ESR1 Recombinant Monoclonal Antibody
-
中文名稱:ESR1重組抗體
-
貨號:CSB-RA942338A0HU
-
規格:¥1320
-
圖片:
-
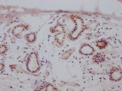
IHC image of CSB-RA942338A0HU diluted at 1:100 and staining in paraffin-embedded human breast cancer performed on a Leica BondTM system. After dewaxing and hydration, antigen retrieval was mediated by high pressure in a citrate buffer (pH 6.0). Section was blocked with 10% normal goat serum 30min at RT. Then primary antibody (1% BSA) was incubated at 4℃ overnight. The primary is detected by a Goat anti-rabbit IgG polymer labeled by HRP and visualized using 0.05% DAB.
-
-
其他:
產品詳情
-
產品描述:CSB-RA942338A0HU ESR1重組單克隆抗體是針對雌激素受體α(Estrogen Receptor 1)開發的高特異性科研試劑。該抗體通過重組技術制備,可特異性識別人類ESR1蛋白,經嚴格驗證適用于ELISA和免疫組化(IHC)實驗,其中IHC推薦使用稀釋比例為1:50-1:200。在驗證實驗中,該抗體展現出優異的抗原結合能力,IHC檢測能清晰顯示目標蛋白在細胞核內的定位特征,與ESR1作為核受體的生物學特性一致。其高批次間穩定性保障了實驗數據的可重復性,適用于研究雌激素信號通路調控機制、組織特異性表達譜分析以及相關疾病模型的分子機制探索。在科研場景中,該產品可應用于乳腺癌細胞系研究、內分泌系統相關信號轉導分析、生殖系統發育調控等基礎研究領域,為體外實驗及病理切片樣本檢測提供可靠工具。重組單克隆抗體的特性使其在蛋白互作研究、亞細胞定位分析等精細化實驗中具有顯著優勢,滿足科研工作者對實驗穩定性和特異性的雙重需求。
-
Uniprot No.:
-
基因名:
-
別名:Estrogen receptor (ER) (ER-alpha) (Estradiol receptor) (Nuclear receptor subfamily 3 group A member 1), ESR1, ESR NR3A1
-
反應種屬:Human
-
免疫原:A synthesized peptide derived from human ER alpha
-
免疫原種屬:Homo sapiens (Human)
-
標記方式:Non-conjugated
-
克隆類型:Monoclonal
-
抗體亞型:Rabbit IgG
-
純化方式:Affinity-chromatography
-
克隆號:1C11
-
濃度:It differs from different batches. Please contact us to confirm it.
-
保存緩沖液:Rabbit IgG in 10mM phosphate buffered saline , pH 7.4, 150mM sodium chloride, 0.05% BSA, 0.02% sodium azide and 50% glycerol.
-
產品提供形式:Liquid
-
應用范圍:ELISA, IHC
-
推薦稀釋比:
Application Recommended Dilution IHC 1:50-1:200 -
Protocols:
-
儲存條件:Upon receipt, store at -20°C or -80°C. Avoid repeated freeze.
-
貨期:Basically, we can dispatch the products out in 1-3 working days after receiving your orders. Delivery time maybe differs from different purchasing way or location, please kindly consult your local distributors for specific delivery time.
-
用途:For Research Use Only. Not for use in diagnostic or therapeutic procedures.
相關產品
靶點詳情
-
功能:Nuclear hormone receptor. The steroid hormones and their receptors are involved in the regulation of eukaryotic gene expression and affect cellular proliferation and differentiation in target tissues. Ligand-dependent nuclear transactivation involves either direct homodimer binding to a palindromic estrogen response element (ERE) sequence or association with other DNA-binding transcription factors, such as AP-1/c-Jun, c-Fos, ATF-2, Sp1 and Sp3, to mediate ERE-independent signaling. Ligand binding induces a conformational change allowing subsequent or combinatorial association with multiprotein coactivator complexes through LXXLL motifs of their respective components. Mutual transrepression occurs between the estrogen receptor (ER) and NF-kappa-B in a cell-type specific manner. Decreases NF-kappa-B DNA-binding activity and inhibits NF-kappa-B-mediated transcription from the IL6 promoter and displace RELA/p65 and associated coregulators from the promoter. Recruited to the NF-kappa-B response element of the CCL2 and IL8 promoters and can displace CREBBP. Present with NF-kappa-B components RELA/p65 and NFKB1/p50 on ERE sequences. Can also act synergistically with NF-kappa-B to activate transcription involving respective recruitment adjacent response elements; the function involves CREBBP. Can activate the transcriptional activity of TFF1. Also mediates membrane-initiated estrogen signaling involving various kinase cascades. Essential for MTA1-mediated transcriptional regulation of BRCA1 and BCAS3.; Involved in activation of NOS3 and endothelial nitric oxide production. Isoforms lacking one or several functional domains are thought to modulate transcriptional activity by competitive ligand or DNA binding and/or heterodimerization with the full-length receptor. Binds to ERE and inhibits isoform 1.
-
基因功能參考文獻:
- Estrogen-induced miR-191 was identified as a direct upstream regulator of DAB2 in ER-positive breast cancer cells. PMID: 29247596
- the whole-genome insights carried in this work can help fully understanding biological roles of ER1 in breast cancer. PMID: 30301189
- there was a relationship between rs2046210 and rs3803662, and the risk of developing this disease in Vietnamese women. The A allele is the risk allele for both rs2046210 (OR [95% CI] = 1.43 [1.14 - 1.78], P = 0.0015) and rs3803662 (OR [95% CI] = 1.45 [1.16 - 1.83], P = 0.001). We conclude that two polymorphisms, rs2046210 in ESR1 and rs3803662 in TNRC9, are associated with breast cancer risk in the Vietnamese population. PMID: 30078824
- that Oestrogen receptor alpha can enhance the odonto/osteogenic differentiation of stem cells from apical papilla via ERK and JNK MAPK pathways PMID: 30069950
- No association between polymorphisms in genes encoding estrogen receptors (ESR1 and ESR2) and excreted BPA levels was found in orthodontic patients after bracket bonding. PMID: 29961922
- Analysis of the genome-wide ER binding sites identified mutant ER unique recruitment mediating the allele-specific transcriptional program PMID: 29438694
- study describes RNF8 as a co-activator of ERalpha increases ERalpha stability via post-transcriptional pathway, and provides a new insight into mechanisms for RNF8 to promote cell growth of ERalpha-positive breast cancer. PMID: 28216286
- Reduced expression of ERbeta1 in female ERalpha-negative papillary thyroid carcinoma patients is associated with greater progression of the disease. PMID: 29655286
- heterogeneous distribution in deep infiltrating endometriosis PMID: 29383962
- ER-alpha36/EGFR signaling loop promotes growth of hepatocellular carcinoma cells PMID: 29481815
- This study aimed to determine the presence and localization of oestrogen receptors (ERs), progesterone receptors (PRs), and androgen receptors (ARs) in both healthy and varicose vein wall cells and their relationship with gender. PMID: 30250632
- Estrogen receptor-alpha was expressed only in women and showed a positive correlation with the amount of fungi in oral paracoccidioidomycosis, while progesterone receptor was observed in both genders and exhibited no correlation with estrogen receptor-alpha or fungi counting. PMID: 29796757
- ERalpha upregulates vinculin expression in breast cancer cells; Loss of vinculin promotes amoeboid features of cancer cells PMID: 28266545
- polymorphisms do not predict in vitro fertilization outcome PMID: 29916276
- High ESR1 expression is associated with metastasis in breast Cancer. PMID: 29187405
- The G/G XbaI genotype of ESR1 gene is associated with breast cancer risk. PMID: 29893332
- miR-221 may impair the protective effect of estrogen in degenerated cartilaginous endplate cells through targeting estrogen receptor alpha PMID: 29529124
- Results showed that NAT1 and ESR1 expression were increased in primary breast tumor samples compared with normal breast tissue samples, and in ER+ primary breast tumors compared with ER- tumors. Also, NAT1 and ESR1 expression seems to have overlapping regulation. PMID: 29901116
- all the patients without these mutations by molecular barcode next-generation sequencing (MB-NGS) were found to have no mutations by ddPCR. In conclusion, MB-NGS could successfully detect ESR1 mutations in cfDNA with a higher sensitivity of 0.1% than conventional NGS and was considered as clinically useful as ddPCR PMID: 28905136
- In summary, an association between the presence of the particular genotypes at the three ESR1 polymorphisms (rs2234693, rs6902771, rs7774230) and one ESR2 polymorphism (rs3020449), and the presence of metabolic syndrome in postmenopausal women was found. PMID: 30049354
- higher frequency of ESR1 and PIK3CA mutations in the plasma than in the serum in 33 MBC patients; therefore, serum samples should not be considered the preferred source of cfDNA. PMID: 29689710
- These results suggest that miR-125a-3p can function as a novel tumor suppressor in ER(+) breast cancer by targeting CDK3, which may be a potential therapeutic approach for TamR breast cancer therapy PMID: 28939591
- A major finding of our study is that one out of five (20%) patients with breast cancer BM had a receptor discrepancy between the primary tumor and the subsequent BM, with loss of hormone receptors (ER and/or PR) expression, and gain of HER2 overexpression as the most commonly observed changes PMID: 28975433
- Here the authors report a nodal role of IGF-IR in the regulation of ERalpha-positive breast cancer cell aggressiveness and the regulation of expression levels of several extracellular matrix molecules. PMID: 28079144
- The associations between PvuII (T>C) and XbaI (A>G) polymorphisms of estrogen receptor alpha (ESR1) gene with type 2 diabetes mellitus (T2DM) or metabolic syndrome (MetS), are reported. PMID: 29883973
- The ERalpha gene seems to play a key role in stress urinary incontinence in the premenopausal period. PMID: 29769420
- Study reports the first discovery of naturally occurring ESR1 (Y537C) and ESR1 (Y537S) mutations in MCF7 and SUM44 ESR1-positive cell lines after acquisition of resistance to long-term-estrogen-deprivation (LTED) and subsequent resistance to fulvestrant (ICIR). Mutations were enriched with time, impacted on ESR1 binding to the genome and altered the ESR1 interactome. PMID: 29192207
- Concomitant high expression of ERalpha36, GRP78 and GRP94 is associated with aggressive papillary thyroid cancer behavior and may be used as a predictor for extrathyroid extension, lymph node metastasis, and distant metastasis. PMID: 29368272
- Estrogen receptor-1 is a key regulator of HIV-1 latency that imparts gender-specific restrictions on the latent reservoir. PMID: 30061382
- Down-regulation of ESR1 gene expression was enhanced by the development of the breast cancer. PMID: 29543921
- The aim of the present study was to assess whether fibrosis markers, estrogen receptor (ER)alpha and the stromal derived factor (SDF)1/CXC chemokine receptor type 4 (CXCR4) axis are abnormally expressed in Intrauterine adhesions endometrium. PMID: 29568895
- The frequency of alleles and genotypes of polymorphisms FSHR(-29G/A) and ESRI (XbaI A/G) in women with normal to poor response did not have significant correlation. PMID: 29526845
- Each estrogen receptor alpha and estrogen receptor beta gene polymorphism might have different impact on postmenopausal osteoporosis risk and bone mineral density in various ethnicities. PMID: 29458346
- The results suggest that minor allele A of ESR1 gene is associated with the development of arterial hypertension in men. PMID: 29658078
- Study found that tamoxifen treatment induced a decrease in PRMT2 and an increase in ER-alpha36 as well as ER-alpha36-mediated non-genomic effect in MDA-MB-231 breast cancer cell line. PMID: 29620287
- ESR1 mutations are not associated with clinical resistance to fulvestrant in breast cancer patients. PMID: 27174596
- verexpression of COPS5, through its isopeptidase activity, leads to ubiquitination and proteasome-mediated degradation of NCoR, a key corepressor for ERalpha and tamoxifen-mediated suppression of ERalpha target genes. PMID: 27375289
- ESR alpha PvuII and XbaI polymorphisms have no association with ; systemic lupus erythematosus. The combination of the TC/AA and CC/GG genotypes were associated with SLE susceptibility. PMID: 29356461
- Estrogen receptor (ER) and progesterone receptor (PR) expression in endometrial carcinoma (EC) were significantly higher than those in the paracarcinoma tissue and control. PMID: 29081408
- ESR1 promoter methylation was an independent risk factor and had a high value to predict 28-day mortality from acute-on-chronic hepatitis B liver failure PMID: 29082740
- by analyzing different estrogen receptor-alpha(ER-a)-positive and ER-a-negative breast cancer cell lines, we defined the role of CCN5 in the leptin-mediated regulation of growth and invasive capacity. PMID: 29370782
- This study identified ESR1 as a direct target of miR-301a-3p. PMID: 29763890
- Authors report for the first time the presence of ESR1 methylation in plasma ctDNA of patients with HGSC. The agreement between ESR1 methylation in primary tumors and paired ctDNA is statistically significant. PMID: 29807696
- this study reports the development of a novel class of ERa AF2 inhibitors, which have the potential to effectively inhibit ERa activity by a unique mechanism and to circumvent the issue of mutation-driven resistance in breast cancer PMID: 29462880
- the P2X7R rs3751143 and ER-alpha PvuII two-locus interaction confers a significantly high susceptibility to osteoporosis in Chinese postmenopausal women. PMID: 28884379
- Alcohol consumption may have differential effects on concordant and discordant receptor subtypes of breast cancer. PMID: 29353824
- ERalpha and ERbeta mRNA expression was significantly higher (p < 0.05) in tumour tissues relative to their paired normal mucosa and correlated inversely with survival outcome PMID: 29390981
- High ESR1 expression is associated with Papillary Thyroid Carcinoma. PMID: 28124274
- Oral administration of RAD140 substantially inhibited the growth of AR/ER(+) breast cancer patient-derived xenografts (PDX). Activation of AR and suppression of ER pathway, including the ESR1 gene, were seen with RAD140 treatment. PMID: 28974548
- Polymorphism in the ERalpha gene is associated with an increased risk for advanced Pelvic Organ Prolapse. However, polymorphism in the LAMC1 gene does not seem to be associated with such risk. PMID: 29241914
顯示更多
收起更多
-
相關疾病:Estrogen resistance (ESTRR)
-
亞細胞定位:[Isoform 1]: Nucleus. Cytoplasm. Cell membrane; Peripheral membrane protein; Cytoplasmic side.; Nucleus. Golgi apparatus. Cell membrane. Note=Colocalizes with ZDHHC7 and ZDHHC21 in the Golgi apparatus where most probably palmitoylation occurs. Associated with the plasma membrane when palmitoylated.
-
蛋白家族:Nuclear hormone receptor family, NR3 subfamily
-
組織特異性:Widely expressed. Not expressed in the pituitary gland.; [Isoform 3]: Widely expressed, however not expressed in the pituitary gland.
-
數據庫鏈接:
Most popular with customers
-
-
YWHAB Recombinant Monoclonal Antibody
Applications: ELISA, WB, IHC, IF, FC
Species Reactivity: Human, Mouse, Rat
-
Phospho-YAP1 (S127) Recombinant Monoclonal Antibody
Applications: ELISA, WB, IHC
Species Reactivity: Human
-
-
-
-
-















