RPS3 Recombinant Monoclonal Antibody
-
中文名稱:RPS3 Recombinant Monoclonal Antibody
-
貨號:CSB-RA204107A0HU
-
規格:¥1320
-
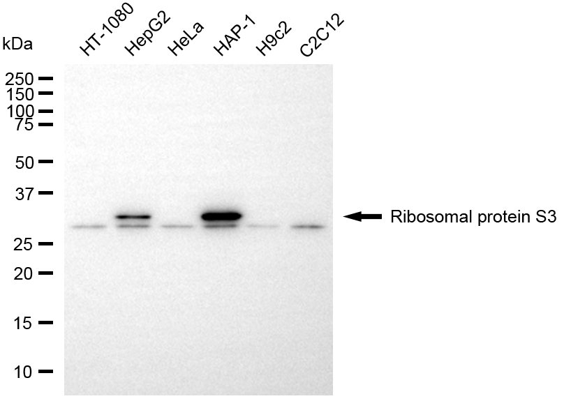
圖片:
-
其他:
產品詳情
-
Uniprot No.:
-
基因名:
-
別名:RPS3; Ribosomal Protein S3; 40S Ribosomal Protein S3; S3; Small Ribosomal Subunit Protein US3; IMR-90 Ribosomal Protein S3; FLJ26283; FLJ27450; MGC87870; US3; EC 4.2.99.18
-
反應種屬:Human, Mouse, Rat
-
免疫原:Recombinant Human RPS3 protein
-
免疫原種屬:Homo sapiens (Human)
-
標記方式:Non-conjugated
-
克隆類型:Monoclonal
-
抗體亞型:Rabbit IgG
-
純化方式:Affinity-chromatography
-
克隆號:13F9
-
濃度:It differs from different batches. Please contact us to confirm it.
-
保存緩沖液:Rabbit IgG in PBS (pH 7.4) containing 50% glycerol, and 0.02% sodium azide.
-
產品提供形式:Liquid
-
應用范圍:ELISA, WB
-
推薦稀釋比:
Application Recommended Dilution WB 1:1000-1:5000 -
Protocols:
-
儲存條件:Upon receipt, store at -20°C or -80°C. Avoid repeated freeze.
-
貨期:Basically, we can dispatch the products out in 1-3 working days after receiving your orders. Delivery time maybe differs from different purchasing way or location, please kindly consult your local distributors for specific delivery time.
-
用途:For Research Use Only. Not for use in diagnostic or therapeutic procedures.
相關產品
靶點詳情
-
功能:Involved in translation as a component of the 40S small ribosomal subunit. Has endonuclease activity and plays a role in repair of damaged DNA. Cleaves phosphodiester bonds of DNAs containing altered bases with broad specificity and cleaves supercoiled DNA more efficiently than relaxed DNA. Displays high binding affinity for 7,8-dihydro-8-oxoguanine (8-oxoG), a common DNA lesion caused by reactive oxygen species (ROS). Has also been shown to bind with similar affinity to intact and damaged DNA. Stimulates the N-glycosylase activity of the base excision protein OGG1. Enhances the uracil excision activity of UNG1. Also stimulates the cleavage of the phosphodiester backbone by APEX1. When located in the mitochondrion, reduces cellular ROS levels and mitochondrial DNA damage. Has also been shown to negatively regulate DNA repair in cells exposed to hydrogen peroxide. Plays a role in regulating transcription as part of the NF-kappa-B p65-p50 complex where it binds to the RELA/p65 subunit, enhances binding of the complex to DNA and promotes transcription of target genes. Represses its own translation by binding to its cognate mRNA. Binds to and protects TP53/p53 from MDM2-mediated ubiquitination. Involved in spindle formation and chromosome movement during mitosis by regulating microtubule polymerization. Involved in induction of apoptosis through its role in activation of CASP8. Induces neuronal apoptosis by interacting with the E2F1 transcription factor and acting synergistically with it to up-regulate pro-apoptotic proteins BCL2L11/BIM and HRK/Dp5. Interacts with TRADD following exposure to UV radiation and induces apoptosis by caspase-dependent JNK activation.
-
基因功能參考文獻:
- Results found that BfrB subverts the host innate immune system by binding the NF-kappaB subunit RPS3 and promotes the survival of mycobacteria in macrophages by inhibiting cytokine production in host cells. PMID: 29018126
- These results reveal that RPS3 upregulates XIAP independently of the NF-kappaB pathway in human breast cancer cells PMID: 29048653
- Asn 165 residue of rpS3 is a critical site for N-linked glycosylation and passage through the ER-Golgi secretion pathway. PMID: 27384988
- findings suggest that uS3 residing in the 40S ribosome might perform extra-ribosomal functions related to control of DNA quality PMID: 28334742
- Short 5'UTR mRNAs are enriched with TISU (translation initiator of short 5'UTR), a 12-nucleotide element directing efficient scanning-independent translation. This study demonstrate that TISU is particularly dependent on eukaryotic initiation factor 1A (eIF1A) which interacts with both RPS3 and RPS10e. PMID: 28584194
- Data show that ribosomal protein S3 (RPS3) knockdown decreased mitochondrial calcium uptake 1 protein (MICU1) expression. PMID: 26336993
- Increased RPS3 expression is associated with osteosarcoma invasion. PMID: 25449781
- RPS3, a component of basic translation machinery operates at initiation and most probably elongation of protein synthesis, is also implicated in various events of the cell life as an extraribosomal player. [Review] PMID: 24239944
- These findings suggest that the secreted rpS3 protein is an indicator of malignant tumors. PMID: 24211576
- rpS3 accumulates in the mitochondria to repair damaged DNA due to the decreased interaction between rpS3 and HSP90 in the cytosol. PMID: 23911537
- rpS3 acts as a microtubule associated protein and regulates spindle dynamics during mitosis. PMID: 23131551
- A novel radioresistance mechanism through functional orchestration of rpS3, TRAF2, and NF-kappaB in non-small cell lung cancer cells, is reported. PMID: 23188828
- rpS3 is recruited to the DISC and plays a critical role in both genotoxic stress and cytokine induced apoptosis. PMID: 22510408
- The phosphorylation of rpS3 by Cdk1 occurs at Thr221 during G2/M phase. PMID: 21871177
- rpS3 is covalently modified by SUMO-1 and this post-translational modification regulates rpS3 function by increasing rpS3 protein stability. PMID: 21968017
- Data show that the IKKbeta-dependent modification of a specific amino acid in RPS3 promoted specific NF-kappaB functions that underlie the molecular pathogenetic mechanisms of E. coli O157:H7. PMID: 21399639
- PEP-1-rpS3 inhibits inflammatory response cytokines and enzymes by blocking NF-kappaB and MAP kinase, prompting the suggestion that PEP-1-rpS3 can be used as a therapeutic agent against skin inflammation. PMID: 20709134
- when Flag-tagged rpS3 was transiently transfected into 293T cells, the level of endogenous rpS3 gradually decreased regardless of transcription PMID: 20217897
- DNA pull-down assays using a 7,8-dihydro-8-oxoguanine duplex oligonucleotide as a substrate found that RPS3 acted as a scaffold for the additional binding of MDM2 and p53. PMID: 19656744
- Electron paramagnetic resonance study reveals a putative iron-sulfur cluster in human rpS3 protein. PMID: 11911468
- RPS3 is involved in apoptosis. PMID: 14988002
- Using surface plasmon resonance technology, the authors show that ribosomal protein S3 positively interacts with the human base excision repair enzymes N-glycosylase/apurinic-apyrimidinic lyase OGG1 and APE/Ref-1. PMID: 15518571
- The S3-K132A mutant retained the ability to cleave abasic DNA, but its capacity to bind 8-oxoG was abrogated completely. PMID: 16737853
- PEP-1-rpS3 fusion protein can be used in protein therapy for various disorders related to UV, including skin aging and cancer PMID: 17140567
- S3 is a key protein at the mRNA binding site neighboring mRNA downstream of the codon at the decoding site in the human ribosome. PMID: 17179743
- hRpS3 may be involved in the uracil-excision pathway, probably by participating in the DNA repair mechanism to remove uracil generated by the deamination of cytosine in DNA, and by preventing C/G-->T/A transition mutations. PMID: 18973764
- Protein S3 fragments neighboring mRNA during elongation and translation termination on the human ribosome PMID: 19088750
- these results clearly show that arginine methylation of rpS3 plays a critical role in its import into the nucleolus, as well as in small subunit assembly of the ribosome. PMID: 19460357
顯示更多
收起更多
-
亞細胞定位:Cytoplasm. Nucleus. Nucleus, nucleolus. Mitochondrion inner membrane; Peripheral membrane protein. Cytoplasm, cytoskeleton, spindle.
-
蛋白家族:Universal ribosomal protein uS3 family
-
數據庫鏈接:
Most popular with customers
-
-
YWHAB Recombinant Monoclonal Antibody
Applications: ELISA, WB, IHC, IF, FC
Species Reactivity: Human, Mouse, Rat
-
Phospho-YAP1 (S127) Recombinant Monoclonal Antibody
Applications: ELISA, WB, IHC
Species Reactivity: Human
-
-
-
-
-















