TIMM44 Recombinant Monoclonal Antibody
-
中文名稱:TIMM44 Recombinant Monoclonal Antibody
-
貨號:CSB-RA967831A0HU
-
規格:¥1320
-
圖片:
-
Western Blot
Positive WB detected in: K562 whole cell lysate(30μg), HT-29 whole cell lysate(30μg), COLO-205 whole cell lysate(30μg), Rat liver tissue lysate(30μg)
All lanes: TIM44 antibody at 1:1000
Secondary
Goat polyclonal to rabbit IgG at 1/40000 dilution
Predicted band size: 51 kDa
Observed band size: 51 kDa
Exposure time:20s -
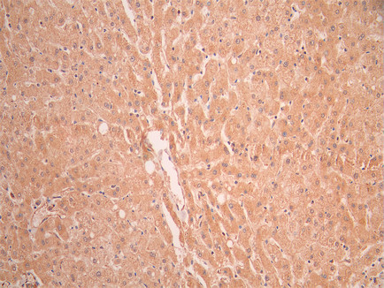
IHC image of CSB-RA967831A0HU diluted at 1:100 and staining in paraffin-embedded human liver tissue performed on a Leica BondTM system. After dewaxing and hydration, antigen retrieval was mediated by high pressure in a citrate buffer (pH 6.0). Section was blocked with 10% normal goat serum 30min at RT. Then primary antibody (1% BSA) was incubated at 4°C overnight. The primary is detected by a Goat anti-rabbit polymer IgG labeled by HRP and visualized using 0.05% DAB.
-
IHC image of CSB-RA967831A0HU diluted at 1:100 and staining in paraffin-embedded human prostate cancer performed on a Leica BondTM system. After dewaxing and hydration, antigen retrieval was mediated by high pressure in a citrate buffer (pH 6.0). Section was blocked with 10% normal goat serum 30min at RT. Then primary antibody (1% BSA) was incubated at 4°C overnight. The primary is detected by a Goat anti-rabbit polymer IgG labeled by HRP and visualized using 0.05% DAB.
-
Immunofluorescence staining of U251 cell with CSB-RA967831A0HU at 1:50 , counter-stained with DAPI. The cells were fixed in 4% formaldehyde, permeabilized using 0.2% Triton X-100 and blocked in 10% normal Goat Serum. The cells were then incubated with the antibody overnight at 4°C. The secondary antibody was Alexa Fluor 488-congugated AffiniPure Goat Anti-Rabbit IgG(H+L).
-
-
其他:
產品詳情
-
Uniprot No.:
-
基因名:TIMM44
-
別名:TIMM44 antibody; MIMT44 antibody; TIM44 antibody; Mitochondrial import inner membrane translocase subunit TIM44 antibody
-
反應種屬:Human, Rat
-
免疫原:A synthesized peptide from human TIMM44 protein
-
免疫原種屬:Homo sapiens (Human)
-
標記方式:Non-conjugated
-
克隆類型:Monoclonal
-
抗體亞型:Rabbit IgG
-
純化方式:Affinity-chromatography
-
克隆號:25G3
-
濃度:It differs from different batches. Please contact us to confirm it.
-
保存緩沖液:Rabbit IgG in 10mM phosphate buffered saline , pH 7.4, 150mM sodium chloride, 0.05% BSA, 0.02% sodium azide and 50% glycerol.
-
產品提供形式:Liquid
-
應用范圍:ELISA, WB, IHC, IF
-
推薦稀釋比:
Application Recommended Dilution WB 1:500-1:5000 IHC 1:50-1:200 IF 1:50-1:200 -
Protocols:
-
儲存條件:Upon receipt, store at -20°C or -80°C. Avoid repeated freeze.
-
貨期:Basically, we can dispatch the products out in 1-3 working days after receiving your orders. Delivery time maybe differs from different purchasing way or location, please kindly consult your local distributors for specific delivery time.
-
用途:For Research Use Only. Not for use in diagnostic or therapeutic procedures.
相關產品
靶點詳情
-
功能:Essential component of the PAM complex, a complex required for the translocation of transit peptide-containing proteins from the inner membrane into the mitochondrial matrix in an ATP-dependent manner. Recruits mitochondrial HSP70 to drive protein translocation into the matrix using ATP as an energy source.
-
基因功能參考文獻:
- TIM44 was identified for the first time as a potential oncogene, which plays an important role in autophagy through the TIM44-SOD2-ROS-mTOR pathway. PMID: 27849558
- The Timm44 gene may be a new target for the treatment of type 2 diabetes PMID: 25749183
- This protein has been found differentially expressed in thalami from patients with schizophrenia. PMID: 20471030
-
亞細胞定位:Mitochondrion inner membrane; Peripheral membrane protein; Matrix side. Mitochondrion matrix.
-
蛋白家族:Tim44 family
-
數據庫鏈接:
Most popular with customers
-
-
YWHAB Recombinant Monoclonal Antibody
Applications: ELISA, WB, IHC, IF, FC
Species Reactivity: Human, Mouse, Rat
-
-
-
-
-
-
VDAC1 Recombinant Monoclonal Antibody
Applications: ELISA, WB, IHC
Species Reactivity: Human, Mouse, Rat















