POU2AF1 Recombinant Monoclonal Antibody
-
中文名稱:POU2AF1重組抗體
-
貨號:CSB-RA280291A0HU
-
規格:¥1320
-
圖片:
-
Western Blot
Positive WB detected in: Raji whole cell lysate
All lanes: BOB1 antibody at 1:2000
Secondary
Goat polyclonal to rabbit IgG at 1/50000 dilution
Predicted band size: 28 kDa
Observed band size: 35 kDa -
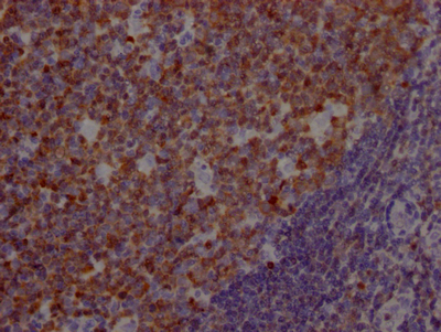
IHC image of CSB-RA280291A0HU diluted at 1:100 and staining in paraffin-embedded human tonsil tissue performed on a Leica BondTM system. After dewaxing and hydration, antigen retrieval was mediated by high pressure in a citrate buffer (pH 6.0). Section was blocked with 10% normal goat serum 30min at RT. Then primary antibody (1% BSA) was incubated at 4℃ overnight. The primary is detected by a Goat anti-rabbit IgG polymer labeled by HRP and visualized using 0.05% DAB.
-
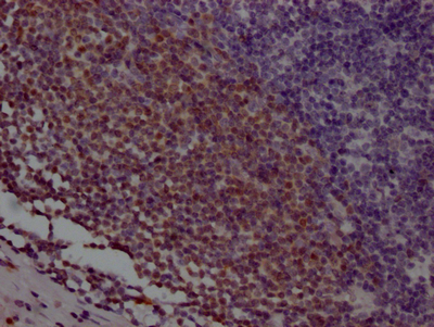
IHC image of CSB-RA280291A0HU diluted at 1:100 and staining in paraffin-embedded human appendix tissue performed on a Leica BondTM system. After dewaxing and hydration, antigen retrieval was mediated by high pressure in a citrate buffer (pH 6.0). Section was blocked with 10% normal goat serum 30min at RT. Then primary antibody (1% BSA) was incubated at 4℃ overnight. The primary is detected by a Goat anti-rabbit IgG polymer labeled by HRP and visualized using 0.05% DAB.
-
-
其他:
產品詳情
-
產品描述:POU2AF1重組單克隆抗體(CUSABIO貨號:CSB-RA280291A0HU)是針對B細胞特異性轉錄共激活因子POU2AF1開發的高特異性科研試劑。POU2AF1在免疫調節中發揮關鍵作用,通過結合POU結構域轉錄因子調控B細胞發育及抗體生成相關基因的表達,其異常表達與淋巴系統疾病密切相關。本抗體經ELISA、Western Blot(WB)和免疫組織化學(IHC)多平臺驗證,在WB實驗中于1:500至1:5000稀釋范圍內可清晰檢測靶蛋白,IHC應用在1:50至1:200稀釋比例下能精準定位福爾馬林固定石蠟包埋組織中的抗原。實驗數據證實該抗體具有優異的選擇性,可識別天然構象和重組表達的POU2AF1蛋白,且批間一致性穩定。適用于探索B細胞分化機制、免疫調控網絡及淋巴瘤相關分子病理研究,為免疫學、血液腫瘤學等領域的基礎研究提供高效檢測工具,特別適用于體外模型構建、蛋白質互作分析及組織表達譜研究等實驗場景。本產品專為科研實驗設計,不涉及其他用途。
-
Uniprot No.:
-
基因名:POU2AF1
-
別名:POU domain class 2-associating factor 1 (B-cell-specific coactivator OBF-1) (BOB-1) (OCA-B) (OCT-binding factor 1), POU2AF1, OBF1
-
反應種屬:Human
-
免疫原:A synthesized peptide derived from human BOB1
-
免疫原種屬:Homo sapiens (Human)
-
標記方式:Non-conjugated
-
克隆類型:Monoclonal
-
抗體亞型:Rabbit IgG
-
純化方式:Affinity-chromatography
-
克隆號:4A5
-
濃度:It differs from different batches. Please contact us to confirm it.
-
保存緩沖液:Rabbit IgG in 10mM phosphate buffered saline , pH 7.4, 150mM sodium chloride, 0.05% BSA, 0.02% sodium azide and 50% glycerol.
-
產品提供形式:Liquid
-
應用范圍:ELISA, WB, IHC
-
推薦稀釋比:
Application Recommended Dilution WB 1:500-1:5000 IHC 1:50-1:200 -
Protocols:
-
儲存條件:Upon receipt, store at -20°C or -80°C. Avoid repeated freeze.
-
貨期:Basically, we can dispatch the products out in 1-3 working days after receiving your orders. Delivery time maybe differs from different purchasing way or location, please kindly consult your local distributors for specific delivery time.
-
用途:For Research Use Only. Not for use in diagnostic or therapeutic procedures.
相關產品
靶點詳情
-
功能:Transcriptional coactivator that specifically associates with either POU2F1/OCT1 or POU2F2/OCT2. It boosts the POU2F1/OCT1 mediated promoter activity and to a lesser extent, that of POU2F2/OCT2. It has no intrinsic DNA-binding activity. It recognizes the POU domains of POU2F1/OCT1 and POU2F2/OCT2. It is essential for the response of B-cells to antigens and required for the formation of germinal centers. Regulates IL6 expression in B cells as POU2F2/OCT2 coactivator.
-
基因功能參考文獻:
- The number of follicular B2 lymphocytes and expression of the B-cell-specific transcriptional coactivator OcaB increase with age in spleen and in intra-abdominal epididymal white adipose tissue (eWAT), concomitantly with higher circulating levels of IgG and impaired glucose homeostasis. PMID: 29496744
- These findings demonstrate for the first time that functional polymorphism in the 3'-UTR of POU2AF1 is associated with susceptibility, and that single-nucleotide polymorphisms interaction with hsa-miR-633 affects gene expression and increases the risk of lymphoma. PMID: 28345816
- Oct2 and Bob1 are very reliable in determining B cell lineage in the absence of expression of other pan-B cell markers PMID: 27319306
- these findings suggest a novel function of POU2AF1 as a potential regulator of host defense genes in the human airway epithelium. PMID: 26927796
- It has been identified as a new disease susceptibility gene among Japanese. Though different from Europeans, it is indicated that a B lymphocyte differentiation route shares a common disease developing process. [Review] PMID: 24005100
- Two significant susceptibility loci, TNFSF15 (rs4979462) and POU2AF1 (rs4938534) (combined odds ratio [OR] = 1.56, p = 2.84 x 10(-14) for rs4979462. PMID: 23000144
- genetic polymorphism is associated with common variable immunodeficiency PMID: 21905497
- Data show that Igh 3' enhancer-bound OCA-B and promoter-bound TFII-I mediate promoter-enhancer interactions, in both cis and trans, that are important for Igh transcription. PMID: 21549311
- On multivariate analysis, co-expression of OCT-2/BOB.1 remained predictive for achievement of complete remission and increased risk of relapse. PMID: 20141429
- BOB.1 may be helpful marker in the differential diagnosis of classical Hodgkin's lymphoma and primary mediastinal B-cell lymphoma PMID: 20102401
- The expression of the octamer cofactor gene OBF-1 (Bob1/OCA-B) is sufficient to override the silencing effects of the B29 silencer, indicating that OBF-1 plays a critical role in B cell-specific B29 promoter expression. PMID: 11907094
- enhances transcriptional potential of Oct1 PMID: 12727885
- OCA-B sustains expression of the immunoglobulin-secreting program when T lymphoma and plasmacytoma lines are fused, requiring Oct-2 coregulator for its function. PMID: 14662861
- POU2AF1 was observed to be differentially expressed in the cells of patients with chronic lymphocytic leukemia. PMID: 15672409
- Alteration of the BOB1 locus does not correlate with its suppressed expression in Hodgkin lymphoma. PMID: 15796964
- Novel germ cell markers BOB1 were significantly upregulated in seminoma specimens, compared to normal testes. PMID: 17785371
- Oct-2 and its cofactor Bob-1 have an important function in mediating the IgH enhancer-bcl-2 promoter region interactions PMID: 18695675
顯示更多
收起更多
-
相關疾病:A chromosomal aberration involving POU2AF1/OBF1 may be a cause of a form of B-cell leukemia. Translocation t(3;11)(q27;q23) with BCL6.
-
亞細胞定位:Nucleus.
-
蛋白家族:POU2AF1 family
-
組織特異性:B-cell specific. Detected in mainly in spleen, but also in thymus, periphral blood leukocyte and small intestine.
-
數據庫鏈接:
Most popular with customers
-
-
YWHAB Recombinant Monoclonal Antibody
Applications: ELISA, WB, IHC, IF, FC
Species Reactivity: Human, Mouse, Rat
-
Phospho-YAP1 (S127) Recombinant Monoclonal Antibody
Applications: ELISA, WB, IHC
Species Reactivity: Human
-
-
-
-
-















