WDR1 Recombinant Monoclonal Antibody
-
中文名稱:WDR1 Recombinant Monoclonal Antibody
-
貨號:CSB-RA147408A0HU
-
規格:¥1320
-
圖片:
-
IHC image of CSB-RA147408A0HU diluted at 1:100 and staining in paraffin-embedded human thyroid tissue performed on a Leica BondTM system. After dewaxing and hydration, antigen retrieval was mediated by high pressure in a citrate buffer (pH 6.0). Section was blocked with 10% normal goat serum 30min at RT. Then primary antibody (1% BSA) was incubated at 4°C overnight. The primary is detected by a Goat anti-rabbit polymer IgG labeled by HRP and visualized using 0.05% DAB.
-
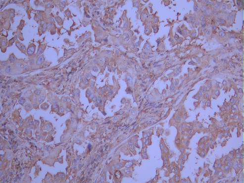
IHC image of CSB-RA147408A0HU diluted at 1:100 and staining in paraffin-embedded human lung cancer performed on a Leica BondTM system. After dewaxing and hydration, antigen retrieval was mediated by high pressure in a citrate buffer (pH 6.0). Section was blocked with 10% normal goat serum 30min at RT. Then primary antibody (1% BSA) was incubated at 4°C overnight. The primary is detected by a Goat anti-rabbit polymer IgG labeled by HRP and visualized using 0.05% DAB.
-
Overlay Peak curve showing HepG2 cells stained with CSB-RA147408A0HU (red line) at 1:100. The cells were fixed in 4% formaldehyde and permeated by 0.2% TritonX-100 for 10min. Then 10% normal goat serum to block non-specific protein-protein interactions followed by the antibody (1ug/1*106cells) for 45min at 4℃. The secondary antibody used was FITC-conjugated goat anti-rabbit IgG (H+L) at 1/200 dilution for 35min at 4℃.Control antibody (green line) was Rabbit IgG (1ug/1*106cells) used under the same conditions. Acquisition of >10, 000 events was performed.
-
-
其他:
產品詳情
-
Uniprot No.:
-
基因名:WDR1
-
別名:Actin interacting protein 1 antibody; Actin-interacting protein 1 antibody; AIP1 antibody; D5Wsu185e antibody; NORI 1 antibody; NORI-1 antibody; WD repeat domain 1 antibody; WD repeat-containing protein 1 antibody; wdr1 antibody; WDR1_HUMAN antibody
-
反應種屬:Human
-
免疫原:A synthesized peptide from human WDR1 protein
-
免疫原種屬:Homo sapiens (Human)
-
標記方式:Non-conjugated
-
克隆類型:Monoclonal
-
抗體亞型:Rabbit IgG
-
純化方式:Affinity-chromatography
-
克隆號:17D6
-
濃度:It differs from different batches. Please contact us to confirm it.
-
保存緩沖液:Rabbit IgG in 10mM phosphate buffered saline , pH 7.4, 150mM sodium chloride, 0.05% BSA, 0.02% sodium azide and 50% glycerol.
-
產品提供形式:Liquid
-
應用范圍:ELISA, IHC, FC
-
推薦稀釋比:
Application Recommended Dilution IHC 1:50-1:200 FC 1:50-1:200 -
Protocols:
-
儲存條件:Upon receipt, store at -20°C or -80°C. Avoid repeated freeze.
-
貨期:Basically, we can dispatch the products out in 1-3 working days after receiving your orders. Delivery time maybe differs from different purchasing way or location, please kindly consult your local distributors for specific delivery time.
-
用途:For Research Use Only. Not for use in diagnostic or therapeutic procedures.
相關產品
靶點詳情
-
功能:Induces disassembly of actin filaments in conjunction with ADF/cofilin family proteins. Enhances cofilin-mediated actin severing. Involved in cytokinesis. Involved in chemotactic cell migration by restricting lamellipodial membrane protrusions. Involved in myocardium sarcomere organization. Required for cardiomyocyte growth and maintenance. Involved in megakaryocyte maturation and platelet shedding. Required for the establishment of planar cell polarity (PCP) during follicular epithelium development and for cell shape changes during PCP; the function seems to implicate cooperation with CFL1 and/or DSTN/ADF. Involved in the generation/maintenance of cortical tension. Involved in assembly and maintenance of epithelial apical cell junctions and plays a role in the organization of the perijunctional actomyosin belt.
-
基因功能參考文獻:
- STAT3 bound to the 5' upstream sequence (-1971 to -1964), a putative promoter region, of WDR1 gene, and its activation induced WDR1 overexpression in breast cancer cells. PMID: 27521604
- MRTF-A-miR-206-WDR1 form feedback loop to regulate breast cancer cell migration. PMID: 28822708
- homozygous missense L153F/L293F mutation in the actin regulatory gene WDR1 causes a new autoinflammatory disease in humans, with periodic fevers, immunodeficiency, and intermittent thrombocytopenia (PFIT). PMID: 27994071
- These data suggest that WDR1 plays an important role in suppressing platelet activity, where it alters the actin cytoskeleton dynamics, and downregulation of WDR1 may contribute to the platelet-mediated pathogenesis of cardiovascular disease. PMID: 27609643
- Mutations in WDR1 affect neutrophil morphology, motility, and function, causing a novel primary immunodeficiency PMID: 27557945
- A/A" genotype of rs12498927 was associated with increased risk of gout. PMID: 27173277
- Identify positive correlations between WDR1 and CLNK gene polymorphisms in Chinese-Tibetan gout populations. PMID: 26438387
- Demonstrate a previously unanticipated role of Aip1 in regulating the structure and remodeling of intestinal epithelial junctions and early steps of epithelial morphogenesis. PMID: 25792565
- When maternal environmental tobacco smoke was considered, fifteen of 135 single nucleotide polymorphism (SNPs) mapping to SLC2A9 and 9 of 59 SNPs in WDR1 gave P values approaching genome-wide significance. PMID: 24516586
- Data suggest that anti-WD repeat domain 1 (WDR1) antibody could be applied for serological screening of papillary thyroid carcinoma (PTC) and undifferentiated thyroid carcinoma (UTC), and could be an efficient and inexpensive biomarker. PMID: 23215816
- WD repeat-containing protein 1 was confirmed as being significantly overexpressed in interstitial fluid from ovarian carcinomas compared to healthy ovarian tissue. PMID: 23707566
- Studies suggest that vascular endothelial growth factor may be responsible for upregulated P-glycoprotein expression. PMID: 23293323
- The QKI RNA-binding proteins regulate oligodendrocyte differentiation by modulating the expression of AIP-1. PMID: 20631256
- Studies indicate that CUL4 uses a large beta-propeller protein, DDB1, as a linker to interact with a subset of WD40 proteins. PMID: 19818632
- AIP1/WDR1 could abort the severing/disassembly activity somewhat still carried out due to phosphorylated ADF/cofilin PMID: 15629458
- Data indicates that Aip1 plays an important role in directional cell migration by restricting the stimulus-induced membrane protrusion to one direction via promoting cofilin activity. PMID: 18494608
- Using shotgun mass spectrometry, we found this protein differentially expressed in the dorsolateral prefrontal cortex from patients with schizophrenia. PMID: 19165527
顯示更多
收起更多
-
亞細胞定位:Cytoplasm. Cytoplasm, cytoskeleton. Cell projection, podosome. Cell junction.
-
蛋白家族:WD repeat AIP1 family
-
組織特異性:Expressed in peripheral blood mononuclear cells (at protein level).
-
數據庫鏈接:
Most popular with customers
-
-
YWHAB Recombinant Monoclonal Antibody
Applications: ELISA, WB, IHC, IF, FC
Species Reactivity: Human, Mouse, Rat
-
Phospho-YAP1 (S127) Recombinant Monoclonal Antibody
Applications: ELISA, WB, IHC
Species Reactivity: Human
-
-
-
-
-















