ANGPT2 Recombinant Monoclonal Antibody
-
中文名稱:ANGPT2重組抗體
-
貨號:CSB-RA191985A0HU
-
規格:¥1320
-
圖片:
-
IHC image of CSB-RA191985A0HU diluted at 1:100 and staining in paraffin-embedded human liver cancer performed on a Leica BondTM system. After dewaxing and hydration, antigen retrieval was mediated by high pressure in a citrate buffer (pH 6.0). Section was blocked with 10% normal goat serum 30min at RT. Then primary antibody (1% BSA) was incubated at 4℃ overnight. The primary is detected by a Goat anti-rabbit IgG polymer labeled by HRP and visualized using 0.05% DAB.
-
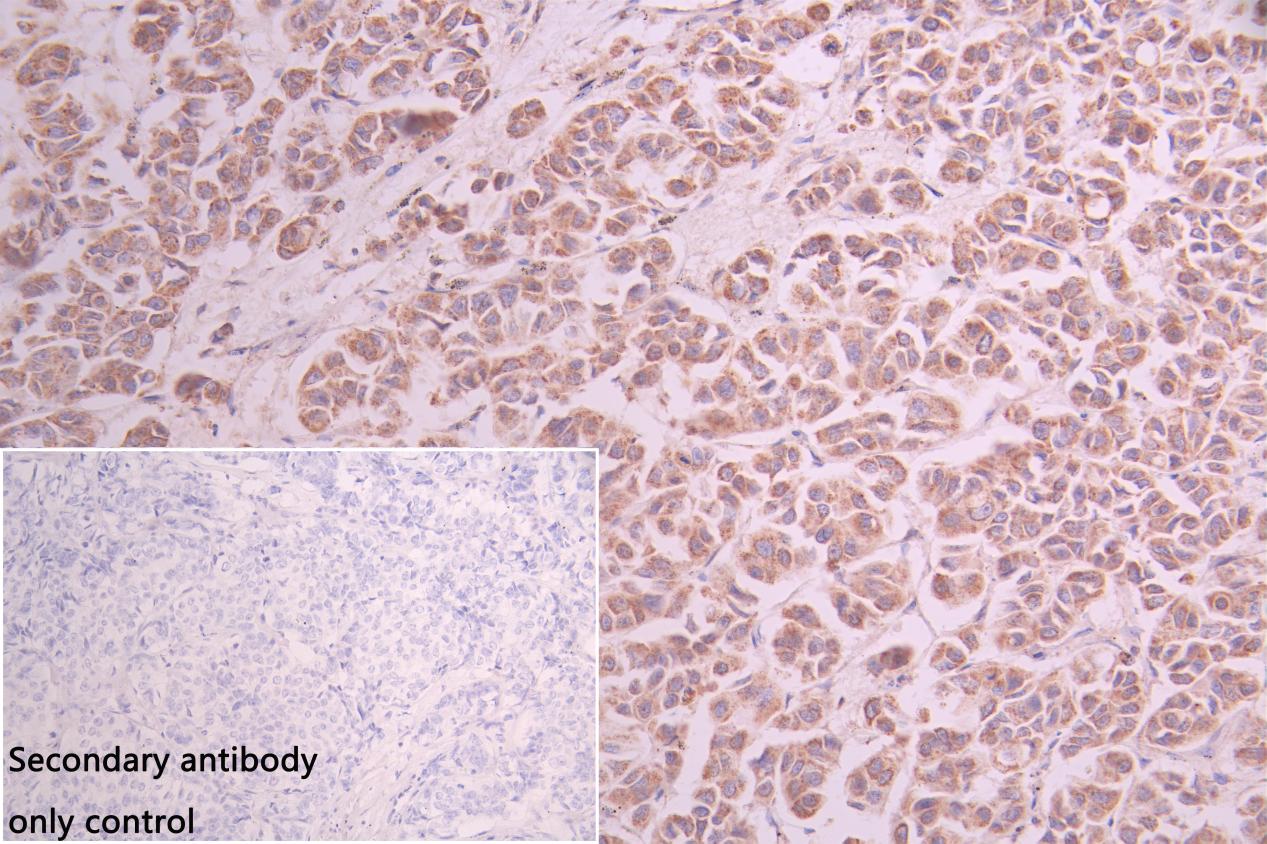
IHC image of CSB-RA191985A0HU diluted at 1:50 and staining in paraffin-embedded human Liver cancer performed on a Leica BondTM system. After dewaxing and hydration, antigen retrieval was mediated by high pressure in a citrate buffer (pH 6.0). Section was blocked with 10% normal goat serum 30min at RT. Then primary antibody (1% BSA) was incubated at 4°C overnight. The primary is detected by a Goat anti-rabbit polymer IgG labeled by HRP and visualized using 0.05% DAB. Secondary antibody only control: uses 1% BSA instead of primary antibody
-
Western Blot
Positive WB detected in: Hela whole cell lysate(30μg), K562 whole cell lysate(30μg), U251 whole cell lysate(30μg),Mouse Heart tissue lysate(30μg),Mouse Brain tissue lysate(30μg),Rat Heart tissue lysate(30μg),Rat Brain tissue lysate(30μg)
All lanes: ANGPT2 antibody at 1:1000
Secondary
Goat polyclonal to rabbit IgG at 1/20000 dilution
Predicted band size: 57 kDa
Observed band size: 57 kDa
Exposure time: 120s -
IHC image of CSB-RA191985A0HU diluted at 1:50 and staining in paraffin-embedded human breast cancer performed on a Leica BondTM system. After dewaxing and hydration, antigen retrieval was mediated by high pressure in a citrate buffer (pH 6.0). Section was blocked with 10% normal goat serum 30min at RT. Then primary antibody (1% BSA) was incubated at 4°C overnight. The primary is detected by a Goat anti-rabbit polymer IgG labeled by HRP and visualized using 0.05% DAB. Secondary antibody only control: uses 1% BSA instead of primary antibody
-
-
其他:
產品詳情
-
產品描述:CSB-RA191985A0HU重組單克隆抗體是針對ANGPT2(血管生成素-2)研發的高特異性檢測工具,適用于ELISA和免疫組化(IHC)實驗,其中IHC推薦使用1:50-1:200稀釋范圍。該抗體靶向的ANGPT2是血管生成素家族重要成員,通過調控血管內皮細胞功能參與血管生成、重塑及通透性調節,其異常表達與腫瘤微環境血管異常、炎癥性疾病及組織修復過程密切相關。經實驗驗證,本產品在多種樣本體系中能特異性識別ANGPT2抗原,為研究其在腫瘤血管新生、慢性炎癥或缺血再灌注等病理機制中的動態表達提供了可靠工具。適用于體外模型、組織切片等科研場景中靶蛋白的定性與半定量分析,滿足基礎研究中對血管生成調控機制及疾病相關信號通路的探索需求,嚴格限于科學研究用途。
-
Uniprot No.:
-
基因名:
-
別名:Angiopoietin-2 (ANG-2), ANGPT2
-
反應種屬:Human,Mouse,Rat
-
免疫原:A synthesized peptide derived from human Angiopoietin 2
-
免疫原種屬:Homo sapiens (Human)
-
標記方式:Non-conjugated
-
克隆類型:Monoclonal
-
抗體亞型:Rabbit IgG
-
純化方式:Affinity-chromatography
-
克隆號:1F10
-
濃度:It differs from different batches. Please contact us to confirm it.
-
保存緩沖液:Rabbit IgG in 10mM phosphate buffered saline , pH 7.4, 150mM sodium chloride, 0.05% BSA, 0.02% sodium azide and 50% glycerol.
-
產品提供形式:Liquid
-
應用范圍:ELISA, WB,IHC
-
推薦稀釋比:
Application Recommended Dilution WB 1:500-1:2000 IHC 1:50-1:200 -
Protocols:
-
儲存條件:Upon receipt, store at -20°C or -80°C. Avoid repeated freeze.
-
貨期:Basically, we can dispatch the products out in 1-3 working days after receiving your orders. Delivery time maybe differs from different purchasing way or location, please kindly consult your local distributors for specific delivery time.
-
用途:For Research Use Only. Not for use in diagnostic or therapeutic procedures.
相關產品
靶點詳情
-
功能:Binds to TEK/TIE2, competing for the ANGPT1 binding site, and modulating ANGPT1 signaling. Can induce tyrosine phosphorylation of TEK/TIE2 in the absence of ANGPT1. In the absence of angiogenic inducers, such as VEGF, ANGPT2-mediated loosening of cell-matrix contacts may induce endothelial cell apoptosis with consequent vascular regression. In concert with VEGF, it may facilitate endothelial cell migration and proliferation, thus serving as a permissive angiogenic signal.
-
基因功能參考文獻:
- plasma ANG-2 level, the acute physiology and chronic health evaluation 2 (APACHE2) score and lung injury prediction score are correlated with acute respiratory distress syndrome PMID: 30008611
- Study is the first to demonstrate that Ang2 is upregulated not only in the local skin lesions but also in the systemic circulation, and that its serum levels correlate well with disease severity in psoriasis vulgaris patients. PMID: 28497874
- regulatory mechanisms of Ang-2 in NSCLC PMID: 30454550
- This study demonstrates that Ang-2 levels are significantly upregulated in sepsis-associated coagulopathy (SAC), and this biomarker can be used to risk stratify patients with sepsis into non-overt disseminated intravascular coagulation (DIC) and overt DIC. PMID: 29996658
- Flunarizine protected ECs from TNFalpha-induced increase in Angpt-2 transcription and vascular barrier breakdown. PMID: 28276491
- Study findings delineate the existence of the beta-estradiol (E2)-ANGPT2 axis in hair follicles and suggest that, by substituting E2, ANGPT2 may provide a novel strategy for the treatment of postmenopausal female pattern hair loss. PMID: 29724581
- Results suggest that hCPFs-Exo transports low expressed exosomal miR-106b-5p to endothelial cells and promotes angiogenesis by overexpression of Angpt2. PMID: 29905392
- Angpt2 is an independent predictor of adverse clinical outcomes in diabetic patients. Further studies are needed to identify the pathogenic role of Angpt2 in renal deterioration and cardiovascular complications of diabetes mellitus. PMID: 29642068
- High ANG2 expression is associated with Acute respiratory distress syndrome. PMID: 30171880
- PVT1 was able to bind and degrade miR26b to promote connective tissue growth factor (CTGF) and angiopoietin 2 (ANGPT2) expression. PMID: 29620147
- Serum Ang-2 may be a useful tumor marker in predicting liver cancer prognosis. PMID: 29253494
- High ANG2 expression is associated with angiogenesis in breast cancer. PMID: 28534941
- Angiopoietin-2 acts as a survival factor for chronic lymphocytic leukemia B cells throughout Tie-2 receptor engagement. PMID: 28580615
- serum level elevated in pre-eclampsia, not significantly affected by HIV status PMID: 28627965
- Plasma levels of Ang2 were associated with markers of malaria severity and levels of var transcripts encoding P. falciparum Erythrocyte Membrane Protein 1 (PfEMP1) containing Cysteine Rich Inter Domain Region alpha1 (CIDRalpha1) domains predicted to bind Endothelial Protein C receptor (EPCR). PMID: 27784899
- Hepatitis C virus induces Ang2 expression in hepatocytes. PMID: 28027429
- the relationship between lung cancer stage and Ang 2 was documented with this study and the expression rate was found to be lower in adenocarcinomas. By this analysis, we can suggest that angiopoietins may be used as an option for targeted treatment in lung cancer. PMID: 27811442
- Endothelial glycocalyx breakdown is mediated by Angpt-2 in a non-redundant manner. PMID: 28453727
- The relation between angiopoietin-2 and assessed parameters of vascular structure in type 1 diabetes reflects a state of endothelial injury and highlights the role of disturbed angiogenesis and vascular inflammation in the occurrence of diabetic complications. PMID: 27236773
- Results show that MiR-93 targets Ang2 3' UTR and regulates its expression in lung adenocarcinoma. PMID: 28401709
- We demonstrate that ANGPT2 signaling activated after estrogen depletion paradoxically triggers ER+ tumor cell awakening from dormancy in their BM niche, partly indirectly via endothelial Tie2 receptor and partly directly via tumor cell surface integrin &1. PMID: 27353038
- ANG2 did not affect apoptosis or the cell cycle. In contrast, in the in vivo system, overexpression of ANG2 increased tumor growth. PMID: 27492854
- the optimal discrimination cut-off for each cytokine: sVEGFR-1 (2124.5pg/mL), IL-6 (40.2pg/mL), VEGF-A (1060.1pg/mL), Angiopoeintin-2 (913.7pg/mL), uPA (248.1pg/mL), sHER-2/neu (5010pg/mL) and PLGF (93.4pg/mL). For the very first time, a novel cytokine profile associated with cancer metastasis to the paratracheal lymph nodes were reported. PMID: 27599390
- Gab1/SHP2/p38MAPK signaling pathway and Ang-2 have an essential role in regulating thrombin-induced monocyte adhesion and vascular leakage PMID: 27241812
- This study demonstrated that ANGPT2 higher expression in glioblastoma. PMID: 27633774
- These observations provide the first evidence for positive regulation of osteogenesis by ANGPT2 in vitro. PMID: 28214341
- in vitro is has also been shown that Angpt-2 can act as a dose-dependent Tie2 agonist/antagonist. PMID: 27038015
- Ang-2 and sTie-2 plasma levels are increased in pediatric OSA and obesity, particularly when endothelial dysfunction or insulin resistance is detectable. PMID: 28474375
- pathways for two distinctive secretory mechanisms, constitutive and stimulated, of Ang-2 in pulmonary microvascular endothelial cells. PMID: 27585839
- High ANG2 expression is associated with angiogenesis and metastasis via IGF1-IGF1R signaling in epithelial ovarian cancer. PMID: 28898232
- Our novel noninvasive liver fibrosis model, based on serum angiopoietin-2 levels, outperforms other indices and should help substantially in managing CHC and monitoring long-term follow-up prognosis PMID: 23823085
- Tie1 directly interacts with Tie2 to promote ANG-induced vascular responses under noninflammatory conditions, whereas in inflammation, Tie1 cleavage contributes to loss of ANG2 agonist activity and vascular stability PMID: 27548530
- This systematic review and meta-analysis suggested that serum Ang-2 levels might be a potential predictor for staging, and were associated with prognosis of lung cancer. PMID: 28906403
- Studied angiopoietin-1 (Ang-1) and angiopoietin-2 (Ang-2) within the intervertebral disc (IVD) and elucidated their functions in the regulation of nucleus pulposus (NP) cells. Found the ratio of Ang-2/Ang-1 in tissues from patients increased markedly with increasing age and level of degeneration of the IVD. Results indicate Ang-2 plays a role in suppressing cell adhesion&viability, and promotes the apoptosis of NP cells. PMID: 28394321
- Analyses of human gastric cancer tissues showed a strong correlation between DARPP-32 and ANGPT2. The role of DARPP-32-STAT3 axis in regulating ANGPT2 in cancer cells to promote angiogenesis and tumorigenesis. PMID: 25779598
- ANGPT2 expression was upregulated in cerebral cavernous malformation lesions. PMID: 27548575
- Linkage analysis identified a peak (LOD = 4.29) on chromosome 8p23. Follow-up association analysis identified two haplotypes in angiopoietin-2 (ANGPT2) that significantly contributed to the variation of SaO2 (P = 8 x 10-5) and accounted for a portion of the linkage evidence. PMID: 27798093
- Blood ANGPT2 was significantly higher in chronic hepatitis C patients with liver fibrosis compared to those without fibrosis. PMID: 27930387
- This study reveals ANGPT2 as a new susceptibility gene for nAMD and PCV, and it may affect disease susceptibility in association with CFH. PMID: 28192798
- These results underscore a pivotal role of Kaposi's sarcoma-associated herpesvirus -induced Ang-2 in KS tumor development by promoting both angiogenesis and inflammation. PMID: 27294705
- Data suggest that the associations among angiopoietin-2, sFlt-1, coagulation abnormalities and severe course of acute pancreatitis (AP) might be mediated by other bioactive compounds. PMID: 28368336
- An imbalance in ANGPT-2, combined with related factors such as VEGF, beta-catenin, and MMP-2, may partially explain the structural derangements of the arterial wall in patients with chronic obstructive pulmonary disease. PMID: 26801565
- Results demonstrate that Ang-2 expression significantly correlated with poor prognosis for patients with non-small cell lung cancer. [meta-analysis] PMID: 27589869
- Our results show that miR-181a is down-regulated in glioblastoma multiforme (GBM) patients. The three target genes, ANGPT2, ARHGAP18 and LAMC1, are negatively correlated with the expression of miR-181a. Moreover, high expression of ANGPT2 or LAMC1 together with large size of GBM is correlated with a shorter median overall survival PMID: 27176932
- These results suggested that IL-35 restrains rheumatoid arthritis angiogenesis and inflammation by downregulating basal and VEGF-induced Ang2 secretion as well as disrupting Ang2/Tie2 signal transduction. PMID: 27960151
- This study identified Ang-2 as an endothelial cell-derived regulator of BBB permeability. PMID: 26932603
- Serum Ang-2 may be a relevant predictor of Acute Pancreatitis severity, in particular of the development of AP-renal syndrome. PMID: 27022209
- Data show that angiopoietin-2 (Ang-2) and bacterial endotoxins (LPS) follow opposite kinetics in serum in acute pyelonephritis. PMID: 26844659
- IL-19 and Ang-2 might be involved in angiogenesis of T2 Diabetes mellitus complications. PMID: 26657726
- Compared with patients with heart failure or those with orthotopic heart transplantation, serum levels and endothelial expression of Ang-2 were higher in LVAD patients. Ang-2 may contribute to arteriovenous malformation formation and subsequent bleeding in LVAD patients. PMID: 27354285
顯示更多
收起更多
-
亞細胞定位:Secreted.
-
數據庫鏈接:
Most popular with customers
-
YWHAB Recombinant Monoclonal Antibody
Applications: ELISA, WB, IHC, IF, FC
Species Reactivity: Human, Mouse, Rat
-
Phospho-YAP1 (S127) Recombinant Monoclonal Antibody
Applications: ELISA, WB, IHC
Species Reactivity: Human
-
-
-
-
-
-















