TXNDC12 Recombinant Monoclonal Antibody
-
中文名稱:TXNDC12 Recombinant Monoclonal Antibody
-
貨號:CSB-RA995859A0HU
-
規格:¥1320
-
圖片:
-
Western Blot
Positive WB detected in: HepG2 whole cell lysate(30μg), HT-29 whole cell lysate(30μg), HEK293 whole cell lysate(30μg), U-251MG whole cell lysate(30μg), SH-SY5Y whole cell lysate(30μg), K562 whole cell lysate(30μg), Rat liver tissue lysate(30μg)
All lanes:TXNDC12 antibody at 1:1000
Secondary
Goat polyclonal to rabbit IgG at 1/40000 dilution
Predicted band size: 19 kDa
Observed band size: 19 kDa
Exposure time:3min -
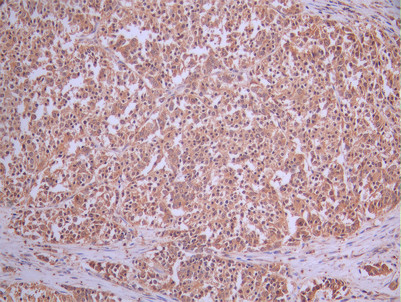
IHC image of CSB-RA995859A0HU diluted at 1:100 and staining in paraffin-embedded human liver cancer performed on a Leica BondTM system. After dewaxing and hydration, antigen retrieval was mediated by high pressure in a citrate buffer (pH 6.0). Section was blocked with 10% normal goat serum 30min at RT. Then primary antibody (1% BSA) was incubated at 4°C overnight. The primary is detected by a Goat anti-rabbit polymer IgG labeled by HRP and visualized using 0.05% DAB.
-
Overlay Peak curve showing HepG2 cells stained with CSB-RA995859A0HU (red line) at 1:100. The cells were fixed in 4% formaldehyde and permeated by 0.2% TritonX-100 for 10min. Then 10% normal goat serum to block non-specific protein-protein interactions followed by the antibody (1ug/1*106cells) for 45min at 4℃. The secondary antibody used was FITC-conjugated goat anti-rabbit IgG (H+L) at 1/200 dilution for 35min at 4℃.Control antibody (green line) was Rabbit IgG (1ug/1*106cells) used under the same conditions. Acquisition of >10, 000 events was performed.
-
-
其他:
產品詳情
-
Uniprot No.:
-
基因名:TXNDC12
-
別名:AG1 antibody; AGR1 antibody; anterior gradient homolog 1 antibody; endoplasmic reticulum protein ERp19 antibody; Endoplasmic reticulum resident protein 18 antibody; Endoplasmic reticulum resident protein 19 antibody; endoplasmic reticulum thioredoxin superfamily member, 18 kDa antibody; ER protein 18 antibody; ER protein 19 antibody; ERP 18 antibody; ERP16 antibody; ERp18 antibody; ERp19 antibody; hAG 1 antibody; hAG1 antibody; hTLP19 antibody; PDIA16 antibody; protein disulfide isomerase family A, member 16 antibody; thioredoxin domain containing 12 (endoplasmic reticulum antibody; Thioredoxin domain-containing protein 12 antibody; thioredoxin like protein p19 antibody; Thioredoxin-like protein p19 antibody; TLP19 antibody; TXD12_HUMAN antibody; TXNDC12 antibody
-
反應種屬:Human, Rat
-
免疫原:A synthesized peptide from human TXNDC12 protein
-
免疫原種屬:Homo sapiens (Human)
-
標記方式:Non-conjugated
-
克隆類型:Monoclonal
-
抗體亞型:Rabbit IgG
-
純化方式:Affinity-chromatography
-
克隆號:21A7
-
濃度:It differs from different batches. Please contact us to confirm it.
-
保存緩沖液:Rabbit IgG in 10mM phosphate buffered saline , pH 7.4, 150mM sodium chloride, 0.05% BSA, 0.02% sodium azide and 50% glycerol.
-
產品提供形式:Liquid
-
應用范圍:ELISA, WB, IHC, FC
-
推薦稀釋比:
Application Recommended Dilution WB 1:500-1:5000 IHC 1:50-1:200 FC 1:50-1:200 -
Protocols:
-
儲存條件:Upon receipt, store at -20°C or -80°C. Avoid repeated freeze.
-
貨期:Basically, we can dispatch the products out in 1-3 working days after receiving your orders. Delivery time maybe differs from different purchasing way or location, please kindly consult your local distributors for specific delivery time.
-
用途:For Research Use Only. Not for use in diagnostic or therapeutic procedures.
相關產品
靶點詳情
-
功能:Possesses significant protein thiol-disulfide oxidase activity.
-
基因功能參考文獻:
- We conclude that ERp19 contributes to tumorigenicity and metastasis of gastric cancer PMID: 25940440
- ERp18 shows specificity towards a component of the complement cascade, pentraxin-related protein PTX3. PMID: 19887585
- putative physiological role for endoplasmic reticulum thioredoxin superfamily member p18(ERp18) in native disulfide bond formation is discussed PMID: 12761212
- ERp16 mediates disulfide bond formation in the ER and plays an important role in cellular defense against prolonged ER stress PMID: 18628206
- the solution structure of oxidized ERp18 as determined using NMR spectroscopy PMID: 19361226
顯示更多
收起更多
-
亞細胞定位:Endoplasmic reticulum lumen.
-
組織特異性:Widely expressed.
-
數據庫鏈接:
Most popular with customers
-
-
YWHAB Recombinant Monoclonal Antibody
Applications: ELISA, WB, IHC, IF, FC
Species Reactivity: Human, Mouse, Rat
-
Phospho-YAP1 (S127) Recombinant Monoclonal Antibody
Applications: ELISA, WB, IHC
Species Reactivity: Human
-
-
-
-
-















