HSP90AA1 Recombinant Monoclonal Antibody
-
中文名稱:HSP90AA1重組抗體
-
貨號:CSB-RA011087A2HU
-
規格:¥1320
-
圖片:
-
Western Blot
Positive WB detected in: Jurkat whole cell lysate
All lanes: Hsp90 alpha antibody at 1.9μg/ml
Secondary
Goat polyclonal to rabbit IgG at 1/50000 dilution
Predicted band size: 85, 99 KDa
Observed band size: 90 KDa -
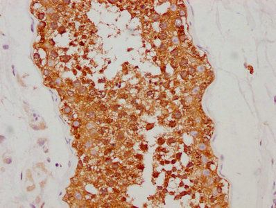
IHC image of CSB-RA011087A2HU diluted at 1:190 and staining in paraffin-embedded human testis tissue performed on a Leica BondTM system. After dewaxing and hydration, antigen retrieval was mediated by high pressure in a citrate buffer (pH 6.0). Section was blocked with 10% normal goat serum 30min at RT. Then primary antibody (1% BSA) was incubated at 4℃ overnight. The primary is detected by a biotinylated secondary antibody and visualized using an HRP conjugated SP system.
-
Immunofluorescence staining of NIH/3T3 cells with CSB-RA011087A2HU at 1:63, counter-stained with DAPI. The cells were fixed in 4% formaldehyde, permeabilized using 0.2% Triton X-100 and blocked in 10% normal Goat Serum. The cells were then incubated with the antibody overnight at 4℃. The secondary antibody was Alexa Fluor 488-congugated AffiniPure Goat Anti-Rabbit IgG (H+L).
-
-
其他:
產品詳情
-
產品描述:CSB-RA011087A2HU重組單克隆抗體是針對HSP90AA1靶點研發的高特異性科研試劑,該靶點編碼的熱休克蛋白90α作為關鍵分子伴侶,參與調控細胞信號轉導、蛋白折疊及應激應答等過程,在腫瘤發生發展與神經疾病研究中具有重要價值。本產品經多種實驗平臺嚴格驗證,在Western Blot中可清晰識別天然及變性狀態下的目標蛋白,免疫組化實驗能精準定位組織切片中的抗原分布,免疫熒光技術則適用于亞細胞水平的蛋白可視化分析。推薦使用稀釋度為WB 1:500-1:5000、IHC 1:50-1:200、IF 1:20-1:200,所有應用均呈現優異的信噪比與重復性。采用重組單克隆抗體技術確保批次間高度一致性,適用于探究HSP90AA1在疾病模型中的功能機制、蛋白相互作用網絡分析以及藥物靶點篩選等基礎研究領域,為腫瘤生物學、神經科學及分子病理學研究提供可靠工具。
-
Uniprot No.:
-
基因名:
-
別名:Heat shock 86 kDa antibody; Heat shock protein 90kDa alpha cytosolic class A member 1 antibody; Heat shock protein 90kDa alpha cytosolic class B member 1 antibody; Heat shock protein HSP 90 alpha antibody; Heat shock protein HSP 90 beta antibody; Heat shock protein HSP 90-alpha antibody; HS90A_HUMAN antibody; HSP 84 antibody; HSP 86 antibody; Hsp 90 antibody; HSP86 antibody; HSP90A antibody; HSP90AA1 antibody; HSP90AB1 antibody; HSP90B antibody; HSPC1 antibody; HSPC2 antibody; HSPCAL1 antibody; HSPCAL4 antibody; Renal carcinoma antigen NY-REN-38 antibody
-
反應種屬:Human
-
免疫原:A synthesized peptide derived from human HSP90AA1
-
免疫原種屬:Homo sapiens (Human)
-
標記方式:Non-conjugated
-
克隆類型:Monoclonal
-
抗體亞型:Rabbit IgG
-
純化方式:Affinity-chromatography
-
克隆號:4D1
-
濃度:It differs from different batches. Please contact us to confirm it.
-
保存緩沖液:Rabbit IgG in 10mM phosphate buffered saline , pH 7.4, 150mM sodium chloride, 0.05% BSA, 0.02% sodium azide and 50% glycerol.
-
產品提供形式:Liquid
-
應用范圍:ELISA, WB, IHC, IF
-
推薦稀釋比:
Application Recommended Dilution WB 1:500-1:5000 IHC 1:50-1:200 IF 1:20-1:200 -
Protocols:
-
儲存條件:Upon receipt, store at -20°C or -80°C. Avoid repeated freeze.
-
貨期:Basically, we can dispatch the products out in 1-3 working days after receiving your orders. Delivery time maybe differs from different purchasing way or location, please kindly consult your local distributors for specific delivery time.
-
用途:For Research Use Only. Not for use in diagnostic or therapeutic procedures.
相關產品
靶點詳情
-
功能:Molecular chaperone that promotes the maturation, structural maintenance and proper regulation of specific target proteins involved for instance in cell cycle control and signal transduction. Undergoes a functional cycle that is linked to its ATPase activity which is essential for its chaperone activity. This cycle probably induces conformational changes in the client proteins, thereby causing their activation. Interacts dynamically with various co-chaperones that modulate its substrate recognition, ATPase cycle and chaperone function. Engages with a range of client protein classes via its interaction with various co-chaperone proteins or complexes, that act as adapters, simultaneously able to interact with the specific client and the central chaperone itself. Recruitment of ATP and co-chaperone followed by client protein forms a functional chaperone. After the completion of the chaperoning process, properly folded client protein and co-chaperone leave HSP90 in an ADP-bound partially open conformation and finally, ADP is released from HSP90 which acquires an open conformation for the next cycle. Plays a critical role in mitochondrial import, delivers preproteins to the mitochondrial import receptor TOMM70. Apart from its chaperone activity, it also plays a role in the regulation of the transcription machinery. HSP90 and its co-chaperones modulate transcription at least at three different levels. In the first place, they alter the steady-state levels of certain transcription factors in response to various physiological cues(PubMed:25973397). Second, they modulate the activity of certain epigenetic modifiers, such as histone deacetylases or DNA methyl transferases, and thereby respond to the change in the environment. Third, they participate in the eviction of histones from the promoter region of certain genes and thereby turn on gene expression. Binds bacterial lipopolysaccharide (LPS) and mediates LPS-induced inflammatory response, including TNF secretion by monocytes. Antagonizes STUB1-mediated inhibition of TGF-beta signaling via inhibition of STUB1-mediated SMAD3 ubiquitination and degradation. Mediates the association of TOMM70 with IRF3 or TBK1 in mitochodria outer membrane which promotes host antiviral response.
-
基因功能參考文獻:
- RPAP3 provides a flexible scaffold for coupling HSP90 to the human R2TP co-chaperone complex. PMID: 29662061
- The study shows that a conserved tryptophan in the middle domain senses the interaction of Hsp90 with a stringent client protein and transfers this information via a cation-pi interaction with a neighboring lysine. PMID: 29662162
- While activation in c-Src is strictly controlled by ATP-binding and phosphorylation, the authors find that activating conformational transitions are spontaneously sampled in Hsp90-dependent Src mutants. PMID: 28290541
- chemotherapy agents can induce HSP90AA1 expression in osteosarcoma cells. And HSP90AA1, acting as an important regulator of autophagy, is a critical factor in the development of osteosarcoma chemoresistance both in vitro and in vivo. HSP90AA1 provides a novel therapeutic target for improving osteosarcoma treatment. PMID: 30153855
- We confirm that miR-628-3p promotes apoptosis and inhibits migration in A549 cells by negatively regulating HSP90. Our results may reveal a novel strategy for lung cancer treatment PMID: 29888262
- Data recognize HSP90 as a novel binding partner of PKM2 in hepatocellular carcinoma (HCC) cells. HSP90 potentiates the glycolysis and proliferation, reduces the apoptosis and thus enhances the growth of HCC cells through PKM2 Thr-328 phosphorylation maintaining its stability. PMID: 29262861
- EGFR expression stratified most pronounced among HSP90low tumours, where the EGFRhigh phenotype was associated with longer survival PMID: 28765916
- the SGT1-HSP90 complex contributes to the E3 ligase activity of the CUL4A complex that is necessary for CENP-A ubiquitylation and CENP-A deposition at the centromere. PMID: 28816574
- our data suggested that Hsp90alpha could positively regulate the self-renewal of BCSCs by facilitating the nuclear translocation of c-Myc and EZH2 to maintain BMI1 expression. PMID: 28914785
- HSP90 contributes to cutaneous vasodilation via NOS-dependent mechanisms in young habitually active men during exercise in the heat. PMID: 28751373
- The association between the MEEVD C-terminal peptide from the heat shock protein 90 (Hsp90) and tetratricopeptide repeat A (TPR2A) domain of the heat shock organizing protein (Hop) is a useful prototype to study the fundamental molecular details about the Hop-Hsp90 interaction. Observed are conformational changes of the peptide and the protein receptor induced by binding. The binding free energy is 8.4 kcal/mol. PMID: 28723223
- Our findings demonstrate Hsp90 blockade leads to ICN1 destabilization, providing an alternative strategy to antagonize oncogenic Notch1 signaling with Hsp90-selective inhibitors PMID: 28143869
- Generated multiple mutant KRAS-driven cancer cell lines with acquired resistance to the purine-scaffold HSP90 inhibitor PU-H71. Report a Y142N missense mutation in the ATP-binding domain of HSP90alpha that co-occurred with amplification of the HSP90AA1 locus in resistant cells. PMID: 28032595
- ATM is the primary kinase responsible for phosphorylation of Hsp90alpha after exposure ionizing radiation. PMID: 27738310
- molecular modeling was employed to incorporate experimental data using partial constructs of the Hsp90 C-terminal domain. PMID: 27771574
- findings suggested that this mechanism may be exploited by the Hsp90-Cdc37 chaperone to recruit and protect intrinsically dynamic kinase clients from degradation PMID: 29267381
- The findings establish an active role for Tsc1 as a facilitator of Hsp90-mediated folding of kinase and non-kinase clients-including Tsc2-thereby preventing their ubiquitination and proteasomal degradation. PMID: 29127155
- Data indicate HSP90 inhibitors as a class of preferred drugs for treatment combination with immunotherapy. PMID: 28878208
- Data suggest that SOCS3 is an important signaling protein in CLL, and Hsp90 inhibitors represent an approach to target transcriptional repression in B cell lymphoproliferative disorders. PMID: 27107422
- FKBP51 is primarily localized in mitochondria and hTERT is totally nuclear, upon the onset of oxidative stress, FKBP51 (but not FKBP52) becomes mostly nuclear colocalizing with hTERT, and longer exposure times to peroxide favors hTERT export to mitochondria. PMID: 27233944
- High HSP90 expression is associated with Colorectal Cancers. PMID: 28870917
- High HSP90 expression is associated with prostate cancer. PMID: 28038472
- Data suggest HSP90AA1-dependent regulation of ATM-NBN-CHK2 and ATR-CHK1 axes influences cells capability to repair double-stranded DNA damage; mechanisms include phosphorylation, polyubiquitination, and proteasomal degradation/proteolysis. (HSP90AA1 = heat shock protein 90kDa alpha; ATM = ataxia telangiectasia mutated protein; NBN = nibrin; CHK = checkpoint kinase; ATR = ataxia telangiectasia and Rad3 related kinase) PMID: 28631426
- Data show that pyruvate kinase M2 (PKM2) directly interacted with mutant growth factor receptor (EGFR) and heat-shock protein 90 (HSP90), and thus stabilized EGFR by maintaining its binding with HSP90 and co-chaperones. PMID: 26500058
- Binding of FM807 to the N-terminus of Hsp90 disrupted Hsp90/client complexes, resulting in degradation of the Hsp90 client protein EGFR and inhibition of the downstream pathway. PMID: 28157708
- Conventional as well as scaled molecular dynamics simulations further demonstrate that citrullination of selected Arg residues leads to progressive disruption of HSP90 tertiary structure, promoting exposure of R502/R510 to PAD modification and subsequent autoantibody binding. PMID: 27448590
- SYK is an HSP90 client protein, and B-cell receptor signaling-dependent phosphorylation of HSP90 on Y197 is required for this interaction. HSP90 promotes Burkitt lymphoma cell survival by maintaining tonic B-cell receptor signaling. PMID: 28064214
- Data indicate a chaperone function of nicotinamide mononucleotide adenylyl transferase 2 (NMNAT2), independent from its enzymatic activity, and NMNAT2 complexes with heat shock protein 90 (HSP90) to refold aggregated protein substrates. PMID: 27254664
- In the bound state, the Hsp90 dimer predominantly populates an open conformation, and transthyretin retains its globular structure. PMID: 28218749
- CD30 facilitates phosphorylation of heat shock factor 1, activates heat shock promoter element, and induces heat shock protein (HSP) 90. PMID: 27870927
- However, once the mumps virus L protein formed a mature polymerase complex with the P protein, Hsp90 activity was no longer required for the stability and activity of the L protein. PMID: 28053100
- HSP90 may be essential for stabilization and function of P2X7Rs through an action on the cysteine-rich domain of the cytoplasmic the C-terminus. PMID: 27301716
- HSP90AA1 and AB1 genes exhibit low expression in breast cancers highly sensitive to chemotherapy and may indicate the patients with higher probability of pathological complete response. PMID: 28051275
- the effect of HSP90 inhibition on IL-17-mediated cytokine and antimicrobial peptide expression in keratinocytes following heat treatment, was examined. PMID: 27279135
- epididymis secretory protein 4 had better specificity than CA125 in discriminating ovarian cancer, and endometrial cancer from benign gynecological diseases in southern China population PMID: 27302312
- Hsp90 has roles in the regulation of autophagy, such as toll-like receptor (TLR)-mediated autophagy, Ulk1-mediated mitophagy, and chaperone-mediated autophagy (CMA) [review] PMID: 26432328
- this study identified HSP90AA1 as a new potential biomarker for Behcet's disease by comparing highly ranked genes from all the built network-derived gene lists, which was confirmed the with real-world clinical samples PMID: 27226232
- Data show that heat shock protein 90 (HSP90) inhibitor 17-DMAG caused loss of ret proto-oncogene protein (RET) and proto-oncogene protein erbB-3 (ERBB3) phosphorylation and lead to rapid cell death. PMID: 26595521
- Hsp103 associates with cochaperone proteins, such as Hop, Cdc37 and Aha1, similar to Hsp90. The extra domain reduces the ATP hydrolysis when compared to Hsp90 thereby acting as a negative regulator of the chaperones intrinsic ATPase activity. PMID: 23951259
- Data suggest that synergistic mechanism between heat shock protein 90 (Hsp90) inhibitor SNX-7081 and fludarabine nucleoside (2-FaraA) may provide an alternative treatment for chronic lymphocytic leukemia (CLL) patients with p53 protein mutations. PMID: 26556860
- The expression of HSP90A was increased in the HCC cells, serum, and tissues. Immunohistochemistry analysis on 76 clinical tissue samples also suggested the relevance between HSP90A expression and HCC metastatic behavior. PMID: 26704341
- Aarsd1 inhibits the activity of a paradigmatic Hsp90 client protein. PMID: 26884463
- study confirmed Hsp90 as an influenza virus A PB2 polymerase interacting protein, and established that Hsp90 interacts with both the E627 and 627K variants, but has established this interaction is species independent, and both mammalian and avian Hsp90 can bind to the PB2 protein PMID: 26616658
- Data show that high-affinity heat shock protein 90 (HSP90) binding conferred by the inhibitor backbone could be exploited for conjugate accumulation within tumor cells. PMID: 26271675
- In conjunction with HSP90, the cytoplasmic USP19 may play a key role in triage decision for the disease-related polyQ-expanded substrates, suggesting a function of USP19 in quality control of misfolded proteins by regulating their protein levels PMID: 26808260
- The region of aa 250-295 of BGLF4 is essential for the BGLF4/Hsp90 interaction. PMID: 26982469
- The thermodynamics of binding of Cyp-40 to Hsp90 shows remarkable temperature sensitivity in the physiological temperature range. PMID: 26330616
- HSP90 overexpression is a prognostic marker for cholangiocarcinoma. HSP90-targeted therapy may be an option for a subset of cholangiocarcinoma. PMID: 26141945
- From our screening methodology, we identified HCAb2 as a breast tumor specific heavy chain antibody targeting cell surface heat shock protein 90. PMID: 26334999
- Heat shock protein 90 is required for ex vivo neutrophil-driven autoantibody-induced tissue damage in experimental epidermolysis bullosa acquisita. PMID: 25739426
顯示更多
收起更多
-
亞細胞定位:Nucleus. Cytoplasm. Melanosome. Cell membrane. Mitochondrion. Note=Identified by mass spectrometry in melanosome fractions from stage I to stage IV.
-
蛋白家族:Heat shock protein 90 family
-
數據庫鏈接:
Most popular with customers
-
-
YWHAB Recombinant Monoclonal Antibody
Applications: ELISA, WB, IHC, IF, FC
Species Reactivity: Human, Mouse, Rat
-
-
-
-
-
-















