USO1 Recombinant Monoclonal Antibody
-
中文名稱:USO1 Recombinant Monoclonal Antibody
-
貨號:CSB-RA990355A0HU
-
規格:¥1320
-
圖片:
-
Western Blot
Positive WB detected in: A549 whole cell lysate(30μg), HEK293 whole cell lysate(30μg), K562 whole cell lysate(30μg), U-87MG whole cell lysate(30μg), A431 whole cell lysate(30μg), Mouse brain tissue lysate(30μg), Rat brain tissue lysate(30μg)
All lanes: USO1 antibody at 1:1000
Secondary
Goat polyclonal to rabbit IgG at 1/40000 dilution
Predicted band size: 108 kDa
Observed band size: 108 kDa
Exposure time:2min -
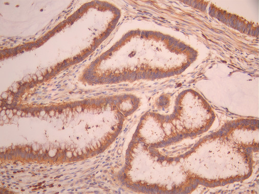
IHC image of CSB-RA990355A0HU diluted at 1:100 and staining in paraffin-embedded human gastric cancer performed on a Leica BondTM system. After dewaxing and hydration, antigen retrieval was mediated by high pressure in a citrate buffer (pH 6.0). Section was blocked with 10% normal goat serum 30min at RT. Then primary antibody (1% BSA) was incubated at 4°C overnight. The primary is detected by a Goat anti-rabbit polymer IgG labeled by HRP and visualized using 0.05% DAB.
-
Overlay Peak curve showing K562 cells stained with CSB-RA990355A0HU (red line) at 1:100. The cells were fixed in 4% formaldehyde and permeated by 0.2% TritonX-100 for 10min. Then 10% normal goat serum to block non-specific protein-protein interactions followed by the antibody (1ug/1*106cells) for 45min at 4℃. The secondary antibody used was FITC-conjugated goat anti-rabbit IgG (H+L) at 1/200 dilution for 35min at 4℃.Control antibody (green line) was Rabbit IgG (1ug/1*106cells) used under the same conditions. Acquisition of >10, 000 events was performed.
-
-
其他:
產品詳情
-
Uniprot No.:
-
基因名:USO1
-
別名:General vesicular transport factor antibody; General vesicular transport factor p115 antibody; P115 antibody; Protein USO1 homolog antibody; TAP antibody; Transcytosis associated protein antibody; Transcytosis-associated protein antibody; Uso1 antibody; USO1_HUMAN antibody; VDP antibody; Vesicle docking protein antibody; Vesicle docking protein p115 antibody; Vesicle-docking protein antibody
-
反應種屬:Human, Mouse, Rat
-
免疫原:A synthesized peptide from human USO1 protein
-
免疫原種屬:Homo sapiens (Human)
-
標記方式:Non-conjugated
-
克隆類型:Monoclonal
-
抗體亞型:Rabbit IgG
-
純化方式:Affinity-chromatography
-
克隆號:13A9
-
濃度:It differs from different batches. Please contact us to confirm it.
-
保存緩沖液:Rabbit IgG in 10mM phosphate buffered saline , pH 7.4, 150mM sodium chloride, 0.05% BSA, 0.02% sodium azide and 50% glycerol.
-
產品提供形式:Liquid
-
應用范圍:ELISA, WB, IHC, FC
-
推薦稀釋比:
Application Recommended Dilution WB 1:500-1:5000 IHC 1:50-1:200 FC 1:50-1:200 -
Protocols:
-
儲存條件:Upon receipt, store at -20°C or -80°C. Avoid repeated freeze.
-
貨期:Basically, we can dispatch the products out in 1-3 working days after receiving your orders. Delivery time maybe differs from different purchasing way or location, please kindly consult your local distributors for specific delivery time.
-
用途:For Research Use Only. Not for use in diagnostic or therapeutic procedures.
相關產品
靶點詳情
-
功能:General vesicular transport factor required for intercisternal transport in the Golgi stack; it is required for transcytotic fusion and/or subsequent binding of the vesicles to the target membrane. May well act as a vesicular anchor by interacting with the target membrane and holding the vesicular and target membranes in proximity.
-
基因功能參考文獻:
- USO1 gene may be a promising target for the therapy of human multiple myeloma and its diagnosis marker. PMID: 26898451
- USO1 gene has a critical role in human colon cancer: USO1 is involved in cell proliferation and cell migration of colon cancer cells. PMID: 26184508
- P115 promotes proliferation of gastric cancer cells through an interaction with MIF. PMID: 24379579
- Scyl1 interacts with 58K/formiminotransferase cyclodeaminase (FTCD) and golgin p115, and is required for the maintenance of Golgi morphology. PMID: 20209057
- p115 plays a critical role in mitosis progression, implicating it as the only known golgin to regulate both mitosis and apoptosis PMID: 21536679
- a conserved tethering function of the Golgi protein p115 CTF which promotes p53-ERK interaction for the amplification of the apoptotic signal. PMID: 21147777
- Data show that the number of tandem ARM repeats in an ARM fold ranges from 6 to 12. PMID: 20126549
- Data show that p115 degradation plays a key role in amplifying the apoptotic response independently of Golgi fragmentation. PMID: 12438416
- p115 acts directly, rather than via a tether, to catalyze trans-SNARE complex formation preceding membrane fusion. PMID: 14736916
- The results suggest that p115 is involved in vesicular transport between endoplasmic reticulum and the Golgi, along with microtubule networks. PMID: 16256943
- The interaction between p115 and Cog2 was found to be essential for Golgi ribbon reformation after the disruption of the ribbon by p115 KD or brefeldin A treatment and recovery by re-expression of p115 or drug wash out, respectively. PMID: 17274799
- Golgi organization depends on mutually interacting domains in betaCOP and p115, suggesting that vesicle tethering at the Golgi involves p115 binding to the COPI coat PMID: 18434597
- nuclear import of the p115 CTF is required for it to stimulate the apoptotic response and suggest that its mode of action is confined to the nucleus. PMID: 19028683
- terminal repeat folds into the armadillo superhelical groove and allows homodimeric association with important implications for p115 mediated multiple protein interactions and tethering PMID: 19247479
- p115 is a critical intermediary component in the regulated secretion of MIF from monocytes/macrophages PMID: 19454686
顯示更多
收起更多
-
亞細胞定位:Cytoplasm, cytosol. Golgi apparatus membrane; Peripheral membrane protein.
-
蛋白家族:VDP/USO1/EDE1 family
-
數據庫鏈接:
Most popular with customers
-
-
Phospho-YAP1 (S127) Recombinant Monoclonal Antibody
Applications: ELISA, WB, IHC
Species Reactivity: Human
-
-
-
-
-
VDAC1 Recombinant Monoclonal Antibody
Applications: ELISA, WB, IHC
Species Reactivity: Human, Mouse, Rat
-
VCP Recombinant Monoclonal Antibody
Applications: ELISA, WB, IHC, IF, IP
Species Reactivity: Human, Rat















