NT5E Recombinant Monoclonal Antibody
-
中文名稱:NT5E重組抗體
-
貨號:CSB-RA978310A0HU
-
規格:¥1320
-
圖片:
-
IHC image of CSB-RA978310A0HU diluted at 1:100 and staining in paraffin-embedded human endometrial cancer performed on a Leica BondTM system. After dewaxing and hydration, antigen retrieval was mediated by high pressure in a citrate buffer (pH 6.0). Section was blocked with 10% normal goat serum 30min at RT. Then primary antibody (1% BSA) was incubated at 4℃ overnight. The primary is detected by a Goat anti-rabbit IgG polymer labeled by HRP and visualized using 0.05% DAB.
-
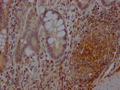
IHC image of CSB-RA978310A0HU diluted at 1:100 and staining in paraffin-embedded human colon cancer performed on a Leica BondTM system. After dewaxing and hydration, antigen retrieval was mediated by high pressure in a citrate buffer (pH 6.0). Section was blocked with 10% normal goat serum 30min at RT. Then primary antibody (1% BSA) was incubated at 4℃ overnight. The primary is detected by a Goat anti-rabbit IgG polymer labeled by HRP and visualized using 0.05% DAB.
-
-
其他:
產品詳情
-
產品描述:CSB-RA978310A0HU NT5E重組單克隆抗體是針對胞外核苷酸酶CD73靶點研發的高特異性科研試劑。該抗體靶向的NT5E蛋白作為嘌呤代謝通路關鍵酶,通過催化AMP生成腺苷參與免疫調節和腫瘤微環境形成,在腫瘤免疫逃逸、炎癥反應及組織缺氧適應性調控等領域具有重要研究價值。經嚴格驗證,本產品在ELISA實驗中展現優異抗原結合能力,并適用于石蠟包埋組織切片的免疫組化檢測,推薦使用稀釋比例為1:50-1:200,能清晰顯示靶蛋白在細胞膜及胞質中的定位分布。該重組抗體采用哺乳動物表達系統制備,具有批次穩定性高、背景信號低的特點,適用于腫瘤微環境分析、免疫細胞功能研究以及代謝相關信號通路機制探索等實驗場景,為癌癥生物學、免疫治療靶點篩選及病理機制研究提供可靠工具,所有應用僅限于體外科學研究。
-
Uniprot No.:
-
基因名:
-
別名:5'-nucleotidase (5'-NT) (EC 3.1.3.5) (Ecto-5'-nucleotidase) (CD antigen CD73), NT5E, NT5 NTE
-
反應種屬:Human
-
免疫原:A synthesized peptide derived from human CD73
-
免疫原種屬:Homo sapiens (Human)
-
標記方式:Non-conjugated
-
克隆類型:Monoclonal
-
抗體亞型:Rabbit IgG
-
純化方式:Affinity-chromatography
-
克隆號:6F6
-
濃度:It differs from different batches. Please contact us to confirm it.
-
保存緩沖液:Rabbit IgG in 10mM phosphate buffered saline , pH 7.4, 150mM sodium chloride, 0.05% BSA, 0.02% sodium azide and 50% glycerol.
-
產品提供形式:Liquid
-
應用范圍:ELISA, IHC
-
推薦稀釋比:
Application Recommended Dilution IHC 1:50-1:200 -
Protocols:
-
儲存條件:Upon receipt, store at -20°C or -80°C. Avoid repeated freeze.
-
貨期:Basically, we can dispatch the products out in 1-3 working days after receiving your orders. Delivery time maybe differs from different purchasing way or location, please kindly consult your local distributors for specific delivery time.
-
用途:For Research Use Only. Not for use in diagnostic or therapeutic procedures.
相關產品
靶點詳情
-
功能:Hydrolyzes extracellular nucleotides into membrane permeable nucleosides. Exhibits AMP-, NAD-, and NMN-nucleosidase activities.
-
基因功能參考文獻:
- Changes in the local expression and activity of CD39 and CD73 in calcified valves suggest their potential role in calcific aortic valve disease. PMID: 30056298
- High expression of NT5E is associated with Prostate Cancer. PMID: 29916747
- Case Report: identify novel mutations in the NT5E gene in patient with calcification of joints and arteries. PMID: 28825389
- High CD73 expression is associated with breast cancer. PMID: 29047106
- High CD73 expression is associated with neoplasms. PMID: 29514610
- NT5E-targeting miRNAs (miR-30b and miR-340) function as tumor suppressors PMID: 29155108
- soluble CD73 might be used as serologic prognostic biomarker in patients with metastatic melanoma patients. PMID: 29202855
- High CD73 expression is associated with the increase in the ability of surviving breast cancer cells to evade innate and adaptive immunity. PMID: 29367423
- analysis of how inhibitors block human CD73 and block efficiently its enzymatic function in the low micromolar range through a non-competitive inhibition mechanism PMID: 29377887
- The Ecto-5'nucleotidase, together with alkaline phosphatase, also expressed apically in oviductal epithelium, complete the hydrolysis sequence by dephosphorylating AMP to adenosine. PMID: 29273916
- this paper shows that simultaneous overexpression of human E5NT and ENTPD1 protects porcine endothelial cells against H2O2-induced oxidative stress and cytotoxicity in vitro PMID: 28389406
- high levels of CD73 are significantly associated with reduced overall survival in patients with head and neck squamous cell carcinoma PMID: 27557512
- Studied role of miR-30a in colorectal cancer(CRC). Found miR-30a is downregulated in CRC, and it inhibits cell proliferation in CRC by reducing expression of CD73. PMID: 28464916
- we demonstrated the existence of CSCs in both cultured ccRCC cell line and tissues, and CD73 as a cell-surface biomarker for ccRCC CSC-like cells. PMID: 28404888
- Induction of ecto-5'-nucleotidase/CD73 by radiation contributes to the radiosensitivity of T24 urinary bladder cancer cell line. PMID: 29305710
- Report prognostic impact of CD73 expression in non-small lung cancers. PMID: 28060732
- Data show that MiR-422a and its target CD73 are involved in early loco(regional) recurrence of head and neck squamous cell carcinoma (HNSCC) tumors and are targets for personalized medicine. PMID: 27281619
- HPV+ cervical cancer cells express higher levels of CD73 than HPV- cells, and this expression is associated with the production of larger amounts of adenosine, as well as a stronger inhibition of proliferation, activation, and cytotoxic activity of CD8+ T cells via interaction with A2A adenosine receptor PMID: 28950987
- High CD73 expression is associated with Melanoma Metastasis. PMID: 28652244
- Hippocampal astrogliosis observed in medial temporal lobe epilepsy patients was accompanied by a proportionate increase in A2A receptor and ecto-5'-nucleotidase/CD73 immunoreactivities. PMID: 27650530
- High CD73 expression is associated with cervical cancer. PMID: 28202050
- Endogenous Plastic Somatic (ePS) cells in a latent state, i.e. lacking SOX2, OCT3/4 and NANOG (SON) expression, in non-diseased breast specimens through immunohistochemical analysis of previously identified ePS-specific biomarkers (CD73(+), EpCAM(+) and CD90(-)). PMID: 27705752
- Down-regulation of CD73 on B cells of patients with viremic HIV correlates with B cell activation and disease progression. PMID: 28193736
- CD73 polymorphisms play a role in calciphylaxis development in dialysis patients. PMID: 28212442
- CD73 expression is upregulated in NSCLC and is correlated with a decrease in miR-30a-5p expression. PMID: 28158983
- This study found that in septic critically ill patients the soluble CD73 levels were generally low and showed a further decrease from 0h to 24h. Moreover, the sCD73 levels were higher in acute kidney injury (AKI) versus non-AKI patients and in non-survivors with severe sepsis than in survivors, but were not independently associated either with the development of AKI or 90-day mortal PMID: 27732656
- concluded that CD39 and CD73 are molecular targets for the development of drugs for ALF patients care PMID: 27899277
- Genetic polymorphism of NT5E may contribute to the pathogenesis of calcific aortic valve disease. PMID: 27906615
- Oxidized low density lipoproteins modulate CD39 and CD73 activity in the endothelium. PMID: 27906627
- CD73 may play an important role in breast cancer stem cells. PMID: 27670764
- This study aimed to investigate the activities of purinergic system ecto-enzymes present on the platelet surface as well as CD39 and CD73 expressions on platelets of sickle cell anemia treated patients. PMID: 27044834
- Aim of the present study was to investigate the role of CD73 in glioma blood vessels; results found that the expression of CD73 in glioma vascular cells is significantly decreased, and this reduction may down-regulate the expression of brain microvascular endothelial tight junction-related proteins PMID: 26884147
- These results provide a finely mapped epitope that can be targeted for selective, potent, and non-competitive inhibition of CD73, as well as establish a strategy for inhibiting enzymes that function in both membrane-bound and soluble states. PMID: 26854859
- CD73 promotes the growth of human colorectal cancer cells through EGFR and the b-catenin/cyclin D1 signaling pathway. CD73 may be used as a valuable biomarker of colorectal cancer. PMID: 26708311
- Our study revealed that CD73 is an independent prognostic factor in prostate cancer. PMID: 26253870
- The NT5E gene is involved in both intrinsic and acquired resistance to platinum-based drugs in ovarian cancer. [meta-analysis] PMID: 26629888
- CD73 expression was significantly correlated with the invasion into adjacent organs. PMID: 26691441
- report on a Chinese family with CALJA and novel compound heterozygous mutations (c.1360G>A (p.Gly454Arg) and c.1387C>T (p.Arg463X)) in NT5E PMID: 26178434
- findings reveal that CD73-generated adenosine promotes epithelial integrity and suggest why loss of CD73 in endometrial cancer allows for tumor progression PMID: 26642367
- CD73 activity from any host cell type is not required for the monocyte/macrophage polarization in the peritoneum towards a pro- or an anti-inflammatory phenotype in vivo PMID: 26258883
- these data suggest a possible role for CD73 and A2A in inflammation observed in patients with T2D and obesity mediated via apoptosis. PMID: 25770019
- This study highlights a role for CD73 as a prognostic marker of patient survival and also as a candidate therapeutic target in high-grade serous ovarian cancers. PMID: 26363007
- role of CD73 and CD39 ectonucleotidases in T cell differentiation PMID: 26226423
- Expression of NPP1 and 5'-nucleotidase by valve interstitial cells promotes the mineralization of the aortic valve through A2aR and a cAMP/PKA/CREB pathway. PMID: 25644539
- Although upregulated CD73 expression in tumor cells correlates with a poor prognosis in patients with rectal adenocarcinoma, the combination of CD73 expression in malignant epithelial cells and tumor stroma may have a better prognostic value PMID: 25677906
- rs9444348 heterozygosity is associated with increased risk of post-traumatic epilepsy development after brain injury. PMID: 26040919
- Species-specific CD73 regulation, with potential significance to cancer, fibrosis, and other diseases characterized by changes in CD73 expression and function. PMID: 25298403
- The Nt5e(-/-) targeted mutant mice recapitulate some, but not all, features of ACDC and serve as a model system to study pharmacologic interventions for ectopic mineralization. PMID: 25486201
- CD73 enhances endothelial barrier function and sprouting in blood but not lymphatic vasculature. PMID: 25402681
- It decompose ATP and produce adenosine, which regulates immunity via adenosine receptor. PMID: 25675814
顯示更多
收起更多
-
相關疾病:Calcification of joints and arteries (CALJA)
-
亞細胞定位:Cell membrane; Lipid-anchor, GPI-anchor.
-
蛋白家族:5'-nucleotidase family
-
數據庫鏈接:
Most popular with customers
-
-
YWHAB Recombinant Monoclonal Antibody
Applications: ELISA, WB, IHC, IF, FC
Species Reactivity: Human, Mouse, Rat
-
Phospho-YAP1 (S127) Recombinant Monoclonal Antibody
Applications: ELISA, WB, IHC
Species Reactivity: Human
-
-
-
-
-















