SMARCE1 Recombinant Monoclonal Antibody
-
中文名稱:SMARCE1 Recombinant Monoclonal Antibody
-
貨號:CSB-RA242217A0HU
-
規格:¥1320
-
圖片:
-
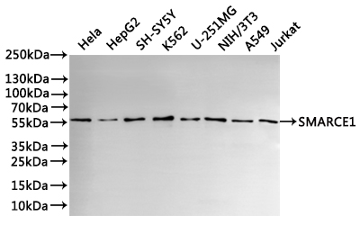
Western Blot
Positive WB detected in: Hela whole cell lysate(30μg), HepG2 whole cell lysate(30μg), SH-SY5Y whole cell lysate(30μg), K562 whole cell lysate(30μg), whole cell lysate(30μg), U-251MG whole cell lysate(30μg), NIH/3T3 whole cell lysate(30μg), A549 whole cell lysate(30μg), Jurkat whole cell lysate(30μg)
All lanes: SMARCE1 antibody at 1:1000
Secondary
Goat polyclonal to rabbit IgG at 1/40000 dilution
Predicted band size: 47 kDa
Observed band size: 57 kDa
Exposure time:3min -
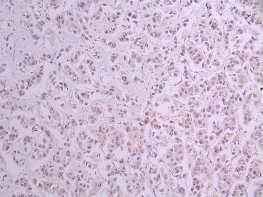
IHC image of CSB-RA242217A0HU diluted at 1:100 and staining in paraffin-embedded human breast cancer performed on a Leica BondTM system. After dewaxing and hydration, antigen retrieval was mediated by high pressure in a citrate buffer (pH 6.0). Section was blocked with 10% normal goat serum 30min at RT. Then primary antibody (1% BSA) was incubated at 4°C overnight. The primary is detected by a Goat anti-rabbit polymer IgG labeled by HRP and visualized using 0.05% DAB.
-
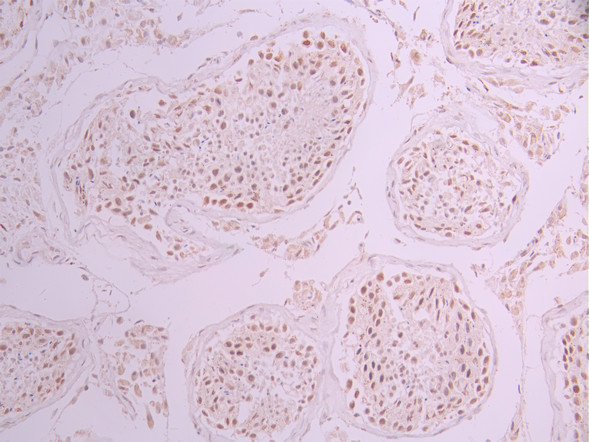
IHC image of CSB-RA242217A0HU diluted at 1:100 and staining in paraffin-embedded human testis tissue performed on a Leica BondTM system. After dewaxing and hydration, antigen retrieval was mediated by high pressure in a citrate buffer (pH 6.0). Section was blocked with 10% normal goat serum 30min at RT. Then primary antibody (1% BSA) was incubated at 4°C overnight. The primary is detected by a Goat anti-rabbit polymer IgG labeled by HRP and visualized using 0.05% DAB.
-
Immunofluorescence staining of A549 cell with CSB-RA242217A0HU at 1:50, counter-stained with DAPI. The cells were fixed in 4% formaldehyde, permeabilized using 0.2% Triton X-100 and blocked in 10% normal Goat Serum. The cells were then incubated with the antibody overnight at 4°C. The secondary antibody was Alexa Fluor 488-congugated AffiniPure Goat Anti-Rabbit IgG(H+L).
-
Overlay Peak curve showing SH-SY5Y cells stained with CSB-RA242217A0HU (red line) at 1:100. The cells were fixed in 4% formaldehyde and permeated by 0.2% TritonX-100 for 10min. Then 10% normal goat serum to block non-specific protein-protein interactions followed by the antibody (1ug/1*106cells) for 45min at 4℃. The secondary antibody used was FITC-conjugated goat anti-rabbit IgG (H+L) at 1/200 dilution for 35min at 4℃.Control antibody (green line) was Rabbit IgG (1ug/1*106cells) used under the same conditions. Acquisition of >10,000 events was performed.
-
-
其他:
產品詳情
-
Uniprot No.:
-
基因名:SMARCE1
-
別名:SWI/SNF-related matrix-associated actin-dependent regulator of chromatin subfamily E member 1 (BRG1-associated factor 57) (BAF57), SMARCE1, BAF57
-
反應種屬:Human
-
免疫原:Recombinant Antibody
-
免疫原種屬:Homo sapiens (Human)
-
標記方式:Non-conjugated
-
克隆類型:Monoclonal
-
抗體亞型:Rabbit IgG
-
純化方式:Affinity-chromatography
-
克隆號:18A8
-
濃度:It differs from different batches. Please contact us to confirm it.
-
保存緩沖液:Preservative: 0.03% Proclin 300
Constituents: 50% Glycerol, 0.01M PBS, PH 7.4 -
產品提供形式:Liquid
-
應用范圍:ELISA, WB, IHC, IF, FC
-
推薦稀釋比:
Application Recommended Dilution WB 1:500-1:5000 IHC 1:50-1:200 IF 1:50-1:200 FC 1:50-1:200 -
Protocols:
-
儲存條件:Upon receipt, store at -20°C or -80°C. Avoid repeated freeze.
-
貨期:Basically, we can dispatch the products out in 1-3 working days after receiving your orders. Delivery time maybe differs from different purchasing way or location, please kindly consult your local distributors for specific delivery time.
-
用途:For Research Use Only. Not for use in diagnostic or therapeutic procedures.
相關產品
靶點詳情
-
功能:Involved in transcriptional activation and repression of select genes by chromatin remodeling (alteration of DNA-nucleosome topology). Component of SWI/SNF chromatin remodeling complexes that carry out key enzymatic activities, changing chromatin structure by altering DNA-histone contacts within a nucleosome in an ATP-dependent manner. Belongs to the neural progenitors-specific chromatin remodeling complex (npBAF complex) and the neuron-specific chromatin remodeling complex (nBAF complex). During neural development a switch from a stem/progenitor to a postmitotic chromatin remodeling mechanism occurs as neurons exit the cell cycle and become committed to their adult state. The transition from proliferating neural stem/progenitor cells to postmitotic neurons requires a switch in subunit composition of the npBAF and nBAF complexes. As neural progenitors exit mitosis and differentiate into neurons, npBAF complexes which contain ACTL6A/BAF53A and PHF10/BAF45A, are exchanged for homologous alternative ACTL6B/BAF53B and DPF1/BAF45B or DPF3/BAF45C subunits in neuron-specific complexes (nBAF). The npBAF complex is essential for the self-renewal/proliferative capacity of the multipotent neural stem cells. The nBAF complex along with CREST plays a role regulating the activity of genes essential for dendrite growth. Required for the coactivation of estrogen responsive promoters by SWI/SNF complexes and the SRC/p160 family of histone acetyltransferases (HATs). Also specifically interacts with the CoREST corepressor resulting in repression of neuronal specific gene promoters in non-neuronal cells.
-
基因功能參考文獻:
- High SMARCE1 expression is associated with eventual relapse and metastasis in breast cancer. PMID: 28377514
- miR-29a promotes hepatitis B virus (HBV) replication and expression through regulating SMARCE1 in HBV-infected HepG2.2.15 cells. PMID: 28740345
- We report here three additional individuals with clinical features consistent with CSS and alterations in SMARCE1, one of which is novel. The probands all exhibited dysmorphic facial features, moderate developmental and cognitive delay, poor growth, and hypoplastic digital nails/phalanges, including digits not typically affected in the other genes associated with CSS. PMID: 27264197
- SMARCE1 mutational hits, including novel SMARCE1 mutations, were found in six of eight tested patients with clear cell meningioma PMID: 27891692
- An exhaustive analysis of the BAF57 molecular and biochemical properties, cellular functions, loss-of-function phenotypes in living organisms and pathological manifestations in cases of human mutations. [review] PMID: 27149204
- a family with a pediatric CCM patient and an adult CCM patient and several asymptomatic relatives carrying a germline SMARCE1 mutation. PMID: 26803492
- Addition of the EGFR inhibitor gefitinib restores the sensitivity of SMARCE1-knockdown cells to MET and ALK inhibitors in NSCLCs. Our findings link SMARCE1 to EGFR oncogenic signaling and suggest targeted treatment options for SMARCE1-deficient tumors. PMID: 25656847
- The results suggested that BAF57 is involved in ovarian cancer cell growth and sensitivity to anticancer agents, and that BAF57 may be a target for ovarian cancer therapy. PMID: 25611552
- BAF complex gene SMARCE1 is mutated in Coffin-Siris syndrome patients. PMID: 25081545
- Genotype-phenotype correlation of Coffin-Siris syndrome caused by mutations in SmarCE1 gene. PMID: 25168959
- Since both TTF1 and SMARCE1 are involved in chromatin remodeling, our results imply an epigenetic regulatory mechanism for T-cell recruitment that invites deciphering. PMID: 24880093
- these results demonstrate that loss of SMARCE1 is relevant to cranial as well as spinal meningiomas PMID: 25143307
- Data indicate that BAF57 deregulation predisposes to metastasis. PMID: 23493350
- Our findings identify multiple-spinal-meningioma disease as a new discrete entity and establish a key role for the SWI/SNF complex in the pathogenesis of both meningiomas and tumors with clear-cell histology. PMID: 23377182
- mutations in BAF57 could impinge on several oncogenic signaling pathways contributing to the origin and/or development of breast cancer. PMID: 21465167
- BAF57 expression was significantly associated with the surgical stage, grade of the tumor, myometrial invasion, lympho-vascular space invasion and lymph node metastasis in 111 endometrial carcinomas. PMID: 22419023
- Knockdown of BAF57 resulted in an accumulation of cells in the G(2)-M phase, inhibition of colony formation, and impaired growth in soft agar. Knockdown of BAF57 also caused transcriptional misregulation of various cell cycle-related gene. PMID: 20460533
- BAF57-mediated cell death is associated with up-regulation of proapoptotic genes including the tumor suppressor familial cylindromatosis (CYLD), which is found to be a direct target of BAF57. PMID: 16135788
- BAF57 is a critical regulator of estrogen receptor function in breast cancer cells PMID: 16769725
- Ability of SMARCE 1 in modulating the replication efficiency of HBV. PMID: 17669635
顯示更多
收起更多
-
相關疾?。?/div>Meningioma (MNGMA); Coffin-Siris syndrome 5 (CSS5)亞細胞定位:Nucleus.數據庫鏈接:
Most popular with customers
-
-
Phospho-YAP1 (S127) Recombinant Monoclonal Antibody
Applications: ELISA, WB, IHC
Species Reactivity: Human
-
-
-
-
-
-















