FEN1 Recombinant Monoclonal Antibody
-
中文名稱:FEN1重組抗體
-
貨號:CSB-RA008585A0HU
-
規格:¥1320
-
圖片:
-
Western Blot
Positive WB detected in: Hela whole cell lysate, Raji whole cell lysate, HepG2 whole cell lysate, Jurkat whole cell lysate, MCF-7 whole cell lysate
All lanes: FEN1 antibody at 0.775μg/ml
Secondary
Goat polyclonal to rabbit IgG at 1/50000 dilution
Predicted band size: 43, 36 KDa
Observed band size: 43 KDa -
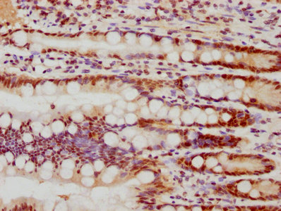
IHC image of CSB-RA008585A0HU diluted at 1:77.5 and staining in paraffin-embedded human small intestine tissue performed on a Leica BondTM system. After dewaxing and hydration, antigen retrieval was mediated by high pressure in a citrate buffer (pH 6.0). Section was blocked with 10% normal goat serum 30min at RT. Then primary antibody (1% BSA) was incubated at 4℃ overnight. The primary is detected by a biotinylated secondary antibody and visualized using an HRP conjugated SP system.
-
Immunofluorescence staining of Hela cells with CSB-RA008585A0HU at 1:25, counter-stained with DAPI. The cells were fixed in 4% formaldehyde, permeabilized using 0.2% Triton X-100 and blocked in 10% normal Goat Serum. The cells were then incubated with the antibody overnight at 4℃. The secondary antibody was Alexa Fluor 488-congugated AffiniPure Goat Anti-Rabbit IgG (H+L).
-
-
其他:
產品詳情
-
產品描述:CSB-RA008585A0HU FEN1重組單克隆抗體是針對DNA修復關鍵酶FEN1(Flap Endonuclease 1)開發的高特異性科研工具。該抗體靶向的FEN1蛋白在DNA復制與修復中發揮核心作用,通過精確切割5'端懸垂結構參與岡崎片段成熟及堿基切除修復,對維持基因組穩定性至關重要。本品經ELISA、蛋白質印跡(WB)、免疫組化(IHC)和免疫熒光(IF)多平臺驗證,推薦使用濃度分別為WB 1:500-1:5000、IHC 1:50-1:200、IF 1:20-1:200,能有效識別天然構象的FEN1蛋白。實驗數據顯示其在不同物種來源的細胞裂解液及石蠟包埋組織中均呈現優異特異性,批間穩定性良好,適用于探究DNA損傷應答機制、細胞周期調控及腫瘤發生相關研究。該重組抗體采用哺乳動物表達系統制備,具有高親和力和低交叉反應性特點,可為DNA代謝研究、基因組穩定性分析以及相關分子通路探索提供可靠檢測工具,滿足蛋白質定位、表達水平檢測等基礎科研需求。
-
Uniprot No.:
-
基因名:
-
別名:DNase IV antibody; FEN-1 antibody; FEN1 antibody; FEN1_HUMAN antibody; Flap endonuclease 1 antibody; Flap structure specific endonuclease 1 antibody; Flap structure-specific endonuclease 1 antibody; hFEN-1 antibody; hFEN1 antibody; Maturation factor 1 antibody; MF1 antibody; Rad2 antibody
-
反應種屬:Human
-
免疫原:A synthesized peptide derived from human FEN1
-
免疫原種屬:Homo sapiens (Human)
-
標記方式:Non-conjugated
-
克隆類型:Monoclonal
-
抗體亞型:Rabbit IgG
-
純化方式:Affinity-chromatography
-
克隆號:4D9
-
濃度:It differs from different batches. Please contact us to confirm it.
-
保存緩沖液:Rabbit IgG in 10mM phosphate buffered saline , pH 7.4, 150mM sodium chloride, 0.05% BSA, 0.02% sodium azide and 50% glycerol.
-
產品提供形式:Liquid
-
應用范圍:ELISA, WB, IHC, IF
-
推薦稀釋比:
Application Recommended Dilution WB 1:500-1:5000 IHC 1:50-1:200 IF 1:20-1:200 -
Protocols:
-
儲存條件:Upon receipt, store at -20°C or -80°C. Avoid repeated freeze.
-
貨期:Basically, we can dispatch the products out in 1-3 working days after receiving your orders. Delivery time maybe differs from different purchasing way or location, please kindly consult your local distributors for specific delivery time.
-
用途:For Research Use Only. Not for use in diagnostic or therapeutic procedures.
相關產品
靶點詳情
-
功能:Structure-specific nuclease with 5'-flap endonuclease and 5'-3' exonuclease activities involved in DNA replication and repair. During DNA replication, cleaves the 5'-overhanging flap structure that is generated by displacement synthesis when DNA polymerase encounters the 5'-end of a downstream Okazaki fragment. It enters the flap from the 5'-end and then tracks to cleave the flap base, leaving a nick for ligation. Also involved in the long patch base excision repair (LP-BER) pathway, by cleaving within the apurinic/apyrimidinic (AP) site-terminated flap. Acts as a genome stabilization factor that prevents flaps from equilibrating into structurs that lead to duplications and deletions. Also possesses 5'-3' exonuclease activity on nicked or gapped double-stranded DNA, and exhibits RNase H activity. Also involved in replication and repair of rDNA and in repairing mitochondrial DNA.
-
基因功能參考文獻:
- Results provide evidence that FEN1 rs174538 and rs4246215 are significantly associated with Wilms tumor susceptibility. PMID: 29937070
- FEN1 was an independent predictor of survival in pancreatic ductal adenocarcinoma PMID: 29735403
- The FEN1 rs174538 A allele is a novel protective biomarker for endometriosis PMID: 29109095
- This study revealed that cell apoptosis dysfunction plays a key role in the pathogenesis of LN, even though the difference in FEN1 gene 61563142-61563342 between LN patients and healthy individuals was not statistically significant. PMID: 29239254
- Results suggest that FEN1 polymorphisms may reduce the risk of breast cancer in Chinese women. PMID: 27801669
- FEN1 is essential for prolifera- tion and cisplatin resistance of lung cancer cells. PMID: 28371273
- Our results suggest that functional polymorphism FEN1 rs174538 G>A might affect personal susceptibility to esophageal squamous cell carcinoma . This result provides a solid theoretical foundation for further clinical study using larger sample sizes. PMID: 28319330
- FEN1 sculpts DNA with diffusion-limited kinetics to test DNA substrate. This DNA distortion mutually 'locks' protein and DNA conformation and enables substrate verification with extreme precision. PMID: 28230529
- Notably, non-small cell lung cancer patients with FEN1-overexpressed cancers were prone to have poor differentiation and poor prognosis. Furthermore, knockdown of FEN1 resulted in G1/S or G2/M phase cell cycle arrest and suppressed in vitro cellular proliferation in NSCLC cancer cells. PMID: 29037854
- Data indicate that human cancer-associated genetic alterations in the FEN1 gene can contribute substantially to cancer development. PMID: 27270424
- WRN or the Bloom syndrome helicase (BLM) stimulates DNA polymerase delta progression across telomeric G-rich repeats, only WRN promotes sequential strand displacement synthesis and FEN1 cleavage. PMID: 27849570
- The FEN1 rs174538 A allele is a protective biomarker for childhood ALL and this association is more significant in males and in patients at onset age of 3.5 years or older. PMID: 26708601
- Data indicate that Flap endonuclease 1 (FEN1) single nucleotide polymorphisms and haplotypes are associated with gallbladder cancer risk. PMID: 26668074
- the aim of the present study was to determine the role of FEN1 in the chemosensitivity of SGC7901 cells. PMID: 26718738
- Binding of DNA to human FEN1 in a bent conformation occurred independently of 5'-flap accommodation and did not require active site metal ions or the presence of conserved active site residues. PMID: 26884332
- In this study, we found that cohesion establishment factors, like CHlR1, cooperatively stimulate endonuclease activity of hFen1 in in vivo mimic condition, including replication protein-A-coated DNA and high salt. PMID: 26032365
- Under DNA repair conditions, FEN1 efficiently repaired the 5'-phoshotyrosyl bond-containing SSB substrates in the presence of DNA ligase and DNA polymerase. PMID: 26581212
- WDR4 regulates FEN1's potential DNA cleavage threat near the site of replication. PMID: 26751069
- Patients with expression of both FEN1 and RAD54B were prone to have advanced nodal involvement and significantly poor prognosis. PMID: 26431531
- Fen1 significantly stimulated trinucleotide repeats expansion by Pol beta, but not by the related enzyme Pol lambda. PMID: 25687118
- YY1 is a transcription repressor of FEN1 regulating FEN1 levels in response to DNA damaging agents. PMID: 25885449
- EXO1 and FEN1 cleaved the substrate at the boundary between the single-stranded 5' flap and the duplex, whereas FAN1 incised it three to four nucleotides in the double-stranded region. PMID: 26221031
- Rate-determining step of FEN1 reflects a kinetic bias against long flaps and trinucleotide repeat sequences. PMID: 26160176
- FEN1 -69G>A and 4150G>T polymorphisms may be associated with cancer susceptibility in Chinese population. PMID: 25154853
- Because FEN1 mutations have been identified in human cancers, our findings raise the possibility that unresolved RNA:DNA hybrid structures contribute to the genomic instability associated with cancer PMID: 25922071
- A novel method for monitoring functional lesion-specific recruitment of repair proteins in live cells. PMID: 25879709
- FEN1 protein expression was evaluated in 568 oestrogen receptor (ER) negative breast cancers, 894 ER positive breast cancers and 156 ovarian epithelial cancers. FEN1 is a promising biomarker in breast and ovarian epithelial cancer. PMID: 24880630
- The FEN1 E359K germline mutation disrupts the FEN1-WRN interaction and FEN1 GEN activity, causing aneuploidy-associated cancers. PMID: 24608430
- the mutations of the FEN1 gene maybe a rare event in the development of hepatocellular carcinomas in Korean population PMID: 24164220
- FEN1 SNPs and haplotypes were significantly associated with breast cancer risk. The risk alleles showed decreased FEN1 mRNA expression in breast tissues. PMID: 24440783
- The homotrimeric proliferating cell nuclear antigen protein (PCNA) coordinates the actions of DNA polymerase, FEN1 and DNA ligase by facilitating the hand-off intermediates between each protein during Okazaki fragment maturation PMID: 22918592
- Conserved basic amino acids are not required for double nucleotide unpairing and appear to act cooperatively, whereas the helical cap plays an unexpected role in hFEN1-substrate rearrangement PMID: 24126913
- The data provides the first observations of unpaired conformations in DNA substrates bound to hFEN1 in the presence of catalytically inert active-site metal ions and define the role of amino acid residues and divalent metal ion cofactors in this process. PMID: 23975198
- A cryptic targeting signal creates a mitochondrial FEN1 isoform with tailed R-Loop binding properties. PMID: 23675412
- This study suggested that FEN1 polymorphisms and haplotypes are associated with glioma risk. PMID: 23184144
- We identified small-molecule inhibitors of one such target, FEN1, and showed that these compounds were able to selectively kill human cells carrying cancer-relevant mutations. PMID: 23382697
- These studies demonstrate a novel role for APC in the suppression of Fen1 activity in the BER pathway PMID: 22787431
- Cell-cycle-dependent timing of FEN1 nuclease activity is essential for cell-cycle progression and the maintenance of genome stability. PMID: 22749529
- The crystal structure of the complex of importin alpha with a peptide corresponding to the FEN1 nuclear localization sequence was solved. PMID: 22751659
- Review: identifies superfamily motifs such as the helical gateway that select for ss-dsDNA junctions and provides key biological insights into FEN1 specificity and regulation. PMID: 22244820
- Data show models for the ternary PCNA/FEN1/DNA and Rad9-Rad1-Hus1 (9-1-1 complex)/FEN1/DNA assemblies. PMID: 22586102
- Data show that among the 13 SNPs in the 3 genes, only 3 were found to be polymorphic: R196K and K277R in the DFFB gene, and S12L in the EndoG gene, and all 6 SNPs in the FEN-1 gene were entirely monoallelic. PMID: 22011247
- FEN1 as an important gene in human gastrointestinal oncogenesis and genetic polymorphisms in FEN1 confer susceptibility to gastrointestinal cancers. PMID: 22072618
- Activity of FEN1 endonuclease on nucleosome substrates is dependent upon DNA sequence but not flap orientation. PMID: 21454907
- Structural and functional analyses of human FEN1:DNA complexes show structure-specific, sequence-independent recognition for nicked dsDNA bent 100 degrees with unpaired 3' and 5' flaps. PMID: 21496641
- these results show that FEN1 and telomerase association occurs throughout the S phase, with the maximum association in the mid S phase. PMID: 21345332
- FEN1 10154T variant allele decreases arachidonic acid and arachidonic acid/linoleic acid in the serum phospholipids of carriers of the APOA5-1131C allele PMID: 20802161
- the methylated form, but not the phosphorylated form, of FEN1 strongly interacts with proliferating cell nuclear antigen (PCNA), ensuring the 'on' and 'off' timing of its reaction PMID: 20729856
- FEN1 and EXO1 can eliminate structures formed by trinucleotide repeats in the course of replication, relying on endonucleolytic and exonucleolytic activities, respectively. PMID: 20643645
- FEN1 maintains stable telomeres by facilitating replication through the G-rich lagging strand telomere, thereby ensuring high fidelity telomere replication. PMID: 20551483
顯示更多
收起更多
-
亞細胞定位:[Isoform 1]: Nucleus, nucleolus. Nucleus, nucleoplasm. Note=Resides mostly in the nucleoli and relocalizes to the nucleoplasm upon DNA damage.; [Isoform FENMIT]: Mitochondrion.
-
蛋白家族:XPG/RAD2 endonuclease family, FEN1 subfamily
-
數據庫鏈接:
Most popular with customers
-
-
YWHAB Recombinant Monoclonal Antibody
Applications: ELISA, WB, IHC, IF, FC
Species Reactivity: Human, Mouse, Rat
-
Phospho-YAP1 (S127) Recombinant Monoclonal Antibody
Applications: ELISA, WB, IHC
Species Reactivity: Human
-
-
-
-
-















