SELPLG Recombinant Monoclonal Antibody
-
中文名稱:SELPLG重組抗體
-
貨號:CSB-RA567010A0HU
-
規格:¥1320
-
圖片:
-
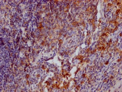
IHC image of CSB-RA567010A0HU diluted at 1:100 and staining in paraffin-embedded human tonsil tissue performed on a Leica BondTM system. After dewaxing and hydration, antigen retrieval was mediated by high pressure in a citrate buffer (pH 6.0). Section was blocked with 10% normal goat serum 30min at RT. Then primary antibody (1% BSA) was incubated at 4℃ overnight. The primary is detected by a Goat anti-rabbit IgG polymer labeled by HRP and visualized using 0.05% DAB.
-
-
其他:
產品詳情
-
產品描述:CSB-RA567010A0HU SELPLG重組單克隆抗體是針對P選擇素糖蛋白配體(SELPLG/PSGL-1)開發的高特異性檢測工具,該靶標作為黏附分子家族的重要成員,在白細胞遷移、炎癥反應及免疫細胞信號傳導中發揮關鍵作用。本產品經ELISA和免疫組化(IHC)雙重驗證,證實其可特異性識別天然構象的SELPLG蛋白,在IHC實驗中推薦使用1:50-1:200的稀釋梯度,能清晰顯示組織樣本中靶蛋白的亞細胞定位與表達水平。適用于探究炎癥性疾病機制、免疫細胞與血管內皮相互作用、以及相關信號通路調控等基礎研究領域,為體外組織切片分析、細胞黏附實驗及分子互作研究提供可靠支持。采用重組表達技術制備,具備優異的批次間穩定性和低交叉反應性,特別適合需要高重復性的長期科研項目。
-
Uniprot No.:
-
基因名:
-
別名:P-selectin glycoprotein ligand 1 (PSGL-1) (Selectin P ligand) (CD antigen CD162), SELPLG
-
反應種屬:Human
-
免疫原:A synthesized peptide derived from human CD162
-
免疫原種屬:Homo sapiens (Human)
-
標記方式:Non-conjugated
-
克隆類型:Monoclonal
-
抗體亞型:Rabbit IgG
-
純化方式:Affinity-chromatography
-
克隆號:3G11
-
濃度:It differs from different batches. Please contact us to confirm it.
-
保存緩沖液:Rabbit IgG in 10mM phosphate buffered saline , pH 7.4, 150mM sodium chloride, 0.05% BSA, 0.02% sodium azide and 50% glycerol.
-
產品提供形式:Liquid
-
應用范圍:ELISA, IHC
-
推薦稀釋比:
Application Recommended Dilution IHC 1:50-1:200 -
Protocols:
-
儲存條件:Upon receipt, store at -20°C or -80°C. Avoid repeated freeze.
-
貨期:Basically, we can dispatch the products out in 1-3 working days after receiving your orders. Delivery time maybe differs from different purchasing way or location, please kindly consult your local distributors for specific delivery time.
-
用途:For Research Use Only. Not for use in diagnostic or therapeutic procedures.
相關產品
靶點詳情
-
功能:A SLe(x)-type proteoglycan, which through high affinity, calcium-dependent interactions with E-, P- and L-selectins, mediates rapid rolling of leukocytes over vascular surfaces during the initial steps in inflammation. Critical for the initial leukocyte capture.; (Microbial infection) Acts as a receptor for enterovirus 71.
-
基因功能參考文獻:
- These data indicate that cardiac surgery influences the expression of CD162, CD166 and CD195 and that the intensity of the immune system response, displayed as the change in the CD162, CD166, CD195 expression, varies, depending on the surgical technique used. PMID: 27625334
- PSGL1 mediated leukocyte rolling and the inflammatory response in general.PSGL1 is a ligand for Siglec-5 and interacts with Siglec-5 ectodomain. PMID: 27892504
- The Interaction of Selectins and PSGL-1 as a Key Component in Thrombus Formation and Cancer Progression. PMID: 28680883
- Studies indicate that P-selectin glycoprotein ligand-1 (PSGL-1) PSGL-1 can negatively regulate T cell function. PMID: 28262471
- Results suggest that PSGL-1 may play an oncogenic role in the development of intestinal tumors, and this is likely mediated through activation of NFkB signaling by MIP-1g. PMID: 28108624
- c-Myc regulates P-selectin glycoprotein ligand-1 expression in monocytes during HIV-1 infection. PMID: 28663244
- The percentage of CXCR3(+) CD4(+) TEM cells negatively correlated with the severity of the cutaneous disease in psoriasis patients. Importantly CLA(+) CD4(+) TCM cells expressing CCR6(+) or CCR4(+)CXCR3(+) negatively correlated with psoriasis severity suggesting recruitment to the skin compartment. PMID: 28392462
- Platelet-leukocyte aggregations increased in acute ischemic stroke patients rapidly within 3h. The I allele of PSGL-1 M62I was associated with risk of developing acute ischemic stroke, especially large artery atherosclerosis stroke and small artery occlusion stroke. Small artery occlusion stroke patients with the II genotype of PSGL-1 M62I have the higher level of platelet-neutrophil aggregates. PMID: 27423570
- The significant presence of CLA+ T cells and E-selectin expressions in the OLPG suggests their involvement in the etiopathogenesis of OLP; however, only a weak correlation between CLA+ T cells and E-selectin was observed. PMID: 26332489
- PSGL-1 is a novel receptor for S. pneumoniae that contributes to protection against invasive pneumococcal disease. PMID: 26975045
- Report influence of SELPLG variation on leukocyte-platelet interactions in cardiovascular disease. PMID: 25428141
- CD162 staining and the staining degree, with the other standard immunohistochemical stains, were shown to be beneficial in the diagnosis of multiple myeloma disease. PMID: 25445472
- Staphylococcal SElX and SSL6 proteins bind cell surface receptors PSGL-1 and CD47, respectively. PMID: 24840181
- SCARB2 and PSGL-1 in human gastrointestinal tract, lung, and brain tissues correlated with the distribution of pathological changes seen in EV71 infection. PMID: 24997419
- Host membrane protein PSGL-1, CD43, and CD44 association with assembling HIV-1 Gag is driven by polybasic sequences present in the cytoplasmic tails of the membrane proteins and in Gag. PMID: 25320329
- Up-regulation of PSGL-1 on CD14++CD16+ monocytes may play a crucial role in plaque rupture and thrombus formation. PMID: 24583418
- lymphocyte trafficking into the CNS under VLA-4 blockade can occur by using the alternative adhesion molecules, PSGL-1 and MCAM, the latter representing an exclusive pathway for TH17 cells to migrate over the blood-brain barrier PMID: 25135296
- ligation of PSGL-1 on HL-60 cells activates beta2 integrin, for which lipid raft integrity and Syk activation are responsible PMID: 24312591
- Specific phosphorylations on 130 and 153 tyrosine residues of p85-bound Rho-GDP dissociation inhibitor-2 are pivotal for P-selectin glycoprotein ligand-1-induced beta1 integrin-mediated lymphocyte adhesion to vascular cell adhesion molecule-1. PMID: 24055812
- PSGL-1 has Janus-faced functions, being both adhesive and anti-adhesive. PMID: 23192782
- Phosphoinositide 3-kinase (PI3K) is required for PSGL-1-induced beta1 integrin clustering which ultimately regulates beta1 integrin-mediated Jurkat cell adhesion to fibronectin. PMID: 24122451
- In conclusion, authors report PSGL-1 as a novel target for pneumococcal ZmpC and show that ZmpC inhibits neutrophil extravasation during pneumococcal pneumonia. PMID: 23601501
- Data suggest that PSGL1 on leukocytes is binding site for VP1 (a capsid protein) in Enterovirus 71; conserved lysine residues on virus surface are responsible for interaction with sulfated tyrosine residues in PSGL1 N-terminus. PMID: 23935488
- Expression of CD11b and CD162 on monocytes has a temperature-dependent regulation, with decreased expression during hypothermia. PMID: 23812215
- Psoriasis patients' tonsils have a higher frequency of skin-homing CLA [cutaneous lymphocyte-associated antigen] positive T cells, correlating significantly with their frequency of blood CLA+ T cells. PMID: 23750651
- A receptor-dominated endocytosis of enterovirus 71 infection was observed: PSGL-1 initiates caveola-dependent endocytosis and hSCARB2 activates clathrin-dependent endocytosis. PMID: 23760234
- The aim of the study was to investigate the degree of platelet activation in NSCLC and the roles of PSGL-1 in the activation of platelets. PMID: 22535539
- These results indicated that SCARB2 is capable of viral binding, viral internalization, and viral uncoating and that the low infection efficiency of L-PSGL1 cells is due to the inability of PSGL1 to induce viral uncoating. PMID: 23302872
- effect of mutation on binding affinity to P- and L-selectin PMID: 22947939
- There is significant association between PSGL-1 Met62Ile polymorphism and advanced carotid atherosclerosis with stenosis in female patients from the Serbian population. PMID: 22307784
- E- and P-selectins play a role in spontaneous metastasis formation both into bone marrow and lungs. PMID: 22366582
- PSGL-1 EBS plays a critical role in recruiting leukocytes on selectins and in activating the MAPK pathway, whereas it is dispensable to phosphorylate Syk and to lead to alpha(L)beta(2)-dependent leukocyte slow rolling. PMID: 22311979
- Data show the contribution of P-selectin glycoprotein ligand-1 (PSGL-1) to the regulation of growth, dissemination, and drug resistance in multiple myeloma (MM) cells in the context of the bone marrow microenvironment. PMID: 22096244
- ADAM8 is both associated with PSGL-1 through the ezrin-radixin-moesin actin-binding proteins and able to cause the proteolytic cleavage of this adhesion receptor. PMID: 22229154
- PSGL-1 microparticles show a characteristic course during alloSCT and their possible association with relapse/progress requires further evaluation of the PSGL-1/P-selectin interaction in leukemias and lymphomas PMID: 21864485
- Coxsackievirus A24 variant bound better to mouse L929 cells overexpressing human P-selectin glycoprotein ligand-1 (PSGL-1) than to mock-transfected cells, suggesting that PSGL-1 is a candidate receptor for the virus. PMID: 21880775
- Healthy volunteers were genotyped and the adhesion of neutrophils expressing the PSGL-1 isoforms A/A, A/B and B/B were studied under static and physiologic flow conditions. PMID: 21144558
- IL-6 induces neutrophilia and reduces CD162 expression on neutrophils in inflammation PMID: 21292497
- Tyrosine sulfation of the amino terminus of PSGL-1 is associated with enterovirus 71 infection. PMID: 21079683
- The results suggest that an adaptive mutation, along with a PSGL-1-binding phenotype, may facilitate efficient PSGL-1-dependent replication of enterovirus 71 strains in L-PSGL-1 cells. PMID: 20943886
- Results suggested that Syk plays a key role in signal transduction downstream of PSGL-1 in endothelial progenitor cells. PMID: 20705591
- cutaneous lymphocyte-associated antigen expression might be an indicator of poor prognosis in non-nasal NK-cell lymphomas with nodal presentation PMID: 19628338
- There is a strong expression of both SELPLG and coronin-1C in the majority of primary effusion lymphomas, irrespective of their gene dosage. SELPLG is critical for cell migration and chemotaxis, while CORO1C regulates actin-dependent processes. PMID: 20690162
- Deficiency of Psgl-1 is associated with reduced IL-1 receptor-mediated adhesive properties of the endothelium. PMID: 20558823
- Comparison of PSGL-1 microbead and neutrophil rolling: microvillus elongation stabilizes P-selectin bond clusters PMID: 11916843
- G-CSF down regulates PSGL-1 expression on the surface of neutrophils in humans PMID: 11961238
- Expression of cutaneous lymphocyte-associated antigen by CD8(+) T cells specific for herpes simplex virus type 2(cutaneous lymphocyte-associated antigen) PMID: 12189248
- Binding of two anti-human (KPL1 and PL1) and two anti-mouse (4RA10 and 2PH1) PSGL-1 mAbs to synthetic peptides of N-terminus of human and mouse PSGL-1 was found to be independent of tyrosine sulfation. PMID: 12223514
- The epitope recognized by the M-DC8 MAb is 6-sulfo LacNAc, a novel carbohydrate modification of the P selectin glycoprotein ligand 1 (PSGL-1) PMID: 12354382
- increased PSGL-1 expression on granulocytes from allergic-asthmatic subjects resulted in increased leukocyte recruitment on P-selectin under flow conditions PMID: 12377939
顯示更多
收起更多
-
亞細胞定位:Membrane; Single-pass type I membrane protein.
-
組織特異性:Expressed on neutrophils, monocytes and most lymphocytes.
-
數據庫鏈接:
Most popular with customers
-
-
YWHAB Recombinant Monoclonal Antibody
Applications: ELISA, WB, IHC, IF, FC
Species Reactivity: Human, Mouse, Rat
-
-
-
-
-
-















