TPPP Recombinant Monoclonal Antibody
-
中文名稱:TPPP Recombinant Monoclonal Antibody
-
貨號:CSB-RA067688A0HU
-
規格:¥1320
-
圖片:
-
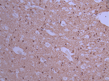
IHC image of CSB-RA067688A0HU diluted at 1:100 and staining in paraffin-embedded human brain tissue performed on a Leica BondTM system. After dewaxing and hydration, antigen retrieval was mediated by high pressure in a citrate buffer (pH 6.0). Section was blocked with 10% normal goat serum 30min at RT. Then primary antibody (1% BSA) was incubated at 4°C overnight. The primary is detected by a Goat anti-rabbit polymer IgG labeled by HRP and visualized using 0.05% DAB.
-
Overlay Peak curve showing A431 cells stained with CSB-RA067688A0HU (red line) at 1:100. The cells were fixed in 4% formaldehyde and permeated by 0.2% TritonX-100 for 10min. Then 10% normal goat serum to block non-specific protein-protein interactions followed by the antibody (1ug/1*106cells) for 45min at 4℃. The secondary antibody used was FITC-conjugated goat anti-rabbit IgG (H+L) at 1/200 dilution for 35min at 4℃.Control antibody (green line) was Rabbit IgG (1ug/1*106cells) used under the same conditions. Acquisition of >10,000 events was performed.
-
-
其他:
產品詳情
-
Uniprot No.:
-
基因名:TPPP
-
別名:Tubulin polymerization-promoting protein (TPPP) (25 kDa brain-specific protein) (TPPP/p25) (p24) (p25-alpha), TPPP, TPPP1
-
反應種屬:Human
-
免疫原:A synthesized peptide from human TPPP protein
-
免疫原種屬:Homo sapiens (Human)
-
標記方式:Non-conjugated
-
克隆類型:Monoclonal
-
抗體亞型:Rabbit IgG
-
純化方式:Affinity-chromatography
-
克隆號:12C6
-
濃度:It differs from different batches. Please contact us to confirm it.
-
保存緩沖液:Preservative: 0.03% Proclin 300
Constituents: 50% Glycerol, 0.01M PBS, PH 7.4 -
產品提供形式:Liquid
-
應用范圍:ELISA, IHC, FC
-
推薦稀釋比:
Application Recommended Dilution IHC 1:50-1:200 FC 1:50-1:200 -
Protocols:
-
儲存條件:Upon receipt, store at -20°C or -80°C. Avoid repeated freeze.
-
貨期:Basically, we can dispatch the products out in 1-3 working days after receiving your orders. Delivery time maybe differs from different purchasing way or location, please kindly consult your local distributors for specific delivery time.
-
用途:For Research Use Only. Not for use in diagnostic or therapeutic procedures.
相關產品
靶點詳情
-
功能:Regulator of microtubule dynamics that plays a key role in myelination by promoting elongation of the myelin sheath. Acts as a microtubule nucleation factor in oligodendrocytes: specifically localizes to the postsynaptic Golgi apparatus region, also named Golgi outpost, and promotes microtubule nucleation, an important step for elongation of the myelin sheath. Required for both uniform polarized growth of distal microtubules as well as directing the branching of proximal processes. Shows magnesium-dependent GTPase activity; the role of the GTPase activity is unclear. In addition to microtubule nucleation activity, also involved in microtubule bundling and stabilization of existing microtubules, thereby maintaining the integrity of the microtubule network. Regulates microtubule dynamics by promoting tubulin acetylation: acts by inhibiting the tubulin deacetylase activity of HDAC6. Also regulates cell migration: phosphorylation by ROCK1 inhibits interaction with HDAC6, resulting in decreased acetylation of tubulin and increased cell motility. Plays a role in cell proliferation by regulating the G1/S-phase transition. Involved in astral microtubule organization and mitotic spindle orientation during early stage of mitosis; this process is regulated by phosphorylation by LIMK2.
-
基因功能參考文獻:
- TPPP/p25 is co-enriched and co-localized with alpha-synuclein in brain inclusions of Parkinson's disease patients. Interaction of alpha-synuclein with various deletion mutants and fragments of TPPP/p25 were characterized. PMID: 27671864
- The objective of this paper is to highlight a critical point of a recently published Skoufias's paper in which the crucial role of the microtubules in TPPP/p25 dimerization leading to microtubule bundling was suggested. PMID: 28074911
- This study demonstrated that the AAV9-mediated p25 overexpression mouse model, which is a practical model exhibiting neurodegeneration-like pathological and behavioral changes. PMID: 27258419
- The knowledge accumulated so far underlines the key roles of the multifunctional TPPP/p25 in both physiological and diverse pathological processes, consequently its validation as drug target sorely needs a new innovative strategy that is briefly reviewed here. PMID: 28271739
- TPPP may have a role in poor prognosis in hepatocellular carcinoma PMID: 27630306
- the central folded domain of TPPP/p25 following binding to microtubules can drive s homotypic protein-protein interactions leading to bundled microtubules. PMID: 26289831
- Results reveal a link between p25 and BACE1 in Alzheimer disease (AD) brains and suggest that upregulated Cdk5 activation by p25 accelerates AD pathogenesis by enhancing BACE1 activity via phosphorylation. PMID: 26317805
- Epigenetic changes in TPPP, in combination with experiences of maltreatment, may confer risk for depression in children. PMID: 24655651
- suggest that the zinc as a specific divalent cation could be involved in the fine-tuning of the physiological TPPP/p25 level counteracting both the enrichment and the lack of this protein leading to distinct central nervous system diseases PMID: 25445539
- GSK3 promotes the mitochondrial translocation of p53, enabling its interaction with Bcl2 to allow Bax oligomerization and the subsequent release of cytochrome C. PMID: 23161404
- dual Rock and Cdk phosphorylation of Tppp1 inhibits its regulation of the cell cycle to increase cell proliferation PMID: 23355470
- The RhoA-ROCK-LIMK2-TPPP pathway controls metaphase spindle-orientation; TPPP colocalizes with LIMK2 at the mitotic spindle. PMID: 22328514
- Although serine-129 phosphorylation of alpha-synuclein facilitates TPPP-mediated alpha-SYN oligomerization, this modification does not seem to play an inevitable role in the early step of alpha-SYN oligomer formation in a cellular model of multiple system atrophy. PMID: 20849899
- The authors conclude that the modest structural changes that p25alpha undergoes can promote weak intermolecular contacts and that polyanions such as heparin play a central role in stabilizing these aggregates. PMID: 22326478
- Wnt induces the phosphorylation of LRP6 which consequently access the catalytic pocket of GSK3 as pseudo-substrates, thus directly blocking its activity against beta-catenin. PMID: 22083140
- GSK3 has a significant role in maintaining repression of growth factor-inducible genes during quiescence. CREB, NFkB and AP-1 mediate this regulation of gene expression by GSK-3. PMID: 21900749
- Data show that TPPP may work as a protective factor for cells against the damage effects of the accumulation of abnormal forms of PrPs, besides its function as an agent for dynamic stabilization of microtubular ultrastructures. PMID: 21857997
- Binding of Zn(2) bivalent cation to structurally disordered TPPP/p25 influences TPPP/p25-promoted tubulin polymerization and GTPase activity. PMID: 21995432
- Interactions of pathological hallmark proteins: tubulin polymerization promoting protein/p25, beta-amyloid, and alpha-synuclein. PMID: 21832049
- This study demonistrated that p25 is generated during spatial memory formation. PMID: 21616478
- these investigations suggest the CSF-TPPP/p25 level could become diagnostic marker of MS and other demyelination-related diseases. PMID: 21565174
- The RING domain of XIAP (and probably cIAP-1 and cIAP-2) associates with GSK3, GSK3 acts upstream of the apoptosome to promote intrinsic apoptosis, and the association between XIAP and GSK3 may block the pro-apoptotic function of GSK3. PMID: 19698783
- TPPP/p25 has a role in stabilization of physiological microtubular ultrastructures and cell survival PMID: 15564385
- perhaps p25alpha plays a pro-aggregatory role in the common neurodegenerative disorders hall-marked by alpha-synuclein aggregates PMID: 15590652
- Recombinant TPPP plays an important role for tubulin-related transport in developing, myelinating oligodendrocytes. PMID: 16879710
- identified glyceraldehyde-3-phosphate dehydrogenase (GAPDH) as a new interacting partner of TPPP/p25 within the alpha-synuclein positive Lewy body PMID: 17027006
- ERK2 can regulate TPPP activity via the phosphorylation of Thr(14) and/or Ser(18) in its unfolded N-terminal tail PMID: 17693641
- Myelin basic protein and p25alpha colocalize in myelin in normal human brains. PMID: 17823288
- data suggest that gain of 5p15.33 (TPPP and ZDHHC11) may become a potential biomarker identifying high-risk patients with disease progression in bladder cancer. PMID: 18025801
- LIMK1 phosphorylation of p25 blocks p25 activity, thus promoting microtubule disassembly. PMID: 18028908
- we review evidence pertaining to the role of GSK3 in the myocardium and discuss effects of genetic manipulation of GSK3 activity in vivo--REVIEW PMID: 18204489
- GSK-3 is involved in the regulation of, and cross-talk between, two major forms of synaptic plasticity, N-methyl-D-aspartate receptor dependent long-term potentiation and NMDAR-dependent long-term depression--REVIEW PMID: 18311157
- contribution of GSK3 in growth regulation of myeloma cells PMID: 18728964
- Data suggest that the intracellular level of TPPP/p25 influences the cell differentiation, proliferation and the formation of protein aggregates, and consequently, the etiology of central nervous system diseases. PMID: 19382230
顯示更多
收起更多
-
亞細胞定位:Golgi outpost. Cytoplasm, cytoskeleton, microtubule organizing center. Cytoplasm, cytoskeleton. Nucleus. Cytoplasm, cytoskeleton, spindle.
-
蛋白家族:TPPP family
-
組織特異性:Widely expressed.
-
數據庫鏈接:
Most popular with customers
-
YWHAB Recombinant Monoclonal Antibody
Applications: ELISA, WB, IHC, IF, FC
Species Reactivity: Human, Mouse, Rat
-
Phospho-YAP1 (S127) Recombinant Monoclonal Antibody
Applications: ELISA, WB, IHC
Species Reactivity: Human
-
-
-
-
-
-















