DHFR Recombinant Monoclonal Antibody
-
中文名稱:DHFR重組抗體
-
貨號:CSB-RA264582A0HU
-
規格:¥1320
-
圖片:
-
Western Blot
Positive WB detected in: Hela whole cell lysate, Jurkat whole cell lysate, K562 whole cell lysate, Raji whole cell lysate, 293T whole cell lysate, Rat heart tissue, Mouse kidney tissue, Mouse liver tissue
All lanes: DHFR antibody at 1:2000
Secondary
Goat polyclonal to rabbit IgG at 1/50000 dilution
Predicted band size: 22, 16 kDa
Observed band size: 22 kDa -
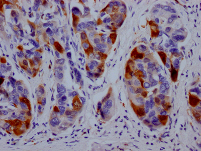
IHC image of CSB-RA264582A0HU diluted at 1:100 and staining in paraffin-embedded human breast cancer performed on a Leica BondTM system. After dewaxing and hydration, antigen retrieval was mediated by high pressure in a citrate buffer (pH 6.0). Section was blocked with 10% normal goat serum 30min at RT. Then primary antibody (1% BSA) was incubated at 4℃ overnight. The primary is detected by a Goat anti-rabbit IgG polymer labeled by HRP and visualized using 0.05% DAB.
-
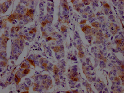
IHC image of CSB-RA264582A0HU diluted at 1:100 and staining in paraffin-embedded human liver cancer performed on a Leica BondTM system. After dewaxing and hydration, antigen retrieval was mediated by high pressure in a citrate buffer (pH 6.0). Section was blocked with 10% normal goat serum 30min at RT. Then primary antibody (1% BSA) was incubated at 4℃ overnight. The primary is detected by a Goat anti-rabbit IgG polymer labeled by HRP and visualized using 0.05% DAB.
-
Immunoprecipitating DHFR in Hela whole cell lysate
Lane 1: Rabbit control IgG instead of CSB-RA264582A0HU in Hela whole cell lysate. For western blotting,a HRP-conjugated Protein G antibody was used as the secondary antibody (1/2000)
Lane 2: CSB-RA264582A0HU(2μg)+ Hela whole cell lysate(500μg)
Lane 3: Hela whole cell lysate (10μg)
-
-
其他:
產品詳情
-
產品描述:CSB-RA264582A0HU DHFR重組單克隆抗體是針對二氫葉酸還原酶(Dihydrofolate Reductase, DHFR)研發的高特異性科研工具。DHFR是葉酸代謝通路中的關鍵酶,通過催化二氫葉酸還原為四氫葉酸,參與嘌呤與胸腺嘧啶的合成,在細胞增殖、DNA修復及腫瘤發生發展中具有重要作用。該抗體經ELISA、Western Blot(WB)、免疫組化(IHC)和免疫沉淀(IP)多平臺驗證,在WB實驗中可識別天然及重組DHFR蛋白,推薦稀釋度1:500-1:5000時可呈現清晰的特異性信號;IHC應用推薦1:50-1:200稀釋度,適用于石蠟包埋或冰凍組織切片的定位分析;IP實驗推薦1:200-1:1000稀釋度,可用于蛋白互作研究。適用于探究腫瘤代謝重編程、抗葉酸類藥物(如甲氨蝶呤)作用機制、基因表達調控等基礎研究領域。其高親和力與批次一致性可為細胞培養模型、動物組織樣本及體外重組蛋白系統的DHFR功能研究提供可靠支持。
-
Uniprot No.:
-
基因名:
-
別名:Dihydrofolate reductase (EC 1.5.1.3), DHFR
-
反應種屬:Human, Mouse, Rat
-
免疫原:A synthesized peptide derived from human DHFR
-
免疫原種屬:Homo sapiens (Human)
-
標記方式:Non-conjugated
-
克隆類型:Monoclonal
-
抗體亞型:Rabbit IgG
-
純化方式:Affinity-chromatography
-
克隆號:9B2
-
濃度:It differs from different batches. Please contact us to confirm it.
-
保存緩沖液:Rabbit IgG in 10mM phosphate buffered saline , pH 7.4, 150mM sodium chloride, 0.05% BSA, 0.02% sodium azide and 50% glycerol.
-
產品提供形式:Liquid
-
應用范圍:ELISA, WB, IHC, IP
-
推薦稀釋比:
Application Recommended Dilution WB 1:500-1:5000 IHC 1:50-1:200 IP 1:200-1:1000 -
Protocols:
-
儲存條件:Upon receipt, store at -20°C or -80°C. Avoid repeated freeze.
-
貨期:Basically, we can dispatch the products out in 1-3 working days after receiving your orders. Delivery time maybe differs from different purchasing way or location, please kindly consult your local distributors for specific delivery time.
-
用途:For Research Use Only. Not for use in diagnostic or therapeutic procedures.
相關產品
靶點詳情
-
功能:Key enzyme in folate metabolism. Contributes to the de novo mitochondrial thymidylate biosynthesis pathway. Catalyzes an essential reaction for de novo glycine and purine synthesis, and for DNA precursor synthesis. Binds its own mRNA and that of DHFR2.
-
基因功能參考文獻:
- In ALL and NHL patients treated with methotrexate, treatment toxicities and outcome were evaluated. Multivariate analysis showed that DHFR-1610G/T (OR=0.107, p=0.018) and MTHFR677T alleles (OR=0.12, p=0.026) had a strong protective effect against hematologic toxicity, while DHFR-1610CC genotype increased this toxicity (OR=9, p=0.045). PMID: 28887233
- Dihydrofolate reductase and thymidylate synthase form a complex in vitro and co-localize in normal and cancer cells. PMID: 27187663
- Single nucleotide polymorphism in DHFR gene is associated with Systemic lupus erythematosus. PMID: 28943344
- study concludes polymorphism 63/91 in DHFR gene promoter can modulate the onset of methotrexate-related adverse effects in rheumatoid arthritis patients PMID: 27636122
- our findings suggest that the identification of DHFR polymorphisms in the promoter region of the gene may be helpful in tailoring MTX doses for ALL pediatric patients on maintenance therapy. PMID: 28719513
- The abundance of dihydrofolate reductase was statistically significantly increased in rheumatoid arthritis (RA)-patient biopsies compared with controls and correlated with the administered dosage of methotrexate (MTX), the most frequently prescribed immunosuppressive drug for RA. PMID: 27627584
- The present study demonstrated that ADAR1 positively regulates the expression of DHFR by editing the miR-25-3p and miR-125a-3p binding sites in the 3'-UTR of DHFR, enhancing cellular proliferation and resistance to methotrexate in MCF-7 cells. PMID: 28188287
- In conclusion, the finding suggests that folate nutrition and 19bp del-DHFR [Dihydrofolate reductase] variation may interact to modify adenomatous polyp [colorectal cancer] risk. PMID: 26875486
- the highest expression of GGH and EGFR was noted in the left-sided colon; the highest expression of DHFR, FPGS, TOP1 and ERCC1 was noted in the rectosigmoid, whereas TYMP expression was approximately equivalent in the right-sided colon and rectum PMID: 26676887
- Overexpression of miR-192 inhibited cellular proliferation by binding DHFR. miR-192 decreased cellular anchoring via the repression of ITGAV, ITGB1, ITGB3, and CD47 PMID: 26506238
- Data suggest that DHFR exhibits intrinsic activity kinetics that are temperature-independent; additional mass (i.e., incorporation of H, C, and N isotopes) has no effect on intrinsic activity kinetics or protein conformation/stability of DHFR. PMID: 26813442
- patients homozygous for the G allele of rs1053129 in the DHFR gene were more likely to have a metastasis (45%, P= 0.005), and the methylenetetetrahydrofolate reductase (MTHFR) 677C allele was associated with higher degree of liver toxicity PMID: 25778468
- the association between cognitive outcomes with the 19-bp deletion DHFR polymorphism, folate status, and their interaction with high or normal plasma folate PMID: 26354538
- S-nitrosylation of DHFR at cysteine 7 by eNOS-derived NO is crucial for DHFR stability. PMID: 26381869
- genetic association studies in cohort of healthy young adults in Ireland: Data suggest that a 19 bp deletion/insertion polymorphism within intron 1 of DHFR (rs70991108) is not associated with folate nutritional status in the population studied. PMID: 26269242
- Dihydrofolate Reductase and Thymidylate Synthase Transgenes Resistant to Methotrexate Interact to Permit Novel Transgene Regulation. PMID: 26242737
- results for the first time suggested the DHFR 19-bp D/D genotype may confer a reduced risk of NS-CL/P and might act as a protective factor against NS-CL/P in the Iranian subjects. PMID: 26221921
- Triple mutant haplotypes AIRNI (N51I+C59R+S108N) of the dhfr gene associated with pyrimethamine resistance were prevalent in Chirang district of Assam. PMID: 25511211
- The human dihydrofolate reductase is relatively less stable than its E.coli counterpart. PMID: 26349210
- subpicosecond protein motion is dynamically coupled to hydride transfer catalyzed by hsDHFR but not ecDHFR PMID: 25369552
- MTHFR, DHFR and ATIC genetic variants can be considered as pharmacogenetic markers of outcome in RA patients under MTX monotherapy. PMID: 25084201
- Genome-wide association studies identify 10 novel genetic loci as risk factors for methotrexate response in rheumatoid arthritis patients additionally to polymorphism in DHFR, FPGS and TYMS. PMID: 24583629
- Genetic association between DHFR single nucleotide polymorphisms and nonsyndromic cleft lip with or without cleft palate. PMID: 24361572
- The hDHFR requires minimal backbone conformational rearrangement as it proceeds through its enzymatic cycle, but that ligand flux is brokered by more subtle conformational changes that depend on the side chain motions of critical residues. PMID: 24498949
- berberine suppresses the growth of cDDP-resistant cells more than the sensitive counterparts, by interfering with the expression of folate cycle enzymes, dihydrofolate reductase (DHFR) and thymidylate synthase (TS). PMID: 23903781
- Data suggest that methylenetetrahydrofolate reductase (NAD(P)H), dihydrofolate reductase, thymidylate synthetase and SLC19A1 genes present increased expression after the highest dose of methotrexate in laryngeal cancer cell line. PMID: 23838799
- Despite structural similarity, Escherichia coli and human DHFRs use different dynamic mechanisms to perform the same function, and human DHFR cannot complement DHFR-deficient E. coli cells. PMID: 24077226
- Interactions between the ligands and Asn 64, Phe 31, and Phe 34 are important for increased affinity for DHFR. PMID: 24053334
- We conclude that low activity of endothelial DHFR is an important factor limiting the benefits of BH4 therapies, which may be further aggravated by folate supplements. PMID: 23707606
- There is an association between DHFR DD/SHMT TT and DHFR II/SHMT TT combined genotypes and folate and MMA concentrations in individuals with Down syndrome. PMID: 23421317
- High DHFR immunoexpression correlated with nodal status and primary nasopharyngeal carcinoma. PMID: 23726796
- The data presented here provide a glimpse into the evolutionary trajectory of functional DHFR through its protein sequence space that lead to the diverged binding and catalytic properties of the E. coli and human enzymes. PMID: 23733948
- Inhibits cell growth through a mechanism involving downregulation of DHFR protein. PMID: 22954684
- Genotyping of DHFR 829C>T and GGH -401C>T was performed using a polymerase chain reaction. PMID: 22994778
- Led to accelerated degradation of DHFR and to inhibition of cancer cell growth. PMID: 23197646
- The present study was aimed to investigate the possible association between 19-base pair (bp) deletion polymorphism of the DHFR gene (rs70991108), null genotype of UGT2B17 as well as the expression level of NGX6 with the risk of breast cancer. PMID: 23053953
- Rheumatoid arthritis patients with DHFR-317AA genotype had less favourable response to methotrexate. PMID: 22324981
- human dihydrofolate reductase is bound to NADP. PMID: 22024482
- Constituents of the folate cycle could be involved in the etiology of idiopathic intellectual disability. PMID: 22005284
- This report has clearly shown that the population rate of change of resistant dhfr and dhps alleles is contingent to the sulfadoxine-pyrimethamine usage in the population in the Morogor-Mvomero district PMID: 21857842
- The 19-bp deletion polymorphism of DHFR gene was not a maternal risk factor for Down syndrome and was not related to variations in the concentrations of serum folate and plasma homocysteine and methylmalonic acid in the study population. PMID: 21120433
- The 19-base pair deletion polymorphism of DHFR was studied in Japanese. The genotype distribution was wild/wild, 11.9%; wild/deletion, 40.1%; deletion/deletion, 48.0%. Frequencies of wild type and deletion alleles were 0.32 and 0.68, respectively. PMID: 20834190
- Dihydrofolate reductase deficiency is associated with inborn error of metabolism. PMID: 21310276
- Dihydrofolate reductase deficiency due to a homozygous DHFR mutation causes megaloblastic anemia and cerebral folate deficiency leading to severe neurologic disease. PMID: 21310277
- the first kinetic parameters for DHFR from pjDHFR and pcDHFR with methotrexate (MTX), trimethoprim (TMP), and its potent analogue, PY957, is reported. PMID: 19196009
- DNA variants have a role in predisposition to disease-free survival in childhood acute lymphoblastic leukemia PMID: 19861437
- protein folding of dihydrofolate reductases (DHFR) from human, Escherichia coli, and Lactobacillus casei were elucidated and compared using intrinsic Trp fluorescence and fluorescence-detected ANS binding PMID: 11779239
- studied differences between the regulation of Plasmodium and human dihydrofolate reductases PMID: 11964483
- Computer modeling studies of the structural role of NADPH binding to active site mutants of human dihydrofolate reductase in complex with piritrexim PMID: 11996001
- Molecular mechanisms that govern translational regulation of DHFR in response to MTX. Review. PMID: 12084458
顯示更多
收起更多
-
相關疾病:Megaloblastic anemia due to dihydrofolate reductase deficiency (DHFRD)
-
亞細胞定位:Mitochondrion. Cytoplasm.
-
蛋白家族:Dihydrofolate reductase family
-
組織特異性:Widely expressed in fetal and adult tissues, including throughout the fetal and adult brains and whole blood. Expression is higher in the adult brain than in the fetal brain.
-
數據庫鏈接:
Most popular with customers
-
-
YWHAB Recombinant Monoclonal Antibody
Applications: ELISA, WB, IHC, IF, FC
Species Reactivity: Human, Mouse, Rat
-
Phospho-YAP1 (S127) Recombinant Monoclonal Antibody
Applications: ELISA, WB, IHC
Species Reactivity: Human
-
-
-
-
-















