-
中文名稱:SYP重組抗體
-
貨號:CSB-RA023024MA1HU
-
規格:¥1320
-
圖片:
-
Western Blot
Positive WB detected in: A549 whole cell lysatee
All lanes: SYP antibody at 1:500
Secondary
Goat polyclonal to mouse IgG at 1/50000 dilution
Predicted band size: 34 kDa
Observed band size: 34 kDa -
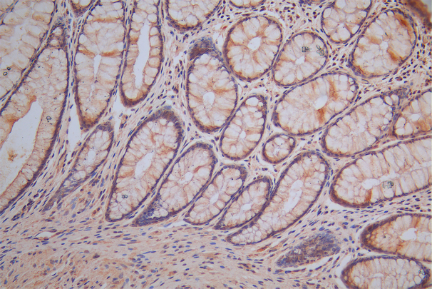
IHC image of CSB-RA023024MA1HU diluted at 1:200 and staining in paraffin-embedded human colorectal cancer performed on a Leica BondTM system. After dewaxing and hydration, antigen retrieval was mediated by high pressure in a citrate buffer (pH 6.0). Section was blocked with 10% normal goat serum 30min at RT. Then primary antibody (1% BSA) was incubated at 4°C overnight. The primary is detected by a Goat anti-Mouse IgG labeled by HRP and visualized using 0.05% DAB.
-
Immunofluorescence staining of Hela cell with CSB-RA023024MA1HU at 1:200, counter-stained with DAPI. The cells were fixed in 4% formaldehyde and blocked in 10% normal Goat Serum. The cells were then incubated with the antibody overnight at 4C. The secondary antibody was FITC-conjugated AffiniPure Goat Anti-Mouse IgG(H+L).
-
-
其他:
產品詳情
-
產品描述:SYP Recombinant Monoclonal Antibody(CSB-RA023024MA1HU)是一款針對突觸素(Synaptophysin,SYP)設計的高特異性抗體,適用于多種實驗平臺。SYP是一種廣泛分布于神經元及神經內分泌細胞突觸前囊泡的跨膜糖蛋白,參與突觸小泡的胞吐調控及神經遞質釋放過程,是研究突觸結構和神經傳遞機制的重要標記物。經嚴格驗證,該抗體在WB實驗中呈現清晰的單一識別條帶,在IHC和IF應用中能精準定位至神經組織或細胞模型的突觸區域,且在不同組織樣本中表現出優異的特異性。推薦稀釋梯度為WB 1:500-1:2000、IHC 1:50-1:200、IF 1:50-1:200,其高批次穩定性確保實驗數據的可重復性。該產品可廣泛應用于神經生物學領域,包括神經元發育研究、突觸功能分析、神經退行性疾病模型構建以及神經內分泌腫瘤的體外標記檢測,為探索神經系統相關分子機制提供可靠工具。
-
Uniprot No.:
-
基因名:SYP
-
別名:SYP Recombinant Monoclonal Antibody
-
反應種屬:Human
-
免疫原:Recombinant Human SYP protein
-
免疫原種屬:Homo sapiens (Human)
-
標記方式:Non-conjugated
-
克隆類型:Monoclonal
-
抗體亞型:mFc2a
-
純化方式:Affinity-chromatography
-
克隆號:2B2
-
濃度:It differs from different batches. Please contact us to confirm it.
-
保存緩沖液:Preservative: 0.03% Proclin 300
Constituents: 50% Glycerol, 0.01M PBS, PH 7.4 -
產品提供形式:Liquid
-
應用范圍:ELISA, WB, IHC, IF
-
推薦稀釋比:
Application Recommended Dilution WB 1:500-1:2000 IHC 1:50-1:200 IF 1:50-1:200 -
Protocols:
-
儲存條件:Upon receipt, store at -20°C or -80°C. Avoid repeated freeze.
-
貨期:Basically, we can dispatch the products out in 1-3 working days after receiving your orders. Delivery time maybe differs from different purchasing way or location, please kindly consult your local distributors for specific delivery time.
-
用途:For Research Use Only. Not for use in diagnostic or therapeutic procedures.
引用文獻
- Differentiation Defect Into GABAergic Neurons in Cerebral Organoids From Autism Patients S Hali, X Yao, G Hao, ZL Jin, K Fu, Y Li,CNS Neuroscience & Therapeutics,2025
相關產品
靶點詳情
-
功能:Possibly involved in structural functions as organizing other membrane components or in targeting the vesicles to the plasma membrane. Involved in the regulation of short-term and long-term synaptic plasticity.
-
基因功能參考文獻:
- Syp can be quantified on circulating tumor cells and that Syp expression correlates with resistance to abiraterone and enzalutamide in castration resistant prostate cancer. PMID: 29289429
- Report of a novel SYP mutation identified in a patient with a severe neurodevelopmental disorder. Mutation does not impact on synaptic vesicles endocytosis or trafficking of common cargoes. However it is unable to support sybII retrieval in synaptophysin knockout neurons. It fully restores plasma membrane levels of sybII, suggesting that activity-dependent trafficking of sybII is specifically affected by this mutation. PMID: 28887151
- The expression of MAP2 and SYP proved most relevant to neurocognitive functioning in HIV-infected patients. PMID: 26637429
- Synaptophysin-positive epithelial proliferations suggest breast neoplasms. PMID: 28630050
- Suggest that INSM1 is valuable for identification of the high-grade thoracic neuroendocrine carcinomas that are sometimes negative for synaptophysin, chromogranin, and CD56. PMID: 28719469
- High synaptophysin expression is associated with neuroendocrine differentiation in colorectal cancer. PMID: 28351413
- Study reveals the presence of two selected neuronal markers, MAP-2 and SYP mRNAs and protein expression, in eutopic endometrium and in endometriotic lesions. PMID: 26604067
- Anomalous expression of all intermediate filament proteins and synaptophysin was found in significant subsets of malignant melanoma. PMID: 26022451
- Docosahexaenoic acid-containing phosphatidylcholines and PSD-95 decrease after loss of synaptophysin and before neuronal loss in patients with Alzheimer's disease. PMID: 25410733
- This study demonstrated that synaptophysin was significantly lower in Down syndrome with Alzheimer disease compared with Down syndrome alone and similar to sporadic Alzheimer disease. PMID: 24927707
- The results of this study suggested that SYP may be primarily associated with ADHD-I and its genetic mechanism may be gender-specific. PMID: 23726717
- The paucity or absence of synaptophysin-positive cells in all three phenotypes of Barrett's mucosa might mirror a sequela of chronic inflammation caused by the particular pathogenic bacteria present in the immediate oesophageal microenvironment. PMID: 23763443
- Data suggest that multi-antibody assay of TTF1, Vimentin, p63 CD56, chromogranin and synaptophysin may be of special value, especially in diagnosing small biopsies. PMID: 23418554
- the author showed that, in cutaneous basal cell carcinoma, the expression of NCAM and c-KIT was high, PDGFRA was intermediate, and chromogranin A and synaptophysin was relatively low PMID: 23292839
- Depressed patients showed significant decreases in synaptophysin (SYN) and VGLUT1 expression. PMID: 23022470
- Lower levels of synaptophysin were found in the visual cortex of dementia with Lewy bodies patients compared to controls. PMID: 23242284
- Normal goblet cells found in duodenal adenomas express synaptophysin. PMID: 22843923
- The data of this study suggested that the common polymorphisms of the SYP gene appear not to play a major role in conferring susceptibility to schizophrenia. PMID: 22348818
- This is the first report of immunoreactivity for inhibin-alpha and synaptophysin in synovial sarcoma PMID: 22055401
- NCAM1, SYPT and CGA expressions are differently regulated by neuroendocrine phenotype-specific transcription factors in lung cancer cells. PMID: 22449227
- Finding that synaptophysin is produced by Paneth cells adds new information which might help to unravel the riddle of the ultimate biological significance of these puzzling cells. PMID: 22210727
- The expression of synaptophysin and GAD67 was downregulated in the basolateral nucleus of schizophrenics. PMID: 22099865
- Prescence of of APOEepsilon4 allele and MAPT H2 haplotype in frontotemporal lobar degeneration had a significant influence on the expression of synaptophysin and SNAP-25 PMID: 21073671
- Significant decreases in synaptophysin levels are observed in hippocampal neurons from Alzheimer's disease patients. PMID: 20847448
- during prenatal development synaptophysin expression increased gradually in the red nucleus PMID: 12077483
- we have identified a functional binding site for REST in the first intron of the human synaptophysin gene indicating that REST blocks human synaptophysin gene transcription through an intronic neuron-specific silencer element. PMID: 12492469
- AP180 had an overall expression similar to synaptophysin, the immunoreactivity for the two proteins did not always co-localize. PMID: 12493563
- This protein was found in cells of adrenal cortical neoplasms. PMID: 12575533
- expression and localization of chromogranin A (CgA), chromogranin B (CgB), synaptophysin, and insulin were ultrastructurally studied with the immunogold technique in porcine and human pancreatic islet neuroendocrine cells PMID: 12826904
- Synaptophysin immunoreactivity was significantly reduced in both the inner and outer molecular layers of the dentate gyrus (both p<0.01 by paired t-test), but not in the hilus. In contrast to patients with schizophrenia. PMID: 15694236
- Synaptophysin was absent near neurons bearing clusters of oligomer Abeta, suggesting that accumulated oligomer Abeta, but not fibrillar Abeta, is closely associated with synaptic failure, a major cause of cognitive dysfunction. PMID: 16721760
- Results describe patterns of synaptophysin protein and mRNA expression in the human hippocampal formation from birth to old age. PMID: 16807900
- Synaptophysin regulates micro-opioid receptor trafficking and signaling. PMID: 17005904
- Overexpression of Synaptophysin is associated with squamous carcinoma and adenocarcinoma of the lung PMID: 17724707
- synaptophysin levels slowly increased from birth until age 5 and then increased more rapidly to peak in late childhood around age 10 then decrease until the adult level was reached by age 16 PMID: 17916412
- Synaptophysin(SYN) was correlated with mini-mental status examination scores. Frontal cortex SYN protein levels may protect neuronal function in oldest-old individuals and reflect compensatory responses that may be involved with maintaining cognition. PMID: 18006193
- Chromogranin A-, serotonin-, synaptophysin- and vascular endothelial growth factor-positive endocrine cells and the prognosis of colorectal cancer: an immunohistochemical and ultrastructural study. PMID: 18771509
- Additional immunohistochemical detection of neuroendocrine differentiation (chromogranin-A, synaptophysin, and neural-cell adhesion molecule) in non-small cell lung cancer is presently not of prognostic importance. PMID: 19652998
- Chromogranin A, synaptophysin and CK 20 were not expressed in any basal cell carcinoma PMID: 19724850
顯示更多
收起更多
-
相關疾?。?/div>Mental retardation, X-linked 96 (MRX96)亞細胞定位:Cytoplasmic vesicle, secretory vesicle, synaptic vesicle membrane; Multi-pass membrane protein. Cell junction, synapse, synaptosome.蛋白家族:Synaptophysin/synaptobrevin family組織特異性:Expressed in the brain, with expression in the hippocampus, the neuropil in the dentate gyrus, where expression is higher in the outer half of the molecular layer than in the inner half, and in the neuropil of CA4 and CA3.數據庫鏈接:
Most popular with customers
-
-
YWHAB Recombinant Monoclonal Antibody
Applications: ELISA, WB, IHC, IF, FC
Species Reactivity: Human, Mouse, Rat
-
Phospho-YAP1 (S127) Recombinant Monoclonal Antibody
Applications: ELISA, WB, IHC
Species Reactivity: Human
-
-
-
-
-















