STOML2 Recombinant Monoclonal Antibody
-
中文名稱:STOML2 Recombinant Monoclonal Antibody
-
貨號:CSB-RA040491A0HU
-
規格:¥1320
-
圖片:
-
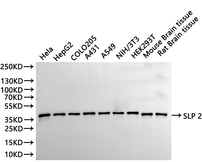
Western Blot
Positive WB detected in: Hela whole cell lysate(30μg), HepG2 whole cell lysate(30μg), COLO-205 whole cell lysate(30μg), A431 whole cell lysate(30μg), A549 whole cell lysate(30μg), SH-SY5Y whole cell lysate(30μg), HEK293T whole cell lysate(30μg), Mouse brain tissue lysate(30μg), Rat brain tissue lysate(30μg)
All lanes:SLP 2 antibody at 1:1000
Secondary
Goat polyclonal to rabbit IgG at 1/40000 dilution
Predicted band size: 39 kDa
Observed band size: 39 kDa
Exposure time:30s -
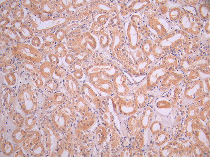
IHC image of CSB-RA040491A0HU diluted at 1:100 and staining in paraffin-embedded human kidney tissue performed on a Leica BondTM system. After dewaxing and hydration, antigen retrieval was mediated by high pressure in a citrate buffer (pH 6.0). Section was blocked with 10% normal goat serum 30min at RT. Then primary antibody (1% BSA) was incubated at 4°C overnight. The primary is detected by a Goat anti-rabbit polymer IgG labeled by HRP and visualized using 0.05% DAB.
-
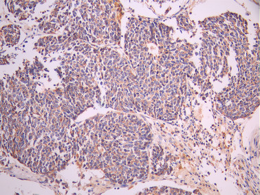
IHC image of CSB-RA040491A0HU diluted at 1:100 and staining in paraffin-embedded human lung cancer performed on a Leica BondTM system. After dewaxing and hydration, antigen retrieval was mediated by high pressure in a citrate buffer (pH 6.0). Section was blocked with 10% normal goat serum 30min at RT. Then primary antibody (1% BSA) was incubated at 4°C overnight. The primary is detected by a Goat anti-rabbit polymer IgG labeled by HRP and visualized using 0.05% DAB.
-
-
其他:
產品詳情
-
Uniprot No.:
-
基因名:
-
別名:EPB72 like protein 2 antibody; EPB72-like protein 2 antibody; HSPC108 antibody; OTTHUMP00000021320 antibody; Paraprotein target 7 antibody; Paratarg 7 antibody; SLP 2 antibody; SLP-2 antibody; SLP2 antibody; STML2_HUMAN antibody; Stomatin (EPB72) like 2 antibody; Stomatin like 2 antibody; Stomatin like protein 2 antibody; Stomatin like protein 2, mitochondrial antibody; Stomatin-like protein 2 antibody; STOML2 antibody
-
反應種屬:Human, Mouse, Rat
-
免疫原:A synthesized peptide from human STOML2 protein
-
免疫原種屬:Homo sapiens (Human)
-
標記方式:Non-conjugated
-
克隆類型:Monoclonal
-
抗體亞型:Rabbit IgG
-
純化方式:Affinity-chromatography
-
克隆號:4B4
-
濃度:It differs from different batches. Please contact us to confirm it.
-
保存緩沖液:Rabbit IgG in 10mM phosphate buffered saline , pH 7.4, 150mM sodium chloride, 0.05% BSA, 0.02% sodium azide and 50% glycerol.
-
產品提供形式:Liquid
-
應用范圍:ELISA, WB, IHC
-
推薦稀釋比:
Application Recommended Dilution WB 1:500-1:5000 IHC 1:50-1:200 -
Protocols:
-
儲存條件:Upon receipt, store at -20°C or -80°C. Avoid repeated freeze.
-
貨期:Basically, we can dispatch the products out in 1-3 working days after receiving your orders. Delivery time maybe differs from different purchasing way or location, please kindly consult your local distributors for specific delivery time.
-
用途:For Research Use Only. Not for use in diagnostic or therapeutic procedures.
相關產品
靶點詳情
-
功能:Mitochondrial protein that probably regulates the biogenesis and the activity of mitochondria. Stimulates cardiolipin biosynthesis, binds cardiolipin-enriched membranes where it recruits and stabilizes some proteins including prohibitin and may therefore act in the organization of functional microdomains in mitochondrial membranes. Through regulation of the mitochondrial function may play a role into several biological processes including cell migration, cell proliferation, T-cell activation, calcium homeostasis and cellular response to stress. May play a role in calcium homeostasis through negative regulation of calcium efflux from mitochondria. Required for mitochondrial hyperfusion a pro-survival cellular response to stress which results in increased ATP production by mitochondria. May also regulate the organization of functional domains at the plasma membrane and play a role in T-cell activation through association with the T-cell receptor signaling complex and its regulation.
-
基因功能參考文獻:
- TROP-2, SLP-2 and CD56 were effective diagnostic markers for PTC, especially when they were combined to use. PMID: 29951933
- Data show that SLP-2 is upregulated by high cisplatin concentrations, leading to increased protein turnover. Overexpression of SLP-2 activates the MEK/ERK signaling pathway, and suppresses the mitochondrial apoptosis pathway, indicating that SLP-2 inhibits apoptosis by activating the MEK/ERK pathway and inhibiting the mitochondrial apoptosis pathway in cervical cancer cells. PMID: 29516570
- The expression of STOML2, a gene that plays a key role in mitochondrial function and T-cell activation, is associated with both IL-6 signaling and asthma risk. PMID: 26932604
- results reveal an important role of SLP2 membrane scaffolds for the spatial organization of inner membrane proteases regulating mitochondrial dynamics, quality control, and cell survival. PMID: 27737933
- Slp2 is involved in endometrial stromal cell proliferation and differentiation during decidualization in mice and humans PMID: 27986413
- The significant association of SLP-2 overexpression with unfavorable clinicopathological characteristics and BRAFV600E mutation indicates that SLP-2 may have a role in aggressiveness of BRAF-mutated papillary thyroid carcinoma. PMID: 26750533
- Stomatin-like protein 2 is overexpressed in epithelial ovarian cancer and predicts poor patient survival PMID: 26487491
- STOML2 was correlated to progression in cervical cancer, and implicated it as a potential predictive factor for the prognosis of cervical cancer. PMID: 25973071
- Our study showed that STOML-2 was negatively regulated by miR1207-5p in esophageal carcinoma PMID: 25695396
- SLP-2 was upregulated by TGF-beta1, indicating a possible role of SLP-2 in Papillary thyroid cancer tumorigenesis. PMID: 24190591
- STOML2 may have a role in progression of gastric adenocarcinoma PMID: 24258357
- Increased levels of SLP-2 correlate with lymph node metastasis in gastric cancer. PMID: 23371255
- SLP-2 may play an important role in human GBC tumorigenesis, and SLP-2 might serve as a novel prognostic marker in human GBC. PMID: 23918306
- Expression of SLP-2 is associated with invasion of esophageal squamous cell carcinoma. PMID: 23667687
- SLP-2 deficiency in T-lymphocytes is associated with abnormal cardiolipin compartmentalization in mitochondrial membranes, defects associated with altered mitochondrial respiration that is increasingly uncoupled from ATP production. PMID: 23028053
- [review] Stomatin family member STOML2 is oligomeric; it localizes mostly to membrane domains and has been shown to modulate ion channel activity. PMID: 21501885
- SLP-2 facilitates the compartmentalization not only of mitochondrial membranes but also of the plasma membrane into functional microdomains. PMID: 22623988
- investigation of biomarkers for early diagnosis of endometriosis: Data suggest that SLP2, tropomyosin 3, and tropomodulin 3 are autoantigens present in blood of women with endometriosis; immunodominant epitopes were identified. PMID: 22158085
- SLP-2 and HER2/neu can play a role in lymph node/distant metastases of breast cancers PMID: 22081131
- We propose that the function of SLP-2 is to recruit prohibitins to cardiolipin to form cardiolipin-enriched microdomains in which electron transport complexes are optimally assembled. PMID: 21746876
- plasma concentrations of stomatin (EPB72)-like 2 in early-stage colorectal cancer patients were elevated as compared with those of healthy individuals PMID: 21209152
- The dominant inheritance of hyperphosphorylated paratarg-7 explains cases of familial IgM monoclonal gammopathy of undetermined significance and Waldenstrom macroglobulinemia PMID: 21220746
- negatively modulates mitochondrial sodium-calcium exchange PMID: 19944461
- SLP-2 overexpression is associated with tumour distant metastasis and poor prognosis in pulmonary squamous cell carcinoma. PMID: 19839737
- overexpression of stomatin-like protein 2 is associated with neoplasms PMID: 16533792
- SLP-2 is a high abundance protein in several tissues and cells and may play an important biological role; this study uses mass spectrometry to analyze its primary structure PMID: 16671055
- SLP-2 was overexpressed in endometrial adenocarcinoma compared with their normal counterparts. PMID: 17342323
- High-level SLP-2 expression was associated with decreased overall survival (P = .011) and was more often found in patients with tumors larger than 20 mm, lymph node metastasis, advanced clinical stage, distant metastasis PMID: 17709317
- SLP-2 is an important player in T cell activation by ensuring sustained TCR signaling PMID: 18641330
- Familial MGUS and multiple myeloma were associated with a dominant inheritance of hyperphosphorylated paratarg-7 PMID: 19767238
- Endosymbiotic origin of paraslipin from an alphaprotoebacterial ancestor (SLP-2) PMID: 18267007
顯示更多
收起更多
-
亞細胞定位:Cell membrane; Peripheral membrane protein. Mitochondrion. Mitochondrion inner membrane; Lipid-anchor. Mitochondrion intermembrane space. Membrane raft. Cytoplasm, cytoskeleton.
-
蛋白家族:Band 7/mec-2 family
-
組織特異性:Ubiquitously expressed at low levels. Expressed in lymphoid tissues (at protein level).
-
數據庫鏈接:
Most popular with customers
-
-
YWHAB Recombinant Monoclonal Antibody
Applications: ELISA, WB, IHC, IF, FC
Species Reactivity: Human, Mouse, Rat
-
Phospho-YAP1 (S127) Recombinant Monoclonal Antibody
Applications: ELISA, WB, IHC
Species Reactivity: Human
-
-
-
-
-















