GSTO1 Recombinant Monoclonal Antibody
-
中文名稱:GSTO1重組抗體
-
貨號:CSB-RA009986A0HU
-
規格:¥1320
-
圖片:
-
Western Blot
Positive WB detected in: Jurkat whole cell lysate, PC3 whole cell lysate, Raji whole cell lysate, K562 whole cell lysate, Hela whole cell lysate, A549 whole cell lysate, HepG2 whole cell lysate
All lanes: GSTO1 antibody at 1.25μg/ml
Secondary
Goat polyclonal to rabbit IgG at 1/50000 dilution
Predicted band size: 28, 24, 25 KDa
Observed band size: 28 KDa -
IHC image of CSB-RA009986A0HU diluted at 1:125 and staining in paraffin-embedded human liver tissue performed on a Leica BondTM system. After dewaxing and hydration, antigen retrieval was mediated by high pressure in a citrate buffer (pH 6.0). Section was blocked with 10% normal goat serum 30min at RT. Then primary antibody (1% BSA) was incubated at 4℃ overnight. The primary is detected by a biotinylated secondary antibody and visualized using an HRP conjugated SP system.
-
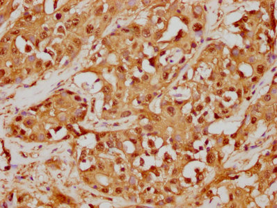
IHC image of CSB-RA009986A0HU diluted at 1:125 and staining in paraffin-embedded human liver cancer performed on a Leica BondTM system. After dewaxing and hydration, antigen retrieval was mediated by high pressure in a citrate buffer (pH 6.0). Section was blocked with 10% normal goat serum 30min at RT. Then primary antibody (1% BSA) was incubated at 4℃ overnight. The primary is detected by a biotinylated secondary antibody and visualized using an HRP conjugated SP system.
-
Immunofluorescence staining of HepG2 cells with CSB-RA009986A0HU at 1:41, counter-stained with DAPI. The cells were fixed in 4% formaldehyde, permeabilized using 0.2% Triton X-100 and blocked in 10% normal Goat Serum. The cells were then incubated with the antibody overnight at 4℃. The secondary antibody was Alexa Fluor 488-congugated AffiniPure Goat Anti-Rabbit IgG (H+L).
-
-
其他:
產品詳情
-
產品描述:本產品為GSTO1(谷胱甘肽S-轉移酶omega-1)重組單克隆抗體(貨號:CSB-RA009986A0HU),針對人源GSTO1蛋白特異性設計。該抗體經嚴格驗證適用于ELISA、Western Blot(WB)、免疫組織化學(IHC)及免疫熒光(IF)等多種實驗,推薦稀釋度分別為WB 1:500-1:5000、IHC 1:50-1:200、IF 1:20-1:200。實驗數據顯示,該抗體在WB中可識別單一清晰靶條帶,IHC與IF檢測中能精準定位細胞質內目標蛋白表達,且批次間穩定性優異。GSTO1作為谷胱甘肽代謝通路關鍵酶,參與細胞氧化還原調控及解毒過程,其表達水平與氧化應激、衰老相關疾病及腫瘤發生發展密切相關。本抗體適用于體外研究GSTO1在神經退行性疾病、癌癥模型及氧化損傷機制中的功能,可支持細胞裂解液、石蠟包埋組織或冰凍切片等樣本的蛋白水平分析,為相關基礎研究提供高特異性檢測工具。
-
Uniprot No.:
-
基因名:
-
別名:AA407097 antibody; AI194287 antibody; AU018802 antibody; DKFZp686H13163 antibody; EC 2.5.1.18 antibody; Glutathione S transferase omega 1 antibody; Glutathione S-transferase omega 1-1 antibody; Glutathione S-transferase omega antibody; Glutathione S-transferase omega-1 antibody; Glutathione transferase omega 1 antibody; Glutathione-dependent dehydroascorbate reductase antibody; Glutathione-S-transferase like antibody; Glutathione-S-transferase omega 1 antibody; GSTO 1-1 antibody; GSTO-1 antibody; GSTO1 1 antibody; Gsto1 antibody; GSTO1_HUMAN antibody; GSTTLp28 antibody; GSTX antibody; Gtsttl antibody; MGC94845 antibody; MMA(V) reductase antibody; Monomethylarsonic acid reductase antibody; OTTHUMP00000020429 antibody; p28 antibody; S-(Phenacyl)glutathione reductase antibody; SPG-R antibody
-
反應種屬:Human
-
免疫原:A synthesized peptide derived from human GSTO1
-
免疫原種屬:Homo sapiens (Human)
-
標記方式:Non-conjugated
-
克隆類型:Monoclonal
-
抗體亞型:Rabbit IgG
-
純化方式:Affinity-chromatography
-
克隆號:2C7
-
濃度:It differs from different batches. Please contact us to confirm it.
-
保存緩沖液:Rabbit IgG in 10mM phosphate buffered saline , pH 7.4, 150mM sodium chloride, 0.05% BSA, 0.02% sodium azide and 50% glycerol.
-
產品提供形式:Liquid
-
應用范圍:ELISA, WB, IHC, IF
-
推薦稀釋比:
Application Recommended Dilution WB 1:500-1:5000 IHC 1:50-1:200 IF 1:20-1:200 -
Protocols:
-
儲存條件:Upon receipt, store at -20°C or -80°C. Avoid repeated freeze.
-
貨期:Basically, we can dispatch the products out in 1-3 working days after receiving your orders. Delivery time maybe differs from different purchasing way or location, please kindly consult your local distributors for specific delivery time.
-
用途:For Research Use Only. Not for use in diagnostic or therapeutic procedures.
相關產品
靶點詳情
-
功能:Exhibits glutathione-dependent thiol transferase and dehydroascorbate reductase activities. Has S-(phenacyl)glutathione reductase activity. Has also glutathione S-transferase activity. Participates in the biotransformation of inorganic arsenic and reduces monomethylarsonic acid (MMA) and dimethylarsonic acid.
-
基因功能參考文獻:
- the effect of specific GSTO1 and GSTO2 gene variants, independently and in interaction with established risk factors (smoking, obesity and hypertension) on the risk for the most aggressive renal cell carcinoma (RCC) subtype, the clear cell RCC, is reported. PMID: 30224590
- Results showed that the variants rs11191979, rs2164624 and rs4925 of GSTO1 provide the susceptibility toward developing arsenic-induced skin lesions in individuals exposed to high-dose inorganic arsenic in northwest China. PMID: 29323258
- Significant correlation between severities of skin manifestations with GSTO1 polymorphism status in arsenic-exposed population of India. PMID: 28436716
- GSTO1*C is linked to the pre-stage of Alzheimer's disease; rs4925 could be a genetic marker for cognitive impairment PMID: 27259244
- This study demonstrated that Distribution of the GSTO1 alleles and genotypes was nearly equal between the control group and SCA2 patients. GSTO1 genotypes were not associated to clinical markers in SCA2 patients. PMID: 28017238
- GSTO1 genetic polymorphisms are associated with the progression of HBV infection. PMID: 27221910
- GSTP1 and GSTO1 polymorphisms are associated with epirubicin treatment outcomes as well as with epirubicin-related toxicity. PMID: 26354850
- No significant association has been found between childhood Pre-B acute lymphoblastic leukemia and GSTO1 A140D and GSTO2 N142D polymorphisms. PMID: 25726706
- The present study provided epidemiological evidence for a significantly increased risk of UCB in ever smokers with the Ala/Ala genotype of the GSTO1 gene and the Arg/Arg genotype of the SULT1A1 gene. PMID: 25103078
- Our results indicate that GSTO1*C/GSTO2*G haplotype is associated with increased risk of TCC. The modifying effect of GSTO2*G/G genotype on individual susceptibility to TCC is more pronounced, when associated with smoking. PMID: 25716313
- This meta-analysis demonstrates that GSTO2 polymorphism may significantly increase cancer risk in Caucasian population and is associated with elevated risk of breast cancer; while GSTO1 polymorphism is not associated with cancer risk. PMID: 25300926
- Our study is the first to show that the frequency of GSTO1 A140D gene polymorphism in the Turkish population is similar to other Caucasian populations and that this polymorphism is not associated with susceptibility to NSCLC. PMID: 23819933
- Overexpression of GSTO1 is associated with esophageal squamous cell carcinoma. PMID: 25085586
- GSTT1 active genotype and GSTO1 Asp140Asp and GSTO2 Asp142Asp genotypes may have a prognostic/pharmacogenomic role in patients with muscle invasive bladder cancer. PMID: 24040330
- Genetic variants in GSTO1 are associated with increased risk for recurrent miscarriage. PMID: 24417908
- The common A140D genetic polymorphism in GSTO1 was found to have significant effects on the kinetics of both the deglutathionylation and glutathionylation reactions. PMID: 23888047
- The frequencies of GSTO1 and GSTO2 genotypes were not significantly different between head and neck squamous cell carcinoma cases and controls. PMID: 23086268
- Single nucleotide polymorphisms (SNPs) in arsenic methyltransferase and methylene-tetrahydrofolate reductase is associated with bladder cancer in those exposed to low concentrations of inorganic arsenic. SNPs in glutathione S-transferase omega-1 are not. PMID: 22747749
- GSTO-1 plays a key role in hormesis induced by low dose trichloroethylene. PMID: 21351650
- Our studies confirm the lack of association between GSTO1 variants and essential hypertension risk, also for two uncommon genetic variants with large functional effects in italian patients. PMID: 22283150
- Results suggest a role of GSTO1-1 in the inflammatory response and the apoptotic process and indicate that A140D and E208K polymorphisms could increase risk of developing inflammatory and apoptosis-related diseases in As-exposed populations. PMID: 22293942
- low monomethylarsonic acid is associated with increased risk for MetS among As-exposed subjects and the genetic polymorphism of GSTO1 PMID: 22440634
- The minor allele of GSTO1 rs4925 associates with decreased risk in familial Parkinson disease. The minor alleles of GSTO1 rs4925 and GSTO2 rs156697 SNPs associate with lower brain levels of GSTO2, but not GSTO1. PMID: 22494505
- the crystal structure of a human GSTO1-1 has been determined at 1.7 A resolution in complex with the reaction product ascorbic acid PMID: 22522127
- Genetic polymorphisms GSTO and As3MT modify arsenic metabolism as evidenced by altered urinary arsenic excretion PMID: 22339537
- we hypothesized that GSTO1*E155del is an uncommon genetic variant associated with Alzheimer's Disease risk. PMID: 22100662
- These findings supported a role of the GSTO1 rs4925 single nucleotide polymorphism in the risk of sporadic Alzheimer disease in southern Italy. PMID: 20818931
- Novel folding and stability defects cause a deficiency of human glutathione transferase omega 1. PMID: 21106529
- Has a role in the risk Urothelial carcinogenesis PMID: 21094982
- the distribution of the GSTO2 gene differed significantly between asthmatics and controls PMID: 20374258
- This study provides the allele frequencies of GSTO polymorphism in a sample consisting of 116 apparently healthy individuals of both sexes from Rome (Central Italy). PMID: 20113212
- it is unlikely that glutathione S-transferases GSTA2, GSTM2, GSTO1, GSTO2, and GSTZ1 participate in breast cancer susceptibility. PMID: 19859803
- GSTO1-1 overexpression appears to be associated with activation of survival pathways (Akt and ERK1/2) and inhibition of apoptotic pathways (JNK1), as well as protection against cisplatin-induced apoptosis. PMID: 20106899
- The GSTO1-140Asp/GSTO2-142Asp haplotype was associated with increased risk of COPD. PMID: 19513904
- polymorphisms in GSTO1 or GSTO2 do not appear to contribute to the large individual variability in arsenic metabolism or susceptibility to arsenicosis. PMID: 19635583
- Data describe the functional characterization of two variants of human glutathione-s-transferase omega. PMID: 12565892
- Arsenic metabolism associated hGSTO1-1 in the European ancestry group was more polymorphic than the Indigenous American Ancestry groups. Mexican Hispanics, could vary in the extent of polymorphism in these genes based upon the admixture. PMID: 12928150
- a significant association was found for GSTO1 (P=0.007) and a second transcribed member of the GST omega class, GSTO2 (P=0.005), located next to GSTO1. PMID: 14570706
- Our results do not confirm an association between PD and frequency of hGSTO2*N142D. PMID: 15159516
- 2 missense polymorphisms in exon 4 (Ala140Asp & Glu155DeltaGlu) were detected. Asp allele genotype affected CSF cholesterol, serum homocysteine. risk of vascular dementia, stroke, and early-onset Alzheimer's disease. PMID: 15623683
- no association either with age-at-onset in AD cases or with disease risk in the case-control cohort but haplotype analysis revealed a modest association of one haplotype with AD risk (p = 0.04 PMID: 15917099
- For E155del, the mutation frequency in Ovambo and Japanese subjects was 0.000 and 0.017, respectively, similar to those for other populations. As for E208K polymorphism, no mutation allele was found in Ovambo or Japanese subjects. PMID: 17484623
- Glutathione S-transferase omega is abundant in alveolar macrophages and airway secretions, with the levels decreased in patients with chronic obstructive pulmonary disease. PMID: 17617905
- The GSTO1 Asp/Asp genotype presumably modulates the severity and expansion of atherosclerosis in the circle of Willis PMID: 17717316
- The prevalence of the GSTO1 140A varied significantly among different regional populations in China, which showed that geography played a more important role in the population differentiation for this allele than the ethnicity/race PMID: 18400112
- Polymorphisms of glutathione S-transferase A1 and O1 and breast cancer among postmenopausal Danish women. PMID: 18414193
- These results suggest a possible effect of the GSTO1 and 2 locus on age of onset of FALS. PMID: 18427999
- These data establish the fact that the polymorphic deletion of Glu155 can cause GSTO1-1 deficiency in vivo. PMID: 18571971
- GSTO2*N142D genotype is significantly associated with high rish of childhood acute lymhpoblastic leukemia. PMID: 18941778
- Report GSTO1 gene polymorphisms in worldwide populations. PMID: 18986335
顯示更多
收起更多
-
亞細胞定位:Cytoplasm, cytosol.
-
蛋白家族:GST superfamily, Omega family
-
組織特異性:Ubiquitous. Highest expression in liver, pancreas, skeletal muscle, spleen, thymus, colon, blood leukocyte and heart. Lowest expression in brain, placenta and lung.
-
數據庫鏈接:
Most popular with customers
-
-
YWHAB Recombinant Monoclonal Antibody
Applications: ELISA, WB, IHC, IF, FC
Species Reactivity: Human, Mouse, Rat
-
Phospho-YAP1 (S127) Recombinant Monoclonal Antibody
Applications: ELISA, WB, IHC
Species Reactivity: Human
-
-
-
-
-















