STAT5A/STAT5B Recombinant Monoclonal Antibody
-
中文名稱:STAT5A/STAT5B Recombinant Monoclonal Antibody
-
貨號:CSB-RA915422A0HU
-
規格:¥1320
-
圖片:
-
Western Blot
Positive WB detected in: THP-1 whole cell lysate(20μg), A549 whole cell lysate(20μg),K-562 whole cell lysate(20μg),Hela whole cell lysate(20μg),NIH/3T3 whole cell lysate(20μg),JURKAT whole cell lysate(20μg), Mouse liver tissue lysate(20μg)
All lanes: STAT5A/B antibody at 1:1000
Secondary
Goat polyclonal to rabbit IgG at 1/40000 dilution
Predicted band size: 90 kDa
Observed band size: 102 kDa
Exposure time:40s -
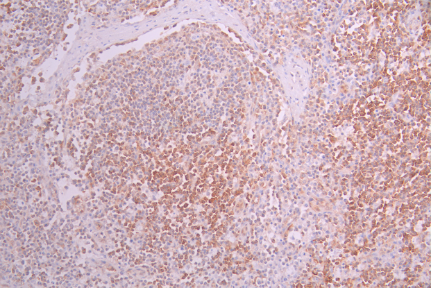
IHC image of CSB-RA915422A0HU diluted at 1:100 and staining in paraffin-embedded human lymph node tissue performed on a Leica BondTM system. After dewaxing and hydration, antigen retrieval was mediated by high pressure in a citrate buffer (pH 6.0). Section was blocked with 10% normal goat serum 30min at RT. Then primary antibody (1% BSA) was incubated at 4°C overnight. The primary is detected by a Goat anti-rabbit polymer IgG labeled by HRP and visualized using 0.05% DAB.
-
-
其他:
產品詳情
-
Uniprot No.:
-
基因名:STAT5A/STAT5B
-
別名:STAT5A; STAT5; Signal transducer and activator of transcription 5A; STAT5B; Signal transducer and activator of transcription 5B
-
反應種屬:Human, Mouse
-
免疫原:A synthesized peptide derived from human STAT5A/STAT5B
-
免疫原種屬:Homo sapiens (Human)
-
標記方式:Non-conjugated
-
克隆類型:Monoclonal
-
抗體亞型:Rabbit IgG
-
純化方式:Affinity-chromatography
-
克隆號:3H9
-
濃度:It differs from different batches. Please contact us to confirm it.
-
保存緩沖液:Rabbit IgG in 10mM phosphate buffered saline , pH 7.4, 150mM sodium chloride, 0.05% BSA, 0.02% sodium azide and 50% glycerol.
-
產品提供形式:Liquid
-
應用范圍:ELISA, WB, IHC
-
推薦稀釋比:
Application Recommended Dilution WB 1:500-1:2000 IHC 1:50-1:200 -
Protocols:
-
儲存條件:Upon receipt, store at -20°C or -80°C. Avoid repeated freeze.
-
貨期:Basically, we can dispatch the products out in 1-3 working days after receiving your orders. Delivery time maybe differs from different purchasing way or location, please kindly consult your local distributors for specific delivery time.
-
用途:For Research Use Only. Not for use in diagnostic or therapeutic procedures.
相關產品
Most popular with customers
-
-
YWHAB Recombinant Monoclonal Antibody
Applications: ELISA, WB, IHC, IF, FC
Species Reactivity: Human, Mouse, Rat
-
Phospho-YAP1 (S127) Recombinant Monoclonal Antibody
Applications: ELISA, WB, IHC
Species Reactivity: Human
-
-
-
-
-















