UBE2C Recombinant Monoclonal Antibody
-
中文名稱:UBE2C重組抗體
-
貨號:CSB-RA025440MA1HU
-
規格:¥1320
-
圖片:
-
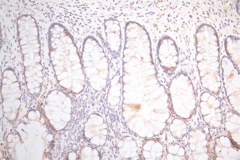
IHC image of CSB-RA025440MA1HU diluted at 1:300 and staining in paraffin-embedded human colorectal cancer performed on a Leica BondTM system. After dewaxing and hydration, antigen retrieval was mediated by high pressure in a citrate buffer (pH 6.0). Section was blocked with 10% normal goat serum 30min at RT. Then primary antibody (1% BSA) was incubated at 4°C overnight. The primary is detected by a Goat anti-Mouse IgG labeled by HRP and visualized using 0.05% DAB.
-
IHC image of CSB-RA025440MA1HU diluted at 1:300 and staining in paraffin-embedded human stomach tissue performed on a Leica BondTM system. After dewaxing and hydration, antigen retrieval was mediated by high pressure in a citrate buffer (pH 6.0). Section was blocked with 10% normal goat serum 30min at RT. Then primary antibody (1% BSA) was incubated at 4°C overnight. The primary is detected by a Goat anti-Mouse IgG labeled by HRP and visualized using 0.05% DAB.
-
Overlay Peak curve showing Hela cells stained with CSB-RA025440MA1HU (red line) at 1:100. The cells were fixed in 4% formaldehyde (15min) and permeated by 0.2% TritonX-100 for 10min. Then 10% normal goat serum was Incubated to block non-specific protein-protein interactions followed by the antibody (1μg/1*106cells) for 45 min at 4°C. The secondary antibody used was FITC-conjugated Goat Anti-Mouse IgG(H+L) at 1/200 dilution for 35 min at 4°C. Isotype control antibody (green line) was mouse IgG1 (1μg/1*106cells) used under the same conditions. Acquisition of >10,000 events was performed.
-
-
其他:
產品詳情
-
產品描述:UBE2C重組單克隆抗體(CSB-RA025440MA1HU)靶向泛素結合酶E2C(UBE2C),該蛋白作為泛素-蛋白酶體系統的核心成員,通過介導底物蛋白的泛素化修飾參與細胞周期調控及有絲分裂進程,尤其在腫瘤發生發展中顯示出異常表達特征。本產品經ELISA、免疫組化(IHC)和流式細胞術(FC)等多平臺嚴格驗證,在IHC應用中可清晰定位UBE2C在細胞核及胞質中的表達模式,推薦工作濃度為1:20-1:200;流式檢測中同樣表現出高靈敏度和特異性,適用于細胞表面及胞內抗原的定量分析。該抗體適用于探索UBE2C在腫瘤細胞增殖、DNA損傷修復及化療耐藥性中的分子機制,為癌癥生物學研究、細胞周期動態示蹤以及泛素化信號通路分析提供可靠工具,尤其適用于人源組織樣本或細胞系的相關實驗。產品經重組表達技術制備,具備批次間一致性高、交叉反應性低等優勢,可滿足高通量篩選及精準檢測需求,適用于基礎科研領域的蛋白質功能研究與分子互作分析。
-
Uniprot No.:
-
基因名:
-
別名:Cyclin selective ubiquitin carrier protein antibody; dJ447F3.2 antibody; Mitotic specific ubiquitin conjugating enzyme antibody; UB E2C antibody; UBCH 10 antibody; UbcH10 antibody; UBE 2C antibody; Ube2c antibody; UBE2C_HUMAN antibody; Ubiquitin carrier protein C antibody; Ubiquitin carrier protein E2 C antibody; Ubiquitin carrier protein E2C antibody; Ubiquitin conjugating enzyme E2 C antibody; Ubiquitin conjugating enzyme E2C antibody; Ubiquitin protein ligase C antibody; Ubiquitin-conjugating enzyme E2 C antibody; Ubiquitin-protein ligase C antibody
-
反應種屬:Human
-
免疫原:Recombinant Human UBE2C protein
-
免疫原種屬:Homo sapiens (Human)
-
標記方式:Non-conjugated
-
克隆類型:Monoclonal
-
抗體亞型:Mouse IgG
-
純化方式:Affinity-chromatography
-
克隆號:22E1
-
濃度:It differs from different batches. Please contact us to confirm it.
-
保存緩沖液:Preservative: 0.03% Proclin 300
Constituents: 50% Glycerol, 0.01M PBS, PH 7.4 -
產品提供形式:Liquid
-
應用范圍:ELISA, IHC, FC
-
推薦稀釋比:
Application Recommended Dilution IHC 1:20-1:200 FC 1:20-1:200 -
Protocols:
-
儲存條件:Upon receipt, store at -20°C or -80°C. Avoid repeated freeze.
-
貨期:Basically, we can dispatch the products out in 1-3 working days after receiving your orders. Delivery time maybe differs from different purchasing way or location, please kindly consult your local distributors for specific delivery time.
-
用途:For Research Use Only. Not for use in diagnostic or therapeutic procedures.
相關產品
靶點詳情
-
功能:Accepts ubiquitin from the E1 complex and catalyzes its covalent attachment to other proteins. In vitro catalyzes 'Lys-11'- and 'Lys-48'-linked polyubiquitination. Acts as an essential factor of the anaphase promoting complex/cyclosome (APC/C), a cell cycle-regulated ubiquitin ligase that controls progression through mitosis. Acts by initiating 'Lys-11'-linked polyubiquitin chains on APC/C substrates, leading to the degradation of APC/C substrates by the proteasome and promoting mitotic exit.
-
基因功能參考文獻:
- UBE2C is involved in the anti-proliferative and pro-apoptotic functions of ECRG4 in esophageal squamous cell carcinoma. PMID: 29268240
- loss of BRCA1 function results in an increase in UBE2C expression and chemical resistance to doxorubicin in breast cancer cells. PMID: 28881292
- FoxM1 promotes glioma progression by enhancing UBE2C transcription PMID: 28767320
- SAG/RBX2 E3 ligase complexes with UBCH10 and UBE2S ubiquitin-conjugating enzymes to ubiquitylate beta-TrCP1 via K11-linkage for degradation. PMID: 27910872
- UBE2C and HOXA1 RNA and protein are differentially expressed in conventional and Spitz nevi and melanoma. PMID: 28657121
- High UBE2C expression is associated with esophageal squamous cell carcinoma. PMID: 27588470
- Urinary UBE2C cell-free RNA may be a valuable diagnostic marker for bladder cancer. PMID: 27528424
- A role was identified for UBE2C as a marker of the androgen signaling pathway in prostate cancer. PMID: 27550197
- Data suggest that the activity of AURKA might be regulated by UBE2C through regulating the activity of anaphasepromoting complex. UBE2C may be a new marker in the diagnosis of gastric cancer and may be a potential therapeutic target for the treatment of gastric adenocarcinoma. PMID: 28260026
- High UBCH10 expression is associated with bortezomib-resistance in multiple myeloma. PMID: 28000886
- the expression of UbcH10 in colorectal cancer samples as compared with healthy tissue sample from the same patient according to age at surgery, was examined. PMID: 26744065
- UbcH10 may promote gastric cancer growth. PMID: 27349176
- Identification of UBE2C as a target of wild-type and GOF mutant p53 further highlights the contribution of p53 in regulation of spindle assembly checkpoint PMID: 27129209
- The anaphase-promoting complex/cyclosome C activity in human cells is tuned by the combinatorial use of three E2 ubiquitin-conjugating enzymes, namely UBE2C, UBE2S, and UBE2D. PMID: 26904940
- Study shows an overexpression of UbcH10 mRNA and protein in the vast majority of colorectal cancer (CRC) patients analyzed and indicates that UbcH10 expression regulates CRC growth. PMID: 25917796
- the present study showed that miR-196a promoted cell proliferation by targeting UBE2C in breast cancer. Thus, miR-196a may be a potential oncogene in breast cancer and a promising therapeutic target in breast cancer treatment. PMID: 26062455
- UBE2C could regulate phospho-ERK1/2 level. PMID: 25832867
- Data suggest that ubiquitin-conjugating enzyme UbcH10 may be a promising target for the therapy of breast cancer. PMID: 25739083
- Upregulation of miR-17/20a promotes gastric cancer cell growth by targeting UBE2C. PMID: 25760688
- UbcH10 overexpression increases carcinogenesis and blocks ALLN susceptibility in colorectal cancer. PMID: 25376843
- in addition to binding APC11's RING, UBCH10 is corecruited via interactions with APC2 PMID: 25825779
- excess E2F1 due to Rb inactivation recruits the complex of Cdc20 and the anaphase-promoting complex/cyclosome to deregulate the expression of UBCH10 PMID: 25368385
- UBE2C may be a marker for diagnosis of nonpalpable breast lesions but not benign or malignant tumors in mammography core biopsies. Suppression of UBE2C may be a potential therapy target in breast cancer. PMID: 24699941
- the UBE2C gene is capable of promoting proliferation and invasion of lung cancer cells. Therefore, UBE2C may play a pivotal role in development and invasion of lung cancer. PMID: 24815438
- Results suggest that UBE2C acts as an oncogene in prostate cancer progression. PMID: 24512726
- Data suggest that ubiquitin conjugating enzyme UBE2C may serve as a potential therapeutic target aimed at inducing radiation and chemo sensitization. PMID: 24072565
- Elevated levels of S100A8 and UBE2C were observed. PMID: 24114735
- UBE2C positivity is independently associated with shorter cancer-specific survival in bladder cancer patients who underwent radical cystectomy. PMID: 23826418
- Data indicate that expression-based risk indices of three genes UBE2C, TPX2, and MELK were more strongly associated with poor 5-year survival in adenocarcinoma patients. PMID: 23357462
- High expression of UbcH10 was associated with pancreatic ductal adenocarcinoma. PMID: 23355337
- the expression of cyclin D1, MCM7, TRIM29, and UBE2C was found to be significantly associated with progression to muscle-invasive bladder cancer. PMID: 23201130
- UbcH10 overexpression has a critical role in lung carcinogenesis, and the evaluation of UbcH10 expression levels may be a new tool for the characterisation of non small cell lung carcinoma. PMID: 23102841
- Data sugggest that UbcH10 may play an important role in non-small cell lung cancer (NSCLC) carcinogenesis, and silencing UbcH10 may represent a potential therapeutic strategy for NSCLC. PMID: 22760214
- Overexpression of UbcH10 may be a useful indicator of endometrial carcinoma. PMID: 22415060
- growth rate of SiHa and HeLa transfected with dominant negative-UBE2C was significantly reduced compared to vector control PMID: 22694363
- High UBE2C mRNA expression was found to be of adverse prognostic significance in high-risk breast cancer patients PMID: 22056852
- UbcH10 expression was associated with tumor invasion of the portal vein, tumor size, TNM staging, and tumor differentiation in hepatocellular carcinoma. PMID: 21354912
- Effect of UBE2C overexpression on the proliferation of 293T cell line PMID: 21651863
- Mediator complex subunit (MED)1 phosphorylation leads to UBE2C locus looping, UBE2C gene expression and cell growth in castration-resistant prostate cancer. PMID: 21556051
- Spindle assembly checkpoint protein Cdc20 transcriptionally activates expression of ubiquitin carrier protein UbcH10. PMID: 21454660
- Elevated expression of UbcH10 is associated with breast cancer. PMID: 19038004
- elevated levels of Ubch10 and Cdc20 degrade cyclin B in hpv-16 iinfected cells, required for exit from mitosis, permitting initiation of the next round of DNA synthesis and cell cycle progression. PMID: 20739533
- The unstructured N-terminal region of UbcH10 directly binds the 19 S regulatory complex of the 26 S proteasome, and it mediates the initiation of substrate translocation. PMID: 20007692
- The overexpression of UbcH10 gene plays a critical role in the carcinogenesis and tumor progression of colorectal cancer. PMID: 19779934
- show that UbcH10 overexpression leads to precocious degradation of cyclin B by the anaphase-promoting complex/cyclosome, supernumerary centrioles, lagging chromosomes, and aneuploidy. PMID: 20065091
- Data imply that knocking-down UbcH10 protein expression may represent a potential therapeutic option for glioma. PMID: 19657671
- UbcH10 is highly expressed in various human primary tumors and UbcH10 has an ability to promote cell growth and malignant transformation. PMID: 12874022
- UbcH10 plays an important role in tumor development and that its inhibition in combination with agonists of the TRAIL receptor may provide an enhanced therapeutic index PMID: 15208666
- UbcH10 overexpression is involved in thyroid cell proliferation and may represent a marker of thyroid anaplastic carcinomas PMID: 16106252
- results showing aberrations in levels of gene expression and locus copy number of ubiquitin-conjugating enzyme E2C gene (UBE2C) suggest that this gene may play an important role in tumor progression leading to advanced colon cancer with liver metastasis PMID: 16772118
顯示更多
收起更多
-
蛋白家族:Ubiquitin-conjugating enzyme family
-
數據庫鏈接:
Most popular with customers
-
-
YWHAB Recombinant Monoclonal Antibody
Applications: ELISA, WB, IHC, IF, FC
Species Reactivity: Human, Mouse, Rat
-
Phospho-YAP1 (S127) Recombinant Monoclonal Antibody
Applications: ELISA, WB, IHC
Species Reactivity: Human
-
-
-
-
-















