SMAD2 Recombinant Monoclonal Antibody
-
中文名稱:SMAD2 Recombinant Monoclonal Antibody
-
貨號:CSB-RA955967A0HU
-
規格:¥1320
-
圖片:
-
Flow cytometric analysis of phospho-Smad2 (S250) expression in C2C12 cells using phospho-Smad2 (S250) antibody. Green, isotype control; red, phospho-Smad2 (S250).
-
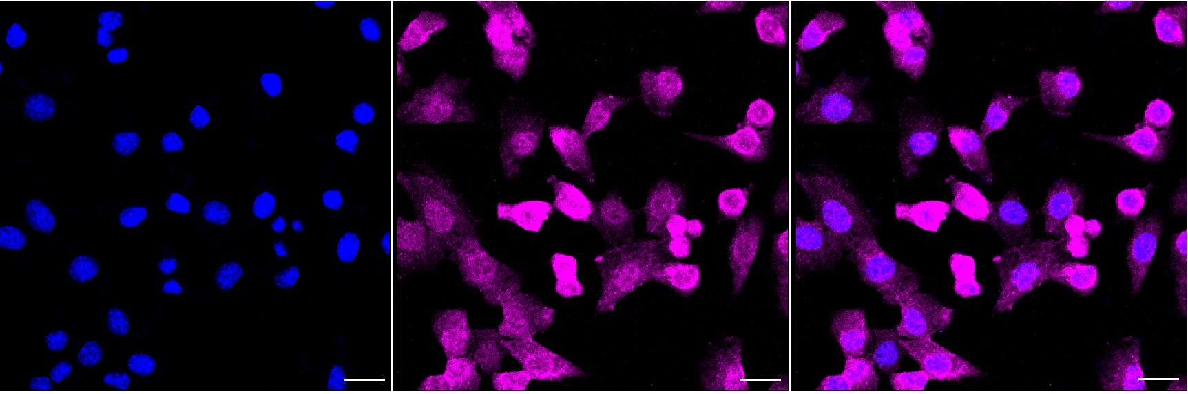
Immunocytochemical staining of C2C12 cells with Phospho-Smad2 (S250) antibody. Nuclei were stained blue with DAPI; Phospho-Smad2 (S250) was stained magenta with Alexa Fluor? 647. Images were taken using Leica stellaris 5. Protein abundance based on laser Intensity and smart gain: Medium. Scale bar, 20 μm.
-
Western blotting analysis using phospho-Smad2 (S250) antibody. Total cell lysates (30 μg) from various cell lines were loaded and separated by SDS-PAGE. The blot was incubated with phospho-Smad2 (S250) antibody and HRP-conjugated goat anti-rabbit secondary antibody respectively.
-
-
其他:
產品詳情
-
Uniprot No.:
-
基因名:
-
別名:SMAD2; SMAD Family Member 2; JV18-1; MADR2; MADH2; Mothers Against Decapentaplegic Homolog 2; MAD Homolog 2; HMAD-2; HSMAD2; MAD, Mothers Against Decapentaplegic Homolog 2 (Drosophila); SMAD, Mothers Against DPP Homolog 2 (Drosophila); SMAD, Mothers Against DPP Homolog 2; Sma- And Mad-Related Protein 2; Mothers Against DPP Homolog 2; Mother Against DPP Homolog 2; Mad-Related Protein 2; SMAD 2; CHTD8; Smad2; JV18; LDS6
-
反應種屬:Human, Mouse, Rat
-
免疫原:Recombinant Human SMAD2 protein
-
免疫原種屬:Homo sapiens (Human)
-
標記方式:Non-conjugated
-
克隆類型:Monoclonal
-
抗體亞型:Rabbit IgG
-
純化方式:Affinity-chromatography
-
克隆號:2C6
-
濃度:It differs from different batches. Please contact us to confirm it.
-
保存緩沖液:Rabbit IgG in PBS (pH 7.4) containing 50% glycerol, and 0.02% sodium azide.
-
產品提供形式:Liquid
-
應用范圍:ELISA, WB, FC, ICC
-
推薦稀釋比:
Application Recommended Dilution WB 1:1000-1:5000 FC 1:200-1:2000 ICC 1:100-1:1000 -
Protocols:
-
儲存條件:Upon receipt, store at -20°C or -80°C. Avoid repeated freeze.
-
貨期:Basically, we can dispatch the products out in 1-3 working days after receiving your orders. Delivery time maybe differs from different purchasing way or location, please kindly consult your local distributors for specific delivery time.
-
用途:For Research Use Only. Not for use in diagnostic or therapeutic procedures.
相關產品
靶點詳情
-
功能:Receptor-regulated SMAD (R-SMAD) that is an intracellular signal transducer and transcriptional modulator activated by TGF-beta (transforming growth factor) and activin type 1 receptor kinases. Binds the TRE element in the promoter region of many genes that are regulated by TGF-beta and, on formation of the SMAD2/SMAD4 complex, activates transcription. May act as a tumor suppressor in colorectal carcinoma. Positively regulates PDPK1 kinase activity by stimulating its dissociation from the 14-3-3 protein YWHAQ which acts as a negative regulator.
-
基因功能參考文獻:
- Overall, these findings suggest a more dominant role for SMAD3 and SMAD4 than SMAD2 in TGFbeta-induced chondrogenesis of human bone marrow-derived mesenchymal stem cells. PMID: 28240243
- the results of the present study indicated that miR4865p was upregulated in Osteoarthritis and may inhibit chondrocyte proliferation and migration by suppressing SMAD2. PMID: 29749497
- relevance of the discovered Sirt1-Smad2 interaction for the regulation of TGFbeta-dependent gene transcription PMID: 29187201
- Our present study indicated that S100A11 promotes EMT through accumulation of TGF-beta1 expression, and TGF-beta1-induced upregulation of p-SMAD2 and 3. PMID: 29569474
- the results of the present study indicated that miR2145p may promote the adipogenic differentiation of BMSCs through regulation of the TGFbeta/Smad2/COL4A1 signaling pathway, and potentially may be used to develop a novel drug for postmenopausal osteoporosis. PMID: 29532880
- High SMAD2 expression is associated with fibrosis in chronic pancreatitis and pancreatic cancer. PMID: 29328490
- The results suggest that co-expression of active SMAD2/3 could enhance multiple types of transcription factors (TF)-based cell identity conversion and therefore be a powerful tool for cellular engineering. PMID: 29174331
- We found that ITZ treatment was efficient in suppressing EMT and that the effect of ITZ was partially mediated by impaired TGF-b/SMAD2/3 signaling. The role of TGF-b/SMAD2/3 signaling in mediating the effect of ITZ was confirmed based on the results that recombinant TGF-b induced, but the TGF-b neutralizing antibody inhibited EMT as well as the invasion and migration of pancreatic cancer cells PMID: 29484419
- SMAD2/3 interactome reveals that TGFbeta controls m(6)A mRNA methylation in pluripotency PMID: 29489750
- This study's findings provide new insights into the mechanisms of how oscillatory shear stress regulates Smad2 signaling and pro-inflammatory genes through the complex signaling networks of integrins, transforming growth factor-beta receptors, and extracellular matrices, thus illustrating the molecular basis of regional pro-inflammatory activation within disturbed flow regions in the arterial tree. PMID: 29295709
- our findings demonstrated that thymoquinone suppressed the metastatic phenotype and reversed EMT of prostate cancer cells by negatively regulating the TGF-beta/Smad2/3 signaling pathway. These findings suggest that thymoquinone is a potential therapeutic agent against prostate cancer which functions by targeting TGF-beta PMID: 29039572
- MicroRNA-486-5p suppresses TGFB2-induced proliferation, invasion and epithelial-mesenchymal transition of lens epithelial cells by targeting Smad2. PMID: 29229876
- was found that treatment with iPSC-CM markedly reduced the proliferation of TGF-beta1-exposed cells, and the activities of TGF-beta1, Smad-2 and Smad-3. Accompanied by alterations in the expression of the indicated molecules, the lung structure of mice with PF was also markedly ameliorated. PMID: 29115383
- We found expression of pSmad2/3 and Smad4 in different liver tissues, with up-regulated expression of both antibodies in chronic hepatitis C with higher stage of fibrosis and higher grade of activity. PMID: 29924446
- TGFbeta and IL1beta signaling interact at the SMAD2/3 level in human primary MSC. Down-stream TGFbeta target genes were repressed by IL1beta independent of C-terminal SMAD2 phosphorylation. We demonstrate that SMAD2/3 linker modifications are required for this interplay and identified TAK1 as a crucial mediator of IL1beta-induced TGFbeta signal modulation. PMID: 28943409
- Our studies provide a molecular mechanism by which UCHL5 mitigates TGFbeta-1 signaling by stabilizing Smad2/Smad3. These data indicate that UCHL5 may contribute to the pathogenesis of idiopathic pulmonary fibrosis and may be a potential therapeutic target. PMID: 27604640
- we demonstrated that the downregulation of CLDN6 is regulated through promoter methylation by DNMT1, which depends on the SMAD2 pathway, and that CLDN6 is a key regulator in the SMAD2/DNMT1/CLDN6 pathway to inhibit EMT, migration and invasion of breast cancer cells PMID: 28867761
- High Expression of Smad2 is associated with liver cancer. PMID: 28415588
- Whereas autocrine signalling activates Smad2/3 in differentiating extravillous trophoblasts, paracrine factors contribute to Smad phosphorylation in these cells. PMID: 28864007
- Kidney samples from patients with advanced stages of diabetic nephropathy showed elevated pSmad2 staining. PMID: 28805484
- Smad2 (and myostatin) were significantly up-regulated in the failing heart of female patients, but not male patients. PMID: 28465115
- Nodal signaling through the Smad2/3 pathway up-regulated Slug, Snail and c-Myc to induce EMT, thereby promotingVasculogenic mimicry (VM) formation. PMID: 27659524
- this study shows that EGF induces epithelial-mesenchymal transition through phospho-Smad2/3-Snail signaling pathway in breast cancer cells PMID: 27829223
- Multiple myeloma cells adapted to long-term exposure to hypoxia exhibit stem cell characteristics with TGF-beta/Smad pathway activation. PMID: 29309790
- a novel heterozygous missense mutation (c.833C>T, p.A278V) in the SMAD2 gene in a family with early onset aortic aneurysms PMID: 28283438
- Data suggest that oncogenic Y-box binding protein 1 (YB-1) indirectly enhances transforming growth factor beta (TGFbeta) signaling cascades via Sma/Mad related protein 2 (Smad2)phospho-activation and may represent a promising factor for future diagnosis and therapy of breast cancer. PMID: 29187452
- Asiaticoside hindered the invasive growth of KFs by inhibiting the GDF-9/MAPK/Smad pathway. PMID: 28346732
- High Smad2 expression is associated with invasion and metastasis in pancreatic ductal adenocarcinoma. PMID: 26908446
- Data indicate that miR-206 inhibits neuropilin-1 (NRP1) and SMAD2 gene expression by directly binding to their 3'-UTRs. PMID: 27014911
- Results show that members of the Activin branch of the TGFbeta signaling pathway, namely Put and Smad2, are autonomously required for cell and tissue growth in the Drosophila larval salivary gland. PMID: 28123053
- CytoD modified MKL1, a coactivator of serum response factor (SRF) regulating CTGF induction, and promoted its nuclear localization. PMID: 27721022
- cells expressing mutant huntingtin have a dysregulated transcriptional response to epidermal growth factor stimulation PMID: 27988204
- CRT regulates TGF-beta1-induced-EMT through modulating Smad signaling PMID: 28778674
- P311 is a novel TGFbeta1/Smad signaling-mediated regulator of transdifferentiation in epidermal stem cells during cutaneous wound healing. PMID: 27906099
- human epidermal growth factor receptor 2 (HER-2) levels, were correlated well with TSP50/p-Samd2/3 and TSP50/p27 expression status. Thus, our studies revealed a novel regulatory mechanism underlying TSP50-induced cell proliferation and provided a new favorable intervention target for the treatment of breast cancer PMID: 28650473
- IL-17 can induce A549 alveolar epithelial cells to undergo epithelial-mesenchymal transition via the TGF-beta1 mediated Smad2/3 and ERK1/2 activation PMID: 28873461
- a critical role for miR-503-3p in induction of breast cancer EMT PMID: 28161325
- Nuclear localization of Smad2 was reduced in TGFbeta-1-stimulated primary tubular epithelial cells. Changes in nuclear Smad2 correlated with a reduced expression of the pro-fibrotic factor CTGF. Transient downregulation of Smad2 interfered with TGFbeta-1-induced CTGF synthesis. PMID: 27155083
- Low SMAD2 expression is associated with progression of hepatic fibrosis. PMID: 28423499
- In order to study the translation between mouse model and patients, we evaluated the signature of phosphorylated Sma- and Mad-related protein 2 (pSmad2), as molecular marker of TGF-beta/activin activity, in the kidneys of streptozotocin (STZ)-treated mice compared to that of type 1 diabetes (T1D) patients. PMID: 28064277
- SMAD2/SMAD3 signaling by bone morphogenetic proteins causes disproportionate induction of HAS2 expression and hyaluronan production in immortalized human granulosa cells. PMID: 26992562
- miR-27a contributed to cell proliferation and invasion by inhibiting TGF-beta-induced cell cycle arrest. These results suggest that miR-27a may function as an oncogene by regulating SMAD2 and SMAD4 in lung cancer. PMID: 28370334
- cPLA2alpha activates PI3K/AKT and inhibits Smad2/3 during epithelial-mesenchymal transition of hepatocellular carcinoma cells. PMID: 28649002
- selective inhibition of SMAD3 or CCT6A efficiently suppresses TGF-beta-mediated metastasis. Findings provide a mechanism that directs TGF-beta signaling toward its prometastatic arm and may contribute to the development of therapeutic strategies targeting TGF-beta for non-small-cell lung carcinoma. PMID: 28375158
- In response to TGF-beta, RASSF1A is recruited to TGF-beta receptor I and targeted for degradation by the co-recruited E3 ubiquitin ligase ITCH. RASSF1A degradation is necessary to permit Hippo pathway effector YAP1 association with SMADs and subsequent nuclear translocation of receptor-activated SMAD2. PMID: 27292796
- Smad2 is a key scaffold, allowing RIN1 to act as a GTP exchange factor for MFN2-GTPase activation to promote mitochondrial ATP synthesis and suppress superoxide production during mitochondrial fusion. PMID: 27184078
- Ang down-regulate the expression of Col-I, alpha-SMA and TGF-beta1/Smad2/3 and subsequently inhibits fibroblast-myofibroblast transition. PMID: 27543459
- Our findings suggest a stronger chondrogenic potential of CD105(+) SMSCs in comparison to that of CD105(-) SMSCs and that CD105 enhances chondrogenesis of SMSCs by regulating TGF-beta/Smad2 signaling pathway, but not Smad1/5. Our study provides a better understanding of CD105 with respect to chondrogenic differentiation. PMID: 27107692
- the findings show that TIEG1 is highly expressed in human keloids and that it directly binds and represses Smad7 promoter-mediated activation of TGF-beta/Smad2 signaling PMID: 28108300
- High expression of SMAD2 is associated with colorectal carcinoma. PMID: 27959430
顯示更多
收起更多
-
亞細胞定位:Cytoplasm. Nucleus.
-
蛋白家族:Dwarfin/SMAD family
-
組織特異性:Expressed at high levels in skeletal muscle, endothelial cells, heart and placenta.
-
數據庫鏈接:
Most popular with customers
-
-
YWHAB Recombinant Monoclonal Antibody
Applications: ELISA, WB, IHC, IF, FC
Species Reactivity: Human, Mouse, Rat
-
Phospho-YAP1 (S127) Recombinant Monoclonal Antibody
Applications: ELISA, WB, IHC
Species Reactivity: Human
-
-
-
-
-















