-
中文名稱:磷酸化-MTOR (S2481)重組抗體
-
貨號:CSB-RA008968A2481phHU
-
規格:¥1320
-
圖片:
-
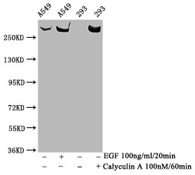
Western Blot
Positive WB detected in A549 whole cell lysate,293 whole cell lysate(treated with Calyculin A or EGF)
All lanes Phospho-MTOR antibody at 1.33μg/ml
Secondary
Goat polyclonal to rabbit IgG at 1/50000 dilution
Predicted band size: 289 KDa
Observed band size: 289 KDa -
Immunofluorescence staining of Hela cells with CSB-RA008968A2481phHU at 1:100,counter-stained with DAPI. The cells were fixed in 4% formaldehyde, permeabilized using 0.2% Triton X-100 and blocked in 10% normal Goat Serum. The cells were then incubated with the antibody overnight at 4℃. The secondary antibody was Alexa Fluor 488-congugated AffiniPure Goat Anti-Rabbit IgG (H+L).
-
-
其他:
產品詳情
-
產品描述:CSB-RA008968A2481phHU是針對MTOR蛋白S2481磷酸化位點研發的重組單克隆抗體,可特異性識別哺乳動物雷帕霉素靶蛋白(MTOR)在該關鍵調節位點的磷酸化修飾狀態。作為PI3K-AKT-mTOR信號通路的核心調控因子,MTOR的S2481位點磷酸化水平直接反映mTORC1復合物的激活狀態,該位點的自磷酸化作用與細胞生長調控、蛋白質合成及代謝平衡等生物學過程密切相關。本抗體經多種實驗平臺嚴格驗證,在Western Blot中可靈敏檢測哺乳動物細胞裂解液中的目標信號,推薦使用1:500至1:5000稀釋度;免疫熒光實驗顯示其能在1:20-1:200范圍內清晰定位胞內靶蛋白的亞細胞分布。該產品適用于探索營養感應、能量代謝調控、自噬過程以及雷帕霉素等抑制劑作用機制的研究,為解析細胞增殖相關信號網絡、腫瘤微環境響應及代謝性疾病機制提供可靠工具,廣泛應用于分子生物學、細胞生物學等基礎科研領域。
-
Uniprot No.:
-
基因名:
-
別名:dJ576K7.1 (FK506 binding protein 12 rapamycin associated protein 1) antibody; FK506 binding protein 12 rapamycin associated protein 1 antibody; FK506 binding protein 12 rapamycin associated protein 2 antibody; FK506 binding protein 12 rapamycin complex associated protein 1 antibody; FK506-binding protein 12-rapamycin complex-associated protein 1 antibody; FKBP rapamycin associated protein antibody; FKBP12 rapamycin complex associated protein antibody; FKBP12-rapamycin complex-associated protein 1 antibody; FKBP12-rapamycin complex-associated protein antibody; FLJ44809 antibody; FRAP antibody; FRAP1 antibody; FRAP2 antibody; Mammalian target of rapamycin antibody; Mechanistic target of rapamycin antibody; mTOR antibody; MTOR_HUMAN antibody; OTTHUMP00000001983 antibody; RAFT1 antibody; Rapamycin and FKBP12 target 1 antibody; Rapamycin associated protein FRAP2 antibody; Rapamycin target protein 1 antibody; Rapamycin target protein antibody; RAPT1 antibody; Serine/threonine-protein kinase mTOR antibody
-
反應種屬:Human
-
免疫原:A synthesized peptide derived from Human Phospho-MTOR (S2481)
-
免疫原種屬:Homo sapiens (Human)
-
標記方式:Non-conjugated
-
克隆類型:Monoclonal
-
抗體亞型:Rabbit IgG
-
純化方式:Affinity-chromatography
-
克隆號:3H11
-
濃度:It differs from different batches. Please contact us to confirm it.
-
保存緩沖液:Rabbit IgG in 10mM phosphate buffered saline , pH 7.4, 150mM sodium chloride, 0.05% BSA, 0.02% sodium azide and 50% glycerol.
-
產品提供形式:Liquid
-
應用范圍:ELISA, WB, IF
-
推薦稀釋比:
Application Recommended Dilution WB 1:500-1:5000 IF 1:20-1:200 -
Protocols:
-
儲存條件:Upon receipt, store at -20°C or -80°C. Avoid repeated freeze.
-
貨期:Basically, we can dispatch the products out in 1-3 working days after receiving your orders. Delivery time maybe differs from different purchasing way or location, please kindly consult your local distributors for specific delivery time.
-
用途:For Research Use Only. Not for use in diagnostic or therapeutic procedures.
引用文獻
相關產品
靶點詳情
-
功能:Serine/threonine protein kinase which is a central regulator of cellular metabolism, growth and survival in response to hormones, growth factors, nutrients, energy and stress signals. MTOR directly or indirectly regulates the phosphorylation of at least 800 proteins. Functions as part of 2 structurally and functionally distinct signaling complexes mTORC1 and mTORC2 (mTOR complex 1 and 2). Activated mTORC1 up-regulates protein synthesis by phosphorylating key regulators of mRNA translation and ribosome synthesis. This includes phosphorylation of EIF4EBP1 and release of its inhibition toward the elongation initiation factor 4E (eiF4E). Moreover, phosphorylates and activates RPS6KB1 and RPS6KB2 that promote protein synthesis by modulating the activity of their downstream targets including ribosomal protein S6, eukaryotic translation initiation factor EIF4B, and the inhibitor of translation initiation PDCD4. This also includes mTORC1 signaling cascade controlling the MiT/TFE factors TFEB and TFE3: in the presence of nutrients, mediates phosphorylation of TFEB and TFE3, promoting their cytosolic retention and inactivation. Upon starvation or lysosomal stress, inhibition of mTORC1 induces dephosphorylation and nuclear translocation of TFEB and TFE3, promoting their transcription factor activity. Stimulates the pyrimidine biosynthesis pathway, both by acute regulation through RPS6KB1-mediated phosphorylation of the biosynthetic enzyme CAD, and delayed regulation, through transcriptional enhancement of the pentose phosphate pathway which produces 5-phosphoribosyl-1-pyrophosphate (PRPP), an allosteric activator of CAD at a later step in synthesis, this function is dependent on the mTORC1 complex. Regulates ribosome synthesis by activating RNA polymerase III-dependent transcription through phosphorylation and inhibition of MAF1 an RNA polymerase III-repressor. In parallel to protein synthesis, also regulates lipid synthesis through SREBF1/SREBP1 and LPIN1. To maintain energy homeostasis mTORC1 may also regulate mitochondrial biogenesis through regulation of PPARGC1A. mTORC1 also negatively regulates autophagy through phosphorylation of ULK1. Under nutrient sufficiency, phosphorylates ULK1 at 'Ser-758', disrupting the interaction with AMPK and preventing activation of ULK1. Also prevents autophagy through phosphorylation of the autophagy inhibitor DAP. Also prevents autophagy by phosphorylating RUBCNL/Pacer under nutrient-rich conditions. Prevents autophagy by mediating phosphorylation of AMBRA1, thereby inhibiting AMBRA1 ability to mediate ubiquitination of ULK1 and interaction between AMBRA1 and PPP2CA. mTORC1 exerts a feedback control on upstream growth factor signaling that includes phosphorylation and activation of GRB10 a INSR-dependent signaling suppressor. Among other potential targets mTORC1 may phosphorylate CLIP1 and regulate microtubules. As part of the mTORC2 complex MTOR may regulate other cellular processes including survival and organization of the cytoskeleton. Plays a critical role in the phosphorylation at 'Ser-473' of AKT1, a pro-survival effector of phosphoinositide 3-kinase, facilitating its activation by PDK1. mTORC2 may regulate the actin cytoskeleton, through phosphorylation of PRKCA, PXN and activation of the Rho-type guanine nucleotide exchange factors RHOA and RAC1A or RAC1B. mTORC2 also regulates the phosphorylation of SGK1 at 'Ser-422'. Regulates osteoclastogenesis by adjusting the expression of CEBPB isoforms. Plays an important regulatory role in the circadian clock function; regulates period length and rhythm amplitude of the suprachiasmatic nucleus (SCN) and liver clocks. Phosphorylates SQSTM1, promoting interaction between SQSTM1 and KEAP1 and subsequent inactivation of the BCR(KEAP1) complex.
-
基因功能參考文獻:
- Silencing of TRPC5 and inhibition of autophagy reverses adriamycin drug resistance in breast carcinoma via CaMKKbeta/AMPKalpha/mTOR pathway. PMID: 28600513
- Studies indicate that understanding mTOR network circuitry will provide insight into its deregulation in diabetes, cancer, and cardiovascular disease, but modeling in silico to elucidate how insulin activates mTORC2 remains poorly defined. PMID: 22457328
- L-type amino acid transporter 1 (LAT1) inhibitor, BCH reduces the phosphorylation of mechanistic target of rapamycin kinase (mTOR) in fibroblast-like synoviocytes from patients with rheumatoid arthritis. mTOR inhibitor, temsirolimus, neutralizes the stimulation of interleukin-17 on LAT1. PMID: 29198077
- These results indicate that, under stressful conditions, maintained mTORC1 signaling in cancer cells promotes survival by suppressing endogenous DNA damage, and may control cell fate through the regulation of CHK1. PMID: 28484242
- Results demonstrated that ASCT2 and pmTOR protein levels were significantly higher in epithelial ovarian cancer (EOC) tissues and predicting a poor prognosis. The expression levels of ASCT2 and pmTOR in EOC were positively correlated indicating a synergistic effect on the growth and development of early EOC. PMID: 30272366
- DEPTOR interaction with mTOR represses its kinase activity and rewires the mTOR signaling pathway. [review] PMID: 29897294
- both SphK1 overexpression and S1P addition increased mTOR phosphorylation as shown by ELISA, while S1PR2 inhibition had the inverse effect. These data suggest that CerS6 and SphK1 regulate mTOR signaling in breast cancer cell proliferation. Moreover, mTOR activity can be regulated by the balance between S1P and C16ceramide, which is generated by CerS6. PMID: 30226616
- Study demonstrate that the miR-495 exerts promotive effects on GC chemosensitivity via inactivation of the mTOR signaling pathway by suppressing ERBB2. The study provides reliable evidence supporting the use of miR-495 as a novel potential target in the chemotherapy of GC. PMID: 30147110
- a functional convergence between the mTOR pathway and IFITM3 proteins at endolysosomal membranes. PMID: 30301809
- data on TFEB nucleo-cytoplasmic shuttling suggest an unpredicted role of mTOR in nuclear export. PMID: 30120233
- In this review, we assess the use of mTOR inhibitors to treat age-related pathologies, discuss possible molecular mechanisms of action where evidence is available, and consider strategies to minimize undesirable side effects. PMID: 30096787
- The expression of CXCR4 and mTOR were found to be negatively correlated with remission. Kaplan-Meier analysis indicated a significant decrease in the rate of progression-free survival (PFS) and in that of overall survival (OS) in patients positive for CXCR4 and mTOR expression. PMID: 28952842
- results demonstrated that SSd induces autophagy through the CaMKKbeta-AMPK-mTOR signalling pathway in Autosomal dominant polycystic kidney disease (ADPKD) cells, indicating that SSd might be a potential therapy for ADPKD and that SERCA might be a new target for ADPKD treatment. PMID: 29675630
- findings indicated that shikonin inhibits proliferation and promotes apoptosis in human endometrioid endometrial cancer (EEC) cells by modulating the miR-106b/PTEN/AKT/mTOR signaling pathway, suggesting shikonin could act a potential therapeutic agent in the EEC treatment. PMID: 29449346
- Mammalian target of rapamycin pathway promotes aerobic glycolysis in esophageal squamous cell carcinoma by upregulating pyruvate kinase M2 isoform PMID: 29916308
- The p53 dependence of Plk2 loss and tumor suppressor function in relationship to mTOR signaling may have therapeutic implications. PMID: 29448085
- Expression of miRNAs Targeting mTOR and S6K1 Genes of mTOR Signaling Pathway Including miR-96, miR-557, and miR-3182 in Triple-Negative Breast Cancer. PMID: 29862445
- these findings uncover a novel mechanism by which PML loss may contribute to mTOR activation and cancer progression via dysregulation of basal DDIT4 gene expression. PMID: 28332630
- High mTOR expression is associated with periodontitis. PMID: 30218719
- This review intends to provide an outline of the principal biological and molecular functions of mTOR. PMID: 30110936
- High mTOR expression is associated with Pancreatic Ductal Adenocarcinoma Metastasis. PMID: 29386088
- High mTOR expression is associated with prostate cancer. PMID: 29566977
- Studies indicate that dysregulation leads to a number of metabolic pathological conditions, including obesity and type 2 diabetes [Review]. PMID: 30011848
- In ASS1-knockout cells, DEPTOR, an inhibitor of mTORC1 signal, was downregulated and mTORC1 signaling was more activated in response to arginine. PMID: 28358054
- This review addresses the role of mTOR-dependent autophagy dysfunction in a variety of neuropsychiatric disorders, to focus mainly on psychiatric syndromes including schizophrenia and drug addiction. [review] PMID: 30061532
- This article reviews the role of mTOR in cellular processes involved in cancer cachexia and highlights the studies supporting the contribution of mTOR in cancer cachexia. [review] PMID: 30061533
- High mTOR expression is associated with aggressive pathology in urologic cancers. PMID: 29657089
- miR-212 and mTOR signalings may form a positive regulation loop in maintaining cellular homeostasis. PMID: 30021100
- High p-mTOR expression is associated with increased lymphangiogenesis and lymph node metastasis in prostate adenocarcinoma. PMID: 29544697
- RIO kinase 3 (RIOK3) positively regulates the activity of the AKT/mTOR pathway in glioma cells. PMID: 29233656
- Targeted profiling of RNA translation reveals mTOR-4EBP1/2-independent translation regulation of mRNAs encoding ribosomal proteins. PMID: 30224479
- Results show that mTOR expression is regulated by PPP2R2D which influences its protein phosphorylation level contributing to gastric cancer progression. PMID: 29568966
- We performed quantitative mass spectrometry of IAV1918-infected cells to measure host protein dysregulation. Selected proteins were validated by immunoblotting and phosphorylation levels of members of the PI3K/AKT/mTOR pathway were assessed. PMID: 29866590
- Using an mTORspecific signalling pathway phospho array we revealed that NVPBEZ235 significantly decreased phosphorylation of 4EBP1 (Thr70), the downstream target of mTORC1. PMID: 29845289
- The essential role of mTOR in the endocrine therapy resistance in estrogen receptor-positive, HER2-negative breast cancer.[review] PMID: 29086897
- MiR-206 inhibits the development of epithelial ovarian cancer cell by directly targeting c-Met and inhibiting the c-Met/AKT/mTOR signaling pathway. PMID: 29807226
- our findings identified LSD1 as a novel negative regulator of autophagy through the mTOR signaling pathway in ovarian cancer HO8910 cells and indicated that LSD1 may function as a driving factor of ovarian cancer progression via deregulating autophagy. PMID: 29749504
- These results suggested that silibinin induced glioblastoma cell apoptosis concomitant with autophagy which might be due to simultaneous inhibition of mTOR and YAP and silibinin induced autophagy exerted a protective role against cell apoptosis in both A172 and SR cells. PMID: 29780826
- BEX4 positively regulated the expression of OCT4, silencing of which reduced the proliferation of A549 and H1975cells with over-expressed BEX4. PMID: 29660335
- Study demonstrates that high mTOR expression is associated with poor clinical outcome in acute lymphoblastic leukemia. PMID: 29076004
- mTOR drives innate-like antibody responses by linking proximal transmembrane activator and CAML interactor signaling events with distal immunometabolic transcription programs. PMID: 29133782
- piperine reduced the expression of pAkt, MMP9 and pmTOR. Together, these data indicated that piperine may serve as a promising novel therapeutic agent to better overcome prostate cancer metastasis. PMID: 29488612
- Generation of 2-hydroxyglutarate by mutated IDH1/2 leads to the activation of mTOR by inhibiting KDM4A. PMID: 27624942
- High mTOR expression is associated with gastric cancer. PMID: 29328491
- The authors demonstrate that, particularly when autophagy is upregulated, varicella-zoster virus inhibits mTOR-mediated late-stage autophagic flux, likely at the point where autophagosomes and lysosomes fuse or where vesicle contents are degraded. Importantly, inhibition of autophagy yields higher varicella-zoster virus titers. PMID: 30053655
- Identification of a functional mTOR targeted multigene signature robustly discriminates between normal prostate tissues, primary tumors, and hormone refractory metastatic samples but is also predictive of cancer recurrence PMID: 28724614
- 2-ME reduced the production of CTGF and collagen I in SSc fibroblasts induced by hypoxia through PI3K/Akt/mTOR/HIF-1alpha signalling and inhibited the proliferation of fibroblasts. These findings suggested that 2-ME could be employed as a promising antifibrotic therapy for SSc PMID: 29905853
- miR33a5p inhibited the proliferation of lung adenocarcinoma cells, enhanced the antitumor effect of celastrol, and improved sensitivity to celastrol by targeting mTOR in lung adenocarcinoma in vitro and in vivo PMID: 29484434
- miR-181 may be a novel and important regulator of cisplatin-resistant non-small cell lung cancer by serving a role in the regulation of apoptosis, as an established rate-limiting miRNA target. PMID: 29484437
- Evaluation of the potential mechanism demonstrated that TRIM28 promoted cervical cancer cell growth by activating the mammalian target of rapamycin (mTOR) signaling pathway. In support of this finding, TRIM28-induced cell proliferation was abolished by treatment with everolimus, a specific mTOR inhibitor PMID: 29393469
顯示更多
收起更多
-
相關疾病:Smith-Kingsmore syndrome (SKS); Focal cortical dysplasia 2 (FCORD2)
-
亞細胞定位:Endoplasmic reticulum membrane; Peripheral membrane protein; Cytoplasmic side. Golgi apparatus membrane; Peripheral membrane protein; Cytoplasmic side. Mitochondrion outer membrane; Peripheral membrane protein; Cytoplasmic side. Lysosome. Cytoplasm. Nucleus, PML body. Microsome membrane. Lysosome membrane. Cytoplasmic vesicle, phagosome.
-
蛋白家族:PI3/PI4-kinase family
-
組織特異性:Expressed in numerous tissues, with highest levels in testis.
-
數據庫鏈接:
Most popular with customers
-
YWHAB Recombinant Monoclonal Antibody
Applications: ELISA, WB, IHC, IF, FC
Species Reactivity: Human, Mouse, Rat
-
Phospho-YAP1 (S127) Recombinant Monoclonal Antibody
Applications: ELISA, WB, IHC
Species Reactivity: Human
-
-
-
-
-
-















