LRG1 Recombinant Monoclonal Antibody
-
中文名稱:LRG1重組抗體
-
貨號:CSB-RA229992A0HU
-
規格:¥1320
-
圖片:
-
Western Blot
Positive WB detected in: L02 whole cell lysate, HEK293 whole cell lysate, HepG2 whole cell lysate, A549 whole cell lysate
All lanes: LRG1 antibody at 1:1000
Secondary
Goat polyclonal to rabbit IgG at 1/50000 dilution
Predicted band size: 39 kDa
Observed band size: 39 kDa -
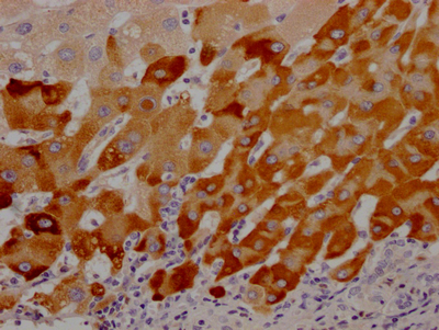
IHC image of CSB-RA229992A0HU diluted at 1:100 and staining in paraffin-embedded human liver cancer performed on a Leica BondTM system. After dewaxing and hydration, antigen retrieval was mediated by high pressure in a citrate buffer (pH 6.0). Section was blocked with 10% normal goat serum 30min at RT. Then primary antibody (1% BSA) was incubated at 4℃ overnight. The primary is detected by a Goat anti-rabbit IgG polymer labeled by HRP and visualized using 0.05% DAB.
-
-
其他:
產品詳情
-
產品描述:CSB-RA229992A0HU是針對LRG1(Leucine Rich Alpha-2-Glycoprotein 1)的重組單克隆抗體,經ELISA、WB及IHC多平臺嚴格驗證,具備優異的特異性和批次穩定性。該抗體靶向的LRG1是一種多功能分泌蛋白,通過調控TGF-β等信號通路參與血管生成、炎癥應答及細胞外基質重塑等生物學過程,在腫瘤微環境調控、代謝紊亂及組織纖維化等研究中具有重要價值。實驗數據顯示,在WB應用中該抗體可在1:500-1:5000稀釋范圍內清晰識別目標蛋白,適用于細胞裂解液或組織樣本的檢測;IHC應用在1:50-1:200濃度下可實現精準的組織定位分析,適用于石蠟切片或冰凍切片的病理學研究。該產品采用重組技術制備,具有高親和力與低交叉反應特性,適用于探究LRG1在疾病模型中的表達模式、功能機制及其與其他信號分子的互作研究,為腫瘤生物學、代謝性疾病和慢性炎癥等基礎科研領域提供可靠工具。
-
Uniprot No.:
-
基因名:
-
別名:Leucine-rich alpha-2-glycoprotein (LRG), LRG1, LRG
-
反應種屬:Human
-
免疫原:A synthesized peptide derived from human LRG1
-
免疫原種屬:Homo sapiens (Human)
-
標記方式:Non-conjugated
-
克隆類型:Monoclonal
-
抗體亞型:Rabbit IgG
-
純化方式:Affinity-chromatography
-
克隆號:7A1
-
濃度:It differs from different batches. Please contact us to confirm it.
-
保存緩沖液:Rabbit IgG in 10mM phosphate buffered saline , pH 7.4, 150mM sodium chloride, 0.05% BSA, 0.02% sodium azide and 50% glycerol.
-
產品提供形式:Liquid
-
應用范圍:ELISA, WB, IHC
-
推薦稀釋比:
Application Recommended Dilution WB 1:500-1:5000 IHC 1:50-1:200 -
Protocols:
-
儲存條件:Upon receipt, store at -20°C or -80°C. Avoid repeated freeze.
-
貨期:Basically, we can dispatch the products out in 1-3 working days after receiving your orders. Delivery time maybe differs from different purchasing way or location, please kindly consult your local distributors for specific delivery time.
-
用途:For Research Use Only. Not for use in diagnostic or therapeutic procedures.
相關產品
靶點詳情
-
基因功能參考文獻:
- LRG-1 was highly expressed in human retinoblastoma sections, thus providing new insights into the molecular mechanism of retinoblastoma pathogenesis, and suggests a possible new therapeutic target. PMID: 29392314
- The detection of LRG1 in accordance with the DeltaRct value (electron-transfer resistance at the electrode surface) of the sensor layer incorporating LRG1 BP3 peptides showed a statistically significant difference (p < 0.001) between adenomas and carcinomas, indicating that the potential use of this biosensing platform for detecting the CRC biomarker, as well as for monitoring the colorectal adenoma-to-carcinoma tra... PMID: 28697446
- This study shows that TNF-alpha is the predominant proinflammatory cytokine that induces the secretion of LRG1. LRG1 contributes to angiogenesis-coupled de novo bone formation by increasing angiogenesis and recruiting MSCs in the subchondral bone of osteoarthritis joints. PMID: 28358372
- the expression of 3 miRs and 9 mRNAs associate with the PIK3CA status. Expression of LRG1 is independent of luminal (A or B) subtype, decreased after neo-adjuvant aromatase inhibitor treatment. PMID: 27491861
- Plasma LRG1 predicts both albuminuria and Chronic kidney disease progression beyond traditional risk factors. It may play a role in the pathologic pathway leading to progression of diabetic kidney disease in T2 Diabetes mellitus. PMID: 28973352
- LRG1 may be a key regulatory factor of allergic responses. PMID: 27378305
- Results find serum LRG1 levels are significantly associated with LRG1 expression in gastric tumors. Its inhibition suppresses gastric cancer cell growth and invasion suggesting that LRG1 is implicating in gastric tumorigenesis. PMID: 28746773
- LRG1 plays a crucial role in the proliferation and apoptosis of colorectal cancer (CRC) by regulating RUNX1 expression. LRG1 may be a potential detection biomarker as well as a marker for monitoring recurrence and therapeutic target for CRC. PMID: 28376129
- These findings suggest that sputum LRG is a promising biomarker of local inflammation in asthma. PMID: 27611322
- combination of modified whole blood LRG1 mRNA levels, plasma LRG1 protein and Alvarado score at the ED may be useful to diagnose simple and complicated acute appendicitis from other causes of abdominal pain PMID: 28202345
- Downregulation of LRG1 is associated with head and neck squamous cell carcinoma. PMID: 28098902
- Results suggest that serum LRG-1 is a promising biomarker for pancreatic cancer. PMID: 25058884
- Results provided evidence for LRG1 function as a novel inducer of epithelial-mesenchymal transition and angiogenesis in colorectal cancer, which was at least partially through promotion of HIF-1alpha expression. PMID: 26856989
- Data show that leucine-rich-alpha-2-glycoprotein 1 (LRG1) is markedly up-regulated and serves as an independent factor of poor outcomes in hepatocellular carcinoma (HCC). PMID: 26517349
- Reanalysis of a total of 47 MDS patients revealed biomarker candidates, with alpha-2-HS-glycoprotein and leucine-rich alpha-2-glycoprotein as the most promising candidates. PMID: 26448929
- Two of these proteins were verified in a separate patient cohort: values of CRP and LRG1 combined gave a highly significant indication of extended survival post one week of radiotherapy treatment. PMID: 26425690
- Findings suggest that LRG1 promotes invasion and migration of glioma cells through TGF-beta signaling pathway. PMID: 26049667
- LGR1 is involved in the inhibition of HCC metastasis. PMID: 25814288
- silencing the expression of LRG1 suppresses the growth of glioblastoma U251 cells in vitro and in vivo, suggesting that LRG1 may play a critical role in glioblastoma development, and it may have potential clinical implications in glioblastoma therapy. PMID: 25589464
- Higher LRG1 is a significant predictor for arterial stiffness, endothelial function, and peripheral arterial disease. PMID: 25636050
- The blood proteins IGF1, IGF2, IBP2, IBP3 and A2GL have been proposed as indirect biomarkers for detection of GH administration and as putative biomarkers for breast cancer diagnosis. PMID: 25277046
- LRG1 potentially offered clinical value in directing personal treatment for endometrial carcinoma patients PMID: 24760273
- Human LRG (hLRG) concentration in the cerebrospinal fluid (CSF) was measured and hLRG expression in post-mortem human cerebral cortex and mouse LRG (mLRG) in the brain were examined. PMID: 24058569
- Overexpression of serum LRG1 is associated with non-small cell lung cancer. PMID: 23284758
- High Serum leucine-rich alpha-2 glycoprotein is associated with ulcerative colitis. PMID: 22374925
- Increased plasma levels of the APC-interacting protein MAPRE1, LRG1, and IGFBP2 precede a diagnosis of colorectal cancer in women PMID: 22277732
- This study demonistrated that LRG expression in resident astrocytes increased with age. PMID: 22116432
- Screened for NSCLC-related proteins in urinary exosomes by comparing urinary exosomes proteome of normal controls and NSCLC patients. The LRG1 was found to be expressed at higher levels in urinary exosomes and lung tissue of NSCLC patients. PMID: 21557262
- LRG1 was identified as a serum biomarker that accurately identifies patients with heart failure. PMID: 21282491
- autologous Cyt c is an endogeneous ligand for LRG and PLIbeta and these serum proteins neutralize the autologous Cyt c released from the dead cells PMID: 20442399
- cDNA clones for human leucine-rich alpha2-glycoprotein were isolated. LRG expression was up-regulated during neutrophil differentiation but down-regulated during monocytic differentiation. The hLRG gene was localized to chromosome 19p13.3. PMID: 12223515
- Mass spectrometry analysis identified the serum inhibitory factor as leucine-rich alpha-2-glycoprotein-1 in enzyme-linked immunosorbent assay . PMID: 16699948
- These results also indicate that the CSF level assay of TGF-beta1, TbetaR-II and LRG is useful for the diagnosis of patients with INPH, and TGF-beta1, TbetaR-II and LRG may be involved in the pathogenesis of the disease. PMID: 17194537
- Several indirect lines of evidence suggest a role for LRG in implantation/decidualization. PMID: 17583700
- These results strongly suggest that LRG was a secretory type 1 acute-phase protein whose expression was up-regulated by the mediator of acute-phase response. PMID: 19324010
顯示更多
收起更多
-
亞細胞定位:Secreted.
-
組織特異性:Plasma.
-
數據庫鏈接:
Most popular with customers
-
-
YWHAB Recombinant Monoclonal Antibody
Applications: ELISA, WB, IHC, IF, FC
Species Reactivity: Human, Mouse, Rat
-
Phospho-YAP1 (S127) Recombinant Monoclonal Antibody
Applications: ELISA, WB, IHC
Species Reactivity: Human
-
-
-
-
-















