PUM1 Recombinant Monoclonal Antibody
-
中文名稱:PUM1 Recombinant Monoclonal Antibody
-
貨號:CSB-RA090772A0HU
-
規格:¥1320
-
圖片:
-
Western Blot
Positive WB detected in: HEK293 whole cell lysate(30μg),COLO-205 whole cell lysate(30μg)
All lanes: Pumilio 1 antibody at 1:1000
Secondary
Goat polyclonal to rabbit IgG at 1/40000 dilution
Predicted band size: 126 kDa
Observed band size: 140 kDa
Exposure time:2min -
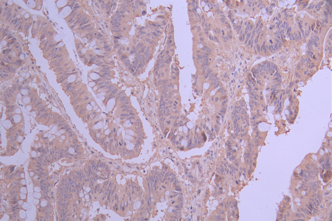
IHC image of CSB-RA090772A0HU diluted at 1:100 and staining in paraffin-embedded human colorectal cancer performed on a Leica BondTM system. After dewaxing and hydration, antigen retrieval was mediated by high pressure in a citrate buffer (pH 6.0). Section was blocked with 10% normal goat serum 30min at RT. Then primary antibody (1% BSA) was incubated at 4°C overnight. The primary is detected by a Goat anti-rabbit polymer IgG labeled by HRP and visualized using 0.05% DAB.
-
Overlay Peak curve showing Hela cells stained with CSB-RA090772A0HU (red line) at 1:100. The cells were fixed in 4% formaldehyde and permeated by 0.2% TritonX-100 for 10min. Then 10% normal goat serum to block non-specific protein-protein interactions followed by the antibody (1ug/1*106cells) for 45min at 4℃. The secondary antibody used was FITC-conjugated goat anti-rabbit IgG (H+L) at 1/200 dilution for 35min at 4℃.Control antibody (green line) was Rabbit IgG (1ug/1*106cells) used under the same conditions. Acquisition of >10,000 events was performed.
-
-
其他:
產品詳情
-
Uniprot No.:
-
基因名:
-
別名:Pumilio homolog 1 (HsPUM) (Pumilio-1), PUM1, KIAA0099 PUMH1
-
反應種屬:Human
-
免疫原:A synthesized peptide derived from human PUM1
-
免疫原種屬:Homo sapiens (Human)
-
標記方式:Non-conjugated
-
克隆類型:Monoclonal
-
抗體亞型:Rabbit IgG
-
純化方式:Affinity-chromatography
-
克隆號:9A9
-
濃度:It differs from different batches. Please contact us to confirm it.
-
保存緩沖液:Rabbit IgG in 10mM phosphate buffered saline , pH 7.4, 150mM sodium chloride, 0.05% BSA, 0.02% sodium azide and 50% glycerol.
-
產品提供形式:Liquid
-
應用范圍:ELISA, WB, IHC, FC
-
推薦稀釋比:
Application Recommended Dilution WB 1:500-1:2000 IHC 1:50-1:200 FC 1:50-1:200 -
Protocols:
-
儲存條件:Upon receipt, store at -20°C or -80°C. Avoid repeated freeze.
-
貨期:Basically, we can dispatch the products out in 1-3 working days after receiving your orders. Delivery time maybe differs from different purchasing way or location, please kindly consult your local distributors for specific delivery time.
-
用途:For Research Use Only. Not for use in diagnostic or therapeutic procedures.
相關產品
靶點詳情
-
功能:Sequence-specific RNA-binding protein that acts as a post-transcriptional repressor by binding the 3'-UTR of mRNA targets. Binds to an RNA consensus sequence, the Pumilio Response Element (PRE), 5'-UGUANAUA-3', that is related to the Nanos Response Element (NRE). Mediates post-transcriptional repression of transcripts via different mechanisms: acts via direct recruitment of the CCR4-POP2-NOT deadenylase leading to translational inhibition and mRNA degradation. Also mediates deadenylation-independent repression by promoting accessibility of miRNAs. Following growth factor stimulation, phosphorylated and binds to the 3'-UTR of CDKN1B/p27 mRNA, inducing a local conformational change that exposes miRNA-binding sites, promoting association of miR-221 and miR-222, efficient suppression of CDKN1B/p27 expression, and rapid entry to the cell cycle. Acts as a post-transcriptional repressor of E2F3 mRNAs by binding to its 3'-UTR and facilitating miRNA regulation. Represses a program of genes necessary to maintain genomic stability such as key mitotic, DNA repair and DNA replication factors. Its ability to repress those target mRNAs is regulated by the lncRNA NORAD (non-coding RNA activated by DNA damage) which, due to its high abundance and multitude of PUMILIO binding sites, is able to sequester a significant fraction of PUM1 and PUM2 in the cytoplasm. Involved in neuronal functions by regulating ATXN1 mRNA levels: acts by binding to the 3'-UTR of ATXN1 transcripts, leading to their down-regulation independently of the miRNA machinery. Plays a role in cytoplasmic sensing of viral infection. In testis, acts as a post-transcriptional regulator of spermatogenesis by binding to the 3'-UTR of mRNAs coding for regulators of p53/TP53. Involved in embryonic stem cell renewal by facilitating the exit from the ground state: acts by targeting mRNAs coding for naive pluripotency transcription factors and accelerates their down-regulation at the onset of differentiation. Binds specifically to miRNA MIR199A precursor, with PUM2, regulates miRNA MIR199A expression at a postranscriptional level.
-
基因功能參考文獻:
- Variants in PUM1 may not contribute to primary ovarian insufficiency in Han Chinese women PMID: 29297114
- PUM1 SNP is associated with Osteoporosis and Obesity. PMID: 29145611
- Results indicate that pumilio RNA binding family member 1 (PUM1) is a negative regulator of RNA helicase LGP2 (LGP2), a master regulator of innate immunity genes expressed in a cascade fashion. PMID: 28760986
- Thus, PUM1 promotes the development and progression of ovarian cancer, which may occur via the above-mentioned molecules. PMID: 29428722
- A recent paper by the Mendell group identifies NORAD, a novel lncRNA that is regulated in response to DNA damage and plays a key role in maintaining genome integrity by modulating the activity the RNA binding proteins PUM2 and PUM1. PMID: 27157388
- results reveal a novel regulatory pathway, underscoring a previously unknown and interconnected key role of PUM1/2 and FOXP1 in regulating normal hematopoietic stem/progenitor cell and leukemic cell growth. PMID: 28232582
- Pumilios (including PUM1 and PUM2) are RNA-binding proteins with Puf domains made up of 8 poorly conserved Puf repeats, 3 helix bundles arranged in rainbow architecture, where each repeat recognizes a single base of the RNA-binding sequence. [REVIEW] PMID: 26517885
- Identification of NORAD-interacting proteins revealed that this lncRNA functions as a multivalent binding platform for PUM proteins, with the capacity to sequester a significant fraction of the total cellular pool of PUM1 and PUM2.Studies reveal unanticipated roles for a lncRNA and PUMILIO proteins in the maintenance of genomic stability. PMID: 26724866
- PUM repeats have now been identified in proteins that function in pre-rRNA processing, including human Puf-A and yeast Puf6. PMID: 25512524
- The promoting effect of hPuf-A in tumorigenesis might be correlated with the regulation of its associated mRNAs. PMID: 23625657
- MED15 and PUM1 proteins with coiled-coil domains are potent enhancers of polyQ-mediated ataxin-1 protein misfolding and proteotoxicity in vitro and in vivo. PMID: 22916034
- human Pumilio homologs Pum 1 and Pum 2 repress the translation of E2F3 by binding to the E2F3 3' untranslated region (UTR) and also enhance the activity of multiple E2F3 targeting microRNAs (miRNAs) PMID: 22345517
- Three distinct modes of target RNA binding by PUM1 around the fifth mRNA base were observed. PMID: 21397187
- Pumilio-1 (PUM1) is a ubiquitously expressed RBP that was shown to interact with p27-3' UTR. PMID: 20818387
- The reference genes of choice when performing RT-qPCR on normal and malignant breast specimens should be either the collected group of 3 genes (TBP, RPLP0 and PUM1) employed as an average, or PUM1 as a single gene. PMID: 18211679
- Description of the structures of hPum Puf domain complexed to two noncognate RNAs, CycB(reverse) and Puf5. PMID: 18328718
- ribonomic analysis of mRNAs associated with ribonucleoproteins containing an endogenous human PUF protein, Pum1 PMID: 18411299
- Puf-A transcripts were uniformly distributed in early embryos, but became restricted primarily to eyes and ovaries at a later stage of development PMID: 19319195
顯示更多
收起更多
-
亞細胞定位:Cytoplasm. Cytoplasm, P-body. Cytoplasmic granule.
-
組織特異性:Expressed in brain, heart, kidney, muscle, intestine and stomach. Not expressed in cerebellum, corpus callosum, caudate nucleus, hippocampus, medulla oblongata and putamen. Expressed in all fetal tissues tested.
-
數據庫鏈接:
Most popular with customers
-
-
YWHAB Recombinant Monoclonal Antibody
Applications: ELISA, WB, IHC, IF, FC
Species Reactivity: Human, Mouse, Rat
-
Phospho-YAP1 (S127) Recombinant Monoclonal Antibody
Applications: ELISA, WB, IHC
Species Reactivity: Human
-
-
-
-
-















