RAB7A Recombinant Monoclonal Antibody
-
中文名稱:RAB7A Recombinant Monoclonal Antibody
-
貨號:CSB-RA898865A0HU
-
規格:¥1320
-
圖片:
-
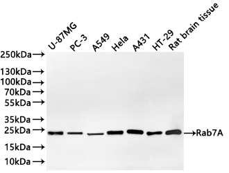
Western Blot
Positive WB detected in: U-87MG whole cell lysate(30μg), PC-3 whole cell lysate(30μg), A549 whole cell lysate(30μg), Hela whole cell lysate(30μg), A431 whole cell lysate(30μg), HT-29 whole cell lysate(30μg), Rat brain tissue lysate(30μg)
All lanes: Rab7A antibody at 1:1000
Secondary
Goat polyclonal to rabbit IgG at 1/40000 dilution
Predicted band size: 23 kDa
Observed band size: 23 kDa
Exposure time:2min -
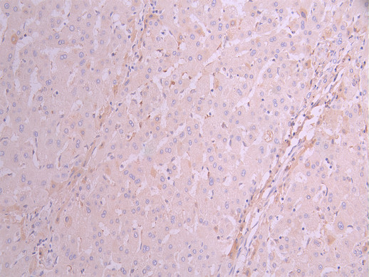
IHC image of CSB-RA898865A0HU diluted at 1:100 and staining in paraffin-embedded human liver cancer performed on a Leica BondTM system. After dewaxing and hydration, antigen retrieval was mediated by high pressure in a citrate buffer (pH 6.0). Section was blocked with 10% normal goat serum 30min at RT. Then primary antibody (1% BSA) was incubated at 4°C overnight. The primary is detected by a Goat anti-rabbit polymer IgG labeled by HRP and visualized using 0.05% DAB.
-
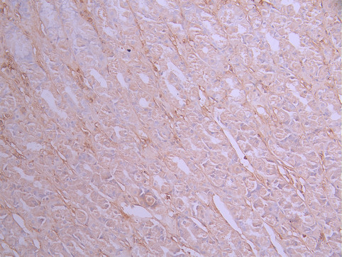
IHC image of CSB-RA898865A0HU diluted at 1:100 and staining in paraffin-embedded human stomach tissue performed on a Leica BondTM system. After dewaxing and hydration, antigen retrieval was mediated by high pressure in a citrate buffer (pH 6.0). Section was blocked with 10% normal goat serum 30min at RT. Then primary antibody (1% BSA) was incubated at 4°C overnight. The primary is detected by a Goat anti-rabbit polymer IgG labeled by HRP and visualized using 0.05% DAB.
-
Immunofluorescence staining of A431 cell with CSB-RA898865A0HU at 1:50, counter-stained with DAPI. The cells were fixed in 4% formaldehyde, permeabilized using 0.2% Triton X-100 and blocked in 10% normal Goat Serum. The cells were then incubated with the antibody overnight at 4°C. The secondary antibody was Alexa Fluor 488-congugated AffiniPure Goat Anti-Rabbit IgG(H+L).
-
Overlay Peak curve showing K562 cells stained with CSB-RA898865A0HU (red line) at 1:100. The cells were fixed in 4% formaldehyde and permeated by 0.2% TritonX-100 for 10min. Then 10% normal goat serum to block non-specific protein-protein interactions followed by the antibody (1ug/1*106cells) for 45min at 4℃. The secondary antibody used was FITC-conjugated goat anti-rabbit IgG (H+L) at 1/200 dilution for 35min at 4℃.Control antibody (green line) was Rabbit IgG (1ug/1*106cells) used under the same conditions. Acquisition of >10,000 events was performed.
-
-
其他:
產品詳情
-
Uniprot No.:
-
基因名:
-
別名:Ras-related protein Rab-7a, RAB7A, RAB7
-
反應種屬:Human, Rat
-
免疫原:A synthesized peptide from human RAB7A protein
-
免疫原種屬:Homo sapiens (Human)
-
標記方式:Non-conjugated
-
克隆類型:Monoclonal
-
抗體亞型:Rabbit IgG
-
純化方式:Affinity-chromatography
-
克隆號:15A6
-
濃度:It differs from different batches. Please contact us to confirm it.
-
保存緩沖液:Preservative: 0.03% Proclin 300
Constituents: 50% Glycerol, 0.01M PBS, PH 7.4 -
產品提供形式:Liquid
-
應用范圍:ELISA, WB, IHC, IF, FC
-
推薦稀釋比:
Application Recommended Dilution WB 1:500-1:2000 IHC 1:50-1:200 IF 1:50-1:200 FC 1:50-1:200 -
Protocols:
-
儲存條件:Upon receipt, store at -20°C or -80°C. Avoid repeated freeze.
-
貨期:Basically, we can dispatch the products out in 1-3 working days after receiving your orders. Delivery time maybe differs from different purchasing way or location, please kindly consult your local distributors for specific delivery time.
-
用途:For Research Use Only. Not for use in diagnostic or therapeutic procedures.
相關產品
靶點詳情
-
功能:Small GTPase which cycles between active GTP-bound and inactive GDP-bound states. In its active state, binds to a variety of effector proteins playing a key role in the regulation of endo-lysosomal trafficking. Governs early-to-late endosomal maturation, microtubule minus-end as well as plus-end directed endosomal migration and positioning, and endosome-lysosome transport through different protein-protein interaction cascades. Plays a central role, not only in endosomal traffic, but also in many other cellular and physiological events, such as growth-factor-mediated cell signaling, nutrient-transportor mediated nutrient uptake, neurotrophin transport in the axons of neurons and lipid metabolism. Also involved in regulation of some specialized endosomal membrane trafficking, such as maturation of melanosomes, pathogen-induced phagosomes (or vacuoles) and autophagosomes. Plays a role in the maturation and acidification of phagosomes that engulf pathogens, such as S.aureus and M.tuberculosis. Plays a role in the fusion of phagosomes with lysosomes. Plays important roles in microbial pathogen infection and survival, as well as in participating in the life cycle of viruses. Microbial pathogens possess survival strategies governed by RAB7A, sometimes by employing RAB7A function (e.g. Salmonella) and sometimes by excluding RAB7A function (e.g. Mycobacterium). In concert with RAC1, plays a role in regulating the formation of RBs (ruffled borders) in osteoclasts. Controls the endosomal trafficking and neurite outgrowth signaling of NTRK1/TRKA. Regulates the endocytic trafficking of the EGF-EGFR complex by regulating its lysosomal degradation. Involved in the ADRB2-stimulated lipolysis through lipophagy, a cytosolic lipase-independent autophagic pathway. Required for the exosomal release of SDCBP, CD63 and syndecan. Required for vesicular trafficking and cell surface expression of ACE2. May play a role in PRPH neuronal intermediate filament assembly.
-
基因功能參考文獻:
- control of RAB7 activity is not required for the recycling of retromer-dependent cargoes, but instead enables the correct sorting of the autophagy related transmembrane protein ATG9a and autophagosome formation around damaged mitochondria during Parkin-mediated mitophagy. PMID: 29158324
- The authors demonstrate that RABGEF1, the upstream factor of the endosomal Rab GTPase cascade, is recruited to damaged mitochondria via ubiquitin binding downstream of Parkin. RABGEF1 directs the downstream Rab proteins, RAB5 and RAB7A, to damaged mitochondria, whose associations are further regulated by mitochondrial Rab-GAPs. PMID: 29360040
- these findings reveal a new role of Rab7a in Endoplasmic Reticulum (ER)homeostasis, and indicate that genetic and pharmacological ER stress manipulation may restore ER morphology in Rab7a silenced cells. PMID: 29505800
- Mitochondria-lysosome contacts regulate mitochondrial fission via RAB7 GTP hydrolysis PMID: 29364868
- This paper identifies a CD44s-interacting small GTPase, Rab7A, and shows that CD44s inhibits Rab7A-mediated EGFR trafficking to lysosomes and subsequent degradation. PMID: 28716909
- results indicate that Rab7 palmitoylation is required for the spatiotemporal recruitment of retromer and efficient endosome-to-trans-Golgi network trafficking of the lysosomal sorting receptors. PMID: 28600323
- Hepatitis C virus (HCV) modifies cellular trafficking by cleaving Rab interacting lysosomal protein (RILP), which serves to redirect ras-related protein Rab-7 (Rab7)-containing vesicles to a kinesin-dependent trafficking mode promoting virion secretion. PMID: 27791088
- Rab7 GTPase plays a key role in regulating MDSCs development, differentiation, trans-endothelial migration, anti-tumor immunity and direct tumor stimulation through physical interaction with the mTOR complexes. PMID: 28415797
- The results were indicative that rabies virus N proficiently colocalized with Rab5/EEA1 and Rab7/LAMP1 in both cell lines at 24 and 48 h post-infection, while N titers significantly decreased in early infection of rabies virus. PMID: 28634871
- We provide evidence here that Rab7 is a substrate of Src kinase, and is tyrosine-phosphorylated by Src, withY183 residue of Rab7 being the optimal phosphorylation site for Src. Further investigations demonstrated that the tyrosine phosphorylation of Rab7 depends on the guanine nucleotide binding activity of Rab7 and the activity of Src kinase. PMID: 28336235
- clear effect of subcutaneous zoledronic acid administration in vivo on the prenylation of Rab1A, Rab5B, Rab7A and Rab14 in mouse peritoneal macrophages, confirming that systemic treatment with bisphosphonate drug can inhibit prenylation in myeloid cells in vivo outside the skeleton. PMID: 26399387
- increased endolysosomal iron causes cell death associated with increased cytosolic oxidative stress as well as autophagic impairments, and these effects are subject to modulation by endolysosomal ion channel activity in a RAB7A-dependent manner PMID: 27383256
- WDR91 serves as a Rab7 effector that is essential for neuronal development by facilitating endosome conversion in the endosome-lysosome pathway. PMID: 28860274
- The Vici syndrome protein EPG5 is a Rab7 effector that determines the fusion specificity of autophagosomes with late endosomes/lysosomes. PMID: 27588602
- up-regulation of RAB7A reported in Alzheimer's disease, could contribute to the extracellular accumulation of pathological TAU PMID: 28222213
- Rab7 accumulated in GCase deficient cells, supporting the notion that lysosomal recycling is impaired. Since recombinant GCase can reverse ALR impairment, we anticipate that strategies to restore GCase activity in the brains of both sporadic patients with PD and those with GBA1 mutations will improve autophagy lysosomal pathway, preventing the accumulation of a-synuclein and spread of pathology. PMID: 27378698
- The study highlighted the importance of a phosphorylation/dephosphorylation switch in controlling timely Rab7 localization and activity on endosomes. PMID: 27070490
- show that the maturation of Mtb-containing autophagosomes into autolysosomes required recruitment of the late endosome marker RAB7, forming the intermediate compartment amphisomes PMID: 26541268
- We validated ANKRD13A as a novel constituent of BCR signalosome and showed that BCR-induced phosphorylation of RAB7A at S72 regulates its association with its effector proteins and with endo-lysosomal compartments. PMID: 26038114
- Hepatitis B virus can regulate its own secretion through an activation of the endo-lysosomal and autophagic pathway mediated by Rab7 activation. PMID: 25770103
- provides molecular insights into the essential role of Vps26 and Vps35 in Rab7-mediated recruitment of the core retromer complex PMID: 25367362
- Data indicate that the secretion of microRNA miR-143, depends on rab GTP-binding proteins Rab7a and Rab27b. PMID: 26348397
- regulates hepatocyte lipid droplet catabolism PMID: 25565581
- Bacteria controled the localization or function of host Rab5 and Rab7, and therefore modify the maturation from early to late phagosomes.[review] PMID: 25566515
- Regulation of Rab7 activity by mutant LRRK2 in Parkinson's disease impairs membrane trafficking at very late stages of the endocytic pathway. PMID: 25080504
- LKB1 promotes RAB7-mediated neuropilin-1 degradation to inhibit angiogenesis PMID: 25180605
- Taken together, these results suggested that Rab7 acts as a negative regulator of prostate tumor growth and invasion, providing further evidence for its potential as a tumor suppressor. PMID: 24505328
- This study developed the animal model of CMT2B, modelling one of the mutations (L129F) in Drosophila melanogaster. Behavioural assays show that this model recapitulates several hallmarks of the human disease. PMID: 24521780
- Implicating the importance of this region for RAB7 protein. PMID: 24498653
- Data indicate that Rab5, Rab7 and Rab11 are involved in RGS4 traffics through plasma membrane recycling or endosome. PMID: 23733193
- HBV infection strongly depends on host Rab5 and Rab7 expression. PMID: 23536683
- interaction between disease-causing RAB7A mutants and peripherin could play an important role in Charcot-Marie-Tooth type 2B neuropathy PMID: 23179371
- Rab7 regulation in autophagy requires endogenous Armus and the activation profiles of Rac1 and Rab7 inversely correlate during starvatio in keratinocytes. PMID: 23562278
- results demonstrate that Rab7 CMT2B mutants impair growth factor receptor trafficking and, in turn, alter p38 and ERK1/2 signaling from perinuclear, clustered signaling endosomes PMID: 23188822
- This study found that significant evidence of association with RAB7 (VEGAS p = 0.018) in patient with Alzheimer disease. PMID: 22673115
- Mutations in LITAF, RAB7, LMNA, and MTMR2 genes are rare in Chinese Charcot-Marie-Tooth disease (CMT) patients. PMID: 20709679
- results suggest that Rab7A contributes to the mechanism by which Vpu counteracts the restriction factor BST2/Tetherin and rescues HIV-1 release; results highlight new roles for a major regulator of the late endocytic pathway, Rab7A, in the late stages of the HIV-1 replication cycle PMID: 22072966
- Data indicate that Rab7 siRNA knockdown causes increased E-cadherin. PMID: 22638108
- Inhibition of endosomal maturation-with siRNAs or dominant negative mutants targeting Rab5 and Rab7-inhibited infection and prevented release of Echovirus 7 RNA into the cell. PMID: 22496312
- Upregulated expresssion of rab4, rab5, rab7, and rab27 correlates with antemortem measures of cognitive decline in individuals with mild cognitive impariment and Alzheimer disease. PMID: 21669283
- the tail-domain of phafin1 provides lysosomal targeting signature and the ability to induce autophagy that is mediated by Rab7 signaling. PMID: 22115783
- Results suggest that Rab7 may play a role in secretory lysosome movement toward the centrosome by interacting with RILP to recruit the minus-end motor, dynein. PMID: 21438969
- Results indicate selective upregulation of Both rab5 and rab7 levels within basal forebrain, frontal cortex, and hippocampus in mild cognitive impairment and Alzheimer's disease. PMID: 20847427
- Rubicon serves as a previously unknown Rab7 effector to ensure the proper progression of the endocytic pathway. PMID: 20974968
- Rab5 and Rab7, were associated with the pathway of autophagosome formation and the fate of intracellular group A streptococcus. PMID: 20472552
- although only TBC1D15/Rab7-GAP altered Rab7-GTP levels, both Rab7-GAP and mVps39 regulate lysosomal morphology and play a role in maintaining growth factor dependence PMID: 20363736
- Disease mutations uncouple Rab7 from the spatial and temporal control normally imposed by regulatory proteins and cause disease not by a gain of novel toxic function, but by misregulation of native Rab7 activity. PMID: 20028791
- mechanisms of GAS-containing autophagosome-like vacuoles formation includes not only the common machinery of autophagy, but also Rab7 as an additional component, which is dispensable in canonical autophagosome formation. PMID: 19956673
- an endocytotic catalyst, a tandem regulator of thyroid hormone production PMID: 12034881
- may be involved in the process of atherogenesis PMID: 12054610
顯示更多
收起更多
-
相關疾病:Charcot-Marie-Tooth disease 2B (CMT2B)
-
亞細胞定位:Cytoplasmic vesicle, phagosome membrane; Peripheral membrane protein; Cytoplasmic side. Late endosome membrane; Peripheral membrane protein; Cytoplasmic side. Lysosome membrane; Peripheral membrane protein; Cytoplasmic side. Melanosome membrane; Peripheral membrane protein; Cytoplasmic side. Cytoplasmic vesicle, autophagosome membrane; Peripheral membrane protein; Cytoplasmic side. Lipid droplet. Endosome membrane; Peripheral membrane protein. Cytoplasmic vesicle.
-
蛋白家族:Small GTPase superfamily, Rab family
-
組織特異性:Widely expressed; high expression found in skeletal muscle.
-
數據庫鏈接:
Most popular with customers
-
-
YWHAB Recombinant Monoclonal Antibody
Applications: ELISA, WB, IHC, IF, FC
Species Reactivity: Human, Mouse, Rat
-
Phospho-YAP1 (S127) Recombinant Monoclonal Antibody
Applications: ELISA, WB, IHC
Species Reactivity: Human
-
-
-
-
-















