RYBP Recombinant Monoclonal Antibody
-
中文名稱:RYBP Recombinant Monoclonal Antibody
-
貨號:CSB-RA250534A0HU
-
規格:¥1320
-
圖片:
-
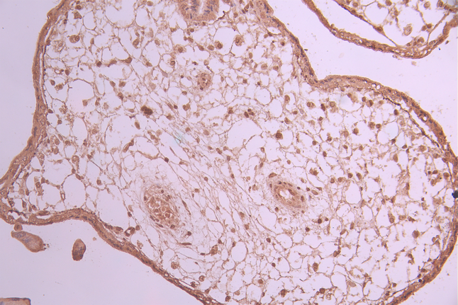
IHC image of CSB-RA250534A0HU diluted at 1:100 and staining in paraffin-embedded human placenta tissue performed on a Leica BondTM system. After dewaxing and hydration, antigen retrieval was mediated by high pressure in a citrate buffer (pH 6.0). Section was blocked with 10% normal goat serum 30min at RT. Then primary antibody (1% BSA) was incubated at 4°C overnight. The primary is detected by a Goat anti-rabbit polymer IgG labeled by HRP and visualized using 0.05% DAB.
-
Immunofluorescence staining of SH-SY5Y cell with CSB-RA250534A0HU at 1:50, counter-stained with DAPI. The cells were fixed in 4% formaldehyde, permeabilized using 0.2% Triton X-100 and blocked in 10% normal Goat Serum. The cells were then incubated with the antibody overnight at 4°C. The secondary antibody was Alexa Fluor 488-congugated AffiniPure Goat Anti-Rabbit IgG(H+L).
-
Overlay Peak curve showing A431 cells stained with CSB-RA250534A0HU (red line) at 1:100. The cells were fixed in 4% formaldehyde and permeated by 0.2% TritonX-100 for 10min. Then 10% normal goat serum to block non-specific protein-protein interactions followed by the antibody (1ug/1*106cells) for 45min at 4℃. The secondary antibody used was FITC-conjugated goat anti-rabbit IgG (H+L) at 1/200 dilution for 35min at 4℃.Control antibody (green line) was Rabbit IgG (1ug/1*106cells) used under the same conditions. Acquisition of >10,000 events was performed.
-
-
其他:
產品詳情
-
Uniprot No.:
-
基因名:RYBP
-
別名:2410018J24Rik antibody; AAP 1 antibody; AAP1 antibody; APAP 1 antibody; APAP-1 antibody; APAP1 antibody; Apoptin associating protein 1 antibody; Apoptin-associating protein 1 antibody; cb337 antibody; Death effector domain associated factor antibody; Death effector domain-associated factor antibody; Death effector domain-associated factor B antibody; DED associated factor antibody; DED-associated factor antibody; DED-associated factor B antibody; DEDAF antibody; MGC62213 antibody; RING1 and YY1 binding protein a antibody; RING1 and YY1 binding protein antibody; RING1 and YY1-binding protein antibody; RING1 and YY1-binding protein B antibody; Ring1 interactor RYBP antibody; RYBP antibody; RYBP_HUMAN antibody; rybpa antibody; wu:fi34f03 antibody; YEAF 1 antibody; YEAF1 antibody; YY1 and E4TF1 associated factor 1 antibody; YY1 and E4TF1-associated factor 1 antibody; YY1- and E4TF1/GABP-associated factor 1 antibody; zgc:153842 antibody
-
反應種屬:Human
-
免疫原:A synthesized peptide derived from human RYBP
-
免疫原種屬:Homo sapiens (Human)
-
標記方式:Non-conjugated
-
克隆類型:Monoclonal
-
抗體亞型:Rabbit IgG
-
純化方式:Affinity-chromatography
-
克隆號:15D5
-
濃度:It differs from different batches. Please contact us to confirm it.
-
保存緩沖液:Rabbit IgG in 10mM phosphate buffered saline , pH 7.4, 150mM sodium chloride, 0.05% BSA, 0.02% sodium azide and 50% glycerol.
-
產品提供形式:Liquid
-
應用范圍:ELISA, IHC, IF, FC
-
推薦稀釋比:
Application Recommended Dilution IHC 1:50-1:200 IF 1:50-1:200 FC 1:50-1:200 -
Protocols:
-
儲存條件:Upon receipt, store at -20°C or -80°C. Avoid repeated freeze.
-
貨期:Basically, we can dispatch the products out in 1-3 working days after receiving your orders. Delivery time maybe differs from different purchasing way or location, please kindly consult your local distributors for specific delivery time.
-
用途:For Research Use Only. Not for use in diagnostic or therapeutic procedures.
相關產品
靶點詳情
-
功能:Component of a Polycomb group (PcG) multiprotein PRC1-like complex, a complex class required to maintain the transcriptionally repressive state of many genes, including Hox genes, throughout development. PcG PRC1-like complex acts via chromatin remodeling and modification of histones; it mediates monoubiquitination of histone H2A 'Lys-119', rendering chromatin heritably changed in its expressibility. Component of a PRC1-like complex that mediates monoubiquitination of histone H2A 'Lys-119' on the X chromosome and is required for normal silencing of one copy of the X chromosome in XX females. May stimulate ubiquitination of histone H2A 'Lys-119' by recruiting the complex to target sites. Inhibits ubiquitination and subsequent degradation of TP53, and thereby plays a role in regulating transcription of TP53 target genes. May also regulate the ubiquitin-mediated proteasomal degradation of other proteins like FANK1 to regulate apoptosis. May be implicated in the regulation of the transcription as a repressor of the transcriptional activity of E4TF1. May bind to DNA. May play a role in the repression of tumor growth and metastasis in breast cancer by down-regulating SRRM3.
-
基因功能參考文獻:
- This review also discusses the role of RYBP in apoptosis through non-epigenetic mechanisms as well as recent investigations linking the role of RYBP to apoptosis and cancer. PMID: 29665352
- This study revealed the molecular mechanism responsible for RYBP nuclear translocation. PMID: 27989698
- this is the first study to show the correlation between RYBP polymorphisms with the risk and prognosis of HCC. We found that the RYBP SNP, rs2118593 can be a new predictor for poor prognosis of HCC, providing a scientific basis for improving the treatment and prognosis of HCC. PMID: 28369212
- findings support the idea that RYBP may represent a target for cancer therapy and suggest that it may be useful as a prognostic biomarker for HCC, either alone or in combination with KLF4 and Sp1 PMID: 28028181
- overexpression of RYBP suppresses breast cancer growth and metastasis both in vitro and in vivo. PMID: 27748911
- RYBP activates FANK1-mediated activator protein 1 (AP-1) signaling pathway which contributes to tumor cell apoptosis. PMID: 27060496
- Results identify a novel YY1 ~ miR-9 ~ RYBP axis involved in melanoma tumorigenesis and reinforce the idea that regulatory circuitries involving miRNAs and TFs are prevalent mechanisms. PMID: 26104682
- RYBP has a role in survival of patients with hepatocellular carcinoma (HCC) and responsiveness to chemotherapy PMID: 25344099
- Polymorphisms in RYBP and AOAH genes are associated with chronic rhinosinusitis in a Chinese population. PMID: 22723975
- interacts specifically with the E2F2 and E2F3 family members, dependent on the marked box domain in these proteins PMID: 12411495
- Apoptin is efficiently delivered and induced apoptosis in cancer cells when fused to the HIV-TAT protein transduction domain. PMID: 14691460
- DEDAF associates with a DED-containing DNA-binding protein in the nucleus and regulates the transcription activity [DEDAF human] PMID: 14765135
- Adenovirus expressing Rybp synergistically cooperates with the death receptor ligand, tumor necrosis factor-alpha, in the induction of apoptosis, and thus may have clinical applicability for the treatment of cancer. PMID: 18551146
- RYBP interacts with MDM2 via residues 1-73 and 144-228 & decreases MDM2-mediated p53 ubiquitination, stabilizing p53 increasing its activity. RYBP is decreased in human cancer tissues. PMID: 19098711
顯示更多
收起更多
-
亞細胞定位:Nucleus. Cytoplasm. Nucleus, nucleoplasm.
-
組織特異性:Down-regulated in breast cancer tissues and in several breast cancer cell lines (at protein level). Widely expressed with highest levels in lymphoid tissues and placenta.
-
數據庫鏈接:
Most popular with customers
-
-
YWHAB Recombinant Monoclonal Antibody
Applications: ELISA, WB, IHC, IF, FC
Species Reactivity: Human, Mouse, Rat
-
Phospho-YAP1 (S127) Recombinant Monoclonal Antibody
Applications: ELISA, WB, IHC
Species Reactivity: Human
-
-
-
-
-















