PPP1R1A Recombinant Monoclonal Antibody
-
中文名稱:PPP1R1A Recombinant Monoclonal Antibody
-
貨號:CSB-RA292221A0HU
-
規格:¥1320
-
圖片:
-
IHC image of CSB-RA292221A0HU diluted at 1:100 and staining in paraffin-embedded human breast cancer performed on a Leica BondTM system. After dewaxing and hydration, antigen retrieval was mediated by high pressure in a citrate buffer (pH 6.0). Section was blocked with 10% normal goat serum 30min at RT. Then primary antibody (1% BSA) was incubated at 4°C overnight. The primary is detected by a Goat anti-rabbit polymer IgG labeled by HRP and visualized using 0.05% DAB.
-
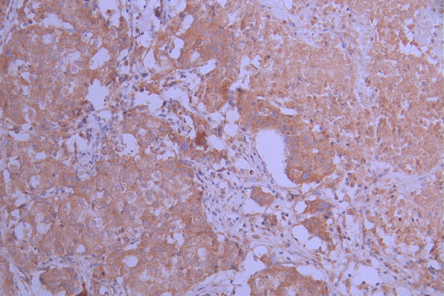
IHC image of CSB-RA292221A0HU diluted at 1:100 and staining in paraffin-embedded human pancreatic tissue performed on a Leica BondTM system. After dewaxing and hydration, antigen retrieval was mediated by high pressure in a citrate buffer (pH 6.0). Section was blocked with 10% normal goat serum 30min at RT. Then primary antibody (1% BSA) was incubated at 4°C overnight. The primary is detected by a Goat anti-rabbit polymer IgG labeled by HRP and visualized using 0.05% DAB.
-
Overlay Peak curve showing SH-SY5Y cells stained with CSB-RA292221A0HU (red line) at 1:100. The cells were fixed in 4% formaldehyde and permeated by 0.2% TritonX-100 for 10min. Then 10% normal goat serum to block non-specific protein-protein interactions followed by the antibody (1ug/1*106cells) for 45min at 4℃. The secondary antibody used was FITC-conjugated goat anti-rabbit IgG (H+L) at 1/200 dilution for 35min at 4℃.Control antibody (green line) was Rabbit IgG (1ug/1*106cells) used under the same conditions. Acquisition of >10,000 events was performed.
-
-
其他:
產品詳情
-
Uniprot No.:
-
基因名:PPP1R1A
-
別名:Protein phosphatase 1 regulatory subunit 1A (Protein phosphatase inhibitor 1) (I-1) (IPP-1), PPP1R1A, IPP1
-
反應種屬:Human
-
免疫原:A synthesized peptide derived from human PPP1R1A
-
免疫原種屬:Homo sapiens (Human)
-
標記方式:Non-conjugated
-
克隆類型:Monoclonal
-
抗體亞型:Rabbit IgG
-
純化方式:Affinity-chromatography
-
克隆號:5G11
-
濃度:It differs from different batches. Please contact us to confirm it.
-
保存緩沖液:Rabbit IgG in 10mM phosphate buffered saline , pH 7.4, 150mM sodium chloride, 0.05% BSA, 0.02% sodium azide and 50% glycerol.
-
產品提供形式:Liquid
-
應用范圍:ELISA, IHC, FC
-
推薦稀釋比:
Application Recommended Dilution IHC 1:50-1:200 FC 1:50-1:200 -
Protocols:
-
儲存條件:Upon receipt, store at -20°C or -80°C. Avoid repeated freeze.
-
貨期:Basically, we can dispatch the products out in 1-3 working days after receiving your orders. Delivery time maybe differs from different purchasing way or location, please kindly consult your local distributors for specific delivery time.
-
用途:For Research Use Only. Not for use in diagnostic or therapeutic procedures.
相關產品
靶點詳情
-
功能:Inhibitor of protein-phosphatase 1. This protein may be important in hormonal control of glycogen metabolism. Hormones that elevate intracellular cAMP increase I-1 activity in many tissues. I-1 activation may impose cAMP control over proteins that are not directly phosphorylated by PKA. Following a rise in intracellular calcium, I-1 is inactivated by calcineurin (or PP2B). Does not inhibit type-2 phosphatases.
-
基因功能參考文獻:
- These findings suggest that the human G109E inhibitor-1 variant impairs sarcoplasmic reticulum Ca-cycling and promotes arrhythmogenesis under stress conditions. PMID: 26455482
- I-1 and sarco/endoplasmic reticulum Ca2+ -ATPase synergistically induce the vascular smooth muscle cell contractile phenotype. PMID: 24249716
- multiple domains in I-1 target cellular PP1 complexes, and I-1 has a role as a cellular regulator of eIF2alpha phosphorylation PMID: 15345721
- G147D PPI-1 can attenuate responses of cardiomyocytes to beta-adrenergic agonists by decreasing PLN phosphorylation and therefore may contribute to deteriorated function in heart failure. PMID: 18192322
- the human inhibitor-1 G147D polymorphism, found almost exclusively in blacks, may act as a modifier rather than risk factor in heart failure development PMID: 18698139
顯示更多
收起更多
-
蛋白家族:Protein phosphatase inhibitor 1 family
-
數據庫鏈接:
Most popular with customers
-
-
YWHAB Recombinant Monoclonal Antibody
Applications: ELISA, WB, IHC, IF, FC
Species Reactivity: Human, Mouse, Rat
-
Phospho-YAP1 (S127) Recombinant Monoclonal Antibody
Applications: ELISA, WB, IHC
Species Reactivity: Human
-
-
-
-
-















