SNX5 Recombinant Monoclonal Antibody
-
中文名稱:SNX5 Recombinant Monoclonal Antibody
-
貨號:CSB-RA976720A0HU
-
規格:¥1320
-
圖片:
-
Western Blot
Positive WB detected in: A431 whole cell lysate(30μg), A549 whole cell lysate(30μg), MCF-7 whole cell lysate(30μg), Rat brain tissue lysate(30μg)
All lanes: Sorting nexin 5 antibody at 1:1000
Secondary
Goat polyclonal to rabbit IgG at 1/40000 dilution
Predicted band size: 47 kDa
Observed band size: 47 kDa
Exposure time:3min -
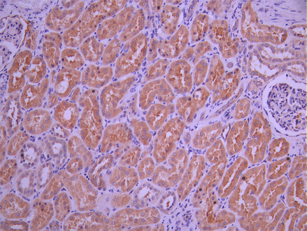
IHC image of CSB-RA976720A0HU diluted at 1:100 and staining in paraffin-embedded human kidney tissue performed on a Leica BondTM system. After dewaxing and hydration, antigen retrieval was mediated by high pressure in a citrate buffer (pH 6.0). Section was blocked with 10% normal goat serum 30min at RT. Then primary antibody (1% BSA) was incubated at 4°C overnight. The primary is detected by a Goat anti-rabbit polymer IgG labeled by HRP and visualized using 0.05% DAB.
-
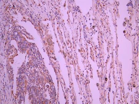
IHC image of CSB-RA976720A0HU diluted at 1:100 and staining in paraffin-embedded human lung cancer performed on a Leica BondTM system. After dewaxing and hydration, antigen retrieval was mediated by high pressure in a citrate buffer (pH 6.0). Section was blocked with 10% normal goat serum 30min at RT. Then primary antibody (1% BSA) was incubated at 4°C overnight. The primary is detected by a Goat anti-rabbit polymer IgG labeled by HRP and visualized using 0.05% DAB.
-
-
其他:
產品詳情
-
Uniprot No.:
-
基因名:
-
別名:0910001N05Rik antibody; 1810032P22Rik antibody; AU019504 antibody; D2Ertd52e antibody; FLJ10931 antibody; OTTHUMP00000030340 antibody; OTTHUMP00000062927 antibody; OTTMUSP00000003367 antibody; OTTMUSP00000003368 antibody; RP11-504H3.2 antibody; RP23-35E16.2 antibody; snoRNA MBI-43 antibody; SNX 5 antibody; SNX5 antibody; SNX5_HUMAN antibody; Sorting nexin 5 antibody; Sorting nexin-5 antibody
-
反應種屬:Human, Rat
-
免疫原:A synthesized peptide from human SNX5 protein
-
免疫原種屬:Homo sapiens (Human)
-
標記方式:Non-conjugated
-
克隆類型:Monoclonal
-
抗體亞型:Rabbit IgG
-
純化方式:Affinity-chromatography
-
克隆號:5E3
-
濃度:It differs from different batches. Please contact us to confirm it.
-
保存緩沖液:Rabbit IgG in 10mM phosphate buffered saline , pH 7.4, 150mM sodium chloride, 0.05% BSA, 0.02% sodium azide and 50% glycerol.
-
產品提供形式:Liquid
-
應用范圍:ELISA, WB, IHC
-
推薦稀釋比:
Application Recommended Dilution WB 1:500-1:5000 IHC 1:50-1:200 -
Protocols:
-
儲存條件:Upon receipt, store at -20°C or -80°C. Avoid repeated freeze.
-
貨期:Basically, we can dispatch the products out in 1-3 working days after receiving your orders. Delivery time maybe differs from different purchasing way or location, please kindly consult your local distributors for specific delivery time.
-
用途:For Research Use Only. Not for use in diagnostic or therapeutic procedures.
相關產品
靶點詳情
-
功能:Involved in several stages of intracellular trafficking. Interacts with membranes containing phosphatidylinositol 3-phosphate (PtdIns(3P)) or phosphatidylinositol 3,4-bisphosphate (PtdIns(3,4)P2). Acts in part as component of the retromer membrane-deforming SNX-BAR subcomplex. The SNX-BAR retromer mediates retrograde transport of cargo proteins from endosomes to the trans-Golgi network (TGN) and is involved in endosome-to-plasma membrane transport for cargo protein recycling. The SNX-BAR subcomplex functions to deform the donor membrane into a tubular profile called endosome-to-TGN transport carrier (ETC) (Probable). Does not have in vitro vesicle-to-membrane remodeling activity. Involved in retrograde transport of lysosomal enzyme receptor IGF2R. May function as link between endosomal transport vesicles and dynactin (Probable). Plays a role in the internalization of EGFR after EGF stimulation (Probable). Involved in EGFR endosomal sorting and degradation; the function involves PIP5K1C isoform 3 and is retromer-independent. Together with PIP5K1C isoform 3 facilitates HGS interaction with ubiquitinated EGFR, which initiates EGFR sorting to intraluminal vesicles (ILVs) of the multivesicular body for subsequent lysosomal degradation (Probable). Involved in E-cadherin sorting and degradation; inhibits PIP5K1C isoform 3-mediated E-cadherin degradation. Plays a role in macropinocytosis.
-
基因功能參考文獻:
- High SNX5 expression is associated with alphavirus infections. PMID: 29743363
- sorting nexin 5 (SNX5), a component of the retromer and part of the retrograde transport pathway, interacts with UL35 proteins. binding of UL35 proteins to SNX5 was required for efficient viral replication and for transport of the most abundant cytomegalovirus glycoprotein B to the cytoplasmic viral assembly center. PMID: 29444945
- The Chlamydia trachomatis IncE binding site is unique to human SNX5 and related family members SNX6 and SNX32. PMID: 28226239
- Sorting nexin 5 and dopamine d1 receptor regulate the expression of the insulin receptor in human renal proximal tubule cells PMID: 25825816
- internalization of agonist-activated D1R is regulated by both SNX5 and GRK4, and that SNX5 is critical to the recycling of the receptor to the plasma membrane PMID: 23195037
- Data indicate induction of caspase-2 by sorting nexin 5 (SNX5) in papillary thyroid carcinoma PMID: 22486813
- SNX5 is localized to a subdomain of the early endosomes and is recruited to the cell membrane following EGF stimulation. PMID: 15561769
- SNX5 and SNX6 may constitute functional equivalents of Vps17p in mammalian retromer PMID: 17148574
- DOCK180 regulates CI-MPR trafficking via SNX5 and this function is independent of its guanine nucleotide exchange factor activity toward Rac1 PMID: 18596235
顯示更多
收起更多
-
亞細胞定位:Endosome. Early endosome. Early endosome membrane; Peripheral membrane protein; Cytoplasmic side. Cell membrane; Peripheral membrane protein; Cytoplasmic side. Cytoplasmic vesicle membrane; Peripheral membrane protein; Cytoplasmic side. Cytoplasm. Cell projection, phagocytic cup. Cell projection, ruffle.
-
蛋白家族:Sorting nexin family
-
數據庫鏈接:
Most popular with customers
-
-
YWHAB Recombinant Monoclonal Antibody
Applications: ELISA, WB, IHC, IF, FC
Species Reactivity: Human, Mouse, Rat
-
Phospho-YAP1 (S127) Recombinant Monoclonal Antibody
Applications: ELISA, WB, IHC
Species Reactivity: Human
-
-
-
-
-















