GPX4 Recombinant Monoclonal Antibody
-
中文名稱:GPX4重組抗體
-
貨號:CSB-RA188594A0HU
-
規格:¥1320
-
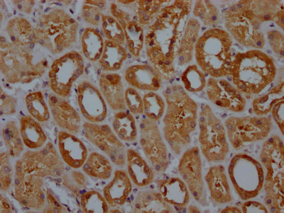
圖片:
-
IHC image of CSB-RA188594A0HU diluted at 1:100 and staining in paraffin-embedded human kidney tissue performed on a Leica BondTM system. After dewaxing and hydration, antigen retrieval was mediated by high pressure in a citrate buffer (pH 6.0). Section was blocked with 10% normal goat serum 30min at RT. Then primary antibody (1% BSA) was incubated at 4℃ overnight. The primary is detected by a Goat anti-rabbit IgG polymer labeled by HRP and visualized using 0.05% DAB.
-
-
其他:
產品詳情
-
產品描述:CSB-RA188594A0HU 是靶向谷胱甘肽過氧化物酶4(GPX4)的重組單克隆抗體。GPX4是細胞內關鍵的抗氧化酶,通過還原脂質過氧化物維持氧化穩態,其功能異常與鐵死亡調控、腫瘤發生及神經退行性疾病進程密切相關。本抗體經ELISA和免疫組化(IHC)嚴格驗證,在IHC應用中呈現高特異性膜/胞質定位信號,背景干擾低,推薦使用稀釋度為1:50-1:200。采用重組表達技術確保批次間高度一致性,適用于鐵死亡機制研究、腫瘤微環境氧化應激分析、神經退行模型構建及抗氧化通路探索等科研場景,為體外組織樣本的靶蛋白檢測提供可靠工具。
-
Uniprot No.:
-
基因名:
-
別名:Phospholipid hydroperoxide glutathione peroxidase (PHGPx) (EC 1.11.1.12) (Glutathione peroxidase 4) (GPx-4) (GSHPx-4), GPX4
-
反應種屬:Human
-
免疫原:A synthesized peptide derived from human GPX4
-
免疫原種屬:Homo sapiens (Human)
-
標記方式:Non-conjugated
-
克隆類型:Monoclonal
-
抗體亞型:Rabbit IgG
-
純化方式:Affinity-chromatography
-
克隆號:9D4
-
濃度:It differs from different batches. Please contact us to confirm it.
-
保存緩沖液:Rabbit IgG in 10mM phosphate buffered saline , pH 7.4, 150mM sodium chloride, 0.05% BSA, 0.02% sodium azide and 50% glycerol.
-
產品提供形式:Liquid
-
應用范圍:ELISA, IHC
-
推薦稀釋比:
Application Recommended Dilution IHC 1:50-1:200 -
Protocols:
-
儲存條件:Upon receipt, store at -20°C or -80°C. Avoid repeated freeze.
-
貨期:Basically, we can dispatch the products out in 1-3 working days after receiving your orders. Delivery time maybe differs from different purchasing way or location, please kindly consult your local distributors for specific delivery time.
-
用途:For Research Use Only. Not for use in diagnostic or therapeutic procedures.
相關產品
靶點詳情
-
功能:Essential antioxidant peroxidase that directly reduces phospholipid hydroperoxide even if they are incorporated in membranes and lipoproteins. Can also reduce fatty acid hydroperoxide, cholesterol hydroperoxide and thymine hydroperoxide. Plays a key role in protecting cells from oxidative damage by preventing membrane lipid peroxidation. Required to prevent cells from ferroptosis, a non-apoptotic cell death resulting from an iron-dependent accumulation of lipid reactive oxygen species. The presence of selenocysteine (Sec) versus Cys at the active site is essential for life: it provides resistance to overoxidation and prevents cells against ferroptosis. The presence of Sec at the active site is also essential for the survival of a specific type of parvalbumin-positive interneurons, thereby preventing against fatal epileptic seizures. May be required to protect cells from the toxicity of ingested lipid hydroperoxides. Required for normal sperm development and male fertility. Essential for maturation and survival of photoreceptor cells. Plays a role in a primary T-cell response to viral and parasitic infection by protecting T-cells from ferroptosis and by supporting T-cell expansion. Plays a role of glutathione peroxidase in platelets in the arachidonic acid metabolism. Reduces hydroperoxy ester lipids formed by a 15-lipoxygenase that may play a role as down-regulator of the cellular 15-lipoxygenase pathway.
-
基因功能參考文獻:
- Crystal structure and functional characterization of selenocysteine-containing GPX4 suggests an alternative mechanism of peroxide reduction. PMID: 29883798
- Results suggest that single nucleotide polymorphism rs713041 in glutathione peroxidase 4 (GPx4) may play a key role in the pathogenesis of preeclampsia (PE). PMID: 27641822
- Targeting Dependency on the GPX4 Lipid Peroxide Repair Pathway for Cancer Therapy. PMID: 29584411
- The results indicate that the single-nucleotide polymorphism rs713041 in GPX4 gene could modulate the pattern of global gene expression. Supplementation with Brazil nuts can modify the gene expression of some selenoproteins depending upon the presence of genetic polymorphisms. PMID: 28696394
- The proliferation of GPx4 siRNA-treated cells was downregulated compared with that of control siRNA-treated cells. GPx4 knockdown enhanced hydrogen peroxide- and ferrous sulfate-induced cytotoxicity. PMID: 27420751
- High GPX4 expression is associated with oral squamous cell carcinoma. PMID: 28653098
- By screening peptide libraries displayed on T7 phages, and analyzing the X-ray crystal structures of the peptides, we successfully identified one peptide that binds to near Sec73 of catalytic site and two peptides that bind to another site on GPX4. To our knowledge, this is the first study reporting GPX4 inhibitory peptides and their structural information. PMID: 27836545
- use GPX4 and GPX7 as possible markers for improving HCC diagnosis/prognosis. PMID: 26708178
- One SNP (rs3746162) in GPX4 was significantly associated with bladder cancer recurrence after transurethral resection. PMID: 25851338
- Hepatitis C virus (HCV) induces oxidative stress but controls it tightly by inducing ROS scavengers. Among these, GPx4 plays an essential role in the HCV life cycle. PMID: 25516417
- polymorphism of gene of glutathione peroxidase predisposes to more severe affection of liver and progression of chronic hepatitis C. PMID: 25884073
- GPx4 is essential for maintaining oxidative homeostasis and keeping defense against oxidative stress in conjunctival epithelial cells. PMID: 25574043
- Identification of truncating mutations in GPX4 in two families affected with Sedaghatian-type spondylometaphyseal dysplasia. PMID: 24706940
- GPX4c718t SNP is functional and that variants of this SNP can have detrimental consequences on endothelial function leading to a greater risk of vascular disease. PMID: 23934705
- A membrane glycoprotein GPX4 was shown to play a significant role in gamete interactions. PMID: 24191733
- Erythrocyte glutathione peroxidase activity is modified by single nucleotide polymorphisms in SEPP1, GPX4 and GPX1 and by estrogens. PMID: 24039907
- neither CYBB nor GPX4 are major genetic determinants of diabetic nephropathy, but nevertheless, they could modulate in a gender-specific manner the risk for renal disease in patients with type 1 diabetes. PMID: 23919599
- Glutathione peroxidase is a moonlighting protein that functions both as a peroxidase as well as a structural protein in mature spermatozoa. PMID: 11898409
- GPx4, through effects on AIF, plays a major role in maintaining the oxidative phosphorylation system and protecting mitochondria from oxidative damage. PMID: 22634395
- It was shown for the first time that the C718T polymorphism in the 3'-untranslated region of the GPX4 gene could be considered as a genetic marker of susceptibility to cerebral stroke in patients with essential hypertension. PMID: 22158110
- genetic association studies in a Han Chinese population in Shaanxi province: Data indicate that 2 SNP in GPx4 (rs713041, rs4807542) and down-regulation of expression of GPx4 mRNA may be related to development of Kashin-Beck disease. PMID: 21733339
- The SNPs of 5'-UTR region of the GPx4 gene might not be associated with oligo- or asthenozoospermic male infertility PMID: 21644221
- the T/C variant GPX4 (rs713041) alters the pattern of selenoprotein synthesis if selenium intake is low PMID: 21459128
- a direct role of nuclear GPx4 in the (selenium-dependent) prevention of oxidative damage in the gastrointestinal tract. PMID: 21252226
- an examination of gene expression PMID: 12152199
- sperm content of phospholipid hydroperoxide glutathione peroxidase is correlated with fertility-related parameters and can be considered a predictive measure for fertilization capacity in humans PMID: 12193409
- tissue distribution of alternatively spliced snGPx PMID: 12427732
- data from screening of the region of the GPX4 gene corresponding to the 3'UTR show a T/C variant at position 718 that affects the levels of lymphocyte 5-lipoxygenase total products PMID: 12490284
- Gpx-4 polymorphism cannot generally account for the correlation of phospholipid hydroperoxide glutathione peroxidase content of sperm and fertility-related parameters. Further examination of this gene as a potential cause of infertility is warranted. PMID: 12606444
- PhGPx can lower the peroxide tone, which might change the cellular redox environment resulting in a delay in G1 transit PMID: 12868489
- GPX4 up-regulates arachidonate metabolism in a epidermoid carcinoma tumor cell line. PMID: 12958179
- lipids, cytokines and antioxidants modulate GPx4 in a complex manner that in the presence of adequate selenium, may favour protection against potentially proatherogenic processes. PMID: 14642406
- No statistically significant differences for glutathione peroxidase, phospholipid hydroperoxide glutathione peroxidase, and glutathione reductase were encountered between normal values and those of asthenozoospermic patients. PMID: 15149466
- Sperm nucleus PHGPx expression is mediated by the transcription factor CREM-tau, which acts as a cis-acting element localized in the first intron of the PHGPx gene. PMID: 15225122
- This review addresses the role of mitochondrial phospholipid hydroperoxide glutathione peroxidase in the regulation of apoptosis. PMID: 15256721
- PHGPx modulates the induction of MMP-1 and collagenase. PMID: 15308634
- Intracellular sperm GSH system components GPX-4 and GSH are altered in infertile men, and these alterations seem to be linked to sperm morphology. PMID: 15474074
- Increased activities of erythrocyte glutathione peroxidase is associated with cerebral palsy PMID: 15978628
- Oligoasthenozoospermia is associated with a decrease in the level of expression of PHGPx in the spermatozoa of some infertile men but is not linked to mutations in PHGPx gene. PMID: 16872467
- we investigated both GPx-4 activity and localization in subcellular fractions of human platelets. Confocal immunofluorescence microscopy localized mainly GPx-4 to membranes of activated platelets in contrast to cytoplasm in the resting cells. PMID: 17020817
- Role for selenium in risk of lung cancer and independent regulation of GPX4 in a tumor cell line. PMID: 17052796
- Phospholipid hydroperoxide glutathione peroxidase expression is downregulated in poorly differentiated breast invasive ductal carcinoma PMID: 17516241
- Results show the he crystal structure of the catalytically active U46C mutant of GPx4 and site-directed mutagenesis revealed amino acid residues important for catalysis and covalent protein polymerization. PMID: 17630701
- These data provide strong support for the hypothesis that common variation in GPX4 is associated with prognosis after a diagnosis of breast cancer. PMID: 17634480
- The GPX4c718t SNP both alters protein binding to the 3'UTR in vitro and influences the concentration of lymphocyte GPx4 and other selenoproteins in vivo PMID: 18400727
- No significant risk for GPX4 in colorectal adenoma. PMID: 18483336
- Short form Gpx4 protein is present in mitochondria and is essential for survival and protection against apoptosis, whereas the long form Gpx4 protein is important for male fertility. PMID: 19744930
顯示更多
收起更多
-
相關疾?。?/div>Spondylometaphyseal dysplasia, Sedaghatian type (SMDS)亞細胞定位:[Isoform Mitochondrial]: Mitochondrion.; [Isoform Cytoplasmic]: Cytoplasm.蛋白家族:Glutathione peroxidase family組織特異性:Present primarily in testis. Expressed in platelets (at protein level).數據庫鏈接:
Most popular with customers
-
-
YWHAB Recombinant Monoclonal Antibody
Applications: ELISA, WB, IHC, IF, FC
Species Reactivity: Human, Mouse, Rat
-
-
-
-
-
-















