RBFOX3 Recombinant Monoclonal Antibody
-
中文名稱:RBFOX3 Recombinant Monoclonal Antibody
-
貨號:CSB-RA889846A0HU
-
規格:¥1320
-
圖片:
-
Western Blot
Positive WB detected in: SH-SY5Y whole cell lysate(30μg), HEK293 whole cell lysate(30μg), Hela whole cell lysate(30μg), Mouse brain tissue lysate(30μg), Rat brain tissue lysate(30μg)
All lanes: NeuN antibody at 1:1000
Secondary
Goat polyclonal to rabbit IgG at 1/40000 dilution
Predicted band size: 34 kDa
Observed band size: 46-55 kDa
Exposure time:40s -
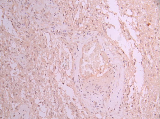
IHC image of CSB-RA889846A0HU diluted at 1:100 and staining in paraffin-embedded human glioma cancer performed on a Leica BondTM system. After dewaxing and hydration, antigen retrieval was mediated by high pressure in a citrate buffer (pH 6.0). Section was blocked with 10% normal goat serum 30min at RT. Then primary antibody (1% BSA) was incubated at 4°C overnight. The primary is detected by a Goat anti-rabbit polymer IgG labeled by HRP and visualized using 0.05% DAB.
-
Immunofluorescence staining of A549 cell with CSB-RA889846A0HU at 1:50, counter-stained with DAPI. The cells were fixed in 4% formaldehyde, permeabilized using 0.2% Triton X-100 and blocked in 10% normal Goat Serum. The cells were then incubated with the antibody overnight at 4°C. The secondary antibody was Alexa Fluor 488-congugated AffiniPure Goat Anti-Rabbit IgG(H+L).
-
Overlay Peak curve showing SH-SY5Y cells stained with CSB-RA889846A0HU (red line) at 1:100. The cells were fixed in 4% formaldehyde and permeated by 0.2% TritonX-100 for 10min. Then 10% normal goat serum to block non-specific protein-protein interactions followed by the antibody (1ug/1*106cells) for 45min at 4℃. The secondary antibody used was FITC-conjugated goat anti-rabbit IgG (H+L) at 1/200 dilution for 35min at 4℃.Control antibody (green line) was Rabbit IgG (1ug/1*106cells) used under the same conditions. Acquisition of >10,000 events was performed.
-
-
其他:
產品詳情
-
Uniprot No.:
-
基因名:RBFOX3
-
別名:RNA binding protein fox-1 homolog 3 (Fox-1 homolog C) (Neuronal nuclei antigen) (NeuN antigen), RBFOX3
-
反應種屬:Human, Mouse, Rat
-
免疫原:A synthesized peptide from human RBFOX3 protein
-
免疫原種屬:Homo sapiens (Human)
-
標記方式:Non-conjugated
-
克隆類型:Monoclonal
-
抗體亞型:Rabbit IgG
-
純化方式:Affinity-chromatography
-
克隆號:19D2
-
濃度:It differs from different batches. Please contact us to confirm it.
-
保存緩沖液:Preservative: 0.03% Proclin 300
Constituents: 50% Glycerol, 0.01M PBS, PH 7.4 -
產品提供形式:Liquid
-
應用范圍:ELISA, WB, IHC, IF, FC
-
推薦稀釋比:
Application Recommended Dilution WB 1:500-1:2000 IHC 1:50-1:200 IF 1:50-1:200 FC 1:50-1:200 -
Protocols:
-
儲存條件:Upon receipt, store at -20°C or -80°C. Avoid repeated freeze.
-
貨期:Basically, we can dispatch the products out in 1-3 working days after receiving your orders. Delivery time maybe differs from different purchasing way or location, please kindly consult your local distributors for specific delivery time.
-
用途:For Research Use Only. Not for use in diagnostic or therapeutic procedures.
相關產品
靶點詳情
-
功能:Pre-mRNA alternative splicing regulator. Regulates alternative splicing of RBFOX2 to enhance the production of mRNA species that are targeted for nonsense-mediated decay (NMD).
-
基因功能參考文獻:
- RBFOX3 knockdown synergized with 5-FU to inhibit the growth and invasion of HCC cells through PI3K/AKT and epithelial-mesenchymal transition (EMT) signaling, and promote apoptosis by activating the cytochrome-c/caspase signaling pathway. PMID: 29689552
- In human lung tissue, Claudin-1 is higher in RBFOX3-positive cells than in RBFOX3-negative cells. Immunostaining and mRNA quantification revealed that protein levels, but not mRNA levels, of Claudin-1 are increased by RBFOX3. PMID: 28126724
- SNPs (rs9900428, rs9907432 and rs7211029) in RBFOX3 associate with sleep latency. PMID: 27142678
- this study show that TGF-beta-induced RBFOX3 inhibition plays an important role in epithelial-mesenchymal transition and lung cancer progression PMID: 27432190
- NeuN was recently eventually identified as an epitope of Rbfox3. NeuN is highly conserved among species and is stably expressed during specific stages of development. NeuN has been considered to be a reliable marker of mature neurons, however, this role has been challenged by recent studies indicating that NeuN staining is variable and even absent during certain diseases and states. Review. PMID: 25680637
- RNA splicing occurs in the nucleus hence, the altered localization of RbFox3 to the cytoplasm may lead to the downregulation of neuronal gene expression. PMID: 24215932
- High NeuN levels are associated with supratentorial ependymomas. PMID: 23371454
- NeuN immunocytochemical reaction in neurons of human substantia nigra was expressed much weaker than in the nucleus rubrum neurons located in the same sections. PMID: 23898728
- NeuN (neuronal nuclei) is a neuron-specific nuclear protein identified by anti-NeuN antibody, and widely used as the postmitotic neuron marker. NeuN is identified as the Fox-3 gene product by mass spectrometry, immunoblotting, RNAi, and immunostaining. PMID: 19713214
顯示更多
收起更多
-
亞細胞定位:Nucleus. Cytoplasm.
-
數據庫鏈接:
Most popular with customers
-
YWHAB Recombinant Monoclonal Antibody
Applications: ELISA, WB, IHC, IF, FC
Species Reactivity: Human, Mouse, Rat
-
-
-
-
-
VDAC1 Recombinant Monoclonal Antibody
Applications: ELISA, WB, IHC
Species Reactivity: Human, Mouse, Rat
-
VCP Recombinant Monoclonal Antibody
Applications: ELISA, WB, IHC, IF, IP
Species Reactivity: Human, Rat
-















