TMEM67 Recombinant Monoclonal Antibody
-
中文名稱:TMEM67 Recombinant Monoclonal Antibody
-
貨號:CSB-RA780441A0HU
-
規格:¥1320
-
圖片:
-
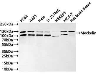
Western Blot
Positive WB detected in: K562 whole cell lysate(30μg), A431 whole cell lysate(30μg), Hela whole cell lysate(30μg), U-251MG whole cell lysate(30μg), HEK293 whole cell lysate(30μg), MCF-7 whole cell lysate(30μg), Rat brain tissue lysate(30μg)
All lanes: Meckelin polymerase beta antibody at 1:1000
Secondary
Goat polyclonal to rabbit IgG at 1/40000 dilution
Predicted band size: 112 kDa
Observed band size: 112, 122 kDa
Exposure time:1min -
Immunofluorescence staining of U-251MG cell with CSB-RA780441A0HU at 1:50, counter-stained with DAPI. The cells were fixed in 4% formaldehyde and blocked in 10% normal Goat Serum. The cells were then incubated with the antibody overnight at 4°C. The secondary antibody was Alexa Fluor 488-congugated AffiniPure Goat Anti-Rabbit IgG(H+L).
-
Overlay Peak curve showing 786-O cells stained with CSB-RA780441A0HU (red line) at 1:100. The cells were fixed in 4% formaldehyde and permeated by 0.2% TritonX-100 for 10min. Then 10% normal goat serum to block non-specific protein-protein interactions followed by the antibody (1ug/1*106cells) for 45min at 4℃. The secondary antibody used was FITC-conjugated goat anti-rabbit IgG (H+L) at 1/200 dilution for 35min at 4℃.Control antibody (green line) was Rabbit IgG (1ug/1*106cells) used under the same conditions. Acquisition of >10,000 events was performed.
-
-
其他:
產品詳情
-
Uniprot No.:
-
基因名:
-
別名:Meckelin (Meckel syndrome type 3 protein) (Transmembrane protein 67), TMEM67, MKS3
-
反應種屬:Human, Rat
-
免疫原:A synthesized peptide from human TMEM67 protein
-
免疫原種屬:Homo sapiens (Human)
-
標記方式:Non-conjugated
-
克隆類型:Monoclonal
-
抗體亞型:Rabbit IgG
-
純化方式:Affinity-chromatography
-
克隆號:4H3
-
濃度:It differs from different batches. Please contact us to confirm it.
-
保存緩沖液:Preservative: 0.03% Proclin 300
Constituents: 50% Glycerol, 0.01M PBS, PH 7.4 -
產品提供形式:Liquid
-
應用范圍:ELISA, WB, IF, FC
-
推薦稀釋比:
Application Recommended Dilution WB 1:500-1:2000 IF 1:50-1:200 FC 1:50-1:200 -
Protocols:
-
儲存條件:Upon receipt, store at -20°C or -80°C. Avoid repeated freeze.
-
貨期:Basically, we can dispatch the products out in 1-3 working days after receiving your orders. Delivery time maybe differs from different purchasing way or location, please kindly consult your local distributors for specific delivery time.
-
用途:For Research Use Only. Not for use in diagnostic or therapeutic procedures.
相關產品
靶點詳情
-
功能:Required for ciliary structure and function. Part of the tectonic-like complex which is required for tissue-specific ciliogenesis and may regulate ciliary membrane composition. Involved in centrosome migration to the apical cell surface during early ciliogenesis. Involved in the regulation of cilia length and appropriate number through the control of centrosome duplication. Required for cell branching morphology. Essential for endoplasmic reticulum-associated degradation (ERAD) of surfactant protein C (SFTPC).
-
基因功能參考文獻:
- The authors results suggest that Asn242Ser in TMEM67 is a founder mutation in the Iranian population, which might explain a significant proportion of JS cases from eastern Iran. PMID: 28719906
- Low expression of TMEM67 is associated with lymph node metastasis in urothelial carcinoma of the bladder. PMID: 28161324
- Importantly, one Japanese and one Omani families carried compound biallelic mutations in two distinct genes (TMEM67/RPGRIP1L and TMEM138/BBS1, respectively). PMID: 27434533
- The Meckel syndrome protein meckelin (TMEM67) is a key regulator of cilia function but is not required for tissue planar polarity. PMID: 23393159
- mutation analysis of TMEM67 in Joubert syndrome and related disorders cases and Meckel syndrome fetuses; identification of 20 novel mutations; review of published mutations and discussion of genotype-phenotype correlates PMID: 20232449
- Data show that knockdown of MKS3 inhibited degradation of mutant SP-C. PMID: 19815549
- mapping to chromosome 8 and possible role in Meckel-Gruber syndrome PMID: 12384791
- Positional cloning of the Wpk gene suggested a MKS3 candidate gene, TMEM67, for which we identified pathogenic mutations for five MKS3-linked consanguineous families. PMID: 16415887
- identified MKS3 mutations in four patients with JS, thus defining MKS3 as the sixth JS locus (JBTS6) PMID: 17160906
- Mutations in MKS3 is associated with Bardet-Biedl syndrome PMID: 18327255
- Analysis of MKS3 in 14 COACH families identified mutations in 8 (57%). PMID: 19058225
- Missense mutations within the MKS3 gene are associated with nephronophthisis with liver fibrosis. PMID: 19508969
顯示更多
收起更多
-
相關疾病:Meckel syndrome 3 (MKS3); Joubert syndrome 6 (JBTS6); Bardet-Biedl syndrome (BBS); COACH syndrome (COACHS); Nephronophthisis 11 (NPHP11)
-
亞細胞定位:Cell membrane; Multi-pass membrane protein. Endoplasmic reticulum membrane; Multi-pass membrane protein. Cell projection, cilium. Cytoplasm, cytoskeleton, cilium basal body.
-
組織特異性:Widely expressed in adult and fetal tissues. Expressed at higher level in spinal cord.
-
數據庫鏈接:
Most popular with customers
-
-
Phospho-YAP1 (S127) Recombinant Monoclonal Antibody
Applications: ELISA, WB, IHC
Species Reactivity: Human
-
-
-
-
-
-















