RAPGEF3 Recombinant Monoclonal Antibody
-
中文名稱:RAPGEF3 Recombinant Monoclonal Antibody
-
貨號:CSB-RA901944A0HU
-
規格:¥1320
-
圖片:
-
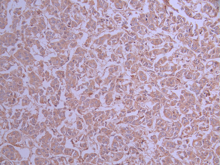
IHC image of CSB-RA901944A0HU diluted at 1:100 and staining in paraffin-embedded human breast cancer performed on a Leica BondTM system. After dewaxing and hydration, antigen retrieval was mediated by high pressure in a citrate buffer (pH 6.0). Section was blocked with 10% normal goat serum 30min at RT. Then primary antibody (1% BSA) was incubated at 4°C overnight. The primary is detected by a Goat anti-rabbit polymer IgG labeled by HRP and visualized using 0.05% DAB.
-
IHC image of CSB-RA901944A0HU diluted at 1:100 and staining in paraffin-embedded human lymph node tissue performed on a Leica BondTM system. After dewaxing and hydration, antigen retrieval was mediated by high pressure in a citrate buffer (pH 6.0). Section was blocked with 10% normal goat serum 30min at RT. Then primary antibody (1% BSA) was incubated at 4°C overnight. The primary is detected by a Goat anti-rabbit polymer IgG labeled by HRP and visualized using 0.05% DAB.
-
Overlay Peak curve showing Hela cells stained with CSB-RA901944A0HU (red line) at 1:100. The cells were fixed in 4% formaldehyde and permeated by 0.2% TritonX-100 for 10min. Then 10% normal goat serum to block non-specific protein-protein interactions followed by the antibody (1ug/1*106cells) for 45min at 4℃. The secondary antibody used was FITC-conjugated goat anti-rabbit IgG (H+L) at 1/200 dilution for 35min at 4℃.Control antibody (green line) was Rabbit IgG (1ug/1*106cells) used under the same conditions. Acquisition of >10,000 events was performed.
-
-
其他:
產品詳情
-
Uniprot No.:
-
基因名:
-
別名:Rap guanine nucleotide exchange factor 3 (Exchange factor directly activated by cAMP 1) (Exchange protein directly activated by cAMP 1) (EPAC 1) (Rap1 guanine-nucleotide-exchange factor directly activated by cAMP) (cAMP-regulated guanine nucleotide exchange factor I) (cAMP-GEFI), RAPGEF3, CGEF1 EPAC EPAC1
-
反應種屬:Human
-
免疫原:A synthesized peptide from human RAPGEF3 protein
-
免疫原種屬:Homo sapiens (Human)
-
標記方式:Non-conjugated
-
克隆類型:Monoclonal
-
抗體亞型:Rabbit IgG
-
純化方式:Affinity-chromatography
-
克隆號:7F12
-
濃度:It differs from different batches. Please contact us to confirm it.
-
保存緩沖液:Preservative: 0.03% Proclin 300
Constituents: 50% Glycerol, 0.01M PBS, PH 7.4 -
產品提供形式:Liquid
-
應用范圍:ELISA, IHC, FC
-
推薦稀釋比:
Application Recommended Dilution IHC 1:50-1:200 FC 1:50-1:200 -
Protocols:
-
儲存條件:Upon receipt, store at -20°C or -80°C. Avoid repeated freeze.
-
貨期:Basically, we can dispatch the products out in 1-3 working days after receiving your orders. Delivery time maybe differs from different purchasing way or location, please kindly consult your local distributors for specific delivery time.
-
用途:For Research Use Only. Not for use in diagnostic or therapeutic procedures.
相關產品
靶點詳情
-
功能:Guanine nucleotide exchange factor (GEF) for RAP1A and RAP2A small GTPases that is activated by binding cAMP. Through simultaneous binding of PDE3B to RAPGEF3 and PIK3R6 is assembled in a signaling complex in which it activates the PI3K gamma complex and which is involved in angiogenesis. Plays a role in the modulation of the cAMP-induced dynamic control of endothelial barrier function through a pathway that is independent on Rho-mediated signaling. Required for the actin rearrangement at cell-cell junctions, such as stress fibers and junctional actin.
-
基因功能參考文獻:
- Epac1 can restore normal insulin signaling in the retinal vasculature through reductions in inflammatory cytokines PMID: 30116147
- EPAC1inhibits AnxA2 surface translocation and plasminogen activation via PLCepsilon-PKC pathway. PMID: 29217666
- Cyclic AMP (cAMP), a secondary messenger responsible for various physiological processes regulates cell metabolism by activating Protein kinase A (PKA) and by targeting exchange protein directly activated by cAMP (EPAC). EPAC is present in two isoforms EPAC1 and EPAC2, which exhibit different tissue distribution and is involved in GDP/GTP exchange along with activating Rap1- and Rap2-mediated signaling pathways. PMID: 29417338
- These data reveal a MAPK pathway-independent switch in response to cAMP signaling during melanoma progression.Implications: The prosurvival mechanism involving the cAMP-EPAC-RAP1 signaling pathway suggest the potential for new targeted therapies in melanoma. PMID: 28851815
- Authors show that blockade of cAMP signaling using MDL12330A led to an increase in PUMA transcript levels, but not p21 in melanoma cells. Results suggest that transcriptional repression is one of the functions of the cAMP-Epac signaling pathway. PMID: 28489680
- Results show that Epac1 binds to importin beta1 which prevents its accumulation in plasma membrane and, uncover a cAMP-independent function of Epac1 at the plasma membrane in the regulation of neurite outgrowth. PMID: 27808165
- Data show that the Epac-Rap1 signaling axis is involved in triapine resistance. PMID: 27602951
- This study indicates a novel role for Epac1 in PGE2-induced epithelial-to-mesenchymal transition and subsequent activation of beta-catenin PMID: 27344171
- EPAC1 and EPAC2 expression levels were significantly lower in bladder cancer tissue than in normal bladder tissue. In addition, bladder cancer cell lines showed reduced EPAC1 mRNA expression. Furthermore, EPAC1 overexpression in bladder cancer cell lines induced morphologic changes and markedly suppressed cell migration without affecting cell viability. PMID: 29111327
- study suggests for the first time the mechanistic insights of mode of action of a primary cAMP-dependent sensor, Exchange protein activated by cAMP 1 (EPAC1), via its interaction with A-kinase anchoring protein 9 (AKAP9). PMID: 28210903
- We show that hematopoietic cell generation requires cAMP signaling through the Exchange proteins activated by cAMP (cAMP-Epac) axis..in hematopoietic progenitor and stem-like cells, cAMP induction mitigated oxidative stress, created a redox-state balance, and enhanced C-X-C chemokine receptor type 4 (CXCR4) expression, benefiting the maintenance of these primitive cells PMID: 27117782
- No significant association was observed between RAPGEF3 SNPs and the risk of Alzheimer's disease or neuropsychiatric inventory scores. PMID: 27598965
- This review focus is on the function of Epac in the heart. Accumulating evidence has revealed that both Epac1 and Epac2 play important roles in the structure and function of the heart under physiological and pathological conditions. [review] PMID: 27549789
- This interaction is promoted by EPAC1 activation, triggering its translocation to the plasma membrane and binding to NHERF1. Our findings identify a new CFTR-interacting protein and demonstrate that cAMP activates CFTR through two different but complementary pathways - the well-known PKA-dependent channel gating pathway and a new mechanism regulating endocytosis that involves EPAC1. PMID: 27206858
- The contribution of EGFR, EPAC, and Ca(2+) in CDCA-induced activation of CFTR-dependent Cl(-) secretion. PMID: 27558159
- Microtubule stabilization was further suggested by the finding that ascorbate increased the amount of Epac1 bound to alpha-tubulin. PMID: 27605450
- during Epac1-induced activation of mTORC1 and mTORC2, Epac1 may have an additional function as a scaffold protein PMID: 22173835
- The overexpression of EPAC1 can be used as a marker to predict the outcome of patients with GC, and EPAC1 represents a potential therapeutic modality for treating gastric cancer PMID: 28260059
- our data provide new insight into the essential role of Epac1 in regulating growth of ovarian cancer cells and suggest that Epac1 might represent an attractive therapeutic target for treatment of ovarian cancer. PMID: 27277757
- These findings suggested Epac is connected to the SDF-1 signaling cascades. In conclusion, our study revealed that Epac plays a role in human mesenchymal stem cells (hMSCs)homing by promoting adhesion and migration. Appropriate manipulation of Epac may enhance the homing of hMSCs and facilitate their future clinical applications. PMID: 26727165
- EPAC activity is increased in arterial endothelial cells exposed to laminar-fluid shear stress, activation of EPAC1, and its activation of Rap1, plays a role in promoting alignment and elongation of these cells in the direction of flow. PMID: 26979996
- EPAC activation consistently reverses clinical and experimental impairment of neutrophil phagocytosis. EPAC signals through Rap-1 and bypasses RhoA. EPAC activation represents a novel potential means by which to reverse impaired neutrophil phagocytosis. PMID: 26388312
- The cAMP exerted divergent effects on proliferation and promoted cell adhesion of different neuroendocrine cell types, these effects being mediated by both Epac and PKA and involving the same effector GTPase Rap1. PMID: 26589262
- Impaired microtubule dynamics, due to reduced EPAC1 signaling, links CFTR function to cystic fibrosis cellular events. PMID: 25955407
- Identified a conserved nuclear pore localisation signal (NPLS; amino acids 764-838 of EPAC1) in the catalytic domains of the cAMP-sensors, EPAC1 and EPAC2A. EPAC1 and EPAC2, display distinct subcellular distributions. PMID: 25683912
- Thyroid carcinoma cell lines showed no or very weak EPAC1 expression and exhibited no growth-promoting effect after EPAC stimulation. PMID: 25372777
- findings, coupled with the development of EPAC specific small molecule modulators, validate EPAC1 as a promising target for therapeutic interventions PMID: 26119090
- association of ezrin with the actin cytoskeleton and phosphorylation on Thr567 are required, but not sufficient, for PKA and EPAC1 to synergistically promote cell spreading following elevations in intracellular cAMP. PMID: 25913012
- These results demonstrate that glucagon increases hepatic FGF21 secretion via a posttranscriptional mechanism and provide evidence that both the PKA branch and EPAC branch of the cAMP pathway play a role in mediating this effect. PMID: 24733293
- Sequestration of sperm Rab27 prevents subsequent cAMP/Epac-dependent calcium mobilization from the acrosome. PMID: 25159528
- Our data may suggest that the downregulation of pulmonary Epac1 expression in COPD patients is related to the upregulation of miRNA-7 PMID: 24994109
- prostacyclin regulates bone growth via the Epac/Rap1 pathway PMID: 25406016
- These data suggested that Epac1 in melanoma cells regulates melanoma progression via the HS-FGF2-mediated cell-cell communication. PMID: 24725364
- EPAC1 and EPAC2 are critical signaling intermediates in osteoclast differentiation that permit RANKL-stimulated NFkB nuclear translocation and actin rearrangements PMID: 25122553
- cAMP binding to EPAC1 may involve, in addition to the waters from within the first coordination sphere, also some waters from the second coordination sphere of the protein and cAMP. PMID: 23968295
- AP1 activation and SOCS3 induction by EPAC1 in human umbilical vein endothelial cells occur independently of c-Jun phosphorylation on Ser63. PMID: 24631457
- data show the expression of EPAC is blunted in HPRT-deficient neuron-like cell lines and fibroblast cells from Lesch-Nyhan syndrome (LNS) patients; propose that the alterations in EPAC/RAP1 signaling and cell migration in HPRT deficiency are crucial for neuro-developmental events that may contribute to neurological dysfunctions in LNS PMID: 23804752
- Authors have shown that Epac-specific inhibitor treatment or silencing Epac-1 gene expression rendered cells resistant to Middle East respiratory syndrome coronavirus infection. PMID: 24453361
- Loss of epithelial integrity in tumorigenesis involves activation of RAP1 via exchange protein directly activated by cAMP (EPAC). PMID: 24316969
- the inhibitory effect of cAMP on migration, ruffling, focal adhesion dynamics and paxillin localisation is mediated by PKA, whilst EPAC potentiates migration. PMID: 23797058
- Epac1, a downstream effector of cAMP, functions as a pro-inflammatory modulator in prostate cancer cells. PMID: 23646189
- Taken together the results collected indicate that Epac may have an important role in the cardiac response to stress. PMID: 23220153
- Data indicate that Epac1-Rap1A-RhoA-ROCK signaling affects Cl- secretion via effects on the apical expression of KCNN4c channels. PMID: 23720748
- Epac1 competes with PDE4D5 to interact with beta-arrestin2 under beta2AR activation PMID: 23266473
- These data provide evidence for the involvement of the Epac/Rap1 signaling pathway in cAMP-mediated decidualization of human endometrial stromal cells. PMID: 23352189
- cAMP signalling decreases the level of the p300 protein by promoting its ubiquitin-proteasome dependent degradation, which is mediated by Epac and p38 MAPK PMID: 23523631
- HIF-1alpha binding to the Epac1 promoter recruits hematopoietic stem cells to the ischemic brain following stroke PMID: 22474076
- Activation of protein kinase A and exchange protein directly activated by cAMP promotes adipocyte differentiation of human mesenchymal stem cells PMID: 22479536
- cAMP increases adhesion of microvascular smooth muscle cells to fibronectin via an Epac mediated mechanism PMID: 22759971
- Data uncover a new Epac-Rap1-dependent pathway by which endothelial cells can regulate WPB exocytosis in response to agonists that signal through cAMP. PMID: 22511766
顯示更多
收起更多
-
亞細胞定位:Endomembrane system.
-
組織特異性:Widely expressed with highest levels in adult kidney, heart, thyroid and brain, and fetal kidney.
-
數據庫鏈接:
Most popular with customers
-
YWHAB Recombinant Monoclonal Antibody
Applications: ELISA, WB, IHC, IF, FC
Species Reactivity: Human, Mouse, Rat
-
Phospho-YAP1 (S127) Recombinant Monoclonal Antibody
Applications: ELISA, WB, IHC
Species Reactivity: Human
-
-
-
-
-
-















