OGT Recombinant Monoclonal Antibody
-
中文名稱:OGT重組抗體
-
貨號:CSB-RA232619A0HU
-
規格:¥1320
-
圖片:
-
Western Blot
Positive WB detected in: NIH/3T3 whole cell lysate, HL-60 whole cell lysate, Rat Brain whole cell lysate, Mouse Brain whole cell lysate
All lanes: OGT antibody at 1:1000
Secondary
Goat polyclonal to rabbit IgG at 1/50000 dilution
Predicted band size: 117, 104, 116, 75 kDa
Observed band size: 117 kDa -
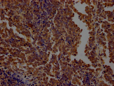
IHC image of CSB-RA232619A0HU diluted at 1:100 and staining in paraffin-embedded human lung cancer performed on a Leica BondTM system. After dewaxing and hydration, antigen retrieval was mediated by high pressure in a citrate buffer (pH 6.0). Section was blocked with 10% normal goat serum 30min at RT. Then primary antibody (1% BSA) was incubated at 4℃ overnight. The primary is detected by a Goat anti-rabbit IgG polymer labeled by HRP and visualized using 0.05% DAB.
-
-
其他:
產品詳情
-
產品描述:CSB-RA232619A0HU OGT重組單克隆抗體是針對O-連接N-乙酰氨基葡萄糖轉移酶(OGT)開發的高特異性科研工具。OGT作為調控蛋白質O-GlcNAc糖基化修飾的核心酶,參與細胞信號轉導、代謝平衡及表觀遺傳調控,其異常表達與代謝性疾病、腫瘤發生及神經退行性病變密切相關。本抗體經多種實驗驗證,在Western Blot中可清晰識別內源性OGT蛋白,推薦稀釋比例為1:500-1:5000;在免疫組化實驗中可有效檢測福爾馬林固定石蠟包埋組織中的抗原定位,適用稀釋范圍為1:50-1:200。該產品在細胞裂解液、組織勻漿等多種樣本體系中表現優異,適用于探索OGT在糖代謝重編程、應激響應及表觀遺傳調控中的分子機制,可為糖尿病相關代謝研究、腫瘤微環境分析以及神經系統疾病模型構建提供可靠檢測工具。建議配合陽性和陰性對照以確保實驗特異性,適用于蛋白質相互作用研究、細胞定位分析及疾病相關信號通路探索等基礎科研領域。
-
Uniprot No.:
-
基因名:OGT
-
別名:UDP-N-acetylglucosamine--peptide N-acetylglucosaminyltransferase 110 kDa subunit (EC 2.4.1.255) (O-GlcNAc transferase subunit p110) (O-linked N-acetylglucosamine transferase 110 kDa subunit) (OGT), OGT
-
反應種屬:Human, Mouse, Rat
-
免疫原:A synthesized peptide derived from human OGT / O-Linked N-Acetylglucosamine Transferase
-
免疫原種屬:Homo sapiens (Human)
-
標記方式:Non-conjugated
-
克隆類型:Monoclonal
-
抗體亞型:Rabbit IgG
-
純化方式:Affinity-chromatography
-
克隆號:8G7
-
濃度:It differs from different batches. Please contact us to confirm it.
-
保存緩沖液:Rabbit IgG in 10mM phosphate buffered saline , pH 7.4, 150mM sodium chloride, 0.05% BSA, 0.02% sodium azide and 50% glycerol.
-
產品提供形式:Liquid
-
應用范圍:ELISA, WB, IHC
-
推薦稀釋比:
Application Recommended Dilution WB 1:500-1:5000 IHC 1:50-1:200 -
Protocols:
-
儲存條件:Upon receipt, store at -20°C or -80°C. Avoid repeated freeze.
-
貨期:Basically, we can dispatch the products out in 1-3 working days after receiving your orders. Delivery time maybe differs from different purchasing way or location, please kindly consult your local distributors for specific delivery time.
-
用途:For Research Use Only. Not for use in diagnostic or therapeutic procedures.
相關產品
靶點詳情
-
功能:Catalyzes the transfer of a single N-acetylglucosamine from UDP-GlcNAc to a serine or threonine residue in cytoplasmic and nuclear proteins resulting in their modification with a beta-linked N-acetylglucosamine (O-GlcNAc). Glycosylates a large and diverse number of proteins including histone H2B, AKT1, EZH2, PFKL, KMT2E/MLL5, MAPT/TAU and HCFC1. Can regulate their cellular processes via cross-talk between glycosylation and phosphorylation or by affecting proteolytic processing. Probably by glycosylating KMT2E/MLL5, stabilizes KMT2E/MLL5 by preventing its ubiquitination. Involved in insulin resistance in muscle and adipocyte cells via glycosylating insulin signaling components and inhibiting the 'Thr-308' phosphorylation of AKT1, enhancing IRS1 phosphorylation and attenuating insulin signaling. Involved in glycolysis regulation by mediating glycosylation of 6-phosphofructokinase PFKL, inhibiting its activity. Component of a THAP1/THAP3-HCFC1-OGT complex that is required for the regulation of the transcriptional activity of RRM1. Plays a key role in chromatin structure by mediating O-GlcNAcylation of 'Ser-112' of histone H2B: recruited to CpG-rich transcription start sites of active genes via its interaction with TET proteins (TET1, TET2 or TET3). As part of the NSL complex indirectly involved in acetylation of nucleosomal histone H4 on several lysine residues. O-GlcNAcylation of 'Ser-75' of EZH2 increases its stability, and facilitating the formation of H3K27me3 by the PRC2/EED-EZH2 complex. Regulates circadian oscillation of the clock genes and glucose homeostasis in the liver. Stabilizes clock proteins ARNTL/BMAL1 and CLOCK through O-glycosylation, which prevents their ubiquitination and subsequent degradation. Promotes the CLOCK-ARNTL/BMAL1-mediated transcription of genes in the negative loop of the circadian clock such as PER1/2 and CRY1/2. O-glycosylates HCFC1 and regulates its proteolytic processing and transcriptional activity. Regulates mitochondrial motility in neurons by mediating glycosylation of TRAK1. Glycosylates HOXA1. O-glycosylates FNIP1.; the mitochondrial isoform (mOGT) is cytotoxic and triggers apoptosis in several cell types including INS1, an insulinoma cell line.
-
基因功能參考文獻:
- High OGT expression is associated with breast cancer. PMID: 30106436
- O-GlcNAc transferase (OGT) is a partner of the MCM2-7 complex and O-GlcNAcylation might regulate MCM2-7 complex by regulating the chromatin loading of MCM6 and MCM7 and stabilizing MCM/MCM interactions. PMID: 30069701
- LXRalpha interacts with OGT in its N-terminal domain and ligand-binding domain (LBD) in a ligand-independent fashion. PMID: 29577901
- Findings demonstrate a novel role of Poleta O-GlcNAcylation by OGT in translesion DNA synthesis regulation and genome stability maintenance. PMID: 29208956
- OGT, a unique glycosyltransferase enzyme, was identified to be upregulated in non-alcoholic fatty liver disease-associated hepatocellular carcinoma tissues by transcriptome sequencing. Here, we found that OGT plays a role in cancer by promoting tumor growth and metastasis in cell models. This effect is mediated by the induction of palmitic acid. PMID: 28347804
- Nrf1 is regulated by O-GlcNAc transferase. PMID: 28625484
- Findings indicate O-linked N-acetylglucosamine transferase (OGT) as a cellular factor involved in human papillomaviruses type 16/18 E6 and E7 expressions and cervical cancer tumorigenesis, suggesting that targeting OGT in cervical cancer may have potential therapeutic benefit. PMID: 27331873
- The findings suggest that OGT promotes the O-GlcNAc modification of HDAC1 in the development of progression hepatocellular carcinoma. PMID: 27060025
- Tax interacts with the host OGT/OGA complex and inhibits the activity of OGT-bound OGA. PMID: 28742148
- We identified two human PRC2 complexes and two PR-DUB deubiquitination complexes, which contain the O-linked N-acetylglucosamine transferase OGT1 and several transcription factors. PMID: 27705803
- Mutations in N-acetylglucosamine (O-GlcNAc) transferase in patients with X-linked intellectual disability PMID: 28584052
- This work uncovers that URI-regulated OGT confers c-MYC-dependent survival functions in response to glucose fluctuations. PMID: 27505673
- The results of this study showed that the OGT is essential for sensory neuron survival and target innervation. PMID: 28115479
- The authors show that O-GlcNAcylation of KEAP1 by OGT at serine 104 is required for the efficient ubiquitination and degradation of NRF2. PMID: 28663241
- Data suggest that O-GlcNAc transferase 1 (OGT1) specifically binds to, O-GlcNAcylates, and stabilizes nonspecific lethal protein3 (NSL3); stabilization of NSL3 by OGT1 up-regulates global acetylation levels of histone 4 at Lys-5, Lys-8, and Lys-16. PMID: 28450392
- conclusion, our results demonstrated that miR24 inhibits breast cancer cells invasion by targeting OGT and reducing FOXA1 stability. These results also indicated that OGT might be a potential target for the diagnosis and therapy of breast cancer metastasis. PMID: 28455227
- Fatty acid synthase fine-tunes the cell's response to stress and injury by remodeling cellular O-GlcNAcylation PMID: 28232487
- OGT functions in metastatic spread of HPV E6/E7-positive HeLa cells to xenografted lungs through E6/E7, HCF-1 and CXCR4 PMID: 27845045
- Reducing endogenous mitochondrial OGT expression leads to alterations in mitochondrial structure and function, including Drp1-dependent mitochondrial fragmentation, reduction in mitochondrial membrane potential, and a significant loss of mitochondrial content in the absence of mitochondrial reactive oxygen species. PMID: 28100784
- Thus, a single amino acid substitution in the regulatory domain (the tetratricopeptide repeat domain) of OGT, which catalyzes the O-GlcNAc post-translational modification of nuclear and cytosolic proteins, appears causal for X-linked intellectual disability. PMID: 28302723
- Beyond its well-known role in adding beta-O-GlcNAc to serine and threonine residues of nuclear and cytoplasmic proteins, OGT also acts as a protease in the maturation of the cell cycle regulator, HCF-1, and serves as an integral member of several protein complexes, many of them linked to gene expression. (Review) PMID: 27294441
- the O-linked N-acetylglucosamine (O-GlcNAc) processing enzymes, O-GlcNAc-transferase (OGT) and O-GlcNAcase (OGA), interact with the (A)gamma-globin promoter at the -566 GATA repressor site PMID: 27231347
- O-GlcNAcylation expression and its nuclear expression were associated with the carcinogenesis and progression of gastric carcinoma. PMID: 27131860
- These results support a model in which OGT modifies HIRA to regulate HIRA-H3.3 complex formation and H3.3 nucleosome assembly and reveal the mechanism by which OGT functions in cellular senescence. PMID: 27217568
- data indicate that O-GlcNAc-transferase activity is essential for RNA pol II promoter recruitment and that pol II goes through a cycling of O-GlcNAcylation at the promoter PMID: 27129214
- OGT inhibited the formation of the Ecadherin/catenin complex through reducing the interaction between p120 and Ecadherin. PMID: 26707622
- We concluded that OGT plays a key role in gastric cancer proliferation and survival, and could be a potential target for therapy. PMID: 26397041
- Data suggest RNA polymerase II (POLR2A) is extensively modified on its unique C-terminal domain (CTD) by O-GlcNAc transferase (OGT); efficient O-GlcNAcylation requires a minimum of 20 heptad CTD repeats in POLR2A and more than half of NTD of OGT. PMID: 26807597
- Together, these findings suggest that induction of SNO-OGT by Ab exposure is a pathogenic mechanism to cause cellular hypo-O-GlcNAcylation by which Ab neurotoxicity is executed PMID: 26854602
- These results suggested roles of O-GlcNAcylation in modulating serine phosphorylation, as well as in regulating PKM2 activity and expression. PMID: 26252736
- These results demonstrate that distinct OGT-binding sites in HCF-1 promote proteolysis, and provide novel insights into the mechanism of this unusual protease activity. PMID: 26305326
- This work reveals that although the N-terminal TPR repeats of OGT may have roles in substrate recognition, the sequence restriction imposed by the peptide-binding site makes a substantial contribution to O-GlcNAc site specificity. PMID: 26237509
- OGT expression is increased under hypoxic conditions. PMID: 26399441
- E2F1 negatively regulates both Ogt and Mgea5 expression in an Rb1 protein-dependent manner. PMID: 26527687
- a new function of histone O-GlcNAcylation in DNA damage response PMID: 26408091
- Inhibition of O-Linked N-Acetylglucosamine Transferase Reduces Replication of Herpes Simplex Virus and Human Cytomegalovirus. PMID: 26041297
- miR4235p was associated with congestive heart failure and the expression levels of proBNP; in addition, OGT was found to be a direct target of miR4235p. PMID: 25776937
- Use of OGT(C917A) enhances O-GlcNDAz production, yielding improved cross-linking of O-GlcNDAz-modified molecules PMID: 26240142
- Hexosamine biosynthetic pathway flux is increased in idiopathic pulmonary artery hypertension and drives OGT-facilitated pulmonary artery smooth muscle cell proliferation via specific proteolysis and direct activation of host cell factor-1. PMID: 25663381
- Histone demethylase LSD2 acts as an E3 ubiquitin ligase and inhibits cancer cell growth through promoting proteasomal degradation of OGT. PMID: 25773598
- Amino acid composition of splice variants, post-translational modifications, and stable associations with regulatory proteins influence subcellular distribution/substrate specificity of OGT and OGA (O-GlcNAcase beta-N-acetylglucosaminidase). [REVIEW] PMID: 25173736
- Endogenous OTX2 from a medulloblastoma cell line is O-GlcNAcylated at several sites. PMID: 24580054
- Phosphorylation of TET proteins is regulated via O-GlcNAcylation by the O-linked N-acetylglucosamine transferase (OGT). PMID: 25568311
- O-linked beta-N-acetylglucosamine transferase mediates O-GlcNAcylation of the SNARE protein SNAP-29 and regulates autophagy in a nutrient-dependent manner. PMID: 25419848
- Instead, an adipogenesis-dependent increase in O-linked beta-N-acetylglucosamine (O-GlcNAc) glycosylation of EWS was observed. PMID: 24928395
- Estrogen replacement therapy and plyometric training influence muscle OGT and OGA gene expression, which may be one of the mechanisms by which HRT and PT prevent aging-related loss of muscle mass. PMID: 24365779
- OGT catalyzes the O-GlcNAcylation of TET3, promotes TET3 nuclear export, and, consequently, inhibits the formation of 5-hydroxymethylcytosine catalyzed by TET3. PMID: 24394411
- Data suggest that with multi-substrate enzymes, such as OGT, specific inhibition can rarely be achieved with ligands that compete solely with one of the substrates; OGT is inhibited by bisubstrate UDP-oligopeptide conjugates. PMID: 24256146
- The backbone carbonyl oxygen of Leu653 and the hydroxyl group of Thr560 in OGT contribute to the recognition of sugar moieties via hydrogen bonds. PMID: 23700425
- Expression of c-MYC and OGT was tightly correlated in human prostate cancer samples. PMID: 23720054
顯示更多
收起更多
-
相關疾病:Mental retardation, X-linked 106 (MRX106)
-
亞細胞定位:Nucleus. Cytoplasm.; [Isoform 2]: Mitochondrion. Membrane.; [Isoform 3]: Cytoplasm. Nucleus. Cell membrane. Mitochondrion membrane. Cell projection.; [Isoform 4]: Cytoplasm. Nucleus.
-
蛋白家族:Glycosyltransferase 41 family, O-GlcNAc transferase subfamily
-
組織特異性:Highly expressed in pancreas and to a lesser extent in skeletal muscle, heart, brain and placenta. Present in trace amounts in lung and liver.
-
數據庫鏈接:
Most popular with customers
-
-
YWHAB Recombinant Monoclonal Antibody
Applications: ELISA, WB, IHC, IF, FC
Species Reactivity: Human, Mouse, Rat
-
-
-
-
-
-















