HNRNPK Recombinant Monoclonal Antibody
-
中文名稱:HNRNPK重組抗體
-
貨號:CSB-RA010611A0HU
-
規格:¥1320
-
圖片:
-
Western Blot
Positive WB detected in: Hela whole cell lysate, MCF-7 whole cell lysate, HepG2 whole cell lysate, 293T whole cell lysate, 293 whole cell lysate, U87 whole cell lysate, SH-SY5Y whole cell lysate
All lanes: HNRNPK antibody at 1.3μg/ml
Secondary
Goat polyclonal to rabbit IgG at 1/50000 dilution
Predicted band size: 51, 52, 49 KDa
Observed band size: 60 KDa -
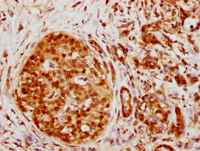
IHC image of CSB-RA010611A0HU diluted at 1:130.5 and staining in paraffin-embedded human pancreatic cancer performed on a Leica BondTM system. After dewaxing and hydration, antigen retrieval was mediated by high pressure in a citrate buffer (pH 6.0). Section was blocked with 10% normal goat serum 30min at RT. Then primary antibody (1% BSA) was incubated at 4℃ overnight. The primary is detected by a biotinylated secondary antibody and visualized using an HRP conjugated SP system.
-
IHC image of CSB-RA010611A0HU diluted at 1:130.5 and staining in paraffin-embedded human cervical cancer performed on a Leica BondTM system. After dewaxing and hydration, antigen retrieval was mediated by high pressure in a citrate buffer (pH 6.0). Section was blocked with 10% normal goat serum 30min at RT. Then primary antibody (1% BSA) was incubated at 4℃ overnight. The primary is detected by a biotinylated secondary antibody and visualized using an HRP conjugated SP system.
-
Immunofluorescence staining of A549 cells with CSB-RA010611A0HU at 1:43.5, counter-stained with DAPI. The cells were fixed in 4% formaldehyde, permeabilized using 0.2% Triton X-100 and blocked in 10% normal Goat Serum. The cells were then incubated with the antibody overnight at 4℃. The secondary antibody was Alexa Fluor 488-congugated AffiniPure Goat Anti-Rabbit IgG (H+L).
-
Immunoprecipitating HNRNPK in HepG2 whole cell lysate
Lane 1: Rabbit control IgG instead of CSB-RA010611A0HU in HepG2 whole cell lysate. For western blotting, a HRP-conjugated Protein G antibody was used as the secondary antibody (1/2000)
Lane 2: CSB-RA010611A0HU (3μg) + HepG2 whole cell lysate (500μg)
Lane 3: HepG2 whole cell lysate (20μg)
-
-
其他:
產品詳情
-
產品描述:CSB-RA010611A0HU HNRNPK重組單克隆抗體是針對異質核核糖核蛋白K(HNRNPK)開發的高特異性試劑。HNRNPK作為多功能RNA結合蛋白,參與基因表達調控、細胞周期進程及應激反應,其異常表達與腫瘤發生發展、神經退行性疾病密切相關。本抗體采用重組表達技術制備,具有批次間一致性強、交叉反應性低的特點,經嚴格驗證可在Western Blot中檢測到清晰單一目標條帶,免疫組化顯示細胞核特異性定位,免疫熒光展現亞細胞結構分布特征,并支持免疫共沉淀捕獲天然構象蛋白互作復合物。推薦使用濃度為WB 1:500-1:5000、IHC 1:50-1:200、IF 1:20-1:200、IP 1:200-1:1000,適用于分子互作研究、基因表達調控機制解析、腫瘤生物學模型建立等基礎科研領域。該產品兼容常規樣本類型(細胞裂解液、組織切片等),為RNA代謝研究、細胞應激通路探索及疾病相關分子網絡分析提供可靠工具。
-
Uniprot No.:
-
基因名:HNRNPK
-
別名:CSBP antibody; dC stretch binding protein antibody; FLJ41122 antibody; Heterogeneous nuclear ribonucleoprotein K antibody; hnRNP K antibody; HNRNPK antibody; HNRPK antibody; HNRPK_HUMAN antibody; Transformation up regulated nuclear protein antibody; Transformation up-regulated nuclear protein antibody; Transformation upregulated nuclear protein antibody; TUNP antibody
-
反應種屬:Human
-
免疫原:A synthesized peptide derived from human HNRNPK
-
免疫原種屬:Homo sapiens (Human)
-
標記方式:Non-conjugated
-
克隆類型:Monoclonal
-
抗體亞型:Rabbit IgG
-
純化方式:Affinity-chromatography
-
克隆號:3G7
-
濃度:It differs from different batches. Please contact us to confirm it.
-
保存緩沖液:Rabbit IgG in 10mM phosphate buffered saline , pH 7.4, 150mM sodium chloride, 0.05% BSA, 0.02% sodium azide and 50% glycerol.
-
產品提供形式:Liquid
-
應用范圍:ELISA, WB, IHC, IF, IP
-
推薦稀釋比:
Application Recommended Dilution WB 1:500-1:5000 IHC 1:50-1:200 IF 1:20-1:200 IP 1:200-1:1000 -
Protocols:
-
儲存條件:Upon receipt, store at -20°C or -80°C. Avoid repeated freeze.
-
貨期:Basically, we can dispatch the products out in 1-3 working days after receiving your orders. Delivery time maybe differs from different purchasing way or location, please kindly consult your local distributors for specific delivery time.
-
用途:For Research Use Only. Not for use in diagnostic or therapeutic procedures.
相關產品
靶點詳情
-
功能:One of the major pre-mRNA-binding proteins. Binds tenaciously to poly(C) sequences. Likely to play a role in the nuclear metabolism of hnRNAs, particularly for pre-mRNAs that contain cytidine-rich sequences. Can also bind poly(C) single-stranded DNA. Plays an important role in p53/TP53 response to DNA damage, acting at the level of both transcription activation and repression. When sumoylated, acts as a transcriptional coactivator of p53/TP53, playing a role in p21/CDKN1A and 14-3-3 sigma/SFN induction. As far as transcription repression is concerned, acts by interacting with long intergenic RNA p21 (lincRNA-p21), a non-coding RNA induced by p53/TP53. This interaction is necessary for the induction of apoptosis, but not cell cycle arrest.
-
基因功能參考文獻:
- Data show that heterogeneous nuclear ribonucleoprotein K (hnRNP K) and influenza virus NS1A binding protein (NS1-BP) regulate host splicing events and that viral infection causes mis-splicing of some of these transcripts. PMID: 29921878
- Study findings underscore the biological significance of MRPL33-L and hnRNPK in the tumor formation and identifies hnRNPK as a critical splicing regulator of MRPL33 pre-mRNA in cancer cells. PMID: 28869607
- hnRNPK regulates PLK1 expression by competing with the PLK1-targeting miRNAs, miR-149-3p and miR-193b-5p. PMID: 28708135
- we discovered that hnRNPK plays an important role in bladder cancer, suggesting that it is a potential prognostic marker and a promising target for treating bladder cancer. PMID: 27862976
- The hnRNPK positively regulates the level of prostate tumor overexpressed 1-antisense 1 which harbors five binding sites for miR-1207-5p. The knockdown of hnRNPK or PTOV1-AS1 increased the enrichment of heme oxygenase-1 mRNA in miR-1207-5p-mediated miRNA-induced silencing complex and thus suppressed the expression of heme oxygenase-1. PMID: 28228215
- High HNRNPK expression is associated with pancreatic cancer. PMID: 28423622
- Down-regulation of DAB2IP correlated negatively with hnRNPK and MMP2 expressions in CRC tissues. In conclusion, our study elucidates a novel mechanism of the DAB2IP/hnRNPK/MMP2 axis in the regulation of CRC invasion and metastasis, which may be a potential therapeutic target. PMID: 28335083
- Tumor cells bearing a p53 mutation showed increased damage levels and delayed repair. Knockdown of hnRNPK applied simultaneously with irradiation reduced colony-forming ability and survival of tumor cells. Taken together, our data shows that hnRNPK is a relevant modifier of DNA damage repair and tumor cell survival. We therefore recommend further studies to evaluate the potential of hnRNPK as a drug target for improvement PMID: 28426877
- Data suggest that hnRNPK plays role in heat shock response of cells by regulating HSF1; hnRNPK inhibits HSF1 activity, resulting in reduced expression of HSP27 and HSP70 mRNAs; hnRNPK also down-regulates binding of HSF1 to heat shock response element. (hnRNPK = heterogeneous-nuclear ribonucleoprotein K; HSF1 = heat shock transcription factor 1; HSP = heat-shock protein) PMID: 28592492
- KRAS-mutant colorectal carcinoma shows intrinsic radioresistance along with rapid upregulation of hnRNP K in response to ionizing radiation that can effectively be targeted by MEK inhibition. PMID: 27793696
- Nujiangexathone A, a novel compound from Garcinia nujiangensis, down-regulates hnRNPK levels in cervical tumor cells, inducing cell cycle arrest. PMID: 27424288
- Our study also suggests that loss of function variants in HNRNPK should be considered as a molecular basis for patients with Kabuki-like syndrome PMID: 26954065
- these findings support a critical role for hnRNP K in the regulation of autophagy in drug-resistant leukemia cells, and this RNP is therefore a potential target of clinical drug-resistance treatment. PMID: 27155326
- hnRNP K is a multifunctional protein that can regulate both oncogenic and tumor suppressive pathways through a plethora of chromatin-, DNA-, RNA-, and protein-mediated activates, suggesting its aberrant expression may have broad-reaching cellular impacts. (Review) PMID: 27049467
- These results establish the role of hnRNP K and PCPB1 in the translational control of morphine-induced MOR expression in human neuroblastoma (NMB) cells as well as cells stably expressing MOR (NMB1). PMID: 27292014
- HnRNP K is a promising tissue biomarker for diagnosing gastric cancer. PMID: 27278897
- CASC11 can target heterogeneous ribonucleoprotein K (hnRNP-K) to activate WNT/beta-catenin signaling in colorectal cancer cells to promote tumor growth and metastasis. PMID: 27012187
- Data show that heterogeneous nuclear ribonucleoprotein K (hnRNPK) stabilized of cellular FLICE-inhibitory protein (c-FLIP) protein through inhibition of glycogen synthase kinase 3 beta (GSK3beta) Ser9 phosphorylation during the TNF-related aoptosis-inducing ligand (TRAIL)-induced apoptosis. PMID: 26972480
- HhnRNP-K-mediated regulation of NMHC IIA mRNA translation contributes to the control of enucleation in erythropoiesis. PMID: 26823606
- hnRNP K binds miR-122, a mature liver-specific microRNA required for Hepatitis C virus replication. PMID: 26330540
- The authors identified two new human proteins that interact with Ehrlichia chaffeensis EtpE-C: CD147 and heterogeneous nuclear ribonucleoprotein K (hnRNP-K). PMID: 26530384
- Data show that proto-oncogene protein c-myc is upregulated by sumoylated heterogeneous nuclear ribonucleoprotein K (hnRNP K) at the translational level in Burkitt's lymphoma cells. PMID: 26317903
- hnRNP K may be a key molecule involved in cell motility in RCC cells PMID: 26713736
- It describes the identification of heterogeneous nuclear ribonucleoprotein K (hnRNPK) as one of the composite element binding factors(CEBF) that acts as transactivator of PXR promoter. PMID: 26586566
- RTVP-1 regulates glioma cell spreading, migration and invasion and that these effects are mediated via interaction with N-WASP and by interfering with the inhibitory effect of hnRNPK on the function of this protein. PMID: 26305187
- we investigate the role of hnRNP K in the radioresistance of malignant melanoma cells PMID: 26136337
- These results indicate that dengue virus type 2 and Junin virus induce hnRNP K cytoplasmic translocation to favor viral multiplication. PMID: 25865411
- Data implicate hnRNPK in the development of hematological disorders and suggest hnRNPK acts as a tumor suppressor. PMID: 26412324
- Inhibition of CDK2 phosphorylation blocked phosphorylation of hnRNP K, preventing its incorporation into stress granules (SGs). Due to interaction between hnRNP K with TDP-43, the loss of hnRNP K from SGs prevented accumulation of TDP-43. PMID: 25410660
- HNRNPK might determine efficiency of Hepatitis C virus particle production by limiting the availability of viral RNA for incorporation into virions. PMID: 25569684
- Data indicate that twenty proteins were identified as binding partners of the primary activating element in the heterogeneous nuclear ribonucleoprotein K (hnRNP K) promoter. PMID: 25497182
- hnRNP K interacts with EV71 5' UTR, which is required for efficient synthesis of viral RNA.[review] PMID: 26164948
- hnRNPK is potentially implicated in the radiogenic response of HNSCC. PMID: 25281771
- hnRNP K plays an important role in the mitotic process in colon cancer cells.hnRNP K upregulates NUF2 and promotes the tumorigenicity of colon cancer cells. PMID: 25701787
- These findings functionally integrate K17, hnRNP K, and gene expression along with RSK and CXCR3 signaling in a keratinocyte-autonomous axis and provide a potential basis for their implication in tumorigenesis PMID: 25713416
- HnRNP K can induce MMP12 expression and enzyme activity through activating MMP12 promoter, which promotes cell migration and invasion in nasopharyngeal carcinoma cells. PMID: 24885469
- Results indicate that the interaction between the AR and hnRNP K has an important role in the progression of prostate cancer. PMID: 24626777
- hnRNP K and PU.1 act synergistically during granulocytic differentiation, hnRNP K seems to have a negative effect on PU.1 activity during monocytic maturation PMID: 25005557
- CNBP overexpression caused increase of cell death and suppression of cell metastasis through its induction of G-quadruplex formation in the promoter of hnRNP K resulting in hnRNP K down-regulation PMID: 24594223
- Data show that SET accumulation up-regulated hnRNPK mRNA and total/phosphorylated protein, promoted hnRNPK nuclear location, and reduced Bcl-x mRNA levels. PMID: 24508256
- NS1-BP-hnRNPK complex is a key mediator of influenza A virus gene expression. PMID: 23825951
- These studies demonstrate hnRNP K to be a multifunctional protein that supports vesicular stomatitis virus infection via its role(s) in suppressing apoptosis of infected cells. PMID: 23843646
- hnRNPK may play a role in recruitment of XRN2 to gene loci thus regulating coupling 3'-end pre-mRNA processing to transcription termination. PMID: 23857582
- heterogeneous nuclear ribonucleoprotein K (hnRNPK), a protein known to integrate multiple signal transduction pathways with gene expression, as a SERT distal polyadenylation element binding protein PMID: 23798440
- Prolonged downregulation of hnRNP K using small interfering RNA significantly decreased cell viability and increased apoptosis in HCC cell lines in a p53-independent manner. PMID: 23455382
- Caspase-3 cleaves hnRNP K in erythroid differentiation. PMID: 23519117
- HnRNP K controlled expression of IE2 protein of Human cytomegalovirus during viral replication. PMID: 23099853
- hnRNP-K regulates extracellular matrix, cell motility, and angiogenesis pathways. Involvement of the selected genes (Cck, Mmp-3, Ptgs2, and Ctgf) and pathways was validated by gene-specific expression analysis PMID: 23564449
- ATM-dependent phosphorylation of heterogeneous nuclear ribonucleoprotein K promotes p53 transcriptional activation in response to DNA damage. PMID: 23343766
- SUMO modification plays a crucial role in the control of hnRNP-K's function as a p53 co-activator in response to DNA damage by UV PMID: 23092970
顯示更多
收起更多
-
相關疾病:Au-Kline syndrome (AUKS)
-
亞細胞定位:Cytoplasm. Nucleus, nucleoplasm. Cell projection, podosome. Note=Recruited to p53/TP53-responsive promoters, in the presence of functional p53/TP53 (PubMed:16360036). In case of ASFV infection, there is a shift in the localization which becomes predominantly nuclear (PubMed:18775702).
-
數據庫鏈接:
Most popular with customers
-
-
YWHAB Recombinant Monoclonal Antibody
Applications: ELISA, WB, IHC, IF, FC
Species Reactivity: Human, Mouse, Rat
-
Phospho-YAP1 (S127) Recombinant Monoclonal Antibody
Applications: ELISA, WB, IHC
Species Reactivity: Human
-
-
-
-
-















