PPM1G Recombinant Monoclonal Antibody
-
中文名稱:PPM1G Recombinant Monoclonal Antibody
-
貨號:CSB-RA213346A0HU
-
規格:¥1320
-
圖片:
-
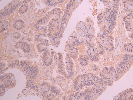
IHC image of CSB-RA213346A0HU diluted at 1:100 and staining in paraffin-embedded human colorectal cancer performed on a Leica BondTM system. After dewaxing and hydration, antigen retrieval was mediated by high pressure in a citrate buffer (pH 6.0). Section was blocked with 10% normal goat serum 30min at RT. Then primary antibody (1% BSA) was incubated at 4°C overnight. The primary is detected by a Goat anti-rabbit polymer IgG labeled by HRP and visualized using 0.05% DAB.
-
Overlay Peak curve showing Hela cells stained with CSB-RA213346A0HU (red line) at 1:100. The cells were fixed in 4% formaldehyde and permeated by 0.2% TritonX-100 for 10min. Then 10% normal goat serum to block non-specific protein-protein interactions followed by the antibody (1ug/1*106cells) for 45min at 4℃. The secondary antibody used was FITC-conjugated goat anti-rabbit IgG (H+L) at 1/200 dilution for 35min at 4℃.Control antibody (green line) was Rabbit IgG (1ug/1*106cells) used under the same conditions. Acquisition of >10,000 events was performed.
-
-
其他:
產品詳情
-
Uniprot No.:
-
基因名:PPM1G
-
別名:Protein phosphatase 1G (EC 3.1.3.16) (Protein phosphatase 1C) (Protein phosphatase 2C isoform gamma) (PP2C-gamma) (Protein phosphatase magnesium-dependent 1 gamma), PPM1G, PPM1C
-
反應種屬:Human
-
免疫原:A synthesized peptide from human PPM1G protein
-
免疫原種屬:Homo sapiens (Human)
-
標記方式:Non-conjugated
-
克隆類型:Monoclonal
-
抗體亞型:Rabbit IgG
-
純化方式:Affinity-chromatography
-
克隆號:5E2
-
濃度:It differs from different batches. Please contact us to confirm it.
-
保存緩沖液:Preservative: 0.03% Proclin 300
Constituents: 50% Glycerol, 0.01M PBS, PH 7.4 -
產品提供形式:Liquid
-
應用范圍:ELISA, IHC, FC
-
推薦稀釋比:
Application Recommended Dilution IHC 1:50-1:200 FC 1:50-1:200 -
Protocols:
-
儲存條件:Upon receipt, store at -20°C or -80°C. Avoid repeated freeze.
-
貨期:Basically, we can dispatch the products out in 1-3 working days after receiving your orders. Delivery time maybe differs from different purchasing way or location, please kindly consult your local distributors for specific delivery time.
-
用途:For Research Use Only. Not for use in diagnostic or therapeutic procedures.
相關產品
靶點詳情
-
基因功能參考文獻:
- PPM1G phosphatase directly binds 7SK RNA and the kinase inhibitor Hexim1 once P-TEFb has been released from the 7SK snRNP. PMID: 26324325
- Hypermethylation in the 3'-protein-phosphatase-1G (PPM1G) gene locus was associated with alcohol use disorder. PMID: 25982659
- PPM1G inactivates monomeric WWP2 and promotes the assembly of WWP2-WWP1 heterodimeric complex. PMID: 25071155
- PPM1G dephosphorylates the P-TEFb kinase T loop to disassemble the 7SK snRNP. PMID: 24316072
- study has identified protein phosphatase PPM1G as a novel regulator of cap-dependent protein translation by negatively controlling the phosphorylation of 4E-BP1. PMID: 23814053
- ATM-dependent downregulation of USP7/HAUSP by PPM1G activates p53 response to DNA damage PMID: 22361354
- The degradation of p21(WAF1/CIP1) induced by PP2Cgamma was mediated in a proteasome-dependent manner. PMID: 17054950
- Protein phosphatase 2C gamma mediates histone dephosphorylation/exchange in response to DNA damage or checkpoint recovery in higher eukaryotes. PMID: 17074886
- PP2Cgamma modulates alternative splicing of specific pre-mRNAs coregulated by YB-1. PMID: 17572683
- an interplay between PPM1G and unrip determine compartment-specific phosphorylation patterns, localization, and function of the SMN complex PMID: 17984321
- PP2Cgamma is a novel regulator of p21(Cip1/WAF1) protein stability via the Akt signaling pathway. PMID: 19538940
- Functional study of the mouse homolog PMID: 9271424
顯示更多
收起更多
-
亞細胞定位:Cytoplasm. Membrane; Lipid-anchor.
-
蛋白家族:PP2C family
-
組織特異性:Widely expressed. Most abundant in testis, skeletal muscle, and heart.
-
數據庫鏈接:
Most popular with customers
-
-
YWHAB Recombinant Monoclonal Antibody
Applications: ELISA, WB, IHC, IF, FC
Species Reactivity: Human, Mouse, Rat
-
Phospho-YAP1 (S127) Recombinant Monoclonal Antibody
Applications: ELISA, WB, IHC
Species Reactivity: Human
-
-
-
-
-















