POR Recombinant Monoclonal Antibody
-
中文名稱:POR Recombinant Monoclonal Antibody
-
貨號:CSB-RA976601A0HU
-
規格:¥1320
-
圖片:
-
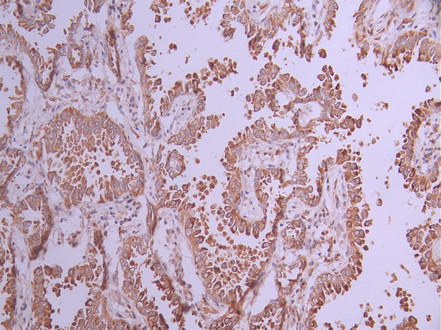
IHC image of CSB-RA976601A0HU diluted at 1:100 and staining in paraffin-embedded human lung cancer performed on a Leica BondTM system. After dewaxing and hydration, antigen retrieval was mediated by high pressure in a citrate buffer (pH 6.0). Section was blocked with 10% normal goat serum 30min at RT. Then primary antibody (1% BSA) was incubated at 4°C overnight. The primary is detected by a Goat anti-rabbit polymer IgG labeled by HRP and visualized using 0.05% DAB.
-
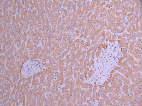
IHC image of CSB-RA976601A0HU diluted at 1:100 and staining in paraffin-embedded human liver tissue performed on a Leica BondTM system. After dewaxing and hydration, antigen retrieval was mediated by high pressure in a citrate buffer (pH 6.0). Section was blocked with 10% normal goat serum 30min at RT. Then primary antibody (1% BSA) was incubated at 4°C overnight. The primary is detected by a Goat anti-rabbit polymer IgG labeled by HRP and visualized using 0.05% DAB.
-
Immunofluorescence staining of HepG2 cell with CSB-RA976601A0HU at 1:50, counter-stained with DAPI. The cells were fixed in 4% formaldehyde, permeabilized using 0.2% Triton X-100 and blocked in 10% normal Goat Serum. The cells were then incubated with the antibody overnight at 4°C. The secondary antibody was Alexa Fluor 488-congugated AffiniPure Goat Anti-Rabbit IgG(H+L).
-
Overlay Peak curve showing HepG2 cells stained with CSB-RA976601A0HU (red line) at 1:100. The cells were fixed in 4% formaldehyde and permeated by 0.2% TritonX-100 for 10min. Then 10% normal goat serum to block non-specific protein-protein interactions followed by the antibody (1ug/1*106cells) for 45min at 4℃. The secondary antibody used was FITC-conjugated goat anti-rabbit IgG (H+L) at 1/200 dilution for 35min at 4℃.Control antibody (green line) was Rabbit IgG (1ug/1*106cells) used under the same conditions. Acquisition of >10,000 events was performed.
-
-
其他:
產品詳情
-
Uniprot No.:
-
基因名:
-
別名:NADPH--cytochrome P450 reductase (CPR) (P450R) (EC 1.6.2.4), POR, CYPOR
-
反應種屬:Human
-
免疫原:A synthesized peptide from human POR protein
-
免疫原種屬:Homo sapiens (Human)
-
標記方式:Non-conjugated
-
克隆類型:Monoclonal
-
抗體亞型:Rabbit IgG
-
純化方式:Affinity-chromatography
-
克隆號:5G4
-
濃度:It differs from different batches. Please contact us to confirm it.
-
保存緩沖液:Preservative: 0.03% Proclin 300
Constituents: 50% Glycerol, 0.01M PBS, PH 7.4 -
產品提供形式:Liquid
-
應用范圍:ELISA, IHC, IF, FC
-
推薦稀釋比:
Application Recommended Dilution IHC 1:50-1:200 IF 1:50-1:200 FC 1:50-1:200 -
Protocols:
-
儲存條件:Upon receipt, store at -20°C or -80°C. Avoid repeated freeze.
-
貨期:Basically, we can dispatch the products out in 1-3 working days after receiving your orders. Delivery time maybe differs from different purchasing way or location, please kindly consult your local distributors for specific delivery time.
-
用途:For Research Use Only. Not for use in diagnostic or therapeutic procedures.
相關產品
靶點詳情
-
功能:This enzyme is required for electron transfer from NADP to cytochrome P450 in microsomes. It can also provide electron transfer to heme oxygenase and cytochrome B5.
-
基因功能參考文獻:
- Both CYP1A2 and CYP2B4 activities were affected by their coexpression in a manner consistent with formation of the high-affinity POR-CYP1A2-CYP2B4 complex. PMID: 29233819
- genetic association studies in population in Scotland: data suggest, in type 2 diabetes treated with sulfonylureas, 2 SNPs in CYP2C9 (CYP2C9*2, R144C, rs1799853; CYP2C9*3, I359L, rs1057910) are associated with drug-induced hypoglycemia; an SNP in POR (POR*28, A503V, rs1057868) is associated with better response to sulfonylureas. (CYP2C9 = cytochrome P450 family 2 subfamily C member 9; POR = cytochrome p450 oxidoreductase) PMID: 28656666
- The POR*28 heterozygote appears to be associated with the stable dose of acenocoumarol. PMID: 28592191
- Younger age, POR*28 allele, and CYP3A5*3 allele were associated with higher cyclosporine dosing requirements and lower concentration/dose ratio. PMID: 29135906
- Suggest that hepatic POR and P450s are coregulated, and that POR plays a complex role in P450-mediated metabolism. PMID: 27271371
- A homodimer model can resolve the conundrum as to how cytochrome P450 oxidoreductase and cytochrome b5 compete for the same binding site on cytochrome P450c17. (Review) PMID: 28000554
- Compound heterozygosity of a paternal submicroscopic deletion and a maternal missense mutation in POR gene: Antley-bixler syndrome phenotype in three sibling fetuses PMID: 26969897
- analysis of mutations and polymorphisms in POR linked to metabolism of steroids and xenobiotics and pathology of P450 oxidoreductase deficiency (PORD) PMID: 27068427
- No significant differences in the distribution of haplotypes between cases and controls were detected. In conclusion, this study reveals that four SNPs in the POR gene (rs3823884, rs3898649, rs239953 and rs17685) may affect the susceptibility of smoking cessation in a Chinese Han population. PMID: 27660057
- analysis of the role of the active site loop in coenzyme binding and flavin reduction in cytochrome P450 reductase PMID: 27461959
- Current studies demonstrate that, unlike previously described mutations, A287P causes POR deficiency disorder due to conformational instability leading to proteolytic susceptibility in vivo, rather than through an inherent flavin-binding defect. PMID: 27496950
- population pharmacokinetic analysis identified that the combined genotype of CYP3A5-POR was the only covariant for the apparent clearance of tacrolimus PMID: 26227094
- Case Report: delayed diagnosis of 46, XY disorder of sex development due to P450 oxidoreductase (POR) deficiency. PMID: 27376429
- Interindividual variability in CYP2C19 activity is due to differences in both CYP2C19 protein content associated with gene diplotypes and the cytochrome P450 oxidoreductase content. PMID: 26323597
- POR rs2868177 and CYP2B6*6 variants contribute to the interindividual variability in human CYP2B6 activity, which may affect the disposition and interaction of other CYP2B6 substrate drugs PMID: 27439448
- For the first time, the SNP POR*37 831-35C>T was confirmed as a minor but statistically significant factor associated with inter-individual variation in warfarin maintenance dose in Han Chinese PMID: 27488389
- POR*28 does not significantly influence Tac pharmacokinetic parameters. PMID: 26829596
- the POR g.6593A>G polymorphism significantly influences CYP2B6 activity PMID: 26580670
- P450 (Cytochrome) Oxidoreductase Gene (POR) Common Variant (POR*28) Significantly Alters CYP2C9 Activity in Swedish, But Not in Korean Healthy Subjects PMID: 26669712
- POR A503V might decrease the risk of bladder cancer by reducing its metabolic activity. PMID: 26123203
- POR besides CYP2B6 can influence cyclophosphamide metabolism PMID: 26544874
- Study is a thorough structural, dynamic, and thermodynamic characterization of the soluble form of human microsomal CPR using small-angle x-ray scattering and nuclear magnetic resonance spectroscopy under various conditions PMID: 25809265
- This study confirmed that CYP3A5*1 was associated with lower tacrolimus trough concentrations. POR*28 was associated with decreased tacrolimus trough concentrations although the effect was small possibly through enhanced CYP3A4 enzyme activity. PMID: 26067485
- electron transfer between mCPR and aromatase PMID: 26087061
- POR is the main determinant of SN30000 sensitivity in 3 different genetic backgrounds. Head and neck squamous cell carcinomas showed heterogeneous POR expression. There may be a relationship between HPV status and hypoxia-activated prodrug sensitivity. PMID: 26297733
- We identified seven unreported SNP genetic variations. The p.Pro384Leu variant exhibited reduced enzymatic activities compared with wild-type. PMID: 25712184
- Results show that combining the CYP3A5*1, POR*28 and CYP3A4*22 genotypes allows partial differentiation of early tacrolimus dose requirements and the time to reach therapeutic target concentrations after transplantation. PMID: 25322286
- In children with FH, carriage of POR*28 allele is associated with reduced effect of atorvastatin on TChol and LDLc and therefore identifies FH children that may require higher atorvastatin doses to achieve full therapeutic benefits PMID: 25521355
- Transient kinetic dissection of the reaction of POR with NADPH and the reduction in cytochrome c by POR using stopped-flow techniques revealed defects in individual electron transfer steps mediated by A287P. PMID: 25728647
- Interactions of HO-2 with CPR and BVR, were evaluated. PMID: 25196843
- Data shows that POR*28 allele was not associated with the lipid-lowering effect of atorvastatin. PMID: 24430948
- results showed that the CYP2C19 and/or P450 oxidoreductase genotypes have an impact on the clearance of clobazam and/or N-desmethylclobazam PMID: 24345815
- NADPH-cytochrome P450 reductase is regulated by all-trans retinoic acid and by 1,25-dihydroxyvitamin D3 in human acute myeloid leukemia cells. PMID: 24642534
- The role of Cytochrome P450 reductase is to provide electrons to a redox partner, the interactions with cytochrome P450 2D6 (2D6) were investigated and a possible complex structure is suggested. PMID: 23832577
- results show that FMO3 E158K and POR A503V polymorphisms are minor sources of nicotine metabolism variation, insufficient to appreciably alter smoking. PMID: 24448396
- POR*28 allele is an important source of CYP2C9 activity variability and combined with CYP2C9 gene poly-morphisms may explain individual variability in the effect of sulfonylureas. PMID: 24464600
- Seventeen SNPs of CYP3A5, CYP3A4, COMT, IL-10 and POR were identified. PMID: 24465960
- Candidate-gene study shows that polymorphisms in PPARalpha and POR might predispose patients being treated with tacrolimus to the development of NODAT after kidney transplantation PMID: 24113216
- Findings regarding the interaction of NADPH-P450 reductase (NPR) with cellular stress response (CSR) indicated function of NPR in hypoxic response. PMID: 24491563
- Domain motion is linked closely to the individual steps of the catalytic cycle of cytochrome P450 reductase. PMID: 23911089
- although POR expression is a potential biomarker of sensitivity to some HAP, identification of other one-electron reductases responsible for HAP activation is needed for their rational clinical development. PMID: 24196959
- Structural, enzymatic and clinical implications of the NADPH P450 oxidoreductase mutations linked to newly identified disorders in humans, now categorized as POR deficiency[review]. PMID: 23353702
- POR genetic variants affect CYP2C9 activities. The impact of a POR variant on catalysis varies with the isoform of CYP2C9 and the assay substrate. PMID: 22547083
- Six novel NADPH-P450 oxidoreductase missense variants in Ashkenazi and Moroccan Jewish populations were identified. PMID: 22462747
- The data suggested that cytochrome P450 reductase plays a major role in reactive oxygen species generation by liver cells under the basal conditions, but a minimal rike during simulated in vitro ischemia-reperfusion injury. PMID: 21973081
- NADPH cytochrome P450 reductase prevents this translocation and promotes oligomerization of HO-1. PMID: 22545110
- Studies indicate that electron transfer in cytochrome P450 reductase is conformationally gated. PMID: 21762695
- Clinical, biochemical, and genetic findings in a large PORD cohort. PMID: 22162478
- POR*28 C > T polymorphism increases 1-hydroxylation of midazolam after intravenous administration. The polymorphism is associated with increased hepatic, but not intestinal, CYP3A activity in healthy Chinese volunteers. PMID: 22177374
- These data indicate that the POR*28 SNP is associated with additional increases in early tacrolimus dose-requirements in patients carrying a CYP3A5*1 allele. PMID: 21770725
顯示更多
收起更多
-
相關疾病:Antley-Bixler syndrome, with genital anomalies and disordered steroidogenesis (ABS1); Disordered steroidogenesis due to cytochrome P450 oxidoreductase deficiency (DISPORD)
-
亞細胞定位:Endoplasmic reticulum membrane; Single-pass membrane protein; Cytoplasmic side.
-
蛋白家族:NADPH--cytochrome P450 reductase family; Flavodoxin family; Flavoprotein pyridine nucleotide cytochrome reductase family
-
數據庫鏈接:
Most popular with customers
-
-
YWHAB Recombinant Monoclonal Antibody
Applications: ELISA, WB, IHC, IF, FC
Species Reactivity: Human, Mouse, Rat
-
Phospho-YAP1 (S127) Recombinant Monoclonal Antibody
Applications: ELISA, WB, IHC
Species Reactivity: Human
-
-
-
-
-















