SMAD3 Recombinant Monoclonal Antibody
-
中文名稱:SMAD3 Recombinant Monoclonal Antibody
-
貨號:CSB-RA159493A0HU
-
規格:¥1320
-
圖片:
-
Western Blot
Positive WB detected in: K562 whole cell lysate(30μg), A431 whole cell lysate(30μg), HEK293 whole cell lysate(30μg), HEK293T whole cell lysate(30μg)
All lanes: SMAD3 antibody at 1:1000
Secondary
Goat polyclonal to rabbit IgG at 1/40000 dilution
Predicted band size: 48 kDa
Observed band size: 55 kDa
Exposure time:2min -
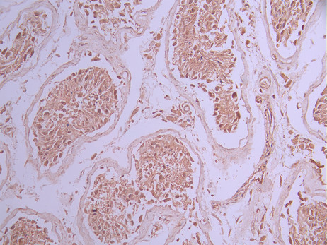
IHC image of CSB-RA159493A0HU diluted at 1:100 and staining in paraffin-embedded human testis tissue performed on a Leica BondTM system. After dewaxing and hydration, antigen retrieval was mediated by high pressure in a citrate buffer (pH 6.0). Section was blocked with 10% normal goat serum 30min at RT. Then primary antibody (1% BSA) was incubated at 4°C overnight. The primary is detected by a Goat anti-rabbit polymer IgG labeled by HRP and visualized using 0.05% DAB.
-
Immunofluorescence staining of A549 cell with CSB-RA159493A0HU at 1:50, counter-stained with DAPI. The cells were fixed in 4% formaldehyde, permeabilized using 0.2% Triton X-100 and blocked in 10% normal Goat Serum. The cells were then incubated with the antibody overnight at 4°C. The secondary antibody was Alexa Fluor 488-congugated AffiniPure Goat Anti-Rabbit IgG(H+L).
-
Overlay Peak curve showing BxPC-3 cells stained with CSB-RA159493A0HU (red line) at 1:100. The cells were fixed in 4% formaldehyde and permeated by 0.2% TritonX-100 for 10min. Then 10% normal goat serum to block non-specific protein-protein interactions followed by the antibody (1ug/1*106cells) for 45min at 4℃. The secondary antibody used was FITC-conjugated goat anti-rabbit IgG (H+L) at 1/200 dilution for 35min at 4℃.Control antibody (green line) was Rabbit IgG (1ug/1*106cells) used under the same conditions. Acquisition of >10,000 events was performed.
-
-
其他:
產品詳情
-
Uniprot No.:
-
基因名:
-
別名:Mothers against decapentaplegic homolog 3 (MAD homolog 3) (Mad3) (Mothers against DPP homolog 3) (hMAD-3) (JV15-2) (SMAD family member 3) (SMAD 3) (Smad3) (hSMAD3), SMAD3, MADH3
-
反應種屬:Human
-
免疫原:Recombinant Antibody
-
免疫原種屬:Homo sapiens (Human)
-
標記方式:Non-conjugated
-
克隆類型:Monoclonal
-
抗體亞型:Rabbit IgG
-
純化方式:Affinity-chromatography
-
克隆號:9B2
-
濃度:It differs from different batches. Please contact us to confirm it.
-
保存緩沖液:Preservative: 0.03% Proclin 300
Constituents: 50% Glycerol, 0.01M PBS, PH 7.4 -
產品提供形式:Liquid
-
應用范圍:ELISA, WB, IHC, IF, FC
-
推薦稀釋比:
Application Recommended Dilution WB 1:500-1:5000 IHC 1:50-1:200 IF 1:50-1:200 FC 1:50-1:200 -
Protocols:
-
儲存條件:Upon receipt, store at -20°C or -80°C. Avoid repeated freeze.
-
貨期:Basically, we can dispatch the products out in 1-3 working days after receiving your orders. Delivery time maybe differs from different purchasing way or location, please kindly consult your local distributors for specific delivery time.
-
用途:For Research Use Only. Not for use in diagnostic or therapeutic procedures.
相關產品
靶點詳情
-
功能:Receptor-regulated SMAD (R-SMAD) that is an intracellular signal transducer and transcriptional modulator activated by TGF-beta (transforming growth factor) and activin type 1 receptor kinases. Binds the TRE element in the promoter region of many genes that are regulated by TGF-beta and, on formation of the SMAD3/SMAD4 complex, activates transcription. Also can form a SMAD3/SMAD4/JUN/FOS complex at the AP-1/SMAD site to regulate TGF-beta-mediated transcription. Has an inhibitory effect on wound healing probably by modulating both growth and migration of primary keratinocytes and by altering the TGF-mediated chemotaxis of monocytes. This effect on wound healing appears to be hormone-sensitive. Regulator of chondrogenesis and osteogenesis and inhibits early healing of bone fractures. Positively regulates PDPK1 kinase activity by stimulating its dissociation from the 14-3-3 protein YWHAQ which acts as a negative regulator.
-
基因功能參考文獻:
- Study established a relationship between OCT4 and SMAD3 heterodimers formation and Snail, Slug, and CXCL13 transcription promotion mediating breast cancer progression. PMID: 29526821
- Study results using gene editing indicate the cancer-promoting role of Smad3 T179 phosphorylation in the human triple-negative breast cancer cells. PMID: 30251686
- Downregulation of miR-637 promotes proliferation and migration of fibroblasts by targeting Smad3 in keloids. PMID: 29845237
- The findings of the present study indicated that miR326 inhibited endometrial fibrosis by suppressing the TGFbeta1/Smad3 signaling pathway, suggesting that miR326 may be a prognostic biomarker and therapeutic target for Intrauterine adhesion (IUA). PMID: 29956752
- Study validated a specific model prediction that SMAD3 regulates Huntington's disease (HD)-related gene expression changes. Also, results found CAG repeat length-dependent changes in the genomic occupancy of SMAD3 and confirmed the model's prediction that many SMAD3 target genes are downregulated early in HD. PMID: 29581148
- The SMAD3 rs12901499 polymorphism may be involved in the development of knee osteoarthritis. Larger studies with more diverse ethnic populations are needed to confirm these result. PMID: 29315792
- NLRC5 may act as a key mediator in renal fibroblast activation and fibrogenesis PMID: 29608899
- The SMAD3 SNP rs12901499 GA genotype and G variant may increase the risk of hip osteoarthritis in Chinese Han patients. PMID: 29310478
- Positive cooperativity of Smad3 and STAT3 during epithelial-mesenchymal transition [Review]. PMID: 29140406
- CXCL12 activates the MEKK1/JNK signaling pathway, which in turn initiates SMAD3 phosphorylation, its translocation to nuclei, and recruitment of SMAD3 to the CTGF promoter, which ultimately induces CTGF expression in human lung fibroblasts. PMID: 29499695
- these results indicated that Bone marrow-derived mesenchymal stem cells -conditioned medium suppressed the epithelial-mesenchymal transition which might be associated with TGF-B1/Smad3. This study provides the theoretical basis for the research of the mechanisms responsible for pulmonary disease. PMID: 29207055
- The present findings indicate that RACK1 silencing attenuates renal fibrosis by suppressing the activation of TGF-beta1/Smad3 signaling pathway in HK-2 cells. Thus, RACK1 may serve as a novel regulator of renal fibrosis. PMID: 29039466
- MSP analysis from 81 Acute coronary syndrome (ACS)samples, 74 SCAD samples and 53 healthy samples, and Sequenom MassARRAY analysis, confirmed that differential CpG methylation of SMAD3 was significantly corrected with the reference results of the HumanMethylation450 array. PMID: 29115576
- Smad3 knockdown could restore the inhibition of cell proliferation induced by FSTL1 overexpression in MDAMB231FSTL1 cells, indicating that the antiproliferative effect of FSTL1 overexpression may be associated with Smad3 involved TGFbeta signaling pathway regulation. This study identified FSTL1 as an inhibitor of cell proliferation in MDAMB231 and 231BR cell lines PMID: 29048681
- miR-195 inhibited proliferation and induced apoptosis of vascular smooth muscle cells, which was abated by Smad3 overexpression PMID: 28665537
- SMAD3 SNP rs422342 is statistically associated with intervertebral disc degeneration in Greek population. PMID: 28662992
- we observed that SMAD3 rs1065080 single nucleotide gene polymorphisms were significantly associated with patient susceptibility to intracranial arterial aneurysms PMID: 28988651
- Smad3 binds with type I TGF-beta receptor (TRI) even in unstimulated cells. PMID: 27641076
- This study demonstrates that Smad3 protein had low expression in ACTH-Pituitary Adenoma Development. PMID: 29524699
- data suggest that TGF-beta stimulated the expression of ChPF and sGAG synthesis in nucleus pulposus cells through Smad3, RhoA/ROCK1 and the three MAPK signaling pathways. PMID: 28608941
- These results suggested that FXR may serve as an important negative regulator for manipulating Smad3 expression, and the FXR/Smad3 pathway may be a novel target for the treatment of renal fibros PMID: 27853248
- SMad3 role in TGF-beta/SMAD pathway signal transduction PMID: 28320972
- ERK1/2 mediates Heme oxygenase-1 or CO-induced Smad3 phosphorylation at Thr179. PMID: 29524413
- Participants' data and peripheral blood samples were collected, and three Smad3 CpG loci were examined. Smad3 mRNA expression was significantly higher in the patient group than in the negative control group but did not differ between the two control groups. PMID: 28562330
- The critical roles of miR-16-5p-Smad3 pathway in melatonin-induced growth defects of gastric cancers. PMID: 29359963
- TGFbeta1 signalling is associated with activation of SMAD3 at the ciliary base. PMID: 27748449
- exaggerated WNT-5B expression upon cigarette smoke exposure in the bronchial epithelium of COPD patients leads to TGF-beta/Smad3-dependent expression of genes related to airway remodelling PMID: 27126693
- HSF1 activity is decreased in fibrotic hearts. HSF1 inhibits phosphorylation and nuclear distribution of Smad3 via direct binding to Smad3. Active Smad3 blocks the anti-fibrotic effect of HSF1. PMID: 28091697
- miR-142-5p plays as a negative regulator in TGF-beta pathway by targeting SMAD3 and suppresses TGF-beta-induced growth inhibition in cancer cells. PMID: 27683030
- Authors were able to confirm expression of SMAD3 in intact and degraded cartilage of the knee and hip. Our findings provide the first systematic evaluation of pleiotropy between OA and BMD, highlight genes with biological relevance to both traits, and establish a robust new OA genetic risk locus at SMAD3. PMID: 28934396
- A bioinformatics analysis and luciferase reporter assay identified Smad3 as a direct target gene of miR-216b, and Smad3 expression was reduced by miR-216b overexpression at both the mRNA and protein levels. PMID: 28356485
- Because the expression of these genes correlates with cell shape, these are likely mechanosensitive genes that regulate SMAD3 and/or RELA activation in response to mechanical cues PMID: 27864353
- SMAD3 transcription facttor binds RNA with large internal loops or bulges with high apparent affinity, suggesting a biological role for RNA binding by SMAD3. PMID: 29036649
- Case Report: internal mammary artery aneurysms in sisters with SMAD3 mutation. PMID: 28286188
- High Smad3 expression is associated with invasion and metastasis in pancreatic ductal adenocarcinoma. PMID: 26908446
- New evidence suggests that SMAD3 activation may serve as a critical converging point of dysregulated TGFB superfamily signaling and genetic aberrations in human granulosa cell tumor development (review). PMID: 27683263
- We find that DIGIT is divergent to Goosecoid (GSC) and expressed during endoderm differentiation. Deletion of the SMAD3-occupied enhancer proximal to DIGIT inhibits DIGIT and GSC expression and definitive endoderm differentiation. PMID: 27705785
- ANP inhibits TGF-beta1-induced EMT in 16HBE-14o and A549 cells through cGMP/PKG signaling, by which it targets TGF-beta1/Smad3 via attenuating phosphorylation of Smad3. These findings suggest the potential of ANP in the treatment on pulmonary diseases with airway remodeling. PMID: 28229930
- Sec8 regulates N-cadherin expression by controlling Smad3 and Smad4 expression through CBP, thereby mediating the epithelial-mesenchymal transition. PMID: 27769780
- Particularly, galangin effectively inhibits phosphorylation of the Thr-179 site at Smad3 linker region through suppression of CDK4 phosphorylation. Thus, galangin can be a promising candidate as a selective inhibitor to suppress phosphorylation of Smad3 linker region. PMID: 29097203
- Up-regulation of miR-195 suppressed cell migration and invasion in vitro. Smad3 was verified as a direct target of miR-195, which was further confirmed by the inverse expression of miR-195 and Smad3 in patients' specimens. PMID: 27206216
- In human primary tubular epithelial cells, inhibition of HIF sensing prolylhydroxylases by DMOG or exposure of the cells to hypoxia upregulated Smad3 expression and enhanced its translocation to the nucleus. PMID: 27155083
- Findings demonstrate that TGFbeta1 allows tumors to evade host immune responses in part through enhanced SMAD3-mediated PD-1 expression on tumor infiltrating lymphocytes. PMID: 27683557
- Store-operated calcium entry via Orai1 in mesangial cells negatively regulates the TGF-beta1/Smad3 signaling pathway. PMID: 28637791
- TF-induced microvessel stabilization is regulated via PAR2-SMAD3 that is indispensable for the maintenance of vascular integrity. PMID: 26658897
- stablish PPM1A as a novel repressor of the SMAD3 pathway in renal fibrosis PMID: 27328942
- Methylation in SMAD3 was selectively increased in asthmatic children of asthmatic mothers and was associated with childhood asthma risk PMID: 28011059
- a direct crosstalk between the STAT3 and Smad3 signaling pathways that may contribute to tumor development and inflammation. PMID: 26616859
- It is reported here that TGF-beta directly regulates alternative splicing of cancer stem cell marker CD44 through a phosphorylated threonine179 of SMAD3-mediated interaction with RNA-binding protein PCBP1. PMID: 27746021
- Bcl-3 knockdown enhanced the degradation of Smad3 but not Smad2 following TGFbeta treatment. PMID: 27906182
顯示更多
收起更多
-
相關疾病:Colorectal cancer (CRC); Loeys-Dietz syndrome 3 (LDS3)
-
亞細胞定位:Cytoplasm. Nucleus.
-
蛋白家族:Dwarfin/SMAD family
-
數據庫鏈接:
Most popular with customers
-
-
Phospho-YAP1 (S127) Recombinant Monoclonal Antibody
Applications: ELISA, WB, IHC
Species Reactivity: Human
-
-
-
-
-
-















