PELP1 Recombinant Monoclonal Antibody
-
中文名稱:PELP1重組抗體
-
貨號:CSB-RA999292A0HU
-
規格:¥1320
-
圖片:
-
Western Blot
Positive WB detected in: Hela whole cell lysate, Jurkat whole cell lysate, 293 whole cell lysate, MCF-7 whole cell lysate, 293T whole cell lysate, HepG2 whole cell lysate
All lanes: PELP1 antibody at 1:1000
Secondary
Goat polyclonal to rabbit IgG at 1/50000 dilution
Predicted band size: 120 kDa
Observed band size: 160 kDa -
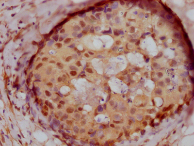
IHC image of CSB-RA999292A0HU diluted at 1:100 and staining in paraffin-embedded human breast cancer performed on a Leica BondTM system. After dewaxing and hydration, antigen retrieval was mediated by high pressure in a citrate buffer (pH 6.0). Section was blocked with 10% normal goat serum 30min at RT. Then primary antibody (1% BSA) was incubated at 4℃ overnight. The primary is detected by a Goat anti-rabbit IgG polymer labeled by HRP and visualized using 0.05% DAB.
-
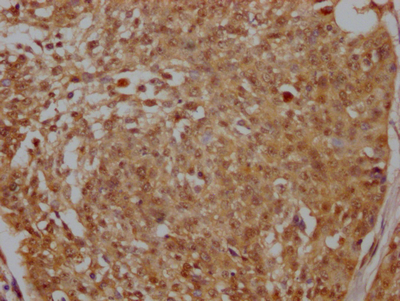
IHC image of CSB-RA999292A0HU diluted at 1:100 and staining in paraffin-embedded human cervical cancer performed on a Leica BondTM system. After dewaxing and hydration, antigen retrieval was mediated by high pressure in a citrate buffer (pH 6.0). Section was blocked with 10% normal goat serum 30min at RT. Then primary antibody (1% BSA) was incubated at 4℃ overnight. The primary is detected by a Goat anti-rabbit IgG polymer labeled by HRP and visualized using 0.05% DAB.
-
-
其他:
產品詳情
-
產品描述:CSB-RA999292A0HU PELP1重組單克隆抗體是針對人類PELP1蛋白研發的高特異性檢測工具。PELP1作為核受體共激活因子,通過與雌激素受體等信號分子相互作用,在激素依賴性腫瘤的發生發展中起關鍵調控作用。本抗體經ELISA、Western Blot(WB)和免疫組化(IHC)多平臺驗證,在WB實驗中可識別天然及重組PELP1蛋白,推薦使用濃度1:500-1:5000時可呈現清晰特異性條帶;在IHC應用中(推薦稀釋比1:50-1:200)能夠精準定位石蠟包埋組織切片中的目標抗原。該產品適用于探索PELP1在腫瘤細胞增殖、轉移及耐藥性中的分子機制,特別在乳腺癌、卵巢癌等激素相關癌癥的基礎研究中,可用于檢測細胞或組織樣本中PELP1的表達水平及亞細胞分布,為信號通路研究和潛在治療靶點篩選提供可靠工具。所有實驗數據均經嚴格質控,確保批次間穩定性,滿足科研領域對實驗重復性的高標準要求。
-
Uniprot No.:
-
基因名:PELP1
-
別名:Proline-, glutamic acid- and leucine-rich protein 1 (Modulator of non-genomic activity of estrogen receptor) (Transcription factor HMX3), PELP1, HMX3 MNAR
-
反應種屬:Human
-
免疫原:A synthesized peptide derived from human PELP1
-
免疫原種屬:Homo sapiens (Human)
-
標記方式:Non-conjugated
-
克隆類型:Monoclonal
-
抗體亞型:Rabbit IgG
-
純化方式:Affinity-chromatography
-
克隆號:6H4
-
濃度:It differs from different batches. Please contact us to confirm it.
-
保存緩沖液:Rabbit IgG in 10mM phosphate buffered saline , pH 7.4, 150mM sodium chloride, 0.05% BSA, 0.02% sodium azide and 50% glycerol.
-
產品提供形式:Liquid
-
應用范圍:ELISA, WB, IHC
-
推薦稀釋比:
Application Recommended Dilution WB 1:500-1:5000 IHC 1:50-1:200 -
Protocols:
-
儲存條件:Upon receipt, store at -20°C or -80°C. Avoid repeated freeze.
-
貨期:Basically, we can dispatch the products out in 1-3 working days after receiving your orders. Delivery time maybe differs from different purchasing way or location, please kindly consult your local distributors for specific delivery time.
-
用途:For Research Use Only. Not for use in diagnostic or therapeutic procedures.
相關產品
靶點詳情
-
功能:Coactivator of estrogen receptor-mediated transcription and a corepressor of other nuclear hormone receptors and sequence-specific transcription factors. Plays a role in estrogen receptor (ER) genomic activity when present in the nuclear compartment by activating the ER target genes in a hormonal stimulation dependent manner. Can facilitate ER non-genomic signaling via SRC and PI3K interaction in the cytosol. Plays a role in E2-mediated cell cycle progression by interacting with RB1. May have important functional implications in ER/growth factor cross-talk. Interacts with several growth factor signaling components including EGFR and HRS. Functions as the key stabilizing component of the Five Friends of Methylated CHTOP (5FMC) complex; the 5FMC complex is recruited to ZNF148 by methylated CHTOP, leading to desumoylation of ZNF148 and subsequent transactivation of ZNF148 target genes. Component of the PELP1 complex involved in the nucleolar steps of 28S rRNA maturation and the subsequent nucleoplasmic transit of the pre-60S ribosomal subunit. Regulates pre-60S association of the critical remodeling factor MDN1. May promote tumorigenesis via its interaction with and modulation of several oncogenes including SRC, PI3K, STAT3 and EGFR. Plays a role in cancer cell metastasis via its ability to modulate E2-mediated cytoskeleton changes and cell migration via its interaction with SRC and PI3K.
-
基因功能參考文獻:
- High PELP1 expression is associated with inflammation and breast cancer. PMID: 27881676
- three techniques for the first time demonstrated the presence of the PELP1 in paraspinal muscles of patients with idiopathic scoliosis. PMID: 27045366
- PELP1 interacted with GR to activate Brk expression. PMID: 26825173
- we propose that PELP1/Ki-67 double high expression in tumors is an independent prognostic factor for predicting a poor outcome for patients with Triple-negative breast cancer PMID: 26472563
- There is mounting evidence that PELP1 plays key roles in several biological processes and its deregulation leads to the development of cancers. PMID: 26158753
- There are significantly higher amounts of PELP1 transcript and protein in tumor tissues in patients with non-small cell lung cancer. PMID: 26211588
- The diffuse and strong nuclear immunoreactivity of PELP1 in most cases suggests that PELP1 may be a molecular target for the treatment of triple-negative breast carcinoma PMID: 26428280
- Results show that PELP1 is highly phosphorylated in triple negative breast cancer cells and interacts with mutated Tp53 and E2F1 to differentially regulates their target gene expression. PMID: 25788226
- The PELP1 interacts with p53, functions as p53-coactivator and is required for optimal activation of p53 target genes under genomic stress. PMID: 24786831
- unliganded PR-B enhanced proliferative responses to estradiol and IGF1 via scaffolding of ER-alpha/PELP1/IGF1R-containing complexes PMID: 24469035
- our data identified the PELP1-mTOR axis as a novel component of PELP1 oncogenic functions and suggest that mTOR inhibitor(s) will be effective chemotherapeutic agents for downregulating PELP1 oncogenic functions. PMID: 24688046
- This review focuses on the interactive functions and therapeutic and prognostic significance of PELP1 in breast and prostate cancers. PMID: 24859989
- PELP1 exhibits an oncogenic function in colorectal cancer through c-Src upregulation. PMID: 24967003
- Overexpression of PELP1 in Chinese women with primary breast cancer appears to be associated with biomarkers of poor outcome; these results are similar to other reports based on Western populations. PMID: 24627205
- PELP1 oncogenic functions involve alternative splicing via PRMT6. PMID: 24447537
- PELP1 regulates tumor metastasis by controlling the expression and functions of the tumor metastasis suppressors miR-200a and miR-141 PMID: 23975430
- MacroH2A1 specifically recruits PELP1 to the promoters of macroH2A1 target genes, but macroH2A1 occupancy occurs independent of PELP1. This recruitment allows macroH2A1 and PELP1 to cooperatively regulate gene expression outcomes. PMID: 24752897
- results suggest that PELP1/MNAR plays a role in endometrial cancer progression and metastasis PMID: 22992812
- PELP1 may enable estradiol-induced androgen receptor (AR) signaling by forming a protein complex between AR, estrogen receptor beta, and PELP1 on the DNA, leading to the proliferation of prostate cancer cells in the absence of androgen. PMID: 22403175
- PELP1 may be a potential therapeutic target for metastatic ER-negative breast cancer. PMID: 22086908
- Univariate survival analysis revealed that high PELP1 expression was associated with worse prognosis in astrocytic brain tumors PMID: 21735116
- proto-oncogene PELP1 plays a vital role in rDNA transcription PMID: 21695158
- Results suggest that PELP1 signaling axis is a potential druggable target and liposomal PELP1-siRNA-DOPC could be used as a novel drug to prevent or treat ovarian metastasis. PMID: 21421858
- These data define the PELP1-TEX10-WDR18 complex as a regulator of ribosome biogenesis and suggests that its SUMO-controlled distribution coordinates the rate of ribosome formation. PMID: 21326211
- PELP1 protein expression is an independent prognostic predictor of shorter breast-cancer-specific survival and disease-free interval in breast cancer. Its elevated expression is positively associated with markers of poor outcome. PMID: 19495959
- PELP1 regulation of aromatase P450 (Cyp19), represent a novel mechanism for in situ estrogen synthesis leading to tumor proliferation by autocrine loop and open a new avenue for ablating local aromatase activity in breast tumors. PMID: 19800002
- PELP1, a steroid coactivator, plays a permissive role in E2-mediated cell cycle progression, presumably via its regulatory interaction with the pRb pathway PMID: 12682072
- Results provide novel insights about the transcription regulation of PELP1 and suggest that PELP1 participates in chromatin remodeling activity via displacement of histone 1 in cancer cells. PMID: 15374949
- PELP1 recruits HDAC2 and masks histones using two separate domains PMID: 15456770
- PELP1 expression and localization are widely deregulated in endometrial cancers. PELP1 and ERbeta were localized predominantly in cytoplasm of high-grade endometrial tumors. PELP1 may play essential role in proliferation of cancerous endometrial cells. PMID: 15579769
- PELP1 / MNAR and estrogen receptor beta are coexpressed in most salivary duct carcinoma and may play a role in the pathobiology of these tumors. PMID: 16021574
- Results suggest that the altered localization of PELP1 modulates sensitivity to antiestrogens, potentiates tumorigenicity via the activation of MAPK and AKT, and enhances cross-regulation of ER transactivation activity by growth factors. PMID: 16140940
- Presence of MNAR in the cell nucleus indicates that it may play a role in regulation of gene expression. PMID: 16297421
- role of HRS in up-regulating MAPK, presumably involving interaction with PELP1. PMID: 16352611
- PELP1/MNAR increases estradiol-mediated cell proliferation and participates in estradiol mediated tumorigenesis and metastasis. [REVIEW] PMID: 16826428
- PELP1/MNAR may contribute to the tumorigenic potential of cancer cells by serving as a scaffolding protein that couples various signaling complexes with Estrogen Receptors (review) PMID: 17128415
- PELP1 functions as a molecular adaptor, coupling FHL2 with nuclear receptors, and PELP1-FHL2 interactions may have a role in prostate cancer progression. PMID: 17192406
- Data suggest that PELP1 is a potential oncogene, that its expression is deregulated during cancer progression, and that PELP1 may play a role in oncogenesis. PMID: 17545633
- PELP1 and HRS reallocate to autophagosomes in response to resveratrol treatment, which might be important in the process of autophagy in the cancer cells. PMID: 17804729
- PELP1 signaling and its interactions with growth factor signaling components and orphan nuclear reactors may locally influence production of estradiol and promote tumor growth by promoting estrogen receptor autocrine signaling. PMID: 18079323
- MNAR plays an important role in ERa activation of Src/MAPK and PI3K/Akt signaling pathways [review] PMID: 18261753
- growth factor signals promote phosphorylation of ER coactivator PELP1 via PKA pathway, and such modification may have functional implications in breast tumors with deregulated growth factor signaling PMID: 18505929
- Overexpression of PELP1 is associated with ovarian tumorigenesis PMID: 18559538
- MNAR interacts with glucocorticoid receptor(GR) in the nucleus but not cytoplasm and regulates GR transactivation in a complex manner depending on cell type. MNAR is capable of regulating both AF1 and AF2 functions of the GR independently. PMID: 18682536
- Statistical analysis revealed an increase in PELP1 expression in myofibroblasts from normal mucosa through adenomas to colorectal carcinomas. PMID: 19048289
- ERalpha is rarely expressed while ERbeta and PELP1/MNAR are involved in colorectal tumorigenesis. PMID: 19478391
- PELP1 is a coactivator of estrogen receptor (ER), interacts with ER, and may have a role in mammary tumorigenesis. PMID: 11481323
顯示更多
收起更多
-
亞細胞定位:Nucleus, nucleolus. Nucleus, nucleoplasm. Nucleus. Cytoplasm.
-
蛋白家族:RIX1/PELP1 family
-
組織特異性:Widely expressed.
-
數據庫鏈接:
Most popular with customers
-
-
YWHAB Recombinant Monoclonal Antibody
Applications: ELISA, WB, IHC, IF, FC
Species Reactivity: Human, Mouse, Rat
-
Phospho-YAP1 (S127) Recombinant Monoclonal Antibody
Applications: ELISA, WB, IHC
Species Reactivity: Human
-
-
-
-
-















