Phospho-NPM1 (S125) Recombinant Monoclonal Antibody
-
中文名稱:Phospho-NPM1 (S125) Recombinant Monoclonal Antibody
-
貨號:CSB-RA170404A0HU
-
規格:¥1320
-
圖片:
-
Western Blot
Positive WB detected in: MCF7 whole cell lysate(30μg), HEK293 whole cell lysate(30μg), A549 whole cell lysate(30μg), U251 whole cell lysate(30μg), Hela whole cell lysate(30μg), Mouse brain tissue lysate(30μg)
All lanes: p-Nucleophosmin (S125) antibody at 1:1000
Secondary
Goat polyclonal to rabbit IgG at 1/40000 dilution
Predicted band size: 33 kDa
Observed band size: 38 kDa
Exposure time:2min -
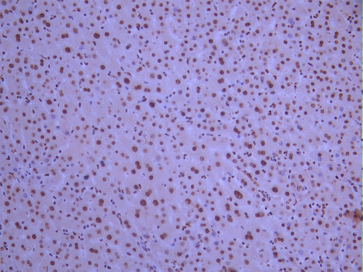
IHC image of CSB-RA170404A0HU diluted at 1:100 and staining in paraffin-embedded human liver tissue performed on a Leica BondTM system. After dewaxing and hydration, antigen retrieval was mediated by high pressure in a citrate buffer (pH 6.0). Section was blocked with 10% normal goat serum 30min at RT. Then primary antibody (1% BSA) was incubated at 4°C overnight. The primary is detected by a Goat anti-rabbit polymer IgG labeled by HRP and visualized using 0.05% DAB.
-
IHC image of CSB-RA170404A0HU diluted at 1:100 and staining in paraffin-embedded human colorectal cancer performed on a Leica BondTM system. After dewaxing and hydration, antigen retrieval was mediated by high pressure in a citrate buffer (pH 6.0). Section was blocked with 10% normal goat serum 30min at RT. Then primary antibody (1% BSA) was incubated at 4°C overnight. The primary is detected by a Goat anti-rabbit polymer IgG labeled by HRP and visualized using 0.05% DAB.
-
Immunofluorescence staining of HepG2 cell with CSB-RA170404A0HU at 1:50 , counter-stained with DAPI. The cells were fixed in 4% formaldehyde, permeabilized using 0.2% Triton X-100 and blocked in 10% normal Goat Serum. The cells were then incubated with the antibody overnight at 4°C. The secondary antibody was Alexa Fluor 488-congugated AffiniPure Goat Anti-Rabbit IgG(H+L).
-
Overlay Peak curve showing jurkat cells stained with CSB-RA170404A0HU (red line) at 1:100. The cells were fixed in 4% formaldehyde and permeated by 0.2% TritonX-100 for 10min. Then 10% normal goat serum to block non-specific protein-protein interactions followed by the antibody (1ug/1*106cells) for 45min at 4℃. The secondary antibody used was FITC-conjugated goat anti-rabbit IgG (H+L) at 1/200 dilution for 35min at 4℃.Control antibody (green line) was Rabbit IgG (1ug/1*106cells) used under the same conditions. Acquisition of >10, 000 events was performed.
-
-
其他:
產品詳情
-
Uniprot No.:
-
基因名:
-
別名:B23 antibody; MGC104254 antibody; NO38 antibody; NPM antibody; NPM_HUMAN antibody; NPM1 antibody; Nucleolar phosphoprotein B23 antibody; Nucleolar protein NO38 antibody; Nucleophosmin (nucleolar phosphoprotein B23 numatrin) antibody; Nucleophosmin antibody; nucleophosmin nucleoplasmin family member 1 antibody; Nucleophosmin/nucleoplasmin family member 1 antibody; Numatrin antibody; OTTHUMP00000161024 antibody; OTTHUMP00000161025 antibody; OTTHUMP00000223397 antibody; OTTHUMP00000223398 antibody
-
反應種屬:Human, Mouse
-
免疫原:A synthesized peptide from human NPM1 protein
-
免疫原種屬:Homo sapiens (Human)
-
標記方式:Non-conjugated
-
克隆類型:Monoclonal
-
抗體亞型:Rabbit IgG
-
純化方式:Affinity-chromatography
-
克隆號:12B1
-
濃度:It differs from different batches. Please contact us to confirm it.
-
保存緩沖液:Rabbit IgG in 10mM phosphate buffered saline , pH 7.4, 150mM sodium chloride, 0.05% BSA, 0.02% sodium azide and 50% glycerol.
-
產品提供形式:Liquid
-
應用范圍:ELISA, WB, IHC, IF, FC
-
推薦稀釋比:
Application Recommended Dilution WB 1:500-1:5000 IHC 1:50-1:200 IF 1:50-1:200 FC 1:50-1:200 -
Protocols:
-
儲存條件:Upon receipt, store at -20°C or -80°C. Avoid repeated freeze.
-
貨期:Basically, we can dispatch the products out in 1-3 working days after receiving your orders. Delivery time maybe differs from different purchasing way or location, please kindly consult your local distributors for specific delivery time.
-
用途:For Research Use Only. Not for use in diagnostic or therapeutic procedures.
相關產品
靶點詳情
-
功能:Involved in diverse cellular processes such as ribosome biogenesis, centrosome duplication, protein chaperoning, histone assembly, cell proliferation, and regulation of tumor suppressors p53/TP53 and ARF. Binds ribosome presumably to drive ribosome nuclear export. Associated with nucleolar ribonucleoprotein structures and bind single-stranded nucleic acids. Acts as a chaperonin for the core histones H3, H2B and H4. Stimulates APEX1 endonuclease activity on apurinic/apyrimidinic (AP) double-stranded DNA but inhibits APEX1 endonuclease activity on AP single-stranded RNA. May exert a control of APEX1 endonuclease activity within nucleoli devoted to repair AP on rDNA and the removal of oxidized rRNA molecules. In concert with BRCA2, regulates centrosome duplication. Regulates centriole duplication: phosphorylation by PLK2 is able to trigger centriole replication. Negatively regulates the activation of EIF2AK2/PKR and suppresses apoptosis through inhibition of EIF2AK2/PKR autophosphorylation. Antagonizes the inhibitory effect of ATF5 on cell proliferation and relieves ATF5-induced G2/M blockade. In complex with MYC enhances the transcription of MYC target genes.
-
基因功能參考文獻:
- NPM1 and SURF6 form heterotypic liquid-like droplets in the nucleolus. PMID: 29483575
- High NPM1 expression is associated with tongue neoplasms. PMID: 29746960
- his meta-analysis indicated that NPM may act as a valuable prognosis biomarker and a potential therapeutic target in human solid tumors. PMID: 30126359
- this paper shows that viral nucleocapsid interacts with NPM1 and protects it from proteolytic cleavage, enhancing Cell survival, and is involved in porcine epidemic diarrhea virus growth PMID: 28045037
- DNMT3A R882 mutation plays an important role in CN-AML patients' prognosis and clinical outcomes in the presence and absence of NPM1 and FLT3 mutations. PMID: 29079128
- Mutation in NPM1 gene is associated with Acute Myeloid Leukemia. PMID: 29530994
- Nucleoplasmic translocation of NPM1 is a prerequisite for stress-induced activation of p53. PMID: 27886181
- NPM1 gene B type mutation enhanced the proliferation and invasion of THP-1 AML cells through the regulation of TIMP-2, MMP-2, Ang-1, c-myc and CCND1 PMID: 29441887
- In this study, FLT3 and NPM1 mutations were evaluated in adult Iranian patients with de novo cytogenetically normal acute myeloid leukemia and its correlations with clinical and laboratory parameters were also assessed. PMID: 28294102
- These observations demonstrated that the expression and localization of NPM affected the homeostatic balance of oxidative stress in tumor cells via PRDX6 protein. The regulation axis of NPM/PRDX/ROS may provide a novel therapeutic target for cancer treatment. PMID: 28513872
- ese results enhance our understanding of the molecular mechanisms that govern nucleoli formation by demonstrating that PPM1D regulates nucleolar formation by regulating NPM phosphorylation status through a novel signalling pathway, PPM1D-CDC25C-CDK1-PLK1 PMID: 27619510
- Data suggest that the direct interaction of several regions of nucleophosmin 1 (NPM1) C-terminal domain (CTD) with cellular membranes could be implicated in diseases where NPM1 is mutated and/or where its overexpression is cytoxic. PMID: 29330024
- Mechanically, mutant NPM1 interacted with PML and mediated its delocalization as well as stabilization contributing to elevated autophagic activity and leukemic cell survival in vitro. PMID: 28740552
- Mutation analysis in NPM1 in acute myeloid leukemia. PMID: 27071442
- We conclude that the degradation of NPM1 and HEXIM1 through autophagy in certain AML subsets contributes to the activation of the BET pathway in these cells. PMID: 27732946
- miR-10b exerts its effects by repressing the translation of KLF4 and that NPM1-mA inhibits myeloid differentiation through the miR-10b/KLF4 axis. PMID: 27669739
- NPM1 may play an important role in tumor progress in salivary gland adenoid cystic carcinoma (SACC) and is a potential biomarker for SACC. PMID: 27501253
- Data show that phosphorylated forms of nucleophosmin 1 (NPM1) interact with androgen receptor (AR) in nucleoplasm. PMID: 26993766
- Studies indicate that nucleophosmin 1 (NPM1) has been considered as a promising target for the treatment of both haematologic and solid malignancies. PMID: 27058426
- Work identifies the TP53 tumor suppressor as a novel target through which NPM1-RARA impacts leukemogenesis. PMID: 26754533
- These results suggested that relocation of NPM altered its interactional network and consequently disturbed the primary functions, including cell proliferation, adhesion, migration, and invasion. NPM plays a promotional role in cancer. PMID: 28262969
- the consequence of mutations in NPM1 and possible mechanisms through which mutations lead to leukemogenesis (review0. PMID: 28111462
- NPM1 mutation but not RUNX1 mutation or multilineage dysplasia defines a prognostic subgroup within de novo acute myeloid leukemia lacking recurrent cytogenetic abnormalities PMID: 28370403
- Nucleophosmin 1 (NPM1) mutations in chronic myelomonocytic leukemia and their prognostic relevance. PMID: 28707414
- Multivariable analyses on time to relapse and OS revealed pre-transplant NPM1 MRD levels >1% as an independent prognostic factor for poor survival after allogeneic HSCT, whereas FLT3-ITD had no impact. Notably, outcome of patients with pre-transplant NPM1 MRD positivity >1% was as poor as that of patients transplanted with RD. PMID: 27471865
- Our results indicate that CD4 expression and older age are adverse prognostic factors in wild-type NPM1, FLT3-ITD-negative CN-AML. PMID: 28318150
- NPM1-dependent nucleolar PIDDosome is a key initiator of the caspase-2 activation cascade. PMID: 28432080
- Data indicate that NPM-ALK was distributed in equal amounts between the cytoplasm and the nucleus. PMID: 26657151
- The aim of this review is to look at the less well-described role of NPM1 in the DNA repair pathways as well as the role of NPM1 in the regulation of apoptosis and its mutation in cancers. [review] PMID: 27553022
- revealed that the localization of fluorescently labeled NPM is affected by the interaction between various forms of the protein PMID: 28384310
- value of mutated NPM1 in AML in risk assessment and evaluating prognosis PMID: 27416910
- NPM1 downregulation by P-STAT5 is mediated by impairing the BRCA1-BARD1 ubiquitin ligase, which controls the stability of NPM1. In turn, decreased NPM1 levels led to suppression of p53 expression, resulting in enhanced cell survival. PMID: 28005077
- These results suggest that the p38/NPM/PP2A complex acts as a dynamic sensor, allowing endothelial cells to react rapidly to acute oxidative stress. PMID: 27142525
- Nucleophosmin-anaplastic lymphoma kinase serves as the founding member of the ALK fusion protein family, and its role in malignant cell transformation is by far the best characterized and, thus, is the main focus of this review. [review] PMID: 27879258
- data suggest that NPM1 mutations are a secondary or late event in the pathogenesis of AML and are preceded by founder mutations in genes that may be associated with recently described preclinical states such as clonal hematopoiesis of indeterminate potential or clonal cytopenias of undetermined significance. PMID: 28152414
- Mutations of NPM1 gene is associated with Acute myeloid leukemia. PMID: 27636548
- RQ-PCR of the NPM1 type A mutation was more sensitive and reliable than MFC for determination of minimal residual disease , which might have clinical implications. PMID: 27191933
- The results demonstrated that NPM downregulation markedly reversed the effects of multidrug resistance in in human hepatoma cells. In addition, NPM downregulation reduced P-glycoprotein expression, as well as MDR1 expression. PMID: 28259962
- Only karyotype and mutated NPM1 (NPM1mut) were independent predictors of survival in acute myeloid leukemia PMID: 27643573
- Our study provides a method for systematic characterization of NPM1 oligomer formation changes and for screening inhibitors of NPM1 oligomerization. PMID: 27983985
- Mutation of NPM1 determined by the widely available and inexpensive Immunohistochemical(IHC )agrees closely with results of the standard molecular methods. Thus, technically and financially not well endowed laboratories can provide the prognostically and potentially therapeutically important information on NPM1 mutation using IHC. PMID: 27748301
- In pediatric patients with AML from Argentina, a favorable prognosis of AML with genotype NPM1-mutated/FLT3-ITD-negative was confirmed. PMID: 27436336
- This study investigated the expression level of miR-1, miR-486, and let-7a in 45 CN-AML patients well characterized for FLT3 and/or NPM1 mutations using real-time quantitative RT-PCR and evaluated the association between candidate miRs expression and clinical features PMID: 26526573
- data showed that the pre-transplant level of MRD in patients with normal karyotype AML harboring NPM1 mutation in CR provides important prognostic information, which as an independent prognostic factor predicts transplant results PMID: 27798920
- Molecular subtypes of NPM1 mutations have different clinical profiles, specific patterns of accompanying molecular mutations and varying outcomes in intermediate risk acute myeloid leukemia. PMID: 26471486
- In this study, a direct association was observed between NPMc(+)expression in AML, reduced antioxidant responses, and enhanced sensitivity to an oral proteasome inhibitor that induces oxidative stress. PMID: 26634271
- analysis of the frequency and features of Acute myeloid leukemia with mutated NPM1 in Indian patients PMID: 26669619
- Nucleophosmin Interacts with promyelocytic leukemia protein/retinoic acid receptor alpha Only in the Resistant Cell Line. PMID: 26997274
- Longitudinal qPCR monitoring of nucleophosmin 1 mutations after allogeneic hematopoietic stem cell transplantation to predict AML relapse. PMID: 26642331
- results suggest that cup-like nuclei represent an important morphologic clue that can predict NPMc+ AML and guide toward prioritizing the further workup of AML patients PMID: 26200838
顯示更多
收起更多
-
相關疾病:A chromosomal aberration involving NPM1 is found in a form of non-Hodgkin lymphoma. Translocation t(2;5)(p23;q35) with ALK. The resulting chimeric NPM1-ALK protein homodimerize and the kinase becomes constitutively activated.
-
亞細胞定位:Nucleus, nucleolus. Nucleus, nucleoplasm. Cytoplasm, cytoskeleton, microtubule organizing center, centrosome. Note=Generally nucleolar, but is translocated to the nucleoplasm in case of serum starvation or treatment with anticancer drugs. Has been found in the cytoplasm in patients with primary acute myelogenous leukemia (AML), but not with secondary AML. Can shuttle between cytoplasm and nucleus. Co- localizes with the methylated form of RPS10 in the granular component (GC) region of the nucleolus. Colocalized with nucleolin and APEX1 in nucleoli. Isoform 1 of NEK2 is required for its localization to the centrosome during mitosis.
-
蛋白家族:Nucleoplasmin family
-
數據庫鏈接:
Most popular with customers
-
-
YWHAB Recombinant Monoclonal Antibody
Applications: ELISA, WB, IHC, IF, FC
Species Reactivity: Human, Mouse, Rat
-
Phospho-YAP1 (S127) Recombinant Monoclonal Antibody
Applications: ELISA, WB, IHC
Species Reactivity: Human
-
-
-
-
-















