TBPL1 Recombinant Monoclonal Antibody
-
中文名稱:TBPL1 Recombinant Monoclonal Antibody
-
貨號:CSB-RA297595A0HU
-
規格:¥1320
-
圖片:
-
Western Blot
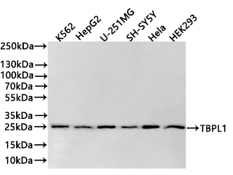
Positive WB detected in: K562 whole cell lysate(20μg), HepG2 whole cell lysate(20μg), U251MG whole cell lysate(20μg), SH-SY5Y whole cell lysate(20μg), Hela whole cell lysate(20μg), 293T whole cell lysate(20μg)
All lanes: TBPL1 antibody at 1:1000
Secondary
Goat polyclonal to rabbit IgG at 1/40000 dilution
Predicted band size: 21 kDa
Observed band size: 23 kDa
Exposure time:2min -
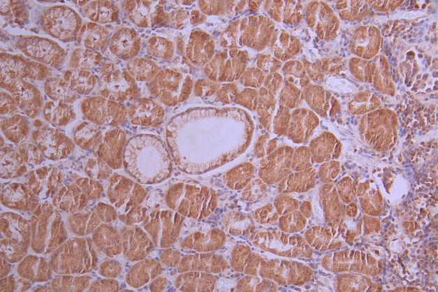
IHC image of CSB-RA297595A0HU diluted at 1:100 and staining in paraffin-embedded human gastric cancer performed on a Leica BondTM system. After dewaxing and hydration, antigen retrieval was mediated by high pressure in a citrate buffer (pH 6.0). Section was blocked with 10% normal goat serum 30min at RT. Then primary antibody (1% BSA) was incubated at 4°C overnight. The primary is detected by a Goat anti-rabbit polymer IgG labeled by HRP and visualized using 0.05% DAB.
-
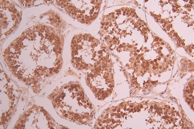
IHC image of CSB-RA297595A0HU diluted at 1:100 and staining in paraffin-embedded human testis tissue performed on a Leica BondTM system. After dewaxing and hydration, antigen retrieval was mediated by high pressure in a citrate buffer (pH 6.0). Section was blocked with 10% normal goat serum 30min at RT. Then primary antibody (1% BSA) was incubated at 4°C overnight. The primary is detected by a Goat anti-rabbit polymer IgG labeled by HRP and visualized using 0.05% DAB.
-
Immunofluorescence staining of HepG2 cell with CSB-RA297595A0HU at 1:50, counter-stained with DAPI. The cells were fixed in 4% formaldehyde, permeabilized using 0.2% Triton X-100 and blocked in 10% normal Goat Serum. The cells were then incubated with the antibody overnight at 4°C. The secondary antibody was Alexa Fluor 488-congugated AffiniPure Goat Anti-Rabbit IgG(H+L).
-
Overlay Peak curve showing SH-SY5Y cells stained with CSB-RA297595A0HU (red line) at 1:100. The cells were fixed in 4% formaldehyde and permeated by 0.2% TritonX-100 for 10min. Then 10% normal goat serum to block non-specific protein-protein interactions followed by the antibody (1ug/1*106cells) for 45min at 4℃. The secondary antibody used was FITC-conjugated goat anti-rabbit IgG (H+L) at 1/200 dilution for 35min at 4℃.Control antibody (green line) was Rabbit IgG (1ug/1*106cells) used under the same conditions. Acquisition of >10,000 events was performed.
-
-
其他:
產品詳情
-
Uniprot No.:
-
基因名:TBPL1
-
別名:21 kDa TBP-like protein antibody; 21kDa TBP like protein antibody; Second TBP of unique DNA antibody; Second TBP of unique DNA protein antibody; STUD antibody; TATA box binding protein like protein 1 antibody; TATA box binding protein-related factor 2 antibody; TATA box-binding protein-like protein 1 antibody; TATA box-binding protein-related factor 2 antibody; TBP like 1 antibody; TBP like protein antibody; TBP related factor 2 antibody; TBP-like factor antibody; TBP-like protein 1 antibody; TBP-related factor 2 antibody; TBP-related protein antibody; tbpl1 antibody; TBPL1_HUMAN antibody; TLF antibody; TLP antibody; TRF2 antibody
-
反應種屬:Human
-
免疫原:A synthesized peptide derived from human TBPL1
-
免疫原種屬:Homo sapiens (Human)
-
標記方式:Non-conjugated
-
克隆類型:Monoclonal
-
抗體亞型:Rabbit IgG
-
純化方式:Affinity-chromatography
-
克隆號:5G7
-
濃度:It differs from different batches. Please contact us to confirm it.
-
保存緩沖液:Rabbit IgG in 10mM phosphate buffered saline , pH 7.4, 150mM sodium chloride, 0.05% BSA, 0.02% sodium azide and 50% glycerol.
-
產品提供形式:Liquid
-
應用范圍:ELISA, WB, IHC, IF, FC
-
推薦稀釋比:
Application Recommended Dilution WB 1:500-1:2000 IHC 1:50-1:200 IF 1:50-1:200 FC 1:50-1:200 -
Protocols:
-
儲存條件:Upon receipt, store at -20°C or -80°C. Avoid repeated freeze.
-
貨期:Basically, we can dispatch the products out in 1-3 working days after receiving your orders. Delivery time maybe differs from different purchasing way or location, please kindly consult your local distributors for specific delivery time.
-
用途:For Research Use Only. Not for use in diagnostic or therapeutic procedures.
相關產品
靶點詳情
-
功能:Part of a specialized transcription system that mediates the transcription of most ribosomal proteins through the 5'-TCT-3' motif which is a core promoter element at these genes. Seems to also mediate the transcription of NF1. Does not bind the TATA box.
-
基因功能參考文獻:
- TLP Prevents p53 Degradation through Disrupting the p53-MDM2 Interaction. PMID: 28082682
- The interaction of TBP-like protein with TFIIA is essential to suppress proteasome-dependent turnover of TBP-like protein PMID: 27696626
- miR18a exhibits a protective role in colorectal cancer (CRC) via inhibiting proliferation, invasion and migration of CRC cells by directly targeting the TBPL1 gene. PMID: 26398009
- results suggest that activation of the p21 upstream promoter is mediated by interaction between specific regions of TLP and p53 PMID: 24594805
- Western blotting and immunohistochemistry both indicated a higher TBPL1 protein expression level in colorectal cancer tissue. siRNA for TBPL1 transfection obviously slowed down the cell proliferation in both SW-620 and HT-29 cells. PMID: 24870791
- TLP mediates p53-governed transcriptional activation of the p21 upstream promoter. PMID: 22511763
- Data show that during interphase, endogenous or exogenously expressed TRF2 is located almost exclusively in the nucleolus PMID: 15269281
- TLF is a functional regulator of transcription with targets distinct from those of TBP. PMID: 15767669
顯示更多
收起更多
-
亞細胞定位:Cytoplasm. Nucleus.
-
蛋白家族:TBP family
-
組織特異性:Ubiquitously expressed, with highest levels in the testis and ovary.
-
數據庫鏈接:
Most popular with customers
-
-
YWHAB Recombinant Monoclonal Antibody
Applications: ELISA, WB, IHC, IF, FC
Species Reactivity: Human, Mouse, Rat
-
-
-
-
-
-
VDAC1 Recombinant Monoclonal Antibody
Applications: ELISA, WB, IHC
Species Reactivity: Human, Mouse, Rat















