FURIN Recombinant Monoclonal Antibody
-
中文名稱:FURIN重組抗體
-
貨號:CSB-RA271669A0HU
-
規格:¥1320
-
圖片:
-
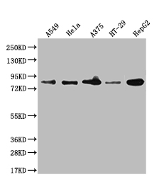
Western Blot
Positive WB detected in: A549 whole cell lysate, Hela whole cell lysate, A375 whole cell lysate, HT-29 whole cell lysate, HepG2 whole cell lysate, U-87 whole cell lysate
All lanes: Furin antibody at 1:1000
Secondary
Goat polyclonal to rabbit IgG at 1/50000 dilution
Predicted band size: 87 kDa
Observed band size: 87, 72 kDa -
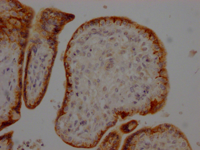
IHC image of CSB-RA271669A0HU diluted at 1:100 and staining in paraffin-embedded human placenta tissue performed on a Leica BondTM system. After dewaxing and hydration, antigen retrieval was mediated by high pressure in a citrate buffer (pH 6.0). Section was blocked with 10% normal goat serum 30min at RT. Then primary antibody (1% BSA) was incubated at 4℃ overnight. The primary is detected by a Goat anti-rabbit IgG polymer labeled by HRP and visualized using 0.05% DAB.
-
-
其他:
產品詳情
-
產品描述:CSB-RA271669A0HU FURIN重組單克隆抗體是針對FURIN蛋白研發的高特異性免疫檢測試劑。FURIN是前蛋白轉化酶家族的重要成員,通過切割多種前體蛋白參與細胞分泌調控、病原體感染及腫瘤微環境調節等生物學過程。本抗體經ELISA、蛋白質印跡(WB)和免疫組化(IHC)等多種技術驗證,在WB實驗中推薦使用1:500-1:5000稀釋比例,可精準識別天然及重組FURIN蛋白,背景信號低且重復性優異;IHC應用采用1:50-1:200稀釋范圍時,能在多種組織樣本中清晰顯示FURIN的亞細胞定位及表達水平。該產品適用于探索FURIN在細胞分化、病毒侵染機制及腫瘤發生發展中的功能研究,為體外蛋白互作分析、疾病模型構建及分子信號通路解析提供可靠工具,滿足基礎科研中對FURIN蛋白定量檢測與空間分布研究的實驗需求。
-
Uniprot No.:
-
基因名:FURIN
-
別名:FURIN; FUR; PACE; PCSK3; Furin; Dibasic-processing enzyme; Paired basic amino acid residue-cleaving enzyme; PACE
-
反應種屬:Human
-
免疫原:A synthesized peptide derived from human Furin
-
免疫原種屬:Homo sapiens (Human)
-
標記方式:Non-conjugated
-
克隆類型:Monoclonal
-
抗體亞型:Rabbit IgG
-
純化方式:Affinity-chromatography
-
克隆號:1C3
-
濃度:It differs from different batches. Please contact us to confirm it.
-
保存緩沖液:Rabbit IgG in 10mM phosphate buffered saline , pH 7.4, 150mM sodium chloride, 0.05% BSA, 0.02% sodium azide and 50% glycerol.
-
產品提供形式:Liquid
-
應用范圍:ELISA, WB, IHC
-
推薦稀釋比:
Application Recommended Dilution WB 1:500-1:5000 IHC 1:50-1:200 -
Protocols:
-
儲存條件:Upon receipt, store at -20°C or -80°C. Avoid repeated freeze.
-
貨期:Basically, we can dispatch the products out in 1-3 working days after receiving your orders. Delivery time maybe differs from different purchasing way or location, please kindly consult your local distributors for specific delivery time.
-
用途:For Research Use Only. Not for use in diagnostic or therapeutic procedures.
相關產品
靶點詳情
-
功能:Ubiquitous endoprotease within constitutive secretory pathways capable of cleavage at the RX(K/R)R consensus motif. Mediates processing of TGFB1, an essential step in TGF-beta-1 activation. Converts through proteolytic cleavage the non-functional Brain natriuretic factor prohormone into its active hormone BNP(1-32).; (Microbial infection) Cleaves and activates diphtheria toxin DT.; (Microbial infection) Cleaves and activates anthrax toxin protective antigen (PA).; (Microbial infection) Required for H7N1 and H5N1 influenza virus infection probably by cleaving hemagglutinin.; (Microbial infection) Able to cleave S.pneumoniae serine-rich repeat protein PsrP.; (Microbial infection) Facilitates human coronaviruses EMC and SARS-CoV-2 infections by proteolytically cleaving the spike protein at the monobasic S1/S2 cleavage site. This cleavage is essential for spike protein-mediated cell-cell fusion and entry into human lung cells.; (Microbial infection) Facilitates mumps virus infection by proteolytically cleaving the viral fusion protein F.
-
基因功能參考文獻:
- High FURIN levels show signs of lower disease activity suggesting that FURIN might have a protective role in primary Sjogren's syndrome. PMID: 29465367
- the furin inhibitor dec-RVKR-CMK blocked entry of MERS-CoV harboring an S protein lacking furin cleavage sites; it even blocked entry into furin-deficient LoVo cells. In addition, dec-RVKR-CMK inhibited not only the enzymatic activity of furin but also those of cathepsin L, cathepsin B, trypsin, papain, and TMPRSS2. PMID: 30021905
- Using protein X-ray crystallography, this study investigated the extended substrate binding site of furin in complex with three peptide-derived inhibitors at up to 1.9 A resolution. PMID: 29314830
- In squamous cell carcinoma of the cervix (SCCC), higher levels of MMP-14 expression were established in tumor cells, as evidenced by IHC (+3) and RT-PCR.Furin activity in the tumor was much higher than that in normal tissues. The expression of TIMP-2 mRNA was sufficiently obvious in both the tumor and normal tissues to the bottom of the uterine cavity. PMID: 29265076
- these findings identify furin as an important factor for aRMS progression and survival. Thus, we propose furin as a novel therapeutic target for treatment of aRMS. PMID: 27572312
- Novel protein crystallographic structures of the prototypical PC family member furin in different functional states were determined to 1.8-2.0 A. PMID: 27647913
- findings uncover a role of ERK1 in the regulation of furin activity by supporting a self-sustaining loop for high TGF-beta activity in glioma-initiating cells. PMID: 28484053
- Divers studies have confirmed the expression of furin in a large spectrum of cancers. Functional studies modulating its activity uncovered its importance for the processing of many cancer-related substrates and strongly indicate that high furin activity promotes the malignant phenotype of cancer cells. [review] PMID: 28369813
- Furin plays an important role in the malignant phenotype of rhabdomyosarcoma cells by activating proteins involved in tumor growth, vascularization, metastasis and invasion. PMID: 27548722
- Furin promotes epithelial-mesenchymal transition in pancreatic cancer cells probably via Hippo-YAP pathway and may be a potential target for anti-pancreatic cancer. PMID: 28259973
- Results suggest that (pro)renin receptor (s(P)RR) is generated by sequential processing by site-1 protease (S1P) and furin protein. PMID: 28013223
- Compared with the homozygous genotype CC of rs2071410, the frequency of CG + GG genotype in the case group was significantly higher than in the control group. Individuals with CG + GG genotype had 49.3% increased risk of Transient Ischemic Attack compared with individuals with CC genotype. Patients with CG + GG genotype had worse 90-day prognosis after Transient Ischemic Attack treatment than patients with CC genotype. PMID: 27760099
- our study provides evidence that furin activity and epithelial-mesenchymal transition are potential indicators of the aggressive phenotype in recurrent laryngeal cancer after irradiation and that furin is a potentially useful target against laryngeal cancer PMID: 27798871
- The authors show that Human papillomavirus type 16 L2 is cleaved during virion morphogenesis in differentiated tissue and that tissue-derived native virus initiates infection independent of cellular furin. PMID: 26569287
- Data suggest that the full Crimean-Congo hemorrhagic fever virus can be reproduced by reverse genetics; in this system, furin cleavage of the nonstructural glycoprotein reveals mature GP38. PMID: 25933376
- we could not confirm an effect of the SNP on FURIN expression in vitro and no correlations could be found in vivo with FURIN expression or outcome. PMID: 26137475
- the plasma level of FURIN does not predict the severity of infectious disease, it may be of use in the diagnostics of autoimmune diseases. PMID: 26346780
- These data highlight a positive-feedback loop whereby Notch1-dependent furin expression can induce Notch1 signaling by increasing Notch1 processing and by potentiating the activity of ADAM10 and Membrane Type 1 Matrix Metalloproteinase. PMID: 26283728
- Furin and PC7 siRNAs induced HIF-1alpha protein by increasing its translation, resulting in upregulation of VEGF-A. PMID: 24436242
- High levels of furin, TNF-alpha and TGF-beta2 may be the reason of proceeding decidualization, placentation, and prevention from abortion, in spite of terminating the fetal life. PMID: 26065233
- a phenotypic analysis demonstrated that a novel cis-eQTL SNP rs4702 for FURIN is strongly associated with both diastolic (p = 0.012) and systolic (p = 0.035) BP levels, as well as peripheral vascular resistance (p = 0.003). PMID: 25813623
- FUR transcription is activated by CREB-dependent stimulation of the FUR P1 promoter during human trophoblast syncytialization. PMID: 25175744
- Hepatic overexpression of human profurin reduced atherosclerotic lesion development in Ldlr(-/-)mice and reduced plasma LDL-c. In the presence of profurin, hepatic ApoB, mainly ApoB100, was degraded by proteasomes. PMID: 25026302
- Up-regulation of MT1-MMP and furin expression and low TIMP-2 expression make the main contribution to the invasiveness potential of squamous cell cervical carcinomas. PMID: 25552509
- These data support a model in which HD5 prevents furin from accessing human papillomavirus 16 L2 by occluding the furin cleavage site via direct binding to the viral capsid. PMID: 25540379
- a central regulator of cell-mediated immunity and Th1/2 cell balance and peripheral immune toleranc. PMID: 25355923
- we show that the K153R mutation significantly increases the rate of proteolysis of promyostatin by furin, but has no effect on the activity of the latent complex or the cleavage of the latent complex by bone morphogenetic protein 1 (BMP-1). PMID: 25543063
- The study presents a novel preparation of human furin and the first X-ray crystal structures of this enzyme in complex with noncovalent inhibitors. PMID: 24666235
- furin appears to be the essential enzyme for the generation of kisspeptins. PMID: 24454770
- High FURIN expression is associated with lung cancer. PMID: 23065687
- H9N2 HA can be cleaved in cells with high levels of furin expression. PMID: 24257604
- overexpression of furin can have either favourable or detrimental effects, it seems advisable to take indirect proprotein convertase inhibitory activity into account when polyphenols are considered for therapy of hepatocellular carcinoma. PMID: 23835774
- the role of serpinB8/furin in obesity-associated chronic inflammation PMID: 23936445
- Data indicate that alpha1PDX-serpin B8 and furin-PC chimeras suggeted new serpin and protease (re)active-site and exosite determinants of reactivity. PMID: 23744066
- The furin function is required for the development of syncytiotrophoblast structure in the labyrinth layer, as well as for normal embryonic development. PMID: 23598405
- The genetic variation of furin is not associated with insulin resistance in this Chinese Kazakh cohort. PMID: 23302673
- overexpression of PCs, furin and PC5, but not PC7, which are all expressed in SMC, increase PKGI cleavage in a dose-dependent manner PMID: 23686857
- His-69 functions as a pH sensor that regulates compartment-specific furin activation PMID: 23653353
- Among the PC family members, only furin activates hepcidin in hepatocytes, and uniquely the full-length membrane-bound PC7 can directly shed hTfR1 by cleavage at Arg100 PMID: 23390091
- Endothelial protease nexin-1 is a novel regulator of A disintegrin and metalloproteinase 17 maturation and endothelial protein C receptor shedding via furin inhibition. PMID: 23661674
- Genetic variations of Furin gene are not associated with obesity in Kazakh general population. PMID: 23568742
- Liver endothelial differentiation-associated protein (LEDA-1/PIANP) is processed by a furin-like proprotein convertase. PMID: 23558288
- Furin-cleaved proprotein convertase subtilisin/kexin type 9 (PCSK9) is active and modulates low density lipoprotein receptor and serum cholesterol levels. PMID: 23135270
- Cellular furin abundance in five cell lines was shown to be strongly correlated with productive IBV infection. Cleavage of IBV spike protein by furin may contribute to the productive IBV infection in these cells. PMID: 22995191
- Furin overexpression inhibited hepatocellular carcinoma tumor growth. PMID: 22808247
- expression of furin in the basal layer of the epidermis increased tumor development and enhanced tumor growth PMID: 22577343
- the association between Furin and its substrate MT1-MMP is regulated by PDGFR stimulation and c-Src. PMID: 22038627
- Furin-resistant Sema3E inhibits endothelial cells and hampers tumour angiogenesis and tumour growth. PMID: 22247010
- FURIN and its substrate cytokines BAFF and APRIL are over expressed in atherosclerotic plaques. PMID: 21889147
- These observations support the notion that hypoxia promotes the formation of a peripheral processing compartment where furin translocates for enhanced processing of proproteins involved in tumorigenesis. PMID: 21503879
顯示更多
收起更多
-
亞細胞定位:Golgi apparatus, trans-Golgi network membrane; Single-pass type I membrane protein. Cell membrane; Single-pass type I membrane protein. Secreted. Endosome membrane; Single-pass type I membrane protein.
-
蛋白家族:Peptidase S8 family, Furin subfamily
-
組織特異性:Seems to be expressed ubiquitously.
-
數據庫鏈接:
Most popular with customers
-
-
YWHAB Recombinant Monoclonal Antibody
Applications: ELISA, WB, IHC, IF, FC
Species Reactivity: Human, Mouse, Rat
-
Phospho-YAP1 (S127) Recombinant Monoclonal Antibody
Applications: ELISA, WB, IHC
Species Reactivity: Human
-
-
-
-
-















