibody used was FITC-conjugated Goat Anti-Mouse IgG(H+L) at 1/100 dilution for 30min at 4°C. Isotype control antibody (green line) was mouse IgG2b (1μg/1*106cells) used under the same conditions. Acquisition of >10,000 events was performed.
-
Overlay Peak curve showing HepG2 cells stained with CSB-MA000091M1m (red line) at 1:200. The cells were fixed in 4% formaldehyde and permeated by 0.2% TritonX-100. Then 10% normal goat serum was Incubated to block non-specific protein-protein interactions followed by the antibody (1μg/1*106cells) for 1 h at 4°C. The secondary antibody used was FITC-conjugated Goat Anti-Mouse IgG(H+L) at 1/100 dilution for 30min at 4°C. Isotype control antibody (green line) was mouse IgG2b (1μg/1*106cells) used under the same conditions. Acquisition of >10,000 events was performed.
-
-
其他:
產品詳情
-
產品描述:ACTB Monoclonal Antibody(CUSABIO貨號:CSB-MA000091M1m)是一款針對β-肌動蛋白的高特異性科研用抗體,該靶標作為細胞骨架核心蛋白在細胞形態維持、遷移和信號轉導中發揮關鍵作用。本產品采用雜交瘤技術制備,經過嚴格驗證可識別人、小鼠、大鼠、兔等多個物種的ACTB蛋白,適用于ELISA、免疫印跡(WB)、免疫組化(IHC)、免疫熒光(IF)及流式細胞術(FC)等實驗平臺。其優異的批間一致性滿足蛋白定量分析、細胞結構研究及分子機制探索等科研需求,尤其適合作為Western Blot內參對照,為神經生物學、腫瘤微環境、細胞分化等基礎研究提供可靠工具。該抗體在常溫運輸條件下保持穩定,建議根據實驗體系優化使用條件,助力科研人員精準解析細胞生物學過程。
-
產品名稱:Mouse anti-Homo sapiens (Human) ACTB Monoclonal antibody
-
Uniprot No.:
-
基因名:
-
別名:ACTB;ACTB;ACTB;PS1TP5BP1;beta-ac6n;β-ac6n
-
宿主:Mouse
-
反應種屬:Human, Mouse, Rat, Rabbit
-
免疫原:A synthesized peptide derived from human Beta-Actin (1-50AA)
-
免疫原種屬:Homo sapiens (Human)
-
標記方式:Non-conjugated
-
克隆類型:Monoclonal
-
抗體亞型:IgG2b
-
純化方式:>95%, Protein A purified
-
克隆號:1D12E12B5
-
濃度:It differs from different batches. Please contact us to confirm it.
-
保存緩沖液:Preservative: 0.03% Proclin 300
Constituents: 50% Glycerol, 0.01M PBS, PH 7.4 -
產品提供形式:Liquid
-
應用范圍:ELISA, WB, IHC, IF, FC
-
推薦稀釋比:
Application Recommended Dilution WB 1:5000-1:80000 IHC 1:500-1:1000 IF 1:50-1:200 FC 1:100-1:300 -
Protocols:
-
儲存條件:Upon receipt, store at -20°C or -80°C. Avoid repeated freeze.
-
貨期:Basically, we can dispatch the products out in 1-3 working days after receiving your orders. Delivery time maybe differs from different purchasing way or location, please kindly consult your local distributors for specific delivery time.
-
用途:For Research Use Only. Not for use in diagnostic or therapeutic procedures.
相關產品
靶點詳情
-
功能:Actin is a highly conserved protein that polymerizes to produce filaments that form cross-linked networks in the cytoplasm of cells. Actin exists in both monomeric (G-actin) and polymeric (F-actin) forms, both forms playing key functions, such as cell motility and contraction. In addition to their role in the cytoplasmic cytoskeleton, G- and F-actin also localize in the nucleus, and regulate gene transcription and motility and repair of damaged DNA.
-
基因功能參考文獻:
- During cell adhesion, an active multistage process naturally leads to pattern transitions from actin vortices over stars into asters. PMID: 28194011
- Haploinsufficiency of ACTB is the main cause of the clinical phenotype observed in the patients with 7p22.1 microdeletions. PMID: 29274487
- Baraitser-Winter cerebrofrontofacial syndrome is caused by missense mutations in the cytoplasmic beta- and gamma-actin genes ACTB and ACTG1. We provide an overview of the clinical characteristics (including some novel findings in four recently diagnosed patients), diagnosis, management, mutation spectrum and genetic counselling. PMID: 27625340
- The authors describe heterozygous ACTB deletions and nonsense and frameshift mutations in 33 individuals with developmental delay, apparent intellectual disability, increased frequency of internal organ malformations (including those of the heart and the renal tract), growth retardation, and a recognizable facial gestalt. PMID: 29220674
- Data indicate AIM1 (absent in melanoma 1) as an actin binding protein and show that it regulates cytoskeletal remodeling and cell migration in prostate epithelial cells. PMID: 28747635
- Case Report: gastric pericytoma harboring the exceptionally rare translocation t(7;12) resulting in ACTB-GLI1 gene fusion. PMID: 26980027
- Data suggest that, in T-lymphocytes, nitric oxide generated by eNOS S-nitrosylates Cys374 on ACTB and thus regulates activation/recruitment of PRKCQ at immune synapse; S-nitrosylation of beta-actin impairs actin binding to PFN1 and regulates protein transport in lamellipodia. (eNOS = nitric oxide synthase 3; ACTB = beta-actin; PRKCQ = protein kinase C-theta; PFN1 = profilin-1) PMID: 28394935
- Data indicate that the IQGAP1 N-terminal fragment spanning residues 1-191 (CHDF) binds to both F-actin and Ca(2+)/calmodulin. PMID: 27798963
- Based on present and published dup7p22.1 patients we suggest that renal abnormalities might be an additional feature of the 7p22.1 microduplication syndrome.We also pinpoint the ACTB gene as the key gene affecting the 7p22.1 duplication syndrome phenotype. PMID: 27866048
- We suggest that haploinsufficiency of ACTB may be responsible for the clinical features of patients with 7p22.1 microdeletions PMID: 27633570
- crucial role of Glu270 in ADP-ribosylation of actin by Ia PMID: 26713879
- Studies indicate that the process of megakaryocyte maturation and the formation of proplatelets are essential steps in the production of mature platelets and both depend heavily on the actin and microtubule cytoskeletons. PMID: 26210823
- Data show that tripartite motif-containing 28 protein (TRIM28) and beta-actin were up-regulated in the glioblastoma multiforme (GBM) stem-like cells compared to the controls. PMID: 25419715
- Data suggest that by binding to both clathrin and F-actin, mammalian actin-binding protein 1 (mAbp1; HIP-55 or SH3P7) is specifically recruited at a late stage of clathrin-coated pits (CCPs) formation, which subsequently recruits dynamin to CCPs. PMID: 25690657
- The results indicate that the disease-related human beta-actin mutations p.R183W and p.E364K affect interdomain mobility and nucleotide interactions as a basis for the formation of disease phenotypes in patients. PMID: 25255767
- Data indicate the WASp-interacting protein (WIP)-Wiskott-Aldrich syndrome protein (WASp) interaction in the regulation of actin-dependent processes. PMID: 24962707
- Mutations in ACTB cause a distinctly more severe phenotype than ACTG1 mutations in Baraitser-Winter syndrome. PMID: 23756437
- TIA proteins can function as long-term regulators of the ACTB mRNA metabolism in mouse and human cells. PMID: 24766723
- Downregulation of the HuR gene results in decreased beta-actin gene expression, which in turn results in decreased motility and proliferation of corneal fibroblasts. PMID: 24826067
- Thus, the nucleocapsid domain in HIV-1 Gag does not appear to have a role in actin recruitment or actin incorporation into HIV-1 particles. PMID: 24789788
- Taken together, these findings indicate that actin filament dynamics are dispensable for HIV-1 Gag assembly at the plasma membrane of HeLa cells. PMID: 24789789
- Results indicate that actin cytoskeleton is one of the upstream regulators of Hippo signaling. PMID: 24040060
- PDI appears to regulate cytoskeletal reorganization by the thiol-disulfide exchange in beta-actin via a redox-dependent mechanism. PMID: 24415753
- chorein interacts with beta-adducin and beta-actin. PMID: 24129186
- Data indicate that monomeric actin probes concentrate in nuclear speckles. PMID: 23447706
- the roles of ACTB in tumors PMID: 23266771
- Data suggest that P-glycoprotein associate with the F-actin cytoskeleton through ezrin/radixin/moesin (ERM) in CCR9/CCL25 induced multidrug resistance of acute T-lymphocytic leukemia (T-ALL) cells. PMID: 23326330
- Two variants of beta-actin, beta1 and beta2 were found in the Enterovirus 71-susceptible rhabdomyosarcoma cells, compared to Enterovirus 71-resistant cells that contains only one variant beta1. PMID: 23535377
- Studies indicate that cofilin binds actin stoichiometrically - one cofilin molecule per actin filament subunit. PMID: 23395798
- Studies indicate that that vinculin not only bundles actin filaments but can also cap these filaments and promote actin polymerization. PMID: 23466368
- Cofilin nuclear shuttling is critical for the cofilin-actin rod stress response. PMID: 22623727
- These results indicate that F-actin in association with the M protein alters the interaction between the M and H proteins, thereby modulating measles virus cell-cell fusion and assembly. PMID: 23221571
- Data indicate beta-cytoplasmic (beta-CYA) and gamma-cytoplasmic (gamma-CYA) actins differential localization and dynamics at epithelial junctions. PMID: 22855531
- roles for undetected ACtB in liver cancer progression PMID: 22961449
- Data show that ENOA, PARK7 and Beta-actin are proper reference standards in obesity studies based on omental fat. PMID: 22272336
- identified de novo missense changes in the cytoplasmic actin-encoding genes ACTB and ACTG1 in one and two probands, respectively; suggest that Baraitser-Winter syndrome is the predominant phenotype associated with mutation of these two genes PMID: 22366783
- Recombinant human actin is constantly shuttled into the murine nucleus by importin 9 and out by exportin 6. Nuclear actin is required for maximal transcription. PMID: 22323606
- Antioxidant supplementation was noted to increase G6PDH in the pentose phosphate cycle and 18S rRNA in the ribosome. There were no significant changes in the gene expression levels of beta-ACT PMID: 22285204
- non-muscle alpha-ACTN4, HSPA5 and cytoplasmic ACTB, should be targeted in idiopathic premature ovarian failure cases PMID: 21890413
- Data indicate taht candidate genes ACTB, BZW, OCM, MACC1, NXPH1, PRPS1L1, RAC1 and RPA3, which lie within the DFNB90 region, were sequenced and no potentially causal variants were identified. PMID: 21734401
- ACTB showed high expression in forensic skin and body-fluid samples, providing a suitable marker for skin identification PMID: 21221983
- Nuclear beta-actin controls growth arrest of epithelial cells. PMID: 21172822
- Data suggest that the existence of a common epitope on the molecules of phosducin and beta-actin may reflect a topological similarity of a small region of their surfaces. PMID: 20804785
- Findings indicate that activation of the cofilin-F-actin pathway contributes to tumor cell migration and metastasis enhanced by Aur-A, revealing a novel function for mitotic Aur-A kinase in tumor progression. PMID: 21045147
- The actin network plays a role in nuclear ERalpha actions in breast cancer cells. PMID: 20308691
- Immunoblot analysis revealed profoundly decreased beta-actin levels during Ectromelia virus infection replicative cycle in the infected cells 24 hrs post infection. PMID: 20201613
- This protein has been found differentially expressed in the anterior cingulate cortex from patients with schizophrenia PMID: 20381070
- Data show that inducible Hox genes are selectively sensitive to the inhibition of actin polymerization and that actin polymerization is required for the assembly of a transcription complex on the regulatory region of the Hox genes. PMID: 19477923
- Results suggest a novel mechanism by which cofilin is regulated by v-Src through tyrosine phosphorylation that triggers the degradation of cofilin through ubiquitination-proteosome pathway and reducing cellular F-actin contents and cell spreading. PMID: 19802004
- region responsible for down-regulation of the gamma-actin gene during differentiation is not in the 3' end of the gene in contrast to that for beta-actin. PMID: 11787062
顯示更多
收起更多
-
相關疾病:Dystonia, juvenile-onset (DJO); Baraitser-Winter syndrome 1 (BRWS1)
-
亞細胞定位:Cytoplasm, cytoskeleton. Nucleus.
-
蛋白家族:Actin family
-
數據庫鏈接:
Most popular with customers
-
-
YWHAB Recombinant Monoclonal Antibody
Applications: ELISA, WB, IHC, IF, FC
Species Reactivity: Human, Mouse, Rat
-
Phospho-YAP1 (S127) Recombinant Monoclonal Antibody
Applications: ELISA, WB, IHC
Species Reactivity: Human
-
-
-
-
-















