ACTR3 Recombinant Monoclonal Antibody
-
中文名稱:ACTR3重組抗體
-
貨號:CSB-RA213635A0HU
-
規格:¥1320
-
圖片:
-
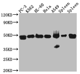
Western Blot
Positive WB detected in: PC-3 whole cell lysate, K562 whole cell lysate, HL-60 whole cell lysate, A549 whole cell lysate, Mouse Spleen whole cell lysate, Rat Spleen whole cell lysate
All lanes: Arp3 Antibody at 1:1000
Secondary
Goat polyclonal to rabbit IgG at 1/50000 dilution
Predicted band size: 48 kDa
Observed band size: 48 kDa
-
-
其他:
產品詳情
-
產品描述:ACTR3 Recombinant Monoclonal Antibody(Code: CSB-RA213635A0HU)是一款高特異性抗體,靶向細胞骨架調節蛋白ACTR3(ARP3),該蛋白是ARP2/3復合體的核心組分,在肌動蛋白成核、細胞膜重塑及遷移等過程中發揮關鍵作用。本產品經多種實驗驗證,在Western Blot(WB)中可清晰識別內源性ACTR3蛋白,推薦使用稀釋比例為1:500-1:5000,同時適用于ELISA檢測,展現出優異的批次穩定性和低交叉反應性。其重組單克隆特性確保了檢測結果的高重復性,適用于探究細胞骨架動力學、胞吞作用、細胞極性建立等基礎研究領域,為腫瘤轉移機制、神經元發育或病原體侵染等方向的體外實驗提供可靠工具。該抗體適用于哺乳動物細胞或組織樣本的蛋白水平分析,可配合免疫熒光、免疫沉淀等下游實驗拓展應用場景,但不適用于活體實驗或功能干預研究。
-
Uniprot No.:
-
基因名:ACTR3
-
別名:Actin-related protein 3 (Actin-like protein 3), ACTR3, ARP3
-
反應種屬:Human, Mouse, Rat
-
免疫原:A synthesized peptide derived from human Arp3
-
免疫原種屬:Homo sapiens (Human)
-
標記方式:Non-conjugated
-
克隆類型:Monoclonal
-
抗體亞型:Rabbit IgG
-
純化方式:Affinity-chromatography
-
克隆號:7E5
-
濃度:It differs from different batches. Please contact us to confirm it.
-
保存緩沖液:Rabbit IgG in 10mM phosphate buffered saline , pH 7.4, 150mM sodium chloride, 0.05% BSA, 0.02% sodium azide and 50% glycerol.
-
產品提供形式:Liquid
-
應用范圍:ELISA, WB
-
推薦稀釋比:
Application Recommended Dilution WB 1:500-1:5000 -
Protocols:
-
儲存條件:Upon receipt, store at -20°C or -80°C. Avoid repeated freeze.
-
貨期:Basically, we can dispatch the products out in 1-3 working days after receiving your orders. Delivery time maybe differs from different purchasing way or location, please kindly consult your local distributors for specific delivery time.
-
用途:For Research Use Only. Not for use in diagnostic or therapeutic procedures.
相關產品
靶點詳情
-
功能:ATP-binding component of the Arp2/3 complex, a multiprotein complex that mediates actin polymerization upon stimulation by nucleation-promoting factor (NPF). The Arp2/3 complex mediates the formation of branched actin networks in the cytoplasm, providing the force for cell motility. Seems to contact the pointed end of the daughter actin filament. In podocytes, required for the formation of lamellipodia downstream of AVIL and PLCE1 regulation. In addition to its role in the cytoplasmic cytoskeleton, the Arp2/3 complex also promotes actin polymerization in the nucleus, thereby regulating gene transcription and repair of damaged DNA. The Arp2/3 complex promotes homologous recombination (HR) repair in response to DNA damage by promoting nuclear actin polymerization, leading to drive motility of double-strand breaks (DSBs). Plays a role in ciliogenesis.
-
基因功能參考文獻:
- we conclude that ARP3 may be a potential prognostic indicator and therapeutic target for hepatocellular carcinoma PMID: 30049513
- RARalpha regulates Arp2/3-mediated actin cytoskeletal dynamics through a non-genomic signaling pathway PMID: 26848712
- evidence of a direct protein-protein interaction between PKD2 and Arp2/3 PMID: 27559607
- miR-24-1*/let-7a*-ARP2/3 complex-RAC isoforms pathway may represent a novel pathogenic mechanism for Hirschsprung disease. PMID: 26991540
- Authors found that ARP3 and profilin1 were 2 binding partners of LMO2, primarily in cytoplasm. LMO2. LMO2 mediated the assembly of a complex including ARP3, profilin1, and actin monomer, increased actin monomer binding to profilin1, and promoted lamellipodia/filopodia formation in basal-type breast cancer cells. PMID: 28170369
- Arp2 and Arp3 expression was increased under atherosclerotic conditions both in ApoE-/- mice and in oxidized low-density lipoproteins stimulated human coronary artery endothelial cells (HCAECs). PMID: 27181356
- These findings indicate that inhibition of the Rac1WAVE2Arp2/3 signaling pathway may promote radiosensitivity, which may partially result from the downregulation of CFL1 in U251 human glioma cells. PMID: 27052944
- Kv3.3 regulates Arp2/3-dependent cortical actin nucleation mediated by Hax-1; resulting cortical actin structures interact with the channel's gating machinery to slow its inactivation rate during sustained membrane depolarizations; a mutation that leads to late-onset spinocerebellar ataxia type 13. PMID: 26997484
- demonstrate that the Arp2/3 complex in higher eukaryotes is actually a family of complexes with different properties PMID: 26655834
- Platelet actin nodule formation is dependent on WASp and the ARP2/3 complex. PMID: 26028144
- Suggest alpha5beta1/Arp2/Arp3/FHOD3 pathway reprograms the actin cytoskeleton to promote invasive migration and local invasion in vivo. PMID: 26370503
- The loss of the Arp2/3 complex acts as a stress that initiates cell cycle arrest by triggering p16INK4a/p14Arf transcription. PMID: 25264243
- study unveils an ARP2/3:VCA-independent function of nuclear-WASp in TH1 gene activation that is uncoupled from its cytoplasmic role in actin polymerization. PMID: 24872192
- Cortactin has a role as a scaffold for Arp2/3 and WAVE2 at the epithelial zonula adherens PMID: 24469447
- The Arp2/Arp3 complex has a role in osmotic signaling. PMID: 24344184
- Study suggested that positive CFL1 and Arp3 expression are closely related to tumor progression, metastasis, and poor prognosis of gallbladder cancer. PMID: 23320827
- We demonstrate that WAVE2-Arp2/3 is a major nucleator of actin assembly at the zonula adherens and likely acts in response to junctional Rac signaling PMID: 23051739
- Anthrax edema toxin induced transendothelial cell tunnels are resealed by MIM via Arp2/3-driven actin polymerization. PMID: 22100162
- the centrosome transiently recruits Arp2/3 to perform processes such as centrosome separation prior to mitotic entry. PMID: 21108927
- The results identify Arp2/3 complex as a key factor in the generation of the dynamic actin cluster during mitosis. PMID: 20974812
- key residues at this interface were crucial for actin nucleation and Y-branching, high-affinity F-actin binding, and Y-branch stability, demonstrating that the affinity of Arp2/3 complex for F actin independently modulates branch formation and stability. PMID: 20404198
- Loss of Arp2/3 function led to defects in cell adhesion and actin assembly at the junction with the target cell (the lytic synapse) PMID: 19913427
- Arp2/3 complex is required for actin polymerization during platelet shape change. PMID: 12036877
- Platelets activate Arp2/3 complex, assemble actin, and change shape in the absence of WASp, indicating a more specialized role for WASp in these cells. PMID: 12200375
- Results suggest that recruitment of factors by Wiskott-Aldrich Syndrome protein (WASP) and Scar1 stimulates cellular actin-based motility and actin nucleation with the Arp2/3 complex. PMID: 12429845
- Arp2/3 complex contribution to actin filament nucleation in platelets and fibroblasts importantly requires free barbed ends generated by severing and uncapping. PMID: 12464680
- cortactin links receptor endocytosis to actin polymerization by binding both CD2AP and the Arp2/3 complex, which may facilitate the trafficking of internalized growth factor receptors PMID: 12672817
- ARP3-mediated actin polymerization is regulated by phosphorylation of the WASP protein. PMID: 12791263
- The interaction between cortactin and Arp2/3 complex plays an important role in S1P-mediated remodeling of endothelial cells. PMID: 15242766
- Arp2/3 complex genes have roles in actin organization and possibly in cancer phenotypes PMID: 15279900
- existence of an Arp2/3 complex-dependent event during the early phase of the life cycles of both primate lentiviruses and intracellular mature vaccinia virus PMID: 15385624
- signalling pathways leading to Arp2/3-dependent actin nucleation play an important role in Salmonella typhimurium invasion, but are not involved in intracellular Salmonella-induced actin assembly PMID: 15469433
- T-plastin increases Arp2/3-mediated actin-based movement PMID: 15741236
- These results indicate that interaction between the Arp2/3 complex and WASP stimulates actin polymerization and integrin beta-1-mediated adhesion during MCP-1-induced chemotaxis of THP-1 cells. PMID: 16004967
- the binding of the C terminus of SPIN90 with both the Arp2/3 complex (actin-related proteins Arp 2 and Arp 3) and G-actin activates the former, leading to actin polymerization PMID: 16253999
- in activation of the Arp2/3 complex, the C domain first primes the complex by inducing a necessary conformational change and then initiates nucleus assembly by bringing an actin monomer into proximity of the primed complex PMID: 16403731
- signal-induced relief of the autoinhibited fold of IQGAP1 allows activation of N-WASP to stimulate Arp2/3-dependent actin assembly PMID: 17085436
- Taken together, our data suggest that Apr3 should play an important role in ATRA signal pathway. PMID: 17524364
- p120 depletion led to dramatic loss of cortactin and its partner, Arp3, from the cell leading edges PMID: 17576929
- Results suggest that WAVE and the Arp2/3 complex jointly orchestrate different types of actin-based plasma membrane protrusions by promoting ruffling and inhibiting mDia2-induced filopodia. PMID: 18516090
- the exchange rate of N-WASP controls the rate of ARP2/3-complex-dependent actin-based motility by regulating the extent of actin polymerization by antagonizing filament capping PMID: 19262673
- The Arp2/3 complex, an actin-nucleating factor, is recruited at the ring structure and is important for parasite entry. PMID: 19286135
顯示更多
收起更多
-
亞細胞定位:Cytoplasm, cytoskeleton. Cell projection. Nucleus. Note=In pre-apoptotic cells, colocalizes with MEFV in large specks (pyroptosomes) (PubMed:19109554).
-
蛋白家族:Actin family, ARP3 subfamily
-
數據庫鏈接:
Most popular with customers
-
-
YWHAB Recombinant Monoclonal Antibody
Applications: ELISA, WB, IHC, IF, FC
Species Reactivity: Human, Mouse, Rat
-
-
-
-
-
-















