RBBP4 Recombinant Monoclonal Antibody
-
中文名稱:RBBP4 Recombinant Monoclonal Antibody
-
貨號:CSB-RA159912A0HU
-
規格:¥1320
-
圖片:
-
Flow cytometric analysis of RBBP4 expression in HepG2 cells using RBBP4 antibody. Green, isotype control; red, RBBP4.
-
Immunocytochemical staining of HepG2 cells with RBBP4 antibody. Nuclei were stained blue with DAPI; RBBP4 was stained magenta with Alexa Fluor? 647. Images were taken using Leica stellaris 5. Protein abundance based on laser Intensity and smart gain: Medium. Scale bar, 20 μm.
-
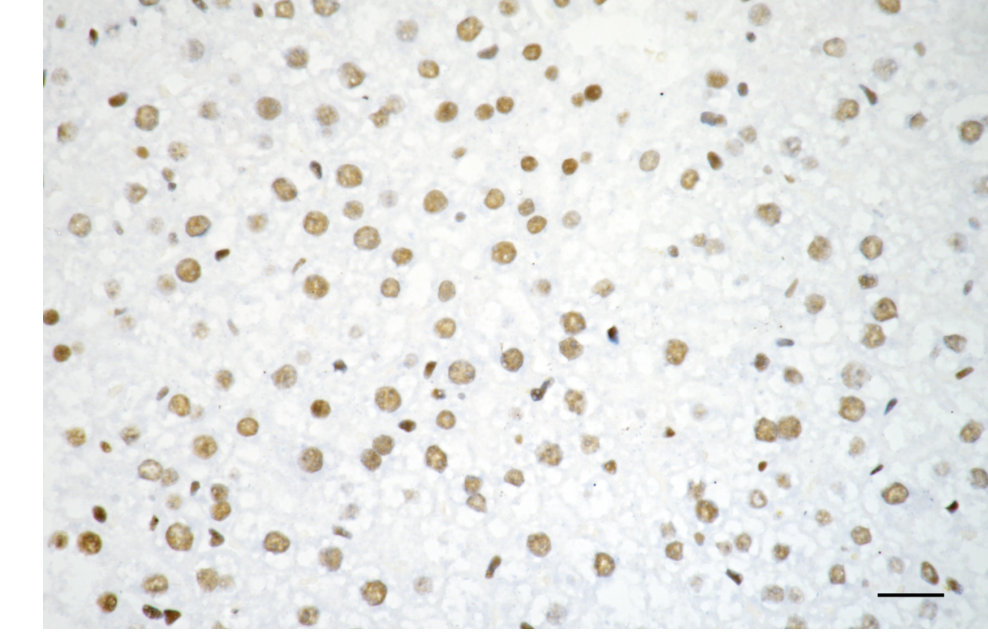
Immunohistochemistry was performed on paraffin-embedded mouse liver using RBBP4 antibody. Antigen retrieval was done in sodium citrate buffer (pH 6.0). DAB was used for detection, with hematoxylin counterstaining. Images were acquired using a Nikon Ci-L Plus microscope (40× objective). Scale bar: 25 μm.
-
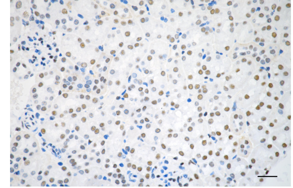
Immunohistochemistry was performed on paraffin-embedded mouse kidney using RBBP4 antibody. Antigen retrieval was done in sodium citrate buffer (pH 6.0). DAB was used for detection, with hematoxylin counterstaining. Images were acquired using a Nikon Ci-L Plus microscope (40× objective). Scale bar: 25 μm.
-
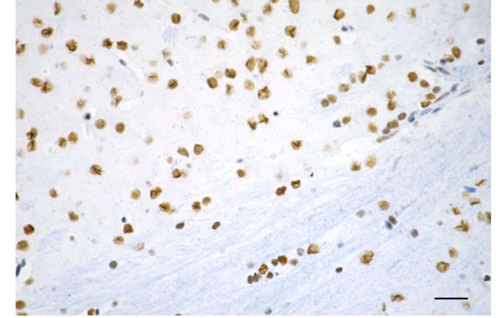
Immunohistochemistry was performed on paraffin-embedded mouse brain using RBBP4 antibody. Antigen retrieval was done in sodium citrate buffer (pH 6.0). DAB was used for detection, with hematoxylin counterstaining. Images were acquired using a Nikon Ci-L Plus microscope (40× objective). Scale bar: 25 μm.
-
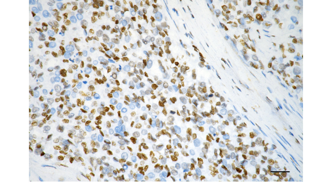
Immunohistochemistry was performed on paraffin-embedded human breast carcinoma using RBBP4 antibody. Antigen retrieval was done in sodium citrate buffer (pH 6.0). DAB was used for detection, with hematoxylin counterstaining. Images were acquired using a Nikon Ci-L Plus microscope (40× objective). Scale bar: 25 μm.
-
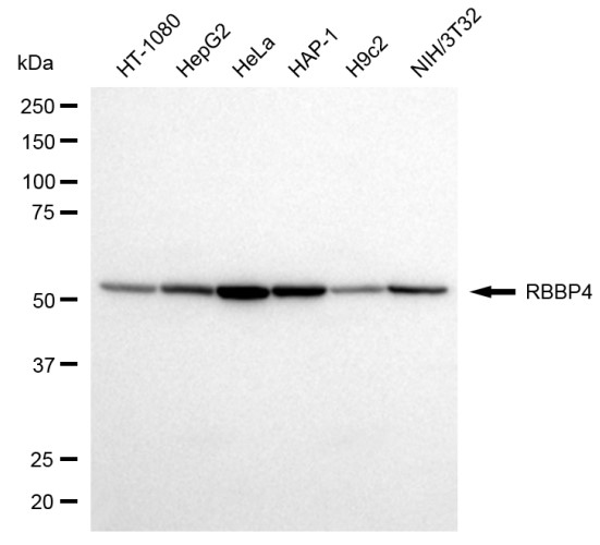
Western blotting analysis using RBBP4 antibody. Total cell lysates (30 μg) from various cell lines were loaded and separated by SDS-PAGE. The blot was incubated with RBBP4 antibody and HRP-conjugated goat anti-rabbit secondary antibody respectively.
-
-
其他:
產品詳情
-
Uniprot No.:
-
基因名:
-
別名:RB Binding Protein 4, Chromatin Remodeling Factor; Retinoblastoma-Binding Protein 4; RbAp48; NURF55; Lin-53; Nucleosome-Remodeling Factor Subunit RBAP48; Chromatin Assembly Factor I P48 Subunit; Chromatin Assembly Factor 1 Subunit C; Retinoblastoma-Binding Protein P48; Histone-Binding Protein RBBP4; CAF-I 48 KDa Subunit; CAF-1 Subunit C; CAF-I P48; RBBP-4; Chromatin Assembly Factor/CAF-1 P48 Subunit; Retinoblastoma Binding Protein 4; MSI1 Protein Homolog; RBAP48
-
反應種屬:Human, Mouse, Rat
-
免疫原:Recombinant Human RBBP4 protein
-
免疫原種屬:Homo sapiens (Human)
-
標記方式:Non-conjugated
-
克隆類型:Monoclonal
-
抗體亞型:Rabbit IgG
-
純化方式:Affinity-chromatography
-
克隆號:1A2
-
濃度:It differs from different batches. Please contact us to confirm it.
-
保存緩沖液:Rabbit IgG in PBS (pH 7.4) containing 50% glycerol, and 0.02% sodium azide.
-
產品提供形式:Liquid
-
應用范圍:ELISA, WB, FC, ICC, IHC
-
推薦稀釋比:
Application Recommended Dilution WB 1:1000-1:5000 FC 1:200-1:2000 ICC 1:100-1:1000 IHC 1:100-1:200 -
Protocols:
-
儲存條件:Upon receipt, store at -20°C or -80°C. Avoid repeated freeze.
-
貨期:Basically, we can dispatch the products out in 1-3 working days after receiving your orders. Delivery time maybe differs from different purchasing way or location, please kindly consult your local distributors for specific delivery time.
-
用途:For Research Use Only. Not for use in diagnostic or therapeutic procedures.
相關產品
靶點詳情
-
功能:Core histone-binding subunit that may target chromatin assembly factors, chromatin remodeling factors and histone deacetylases to their histone substrates in a manner that is regulated by nucleosomal DNA. Component of several complexes which regulate chromatin metabolism. These include the chromatin assembly factor 1 (CAF-1) complex, which is required for chromatin assembly following DNA replication and DNA repair; the core histone deacetylase (HDAC) complex, which promotes histone deacetylation and consequent transcriptional repression; the nucleosome remodeling and histone deacetylase complex (the NuRD complex), which promotes transcriptional repression by histone deacetylation and nucleosome remodeling; the PRC2 complex, which promotes repression of homeotic genes during development; and the NURF (nucleosome remodeling factor) complex.
-
基因功能參考文獻:
- ARMC12 promotes neuroblastoma progression through interaction with RBBP4. PMID: 30026490
- BCL11A interacts with histone methyltransferase (PRC2) and histone deacetylase (NuRD and SIN3A) complexes through their common subunit, RBBP4/7. PMID: 29263092
- RBAP48 overexpression contributes to the radiosensitivity of AGS gastric cancer cells via phosphoinositide3-kinase/protein kinase B pathway suppression. PMID: 29901205
- The MTA1 subunit of the nucleosome remodeling and deacetylase complex can recruit two copies of RBBP4/RBBP7. PMID: 27144666
- RbAp48 is likely to act as a potent antiretroviral defense. PMID: 27222146
- The crystal structure reveals an extensive interface between MTA1 and RBBP4. PMID: 27098840
- RBBP4 interacts with ep300 protein to form a complex that drives the expression of methylguanine-DNA-methyltransferase , RAD51, and other selected DNA repair genes through histone acetylation. PMID: 26972001
- RbAp48 was identified as critical in the proliferation of hypopharyngeal carcinoma in both in vitro and in vivo experiments. PMID: 26376479
- RBBP4 functions as a novel regulatory factor to increase the efficiency of importin alpha/beta-mediated nuclear import PMID: 26491019
- It is associated with episodic memory performance. PMID: 25150575
- Our RBBP4-PHF6 complex structure provides insights into the molecular basis of PHF6-NuRD complex interaction and implicates a role for PHF6 in chromatin structure modulation and gene regulation. PMID: 25601084
- Our results reveal that the protein structure does not affect ligand binding, and the top three TCM candidates Bittersweet alkaloid II, Eicosandioic acid, and Perivine might resolve the instability of the RbAp48-FOG1 complex PMID: 25165715
- RbAp48 recognizes MTA1 using the same site that it uses to bind histone H4, showing that assembly into NuRD modulates RbAp46/48 interactions with histones. PMID: 24920672
- The most significant change was an age-related decline in RbAp48, a histone-binding protein that modifies histone acetylation. PMID: 23986399
- study of the interaction of the histone H3-H4 complex with the RbAp48 and their exchange with a second histone chaperone, anti-silencing function protein 1 (ASF1); exchange of histones H3-H4 between these two histone chaperones has a central role in the assembly of new nucleosomes PMID: 23178455
- Data identified RBBP4 and RBBP9 as required for maintenance of multiple PS cell types, and both RBBPs were bound to RB in PS cells. PMID: 21689726
- The FOG-1 peptide contacts a negatively charged binding pocket on top of the RbAp48 beta-propeller that is distinct from the binding surface used by RpAp48 to contact histone H4 PMID: 21047798
- Upergulation of CAF-1 p48 subunit by overexpression of tuberous sclerosis gene products. PMID: 12893285
- expression of three (Beclin 1, RbAp48 and Pir51) were increased and one (aldolase b) was decreased in liver tumor tissues. PMID: 14966907
- RbAp48 is a NF-kappaB-regulated gene playing an important role in thyroid cancer cell autonomous proliferation. PMID: 17244783
- In conclusion, the data support a model whereby RbAp48 regulates cellular morphology and cytoskeletal organization by increasing K-Ras activity and signaling through MAPK. PMID: 17974974
- Data show that RbAp46 and RbAp48 interact with estrogen receptor (ER)alpha at endogenous, estrogen-responsive genes and alter expression of endogenous, ERalpha-activated and -repressed genes in MCF-7 breast cancer cells. PMID: 18577416
- Results report that transgenic expression of RbAp48 resulted in the development of autoimmune exocrinopathy resembling Sjogren's syndrome. PMID: 19015307
顯示更多
收起更多
-
亞細胞定位:Nucleus.
-
蛋白家族:WD repeat RBAP46/RBAP48/MSI1 family
-
數據庫鏈接:
Most popular with customers
-
YWHAB Recombinant Monoclonal Antibody
Applications: ELISA, WB, IHC, IF, FC
Species Reactivity: Human, Mouse, Rat
-
Phospho-YAP1 (S127) Recombinant Monoclonal Antibody
Applications: ELISA, WB, IHC
Species Reactivity: Human
-
-
-
-
-
-















