TCL1A Recombinant Monoclonal Antibody
-
中文名稱:TCL1A Recombinant Monoclonal Antibody
-
貨號:CSB-RA198357A0HU
-
規格:¥1320
-
圖片:
-
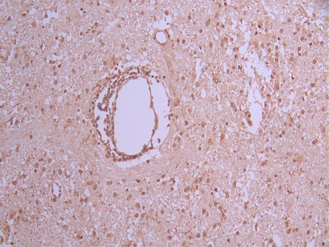
IHC image of CSB-RA198357A0HU diluted at 1:100 and staining in paraffin-embedded human glioma cancer performed on a Leica BondTM system. After dewaxing and hydration, antigen retrieval was mediated by high pressure in a citrate buffer (pH 6.0). Section was blocked with 10% normal goat serum 30min at RT. Then primary antibody (1% BSA) was incubated at 4°C overnight. The primary is detected by a Goat anti-rabbit polymer IgG labeled by HRP and visualized using 0.05% DAB.
-
Overlay Peak curve showing jurkat cells stained with CSB-RA198357A0HU (red line) at 1:100. The cells were fixed in 4% formaldehyde and permeated by 0.2% TritonX-100 for 10min. Then 10% normal goat serum to block non-specific protein-protein interactions followed by the antibody (1ug/1*106cells) for 45min at 4℃. The secondary antibody used was FITC-conjugated goat anti-rabbit IgG (H+L) at 1/200 dilution for 35min at 4℃.Control antibody (green line) was Rabbit IgG (1ug/1*106cells) used under the same conditions. Acquisition of >10,000 events was performed.
-
-
其他:
產品詳情
-
Uniprot No.:
-
基因名:
-
別名:T-cell leukemia/lymphoma protein 1A (Oncogene TCL-1) (Oncogene TCL1) (Protein p14 TCL1), TCL1A, TCL1
-
反應種屬:Human
-
免疫原:A synthesized peptide from human TCL1A protein
-
免疫原種屬:Homo sapiens (Human)
-
標記方式:Non-conjugated
-
克隆類型:Monoclonal
-
抗體亞型:Rabbit IgG
-
純化方式:Affinity-chromatography
-
克隆號:9B8
-
濃度:It differs from different batches. Please contact us to confirm it.
-
保存緩沖液:Preservative: 0.03% Proclin 300
Constituents: 50% Glycerol, 0.01M PBS, PH 7.4 -
產品提供形式:Liquid
-
應用范圍:ELISA, IHC, FC
-
推薦稀釋比:
Application Recommended Dilution IHC 1:50-1:200 FC 1:50-1:200 -
Protocols:
-
儲存條件:Upon receipt, store at -20°C or -80°C. Avoid repeated freeze.
-
貨期:Basically, we can dispatch the products out in 1-3 working days after receiving your orders. Delivery time maybe differs from different purchasing way or location, please kindly consult your local distributors for specific delivery time.
-
用途:For Research Use Only. Not for use in diagnostic or therapeutic procedures.
相關產品
靶點詳情
-
功能:Enhances the phosphorylation and activation of AKT1, AKT2 and AKT3. Promotes nuclear translocation of AKT1. Enhances cell proliferation, stabilizes mitochondrial membrane potential and promotes cell survival.
-
基因功能參考文獻:
- Combination of T-cell lymphoma-1 protein (TCL1)-overexpression and damaging ataxia telangiectasia mutated protein (ATM) functionally synergistically contribute to T-cell prolymphocytic leukemia (T-PLL) specific phenotype of impaired DNA damage processing. PMID: 29449575
- Case Report: hematogones can express TCL-1 in patients with T-cell prolymphocytic leukemia after therapy. PMID: 28232160
- TCL1A is not only a useful biomarker for prognostic evaluation in stage II/III colorectal cancer patients. PMID: 28178623
- Our results suggest that intratumoral TCL1A+ B cells are important for controlling cervical cancer development. PMID: 26299617
- Our study suggests that TCL1 expression profile may have a role in the prediction of overall outcome in patient with MCL and call for prospective studies. PMID: 25688912
- We investigated TCL1 expression at the protein level in the bone marrow of a series of 59 patients with Waldenstrom macroglobulinemia: 76% of patients expressed TCL1, which appeared to be associated with a pejorative prognostic impact. PMID: 26493619
- Suggest miR-181b as therapeutic target for chronic lymphocytic leukemia in the Emicro-TCL1 mouse model. PMID: 26090867
- High TCL1A expression is associated with chronic lymphocytic leukemia. PMID: 25936528
- Polymorphic genetic variations of cytochrome P450 19A1 and T-cell leukemia 1A genes in the Tamil population PMID: 25481307
- Peptide-based TCL1-interphase mimics were potent in steric AKT antagonization. PMID: 25348018
- demonstrated that miR-3676 targets three consecutive 28-bp repeats within 3'UTR of TCL1 and showed that miR-3676 is a powerful inhibitor of TCL1 PMID: 25646413
- Case Report: T-cell lymphoblastic leukemia/lymphoma with t(7;14)(p15;q32) [TCRgamma-TCL1A translocation] confirmed by FISH. PMID: 24966976
- Report frequent TCL1A rearrangements in T-cell prolymphocytic leukemia with cutaneous involvement. PMID: 25310835
- TCL1-Tg:p53(-/-) leukemia cells exhibit higher survival capacity and are more drug resistant than the leukemia cells from TCL1-Tg:p53wt mice PMID: 23608884
- TCL1A and ATM are co-expressed in chronic lymphocytic leukemia cells without deletion of 11q. PMID: 22875623
- SNPs near the 3' terminus of TCL1A were associated with aromatase inhibitors-dependent musculoskeletal pain. Estradiol induced SNP-dependent TCL1A expression. PMID: 22405131
- Data indicate that up-regulated transcription of TCL1A was observed in two cases. PMID: 22553924
- Our findings reveal a functional interaction between Tcl1 and Hsp70 and identify Tcl1 as a novel Hsp70 client protein PMID: 23160471
- Intracellular expression of the TCL1 as well as membrane and intracellular expression of ILT7 in plasmacytoid dendritic cell leukemia (pDCL) samples and 61 non-pDC acute leukemia samples, were tested. PMID: 22674796
- These findings demonstrate that the microenvironment has a proactive role in the regulation of the known signaling enhancer and pro-survival molecule TCL1 in CLL. PMID: 22460735
- TCL1 is hyperexpressed in multiple B-cell lymphomas. PMID: 22645177
- 100% of dysgerminomas were positive for TCL1, but all immature teratomas were negative. PMID: 22448662
- genetic association studies in a Japanese population: Data suggest that a substantial number of patients with T-cell prolymphocytic leukemia exhibit abnormal expression of TCL1A probably due to rearrangement in region of TCL1 gene. PMID: 22189846
- CLL samples with high Tcl1 expression showed a decrease in DNA methylation compared with CLL samples with low Tcl1 expression PMID: 22308499
- Using primary chronic lymphocytic leukemia cells we have shown an inverse relationship between TCL1 and PTPROt expression. PMID: 22001392
- Data indicate an inverse correlation between miR-16-1, miR-181a, miR-181b, and level of expression of TCL-1 and BCL-2, which suggest that these miRNAs may implicate in negatively regulating target mRNA at transcriptional level. PMID: 21130495
- This study identified 4 single nucleotide polymorphisms related to TCL1A that, when present, were associated with musculoskeletal adverse effects to anastrozole or exemestane treatment in postmenopausal women with stage I to III breast cancer. PMID: 21172079
- TCL1 is a diagnostic marker for intratubular germ cell neoplasia and classic seminoma. PMID: 20553335
- TCL1 positivity was predominantly found in germinal center phenotype diffuse large B-cell lymphoma. PMID: 20382409
- CD5+CD23+ leukemic cell populations in TCL1 transgenic mice show significantly increased proliferation and Akt phosphorylation. PMID: 20357824
- Immunohistochemical evaluation of TCL1 expression may be useful for substantiating a diagnosis of unclassified type of intratubular germ cell neoplasia or seminoma. PMID: 20395523
- TCL1 mRNA expression may predict clinical outcome in CLL and that the IGHV3-21 subset, regardless of mutational status, displays high TCL1 expression. PMID: 19889012
- establish that the association between TCL1A and IkappaB is compatible with AKT binding to TCL1A, but incompatible with IkappaB binding to NF-kappaB PMID: 19668332
- An exposed hydrophobic patch composed of two discontinuous amino acid stretches has been identified near one end of the TCL1 beta-barrel that is required for TCL1-AKT binding association. PMID: 12009899
- Increased TCL1 expression correlates with PBC-ALL progression and loss of TEL expression. TCL1 expression is important for the maturation of precursor lymphocytes but not differentiated B or T cells. PMID: 12127395
- data demonstrate that TCL1 is a powerful oncogene that, when overexpressed in both B and T cells, predominantly yields mature B cell lymphomas PMID: 12381789
- oncogene transactivation by Sp1 PMID: 12421830
- results further support derivation of blastic tumors of skin from dendritic cells and demonstrate TCL1 proto-oncogene protein expression in this tumor PMID: 12576313
- altered expression in Burkitt lymphomas in the presence of Epstein-Barr virus PMID: 12672960
- Involved in the pathogenesis of mature leukemias and lymphomas: mature T-cell leukemia and chronic lymphocytic leukemia(review) PMID: 15325703
- Akt kinase activity can be inhibited by a peptide spanning the betaA strand of the proto-oncogene TCL1 PMID: 15459205
- Detailed mechanism for TCL1-augmented signaling helps explain the delayed occurrence of mature T cell expansions and leukemias despite tumorigenic TCL1 dysregulation that begins in early thymocytes. PMID: 16002684
- In EBV-negative diffuse large B-cell lymphoma and Burkitt lymphoma-derived cell lines infected in vitro with a recombinant EBV, high expression of EBNA2 inversely correlated with expression of germinal center-associated genes, BCL6 and TCL1. PMID: 17151114
- Expression levels of microRNA generally inversely correlated with Tcl1 expression in chronic lymphocytic leukemia. PMID: 17178851
- Biological action of the proto-oncogene TCL1 family and the development avenues for a suppressive drug specific for Akt, a core intracellular survival regulator.[REVIEW] PMID: 17360849
- TORC2 regulates germinal center repression of the TCL1 oncoprotein to promote B cell development and inhibit transformation. PMID: 17548807
- TCL1 expression in B-cell tumors parallels its regulation in non-neoplastic B cells and can be used diagnostically as an indicator of the differentiation stage of a given B-cell tumor. PMID: 17592280
- TCL1A deregulation may be caused by faulty gene silencing as a potential consequence of losses of 7q miRNAs in splenic marginal zone lymphoma. PMID: 17625607
- Lower TCL-1 levels were associated with improved complete remission rate and progression-free survival PMID: 17659340
- TCL1 inhibits activation-induced cell death in T cells by blocking PKCtheta and ERK activation, upon cellular activation PMID: 17846228
顯示更多
收起更多
-
相關疾病:Chromosomal aberrations activating TCL1A are found in chronic T-cell leukemias (T-CLL). Translocation t(14;14)(q11;q32); translocation t(7;14)(q35;q32); inversion inv(14)(q11;q32) that involves the T-cell receptor alpha/delta loci.
-
亞細胞定位:Cytoplasm. Nucleus. Microsome. Endoplasmic reticulum. Note=Microsomal fraction.
-
蛋白家族:TCL1 family
-
組織特異性:Restricted in the T-cell lineage to immature thymocytes and activated peripheral lymphocytes. Preferentially expressed early in T- and B-lymphocyte differentiation.
-
數據庫鏈接:
Most popular with customers
-
-
Phospho-YAP1 (S127) Recombinant Monoclonal Antibody
Applications: ELISA, WB, IHC
Species Reactivity: Human
-
-
-
-
-
-















