RPS6KA6 Recombinant Monoclonal Antibody
-
中文名稱:RPS6KA6 Recombinant Monoclonal Antibody
-
貨號:CSB-RA264975A0HU
-
規格:¥1320
-
圖片:
-
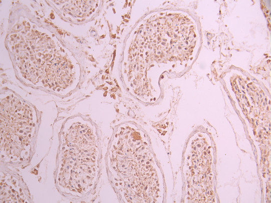
IHC image of CSB-RA264975A0HU diluted at 1:100 and staining in paraffin-embedded human testis tissue performed on a Leica BondTM system. After dewaxing and hydration, antigen retrieval was mediated by high pressure in a citrate buffer (pH 6.0). Section was blocked with 10% normal goat serum 30min at RT. Then primary antibody (1% BSA) was incubated at 4°C overnight. The primary is detected by a Goat anti-rabbit polymer IgG labeled by HRP and visualized using 0.05% DAB.
-
Overlay Peak curve showing SH-SY5Y cells stained with CSB-RA264975A0HU (red line) at 1:100. The cells were fixed in 4% formaldehyde and permeated by 0.2% TritonX-100 for 10min. Then 10% normal goat serum to block non-specific protein-protein interactions followed by the antibody (1ug/1*106cells) for 45min at 4℃. The secondary antibody used was FITC-conjugated goat anti-rabbit IgG (H+L) at 1/200 dilution for 35min at 4℃.Control antibody (green line) was Rabbit IgG (1ug/1*106cells) used under the same conditions. Acquisition of >10,000 events was performed.
-
-
其他:
產品詳情
-
Uniprot No.:
-
基因名:
-
別名:Ribosomal protein S6 kinase alpha-6 (S6K-alpha-6) (EC 2.7.11.1) (90 kDa ribosomal protein S6 kinase 6) (p90-RSK 6) (p90RSK6) (Ribosomal S6 kinase 4) (RSK-4) (pp90RSK4), RPS6KA6, RSK4
-
反應種屬:Human
-
免疫原:A synthesized peptide from human RPS6KA6 protein
-
免疫原種屬:Homo sapiens (Human)
-
標記方式:Non-conjugated
-
克隆類型:Monoclonal
-
抗體亞型:Rabbit IgG
-
純化方式:Affinity-chromatography
-
克隆號:17F3
-
濃度:It differs from different batches. Please contact us to confirm it.
-
保存緩沖液:Preservative: 0.03% Proclin 300
Constituents: 50% Glycerol, 0.01M PBS, PH 7.4 -
產品提供形式:Liquid
-
應用范圍:ELISA, IHC, FC
-
推薦稀釋比:
Application Recommended Dilution IHC 1:50-1:200 FC 1:50-1:200 -
Protocols:
-
儲存條件:Upon receipt, store at -20°C or -80°C. Avoid repeated freeze.
-
貨期:Basically, we can dispatch the products out in 1-3 working days after receiving your orders. Delivery time maybe differs from different purchasing way or location, please kindly consult your local distributors for specific delivery time.
-
用途:For Research Use Only. Not for use in diagnostic or therapeutic procedures.
相關產品
靶點詳情
-
功能:Constitutively active serine/threonine-protein kinase that exhibits growth-factor-independent kinase activity and that may participate in p53/TP53-dependent cell growth arrest signaling and play an inhibitory role during embryogenesis.
-
基因功能參考文獻:
- RSK4 constitutes a putative tumor suppressor gene for non-small cell lung carcinoma. PMID: 30143490
- The regulatory role of RSK4 in breast cancer development was mediated by AKT and extracellular signalregulated kinase (ERK) signaling pathways and the expression of RSK4 was altered by DNA methylation in promoter regions. PMID: 28731146
- RSK4 is expressed at low levels in malignant ovarian tumors, which correlates with advanced stages of the disease. PMID: 26732474
- downregulation of RSK4 expression is indicated to be associated with tumor cell proliferation and invasion, and silencing of the RSK4 may be involved in the development and progression of breast cancer PMID: 26397146
- Low RSK4 expression is correlated with advanced clinical pathologic classifications and is a poor overall survival in colorectal cancer patients PMID: 25197367
- RSK4 mRNA is significantly decreased in most of breast cancer tissues compared with paired non-cancerous tissues, due to promoter hypermethylation; frequent epigenetic inactivation might have a role in precancerous lesions or early cancer PMID: 24338215
- evaluated expression of RSK4 in renal cell carcinoma(RCC)tissues, analysed relationship between RSK4 expression and clinicopathological features of RCC patients and explored potential molecular mechanisms of RSK4 in RCC cell lines; expression pattern and molecular mechanisms of RSK4 in RCCs indicate it could be a potential independent prognostic factor PMID: 23942078
- Overexpression of RSK3 or RSK4 supports tumor cell proliferation upon PI3K inhibition both in vitro and in vivo therby contributing to drug resistance. PMID: 23635776
- findings reveals a major role of PRKX, TTBK2 and RSK4 in triggering Sunitinib resistance formation; data suggest transcriptional regulation of these kinases together with other proteins might play an important role in formation of Sunitinib resistance by affecting transcription factors PMID: 22020623
- Suggest that RSK4 may serve as a mediator of endothelial progenitor cell senescence in diabetes mellitus. PMID: 22297070
- The expression level of RSK-4 mRNA in breast cancer was significantly lower than those in normal breast tissues and breast benign lesions tissues. The down-regulation of RSK-4 expression in breast caner suggests that it is a breast cancer suppressor gene. PMID: 21875487
- Data indicate that RSK4 appears to be epigenetically silenced in endometrial cancer as evidenced by hypermethylation. PMID: 21372219
- importance of RSK4 for regulating senescence and indicate that downregulation of this kinase could be an important element in facilitating cell transformation. PMID: 21239520
- The unusual regulation and growth factor-independent activity of ribosomal S6 kinase 4 (RSK4) indicate that it is functionally distinct from other RSKs and may explain why RSK4 can participate in non-growth factor signaling. PMID: 15632195
- Downregulation of RPS6KA6 is associated with colon carcinoma. PMID: 16865262
- RT-PCR data show high expression of putative tumor suppressor genes Rsk4 and RbAp46 in 47% and 79% of breast carcinoma cases, respectively, whereas Cldn2 was down-regulated in 52% of breast cancer cases compared with normal adjacent tissues. PMID: 17314274
- RSK4 expression may limit the oncogenic, invasive, and metastatic potential of breast cancer cells. PMID: 18628456
- Results support the concept that RSK4 may be an important tumor suppressor gene by modulating senescence induction and contributing to cell proliferation control in colon carcinogenesis and renal cell carcinomas. PMID: 19584160
顯示更多
收起更多
-
亞細胞定位:Cytoplasm, cytosol. Nucleus. Note=Predominantly cytosolic.
-
蛋白家族:Protein kinase superfamily, AGC Ser/Thr protein kinase family, S6 kinase subfamily
-
數據庫鏈接:
Most popular with customers
-
YWHAB Recombinant Monoclonal Antibody
Applications: ELISA, WB, IHC, IF, FC
Species Reactivity: Human, Mouse, Rat
-
Phospho-YAP1 (S127) Recombinant Monoclonal Antibody
Applications: ELISA, WB, IHC
Species Reactivity: Human
-
-
-
-
-
-















