SMARCC1 Recombinant Monoclonal Antibody
-
中文名稱:SMARCC1 Recombinant Monoclonal Antibody
-
貨號:CSB-RA252590A0HU
-
規格:¥1320
-
圖片:
-
Western Blot
, Positive WB detected in: Jurkat whole cell lysate(30μg), SH-SY5Y whole cell lysate(30μg), colo205 whole cell lysate(30μg), A431 whole cell lysate(30μg)
All lanes: SMARCC1 antibody at 1:1000
Secondary
Goat polyclonal to rabbit IgG at 1/40000 dilution
Predicted band size: 123 kDa
Observed band size: 155 kDa
Exposure time:120s -
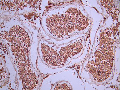
IHC image of CSB-RA252590A0HU diluted at 1:100 and staining in paraffin-embedded human testis tissue performed on a Leica BondTM system. After dewaxing and hydration, antigen retrieval was mediated by high pressure in a citrate buffer (pH 6.0). Section was blocked with 10% normal goat serum 30min at RT. Then primary antibody (1% BSA) was incubated at 4°C overnight. The primary is detected by a Goat anti-rabbit polymer IgG labeled by HRP and visualized using 0.05% DAB.
-
Immunofluorescence staining of Hela cell with CSB-RA252590A0HU at 1:50 , counter-stained with DAPI. The cells were fixed in 4% formaldehyde, permeabilized using 0.2% Triton X-100 and blocked in 10% normal Goat Serum. The cells were then incubated with the antibody overnight at 4°C. The secondary antibody was Alexa Fluor 488-congugated AffiniPure Goat Anti-Rabbit IgG(H+L).
-
Overlay Peak curve showing SH-SY5Y cells stained with CSB-RA252590A0HU (red line) at 1:100. The cells were fixed in 4% formaldehyde and permeated by 0.2% TritonX-100 for 10min. Then 10% normal goat serum to block non-specific protein-protein interactions followed by the antibody (1ug/1*106cells) for 45min at 4℃. The secondary antibody used was FITC-conjugated goat anti-rabbit IgG (H+L) at 1/200 dilution for 35min at 4℃.Control antibody (green line) was Rabbit IgG (1ug/1*106cells) used under the same conditions. Acquisition of >10, 000 events was performed.
-
-
其他:
產品詳情
-
Uniprot No.:
-
基因名:SMARCC1
-
別名:AI115498 antibody; BAF 155 antibody; BAF155 antibody; BRG 1 associated factor 155 antibody; BRG1 associated factor 155 antibody; BRG1-associated factor 155 antibody; Chromatin remodeling complex BAF155 subunit antibody; CRACC 1 antibody; CRACC1 antibody; Mammalian chromatin remodeling complex BRG 1 associated factor 155 antibody; Mammalian chromatin remodeling complex BRG1 associated factor 155 antibody; Rsc 8 antibody; Rsc8 antibody; SMARC C1 antibody; SMARCC 1 antibody; SMARCC1 antibody; SMRC1_HUMAN antibody; SRG 3 antibody; SRG3 antibody; SWI 3 antibody; SWI/SNF complex 155 kDa subunit antibody; SWI/SNF complex subunit SMARCC1 antibody; SWI/SNF related matrix associated actin dependent regulator of chromatin c1 antibody; SWI/SNF related matrix associated actin dependent regulator of chromatin subfamily c member 1 antibody; SWI/SNF-related matrix-associated actin-dependent regulator of chromatin subfamily C member 1 antibody; SWI3 antibody
-
反應種屬:Human
-
免疫原:A synthesized peptide from human SMARCC1 protein
-
免疫原種屬:Homo sapiens (Human)
-
標記方式:Non-conjugated
-
克隆類型:Monoclonal
-
抗體亞型:Rabbit IgG
-
純化方式:Affinity-chromatography
-
克隆號:13D1
-
濃度:It differs from different batches. Please contact us to confirm it.
-
保存緩沖液:Rabbit IgG in 10mM phosphate buffered saline , pH 7.4, 150mM sodium chloride, 0.05% BSA, 0.02% sodium azide and 50% glycerol.
-
產品提供形式:Liquid
-
應用范圍:ELISA, WB, IHC, IF, FC
-
推薦稀釋比:
Application Recommended Dilution WB 1:500-1:5000 IHC 1:50-1:200 IF 1:50-1:200 FC 1:50-1:200 -
Protocols:
-
儲存條件:Upon receipt, store at -20°C or -80°C. Avoid repeated freeze.
-
貨期:Basically, we can dispatch the products out in 1-3 working days after receiving your orders. Delivery time maybe differs from different purchasing way or location, please kindly consult your local distributors for specific delivery time.
-
用途:For Research Use Only. Not for use in diagnostic or therapeutic procedures.
相關產品
靶點詳情
-
功能:Involved in transcriptional activation and repression of select genes by chromatin remodeling (alteration of DNA-nucleosome topology). Component of SWI/SNF chromatin remodeling complexes that carry out key enzymatic activities, changing chromatin structure by altering DNA-histone contacts within a nucleosome in an ATP-dependent manner. May stimulate the ATPase activity of the catalytic subunit of the complex. Belongs to the neural progenitors-specific chromatin remodeling complex (npBAF complex) and the neuron-specific chromatin remodeling complex (nBAF complex). During neural development a switch from a stem/progenitor to a postmitotic chromatin remodeling mechanism occurs as neurons exit the cell cycle and become committed to their adult state. The transition from proliferating neural stem/progenitor cells to postmitotic neurons requires a switch in subunit composition of the npBAF and nBAF complexes. As neural progenitors exit mitosis and differentiate into neurons, npBAF complexes which contain ACTL6A/BAF53A and PHF10/BAF45A, are exchanged for homologous alternative ACTL6B/BAF53B and DPF1/BAF45B or DPF3/BAF45C subunits in neuron-specific complexes (nBAF). The npBAF complex is essential for the self-renewal/proliferative capacity of the multipotent neural stem cells. The nBAF complex along with CREST plays a role regulating the activity of genes essential for dendrite growth.
-
基因功能參考文獻:
- Study found SMARCC1 as a direct target of miR-202-5p and promoted the growth and metastasis of colorectal carcinoma (CRC) cells. Furthermore, SMARCC1 could reverse the inhibitory effect of miR-202-5p on growth and metastasis of CRC cells. PMID: 30144500
- our data showed that Swi3 strongly affects haem/oxygen-dependent activation of respiration gene promoters whereas Swi2 affects only the basal, haem-independent activities of these promoters. using computational analysis and RNAi knockdown, we showed that the mammalian Swi3 BAF155 and BAF170 regulate respiration in HeLa cells. PMID: 27190130
- Results show the secondary structure of SWIRM domain of BAF155 consists of five alpha-helices forming a typical histone fold for DNA interactions. PMID: 23996527
- we identify BAF155 as a substrate for arginine methyltransferase CARM1. PMID: 24434208
- Wwp2 acts as a ubiquitin ligase of SRG3. PMID: 24365151
- miR-320c regulates the resistance of pancreatic cancer cells to gemcitabine through SMARCC1. PMID: 23799850
- loss of BAF155 expression represents another mechanism for inactivation of SWI/SNF complex activity in the development in human cancer. PMID: 22139574
- Data show that the mechanism of BAF155-mediated stabilization of BAF57 involves blocking its ubiquitination by preventing interaction with TRIP12. PMID: 20829358
- protein levels of BAF155/170 dictate the maximum cellular amount of BAF57 PMID: 16199878
- Constitutive expression of SRG3 inhibits positive selection processes in T-cell receptor transgenic mice. PMID: 17513758
- An increased expression of SMARCC1 protein was found in prostate cancer positively correlated with tumour dedifferentiation, progression, metastasis and time to recurrence. PMID: 18581278
- patients with tumours displaying high levels of CBFB and SMARCC1 proteins had a significantly better overall survival rate than patients with low levels PMID: 19156145
顯示更多
收起更多
-
亞細胞定位:Nucleus. Cytoplasm.
-
蛋白家族:SMARCC family
-
組織特異性:Expressed in brain, heart, muscle, placenta, lung, liver, muscle, kidney and pancreas.
-
數據庫鏈接:
Most popular with customers
-
-
YWHAB Recombinant Monoclonal Antibody
Applications: ELISA, WB, IHC, IF, FC
Species Reactivity: Human, Mouse, Rat
-
Phospho-YAP1 (S127) Recombinant Monoclonal Antibody
Applications: ELISA, WB, IHC
Species Reactivity: Human
-
-
-
-
-















