-
中文名稱:MAOB重組抗體
-
貨號:CSB-RA999377A0HU
-
規格:¥1320
-
圖片:
-
Western Blot
Positive WB detected in: L02 whole cell lysate, HepG2 whole cell lysate
All lanes: Monoamine Oxidase B Antibody at 1:1000
Secondary
Goat polyclonal to rabbit IgG at 1/50000 dilution
Predicted band size: 59, 47 kDa
Observed band size: 59 kDa -
IHC image of CSB-RA999377A0HU diluted at 1:100 and staining in paraffin-embedded human liver tissue performed on a Leica BondTM system. After dewaxing and hydration, antigen retrieval was mediated by high pressure in a citrate buffer (pH 6.0). Section was blocked with 10% normal goat serum 30min at RT. Then primary antibody (1% BSA) was incubated at 4℃ overnight. The primary is detected by a Goat anti-rabbit IgG polymer labeled by HRP and visualized using 0.05% DAB.
-
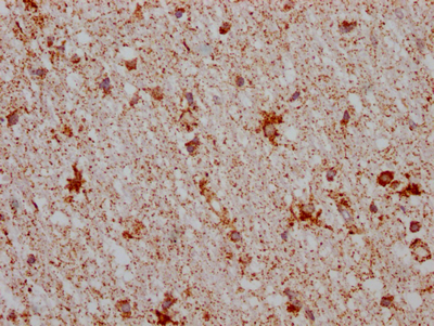
IHC image of CSB-RA999377A0HU diluted at 1:100 and staining in paraffin-embedded human brain tissue performed on a Leica BondTM system. After dewaxing and hydration, antigen retrieval was mediated by high pressure in a citrate buffer (pH 6.0). Section was blocked with 10% normal goat serum 30min at RT. Then primary antibody (1% BSA) was incubated at 4℃ overnight. The primary is detected by a Goat anti-rabbit IgG polymer labeled by HRP and visualized using 0.05% DAB.
-
-
其他:
產品詳情
-
產品描述:CSB-RA999377A0HU MAOB重組單克隆抗體是針對單胺氧化酶B(MAOB)研發的高特異性檢測工具,適用于多種實驗場景。該抗體通過重組技術制備,具有優異的批間一致性,經嚴格驗證可在ELISA、蛋白質印跡(WB)及免疫組化(IHC)等多種平臺穩定應用。在蛋白質印跡實驗中,抗體在1:500至1:5000稀釋范圍內可清晰識別內源性MAOB蛋白,呈現單一特異性條帶;在免疫組化分析中,1:50至1:200稀釋比例下能精準定位石蠟包埋組織切片中的靶蛋白表達。MAOB作為線粒體酶參與神經遞質代謝調控,與神經退行性疾病及情緒調節密切相關。本產品可為神經生物學研究提供可靠支持,尤其適用于帕金森病機制探索、抗抑郁藥物體外評價及腦組織/細胞模型中MAOB表達水平檢測等科研方向,為相關領域的蛋白功能研究和病理機制解析提供優質實驗材料。
-
Uniprot No.:
-
基因名:
-
別名:Amine oxidase [flavin-containing] B (EC 1.4.3.4) (Monoamine oxidase type B) (MAO-B), MAOB
-
反應種屬:Human
-
免疫原:A synthesized peptide derived from human Monoamine Oxidase B
-
免疫原種屬:Homo sapiens (Human)
-
標記方式:Non-conjugated
-
克隆類型:Monoclonal
-
抗體亞型:Rabbit IgG
-
純化方式:Affinity-chromatography
-
克隆號:9B6
-
濃度:It differs from different batches. Please contact us to confirm it.
-
保存緩沖液:Rabbit IgG in 10mM phosphate buffered saline , pH 7.4, 150mM sodium chloride, 0.05% BSA, 0.02% sodium azide and 50% glycerol.
-
產品提供形式:Liquid
-
應用范圍:ELISA, WB, IHC
-
推薦稀釋比:
Application Recommended Dilution WB 1:500-1:5000 IHC 1:50-1:200 -
Protocols:
-
儲存條件:Upon receipt, store at -20°C or -80°C. Avoid repeated freeze.
-
貨期:Basically, we can dispatch the products out in 1-3 working days after receiving your orders. Delivery time maybe differs from different purchasing way or location, please kindly consult your local distributors for specific delivery time.
-
用途:For Research Use Only. Not for use in diagnostic or therapeutic procedures.
引用文獻
- Effects of latroeggtoxin-VI on dopamine and α-synuclein in PC12 cells and the implications for Parkinson's disease D Yu,Biological research,2024
相關產品
靶點詳情
-
功能:Catalyzes the oxidative deamination of biogenic and xenobiotic amines and has important functions in the metabolism of neuroactive and vasoactive amines in the central nervous system and peripheral tissues. MAOB preferentially degrades benzylamine and phenylethylamine.
-
基因功能參考文獻:
- Our observations provide new information on the genotype-phenotype relations of MAOA/B and EFHC2 genes involved in the contiguous deletions of Norrie disease.Based on the case of our observation, contiguous deletion with only one of the MAO genes (MAOB) may not cause psychomotor disability, and deletion of EFHC2may not contribute to epilepsy. PMID: 29321361
- This study shows that MAO-B levels are increased not only in astrocytes but also in pyramidal neurons in Alzheimer disease brain and also suggests that MAO-B regulates Abeta production in neurons via gamma-secretase PMID: 28764767
- The findings may suggest that MAO-B is an important sensor in iron-stressed neuronal cells. PMID: 28685208
- brain protein levels of MAOB are normal or elevated in the three parkinsonian conditions-with MAOB increase generally associated with elevations in levels of astrocyte markers. Brain MAOA concentrations were, somewhat surprisingly, not decreased in Parkinson's disease, Progressive Supranuclear palsy or multiple system atrophy with the exception of the atrophic putamen in MSA, despite loss of dopamine neurons. PMID: 29050386
- MAOB gene variants are contributing to the etiology of ADHD in the Indo-Caucasoid population PMID: 27341797
- This study suggests that MAOB increases ASD risk in males, possibly through its sex-specific regulatory effect on 5-HT metabolism and behavior. PMID: 27381555
- These findings suggest an association of platelet MAO-B activity, but a lack of association of MAOB rs1799836 and MAOA-uVNTR, with selected psychotic symptoms in ethnically homogenous veterans with PTSD. PMID: 27112218
- No significant association was found between severe agitation and MAOA uVNTR or MAOB rs1799836 polymorphism, revealing that these individual polymorphisms in MAO genes are not related to severe agitation in subjects with schizophrenia and conduct disorder. Higher platelet MAO-B activity was found in subjects with severe agitation vs. non-agitated subjects. Platelet MAO-B activity was not associated with MAOB rs1799836 PMID: 26851573
- we performed a meta-analysis in the Chinese population to provide comprehensive data on the association between the MAOB polymorphism and Parkinson's disease. Overall, no significant association was found between the MAOB A644G polymorphism and Parkinson's disease risk in the Chinese population. PMID: 27421021
- inhibition of MAO-B using selegiline reversed the cigarette smoke-induced oxidative stress and inflammation in bronchial epithelial cells. PMID: 28108387
- Monoamine oxidase B levels are highly expressed in gliomas. PMID: 26689994
- The results of this meta-analysis suggest that people in the Asian population with the MAOB intron 13 A allele have an increased risk of Parkinson disease, especially when combined with the COMT LL genotype. PMID: 26000819
- Report isolation of MOA-B inhibitors from Vernonia cinerea. PMID: 25857233
- MAOB A644G polymorphism was associated with Parkinson Disease risk and a subgroup analyses by ethnicity and gender also found significant relationships between this polymorphism and PD risk. PMID: 24658549
- Data (including data from molecular dynamics simulation studies) suggest that the protonation state of the active site residue Lys296 in monoamine oxidase B does not have influence on the hydride transfer reaction in the metabolism of dopamine. PMID: 25220264
- Polymorphisms of COMT and MAO-B genes has a unique characteristics among Chinese patients with Parkinson's disease. They may be related with differences in drug response in such patients. PMID: 25636089
- There is significantly decreased expression of MAO-A and MAO-B in cancerous tissues when compared with adjacent noncancerous tissues. PMID: 25389533
- The results of this study suggested that polymorphisms in MAOB may increase the risk of wearing-off and dyskinesias. PMID: 25034874
- study revealed increased platelet MAO-B activity in patients with alcohol dependence; suggests increased platelet MAO-B activity might be used as independent peripheral indicator of alcohol dependence PMID: 25035107
- We found significant negative correlations regarding the expression of the genes COMT, MAOB, DRD4, DRD5 and FOS, indicating that increased schizotypy coincides with higher levels of dopaminergic dysregulation on the mRNA-level. PMID: 24630741
- Our results confirmed that SNPs in DRD4 and COMT, but not DBH or MAOB are associated with autism and ADHD in small, ethnically homogeneous groups of non-related male Caucasians. PMID: 24210742
- genetic variants of COMT, MAOB and DRD2 loci modulate susceptibility to PD in South Indian subjects PMID: 24772965
- Data indicate that in vitro MAO-B inhibitory activity by synthesized (coumarin-3-yl)carbamates is comparable with that of the selegiline. PMID: 23474901
- The present data suggest that pharmacokinetic or pharmacodynamic factors other than the investigated genetic variants of the MAOB and COMT enzymes seem to determine the response to levodopa in the Iranian PD patients. PMID: 23093014
- data may suggest that the MAOB and COMT genetic polymorphisms do not play any role in the pathogenesis of Parkinson's disease in Iranians PMID: 23319194
- The rs1799836 SNP did not appear to correlated with attentional bias for facial expressions. PMID: 23054588
- results provide additional evidence that GABRB3 and MAOB/NDP gene regions might constitute risk factors for hallucinations and delusions in schizophrenia. PMID: 22414661
- G/A dimorphism in intron 13 sequence creates splicing enhancer thus stimulating intron 13 removal efficiency PMID: 22974659
- [review] While MAO-B primarily serves in the catabolism of 2-phenylethylamine and contributes to the degradation of other trace amines and dopamine, MAO-A has high affinity for serotonin and norepinephrine. PMID: 21971001
- Mao-B platelet protein level may serve as a biomarker for age-related dementia, especially AD. PMID: 22270014
- [review] A better understanding of the transcriptional regulation of MAO B may help explain the differential tissue-specific expression of the two isoenzymes and provide insights into the molecular basis of the disorders associated with MAO dysfunction. PMID: 21359973
- Results suggest MAOB is a susceptibility gene for schizophrenia in Han Chinese. PMID: 21978760
- results demonstrate that the bipartite cavity structure in MAO B plays an important role in substrate and inhibitor recognition to distinguish its specificities from those of MAO A PMID: 21978362
- Nitrogen kinetic isotope effects for the oxidation of benzylamine and (1,1-(2)H(2))benzylamine by recombinant human monoamine oxidase B show that cleavage of the CH bond is not concerted with rehybridization of the nitrogen atom. PMID: 21786798
- mutation in gene encoding the monoamine degradation enzyme monoamine oxidase B was found in SCZ. PMID: 20479760
- COMT rs4680 and MAOB rs1799836 polymorphisms may increase susceptibility to Parkinson's disease risk among Japanese PMID: 21781348
- In early stage Alzheimer disease, discrete MAO-B reduction reflects the capacity of the population of MAO-B-positive progenitor cells to adapt to the neurodegenerative process. PMID: 20648649
- a monoamine-oxidase epigenetic regulation is involved in effects of smoking PMID: 19956754
- Children with different subtypes of ADHD had significantly lower platelet MAO-B activity than control children. PMID: 20022119
- Data show that lower p-MAO-B associated with increased inattention scores (Conners' teacher-rating scale) and lower l-MR associated with increased score for oppositional-defiant disorder. PMID: 19863190
- first evidence that MAOB polymorphisms influence levels of negative emotionality in healthy human volunteers, may lead to a better understanding of personality traits and susceptibility to developing psychiatric disorders such as major depression PMID: 19657584
- Inflammation of the dental pulp was accompanied by a significant decrease in MAO labeling, MAO B (but not MAO A) activity and the increase in SSAO activity. PMID: 19789505
- X ray structure to 3 A resolution PMID: 11753429
- Association of monoamine oxidase A gene polymorphism with Alzheimer's disease and Lewy body variant. PMID: 12098640
- a strong gender difference exists with respect to the modifying effect of MAO-B genotype on the smoking association with parkinson disease PMID: 12428723
- MAO-B polymorphisms are associated with smoking behaviour PMID: 12563176
- There was no interaction of smoking and the G allele and risk of Parkinson disease. PMID: 12815741
- molecular models and binding sites of inhibitors PMID: 12825788
- MAO B gene expression is selectively induced by a decreased Sp3/Sp1 ratio and reduced DNA methylation PMID: 12855685
- The 1.7-A structure of the reversible isatin-MAO-B complex has been determined; it forms a basis for the interpretation of the enzyme's structure when bound to either reversible or irreversible inhibitors. PMID: 12913124
顯示更多
收起更多
-
亞細胞定位:Mitochondrion outer membrane; Single-pass type IV membrane protein; Cytoplasmic side.
-
蛋白家族:Flavin monoamine oxidase family
-
數據庫鏈接:
Most popular with customers
-
-
YWHAB Recombinant Monoclonal Antibody
Applications: ELISA, WB, IHC, IF, FC
Species Reactivity: Human, Mouse, Rat
-
Phospho-YAP1 (S127) Recombinant Monoclonal Antibody
Applications: ELISA, WB, IHC
Species Reactivity: Human
-
-
-
-
-















