TP53BP1 Recombinant Monoclonal Antibody
-
中文名稱:TP53BP1 Recombinant Monoclonal Antibody
-
貨號:CSB-RA021503A0HU
-
規格:¥1320
-
圖片:
-
IHC image of CSB-RA021503A0HU diluted at 1:100 and staining in paraffin-embedded human lung cancer performed on a Leica BondTM system. After dewaxing and hydration, antigen retrieval was mediated by high pressure in a citrate buffer (pH 6.0). Section was blocked with 10% normal goat serum 30min at RT. Then primary antibody (1% BSA) was incubated at 4°C overnight. The primary is detected by a Goat anti-rabbit polymer IgG labeled by HRP and visualized using 0.05% DAB.
-
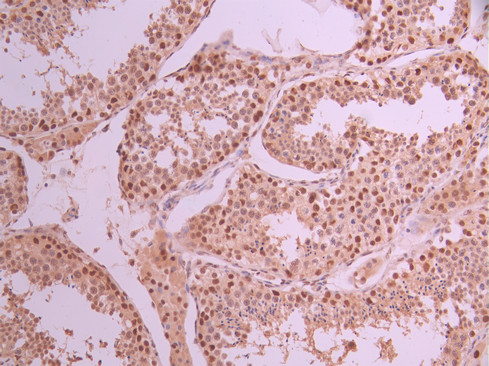
IHC image of CSB-RA021503A0HU diluted at 1:100 and staining in paraffin-embedded human testis tissue performed on a Leica BondTM system. After dewaxing and hydration, antigen retrieval was mediated by high pressure in a citrate buffer (pH 6.0). Section was blocked with 10% normal goat serum 30min at RT. Then primary antibody (1% BSA) was incubated at 4°C overnight. The primary is detected by a Goat anti-rabbit polymer IgG labeled by HRP and visualized using 0.05% DAB.
-
Overlay Peak curve showing SH-SY5Y cells stained with CSB-RA021503A0HU (red line) at 1:100. The cells were fixed in 4% formaldehyde and permeated by 0.2% TritonX-100 for 10min. Then 10% normal goat serum to block non-specific protein-protein interactions followed by the antibody (1ug/1*106cells) for 45min at 4℃. The secondary antibody used was FITC-conjugated goat anti-rabbit IgG (H+L) at 1/200 dilution for 35min at 4℃.Control antibody (green line) was Rabbit IgG (1ug/1*106cells) used under the same conditions. Acquisition of >10,000 events was performed.
-
-
其他:
產品詳情
-
Uniprot No.:
-
基因名:
-
別名:TP53-binding protein 1 (53BP1) (p53-binding protein 1) (p53BP1), TP53BP1
-
反應種屬:Human
-
免疫原:A synthesized peptide from human TP53BP1 protein
-
免疫原種屬:Homo sapiens (Human)
-
標記方式:Non-conjugated
-
克隆類型:Monoclonal
-
抗體亞型:Rabbit IgG
-
純化方式:Affinity-chromatography
-
克隆號:6F9
-
濃度:It differs from different batches. Please contact us to confirm it.
-
保存緩沖液:Preservative: 0.03% Proclin 300
Constituents: 50% Glycerol, 0.01M PBS, PH 7.4 -
產品提供形式:Liquid
-
應用范圍:ELISA, IHC, FC
-
推薦稀釋比:
Application Recommended Dilution IHC 1:50-1:200 FC 1:50-1:200 -
Protocols:
-
儲存條件:Upon receipt, store at -20°C or -80°C. Avoid repeated freeze.
-
貨期:Basically, we can dispatch the products out in 1-3 working days after receiving your orders. Delivery time maybe differs from different purchasing way or location, please kindly consult your local distributors for specific delivery time.
-
用途:For Research Use Only. Not for use in diagnostic or therapeutic procedures.
相關產品
靶點詳情
-
功能:Double-strand break (DSB) repair protein involved in response to DNA damage, telomere dynamics and class-switch recombination (CSR) during antibody genesis. Plays a key role in the repair of double-strand DNA breaks (DSBs) in response to DNA damage by promoting non-homologous end joining (NHEJ)-mediated repair of DSBs and specifically counteracting the function of the homologous recombination (HR) repair protein BRCA1. In response to DSBs, phosphorylation by ATM promotes interaction with RIF1 and dissociation from NUDT16L1/TIRR, leading to recruitment to DSBs sites. Recruited to DSBs sites by recognizing and binding histone H2A monoubiquitinated at 'Lys-15' (H2AK15Ub) and histone H4 dimethylated at 'Lys-20' (H4K20me2), two histone marks that are present at DSBs sites. Required for immunoglobulin class-switch recombination (CSR) during antibody genesis, a process that involves the generation of DNA DSBs. Participates in the repair and the orientation of the broken DNA ends during CSR. In contrast, it is not required for classic NHEJ and V(D)J recombination. Promotes NHEJ of dysfunctional telomeres via interaction with PAXIP1.
-
基因功能參考文獻:
- Inhibition of 53BP1 is a robust method to increase efficiency of HDR-based precise genome editing. PMID: 29176614
- This study elucidates the mechanism by which TIRR recognizes 53BP1 Tudor and functions as a cellular inhibitor of the histone methyl-lysine readers. PMID: 29844495
- Data indicate the molecular mechanism underlying Tudor interacting repair regulator (TIRR)-mediated suppression of tumor protein p53 binding protein 1 (53BP1)-dependent DNA damage repair. PMID: 30002377
- GFI1 facilitates efficient DNA repair by regulating PRMT1 dependent methylation of MRE11 and 53BP1. PMID: 29651020
- The results may suggest that TP53BP1 and MFN1 frameshift mutations and their intratumoral heterogeneity (ITH) could contribute to cancer development by inhibiting the TSG activities. PMID: 30082159
- results highlight the interplay of RNF169 with 53BP1 in fine-tuning choice of DSB repair pathways. PMID: 30104380
- Despite the requirement of all three nucleoporins for accurate NHEJ, only Nup153 is needed for proper nuclear import of 53BP1 and SENP1-dependent sumoylation of 53BP1. Data support the role of Nup153 as an important regulator of 53BP1 activity and efficient NHEJ. PMID: 28576968
- Results indicate that integrity of the nuclear localization signal is important for 53BP1 nuclear localization. PMID: 29603287
- As shown in xenograft model of glioblastoma phosphorylation of 53BP1 by GSK3beta was indispensable for DNA double-strand break repair. PMID: 29328365
- results suggest that there is a direct interaction between 53BP1 and MCMs, which is essential for 53BP1 chromatin fraction and foci formation in hepatoma HepG2 cells. PMID: 29990989
- Results indicate that 53BP1 is a biomarker of response to anti-PARP therapy in the laboratory, and our DNA damage response gene signature may be used to identify patients who are most likely to respond to PARP inhibition. PMID: 28958991
- These results reveal two distinct fork restart pathways, which are antagonistically controlled by 53BP1 and BRCA1 in a double-strand DNA break repair-independent manner. PMID: 29106372
- Gamma-H2AX, phosphorylated KAP-1 and 53BP1 play an important role in the repair of heterochromatic radon-induced DNA double-strand breaks. PMID: 27922110
- Data show that the expression of tumor protein p53 binding protein 1 (53BP1) varies at different stages of cell cycle, with high-level expression observed in mitosis. PMID: 28930533
- results further highlight the antagonistic relationship between 53BP1 and BRCA1, and place Nup153 and Nup50 in a molecular pathway that regulates 53BP1 function by counteracting BRCA1-mediated events. PMID: 28751496
- PAXIP1 and 53BP1 protein levels followed gene expression results, i.e., are intrinsically correlated, and also reduced in more advanced breast cancer tumors. PMID: 28475402
- Data indicate that p53-binding protein 1 (53BP1) is required to prevent excessive chromosome missegregation and probably genome hyper-instability, and also for optimal growth in cancer cells. PMID: 29445165
- Study demonstrates a consistent resistance profile to PARPi and a unique cross-resistance profile to non-PARPi drugs in different PARPi-resistant U251 glioblastoma cells and reveals 53BP1 loss and SAMHD1 overexpression as the primary mechanisms responsible for their resistance to PARPi and Ara-C, respectively. PMID: 29274141
- number of gammaH2AX foci did not significantly change following cardiac MR (median foci per cell pre-MR = 0.11, post-MR = 0.11, p = .90), but the number of 53BP1 foci significantly increased following MR PMID: 29309426
- premature maturation of post-replicative chromatin restores Histone h4 lysine 20 methylation and rescues 53BP1 accumulation on replicated chromatin. PMID: 28564601
- UVA-induced progerinlamin A complex formation was largely responsible for suppressing 53BP1-mediated NHEJ DSB repair activity. The present study is the first to demonstrate that UVA-induced progerin upregulation adversely affects 53BP1-mediated NHEJ DSB repair in human keratinocytes via progerinlamin A complex formation. PMID: 28498430
- 53BP1/RIF1 has a role in limiting BRCA1/CtIP-mediated end resection to control double strand break repair pathway choice PMID: 27494840
- It observed a distinct accumulation of 53BP1 protein to UV-induced DNA lesions: in R273C mutants, 53BP1 appeared transiently at DNA lesions, during 10-30 min after irradiation; the mutation R282W was responsible for accumulation of 53BP1 immediately after UVA-damage; and in L194F mutants, the first appearance of 53BP1 protein at the lesions occurred during 60-70 min. PMID: 28397142
- A reciprocal regulation between 53BP1 and APC/C that is required for response to mitotic stress. PMID: 28228263
- BRCA1 promotes PP4C-dependent 53BP1 dephosphorylation and RIF1 release, directing repair toward homologous recombination. PMID: 28076794
- Co-localization of gammaH2AX and 53BP1 indicates promotion of (in)effective nonhomologous end-joining repair mechanisms at sites of DSB. Moreover, gammaH2AX/53BP1 foci distribution presumably reveals a non-random spatial organization of the genome in MDS and AML. PMID: 28359030
- Results provide evidence that 53BP1 is involved in breast cancer cells resistance for PARP inhibitor; its depletion causes resistance in ATM-deficient tumor cells. PMID: 27613518
- Ubiquitin ligases RNF168, RNF169, and RAD18 specifically bind histone H2A Lys13/15-ubiquitylated nucleosomes. 53BP1 chromatin recruitment may be activated by RNF168 and blocked by RNF169 and RAD18. PMID: 28506460
- Ras-induced senescent cells are hindered in their ability to recruit BRCA1 and 53BP1 to DNA damage sites. Whereas BRCA1 is downregulated at transcripts levels, 53BP1 loss is caused by activation of cathepsin L-mediated degradation of 53BP1 protein. we discovered a marked downregulation of vitamin D receptor (VDR) during OIS, and a role for the vitamin D/VDR axis regulating the levels of these DNA repair PMID: 27041576
- TIP60 complex regulates bivalent chromatin recognition/modification by 53BP1 through direct H4K20me binding and H2AK15 acetylation. PMID: 27153538
- findings identify TIRR as a new factor that influences double-strand break repair using a unique mechanism of masking the histone methyl-lysine binding function of 53BP1 PMID: 28241136
- Deficiency of 53BP1 inhibits the radiosensitivity of colorectal cancer. PMID: 27499037
- interplay between 53BP1/NHEJ and BRCA1/HR is of great relevance for tumor treatment, as the 53BP1 status would be highly important for the treatment response of BRCA1-associated tumors. PMID: 26615718
- Exhaustion of 53BP1 by increasing the load of double strand breaks suppresses RAD51 accumulation in repair foci during S and G2. PMID: 27348077
- TIRR is a novel 53BP1-interacting protein that participates in the DNA damage response PMID: 28213517
- These data suggest that multiple pathways collectively fine-tune the cellular levels of 53BP1 protein to ensure proper DSB repair and cell survival. PMID: 28255090
- his shows that 53BP1 protects both close and distant DSEs from degradation and that the association of unprotection with distance between DSEs favors ECS capture. Reciprocally, silencing CtIP lessens ECS capture both in control and 53BP1-depleted cells. We propose that close ends are immediately/rapidly tethered and ligated, whereas distant ends first require synapsis of the distant DSEs prior to ligation PMID: 27798638
- Increased 53BP1 expression (i.e., "unstable" expression) in nuclear foci of oncocytic follicular adenoma (FA) of the thyroid correlates with a higher incidence of DNA copy numbers compared with conventional FA. PMID: 26935218
- High 53BP1 mRNA is associated with head and neck cancer. PMID: 27465548
- During live-cell imaging, 53BP1-GFP focus formation was observed within 10 minutes after UVC irradiation. Most 53BP1 foci resolved by 100 minutes. To block UVC-induced double-strand break repair in cancer cells, poly(ADP-ribose) polymerase (PARP) was targeted with ABT-888 (veliparib). PARP inhibition markedly enhanced UVC-irradiation-induced persistence of 53BP1-foci PMID: 27466483
- Combined effect of dynamic recruitment of RNF4 to KAP1 regulates the relative occupancy of 53BP1 and BRCA1 at double-strand break sites to direct DNA repair in a cell cycle-dependent manner. PMID: 26766492
- the formation of 53BP1, gammaH2AX foci and their co-localization induced by gamma-rays (2, 5, 10, 50, 200 cGy) in human lymphocytes, was analyzed. PMID: 26243567
- 5-Hydroxymethylcytosine (5hmC) accumulates at DNA damage foci and colocalizes with major DNA damage response proteins 53BP1 and gH2AX, revealing 5hmC as an epigenetic marker of DNA damage. PMID: 26854228
- we show that XIST and 53BP1 can be used to identify BRCA1-like breast cancer patients that have higher event rates and poor outcome after HD chemotherapy. PMID: 26637364
- kinetics of the accumulation of selected DNA repair-related proteins is protein specific at locally induced DNA lesions, and that the formation of gH2AX- and NBS1-positive foci, but not 53BP1-positive NBs, is cell cycle dependent in HeLa cells PMID: 26482424
- the interaction of 53BP1 with gammaH2AX is required for sustaining the 53BP1-dependent focal concentration of activated ATM that facilitates repair of DNA double-strand breaks in heterochromatin in G1. PMID: 26628370
- cryo-EM structure of a dimerized human 53BP1 fragment bound to a H4K20me2-containing and H2AK15ub-containing nucleosome core particle at 4.5 A resolution PMID: 27462807
- The study shows higher expression of gamma-H2AX and 53BP1 foci in rectal cancer patients compared with healthy individuals. Yet the data in vitro were not predictive in regard to the radiotherapy outcome. PMID: 26541290
- For both, gamma-H2AX and 53BP1, the cellular focus number as well as the percentage of positive cells did not differ between patients with clinically isolated syndrome/early relapsing-remitting multiple sclerosis and healthy controls. PMID: 26820970
- Impaired TIP60-mediated H4K16 acetylation accounts for the aberrant chromatin accumulation of 53BP1 and RAP80 in Fanconi anemia pathway-deficient cells. PMID: 26446986
顯示更多
收起更多
-
相關疾病:A chromosomal aberration involving TP53BP1 is found in a form of myeloproliferative disorder chronic with eosinophilia. Translocation t(5;15)(q33;q22) with PDGFRB creating a TP53BP1-PDGFRB fusion protein.
-
亞細胞定位:Nucleus. Chromosome. Chromosome, centromere, kinetochore.
-
數據庫鏈接:
Most popular with customers
-
YWHAB Recombinant Monoclonal Antibody
Applications: ELISA, WB, IHC, IF, FC
Species Reactivity: Human, Mouse, Rat
-
Phospho-YAP1 (S127) Recombinant Monoclonal Antibody
Applications: ELISA, WB, IHC
Species Reactivity: Human
-
-
-
-
-
-















