UBE4A Recombinant Monoclonal Antibody
-
中文名稱:UBE4A Recombinant Monoclonal Antibody
-
貨號:CSB-RA221470A0HU
-
規格:¥1320
-
圖片:
-
Flow cytometric analysis of ubiquitination factor E4 A expression in HepG2 cells using ubiquitination factor E4 A antibody. Green, isotype control; red, ubiquitination factor E4 A.
-
Immunocytochemical staining of HepG2 cells with ubiquitination factor E4 A antibody. Nuclei were stained blue with DAPI; Ubiquitination factor E4 A was stained magenta with Alexa Fluor? 647. Images were taken using Leica stellaris 5. Protein abundance based on laser Intensity and smart gain: Medium. Scale bar, 20 μm.
-
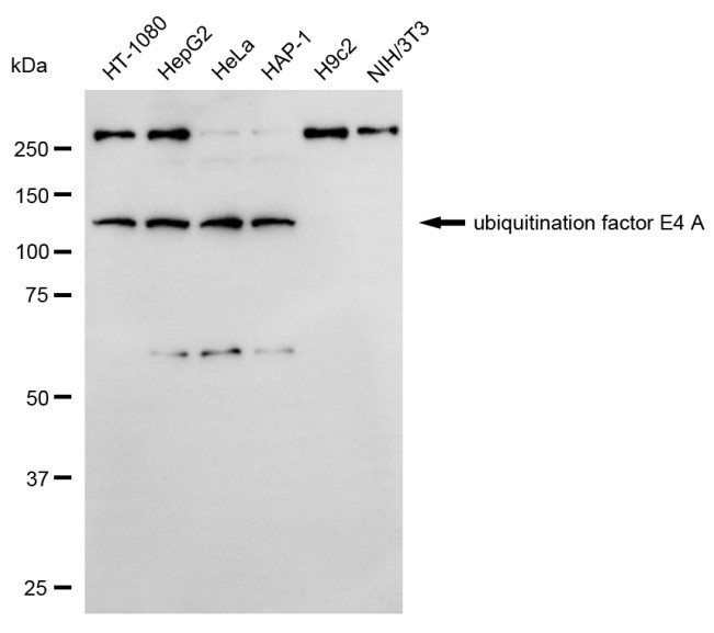
Western blotting analysis using ubiquitination factor E4 A antibody. Total cell lysates (30 μg) from various cell lines were loaded and separated by SDS-PAGE. The blot was incubated with ubiquitination factor E4 A antibody and HRP-conjugated goat anti-rabbit secondary antibody respectively.
-
-
其他:
產品詳情
-
Uniprot No.:
-
基因名:
-
別名:UBE4A; Ubiquitination Factor E4A; KIAA0126; UBOX2; UFD2; E4; Ubiquitination Factor E4A (UFD2 Homolog, Yeast); RING-Type E3 Ubiquitin Transferase E4 A; Ubiquitin Conjugation Factor E4 A; Ubiquitination Factor E4A (Homologous To Yeast UFD2); EC 2.3.2.27; NEDHMS
-
反應種屬:Human
-
免疫原:Recombinant Human UBE4A protein
-
免疫原種屬:Homo sapiens (Human)
-
標記方式:Non-conjugated
-
克隆類型:Monoclonal
-
抗體亞型:Rabbit IgG
-
純化方式:Affinity-chromatography
-
克隆號:17H11
-
濃度:It differs from different batches. Please contact us to confirm it.
-
保存緩沖液:Rabbit IgG in PBS (pH 7.4) containing 50% glycerol, and 0.02% sodium azide.
-
產品提供形式:Liquid
-
應用范圍:ELISA, WB, FC, ICC
-
推薦稀釋比:
Application Recommended Dilution WB 1:1000-1:5000 FC 1:200-1:2000 ICC 1:100-1:1000 -
Protocols:
-
儲存條件:Upon receipt, store at -20°C or -80°C. Avoid repeated freeze.
-
貨期:Basically, we can dispatch the products out in 1-3 working days after receiving your orders. Delivery time maybe differs from different purchasing way or location, please kindly consult your local distributors for specific delivery time.
-
用途:For Research Use Only. Not for use in diagnostic or therapeutic procedures.
相關產品
靶點詳情
-
功能:Ubiquitin-protein ligase that probably functions as an E3 ligase in conjunction with specific E1 and E2 ligases. May also function as an E4 ligase mediating the assembly of polyubiquitin chains on substrates ubiquitinated by another E3 ubiquitin ligase. Mediates 'Lys-48'-linked polyubiquitination of substrates.
-
基因功能參考文獻:
- UBE4A targets PCBP1 for proteasomal degradation and that UBE4A expression can serve as a novel biomarker in thyroid cancer patients. PMID: 28963376
- Ectopic overexpression of UBE4A, but not UBE3C, in cells was downregulated in vitro migration and invasion in these cells. Cumulatively, our data reveals a novel post-translational regulatory mechanism of regulating ILEI1 expression, a protein required for metastatic progression in prostate cancer cells PMID: 27862841
- Identified an intestinal cDNA clone encoding ubiquitination factor E4A (UBE4A), a U-box-type ubiquitin-protein ligase. The prevalence of anti-UBE4A IgG in patients with CD was significantly higher than that in patients with UC or healthy controls PMID: 18069675
- UBE4A was over-expressed in ovarian serous cystadenocarcinoma tissues, suggesting that the activity of ubiquitin-proteasome system is enhanced in ovarian cancer. PMID: 17553343
- UBE4A is expressed in different tissues in a pattern that seems to be dependent from cell type and cell cycle and that UBE4A might have a specific role in different biochemical processes other than ubiquitination, including growth or differentiation. PMID: 15019985
- In these studies, we define Ufd2 (a novel E4 polyubiquitylating enzyme) as a new autoantigen in scleroderma, and show that it regulates chromosome condensation and separation during mitosis in human cells. PMID: 15611659
顯示更多
收起更多
-
亞細胞定位:Cytoplasm.
-
蛋白家族:Ubiquitin conjugation factor E4 family
-
數據庫鏈接:
Most popular with customers
-
-
YWHAB Recombinant Monoclonal Antibody
Applications: ELISA, WB, IHC, IF, FC
Species Reactivity: Human, Mouse, Rat
-
Phospho-YAP1 (S127) Recombinant Monoclonal Antibody
Applications: ELISA, WB, IHC
Species Reactivity: Human
-
-
-
-
-















